27.78M
Category: medicinemedicine

Патологоанатомический диагноз

1.

Бемор Шарипова Арзигул, 1949 й.т.

2.

3.

4.

5.

Сердце 504 г

6.

7.

8.

Межуточный отек, в миокарде участки безъядерных кардиомиоцитов с
нарушением поперечной исчерченности, сосуды склерозированы.

9.

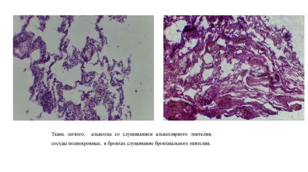
Легкие 557/490 г

10.

Ткань легкого,
альвеолы со слущиванием альвеолярного эпителия,
сосуды полнокровные, в бронхах слущивание бронхиального эпителия.

11.

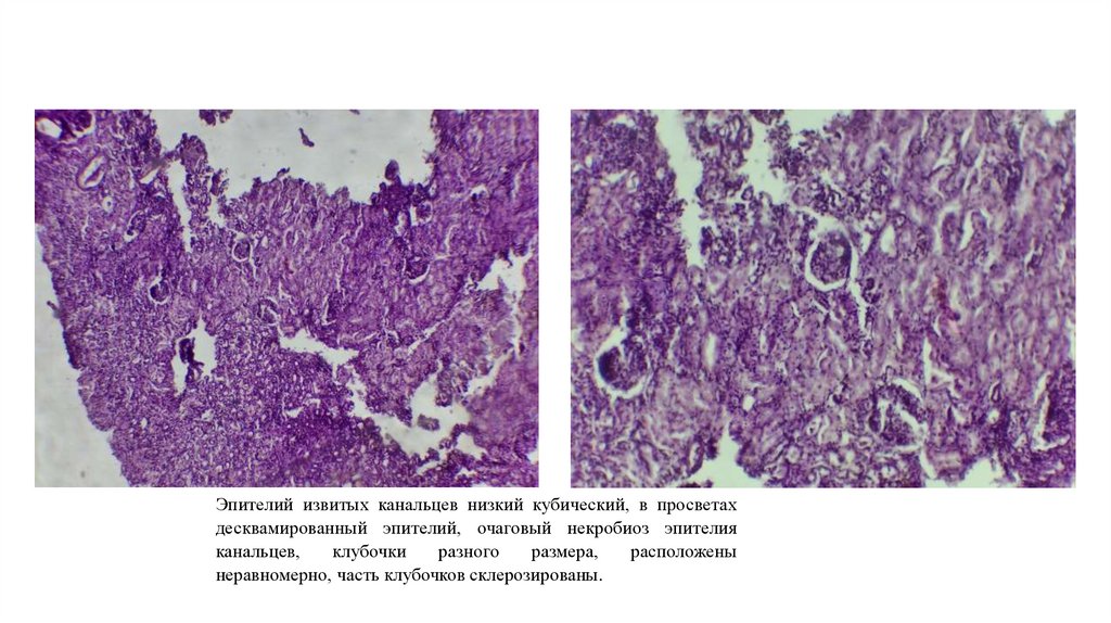
Буйраклар: 90/95

12.

Эпителий извитых канальцев низкий кубический, в просветах
десквамированный эпителий, очаговый некробиоз эпителия
канальцев,
клубочки
разного
размера,
расположены
неравномерно, часть клубочков склерозированы.

13.

Печень - 2230 г
Балочная структура не нарушена, очаговая белковая дистрофия гепатоцитов,
портальные тракты не расширены.

14.

Селезенка - 85 г

15.

Границы между белой и красной пульпой четкие, гемолиз эритроцитов,
лимфоидные фолликулы расположены неравномерно, гиалиноз
центральных сосудов.

16.

Поджелудочная железа: вазни 90 г

17.

очаговая атрофия островков Лангерганса, гиалиноз
сосудов, мелкодольчатое строение.

18.

Танатогенез
У больной ИБС проведены операции коронарного шунтирования.
Немотря на проведенное лечение на фоне гипертонической
болезни и атеросклероза произошел острый инфаркт миокарда,
который привел к острой левожелудочковой недостаточности, что
явилось непосредственной причиной смерти.

19.

Патологоанатомический диагноз
Основное заболевание: 1. I 21.1 Ишемическая болезнь сердца: острый
трансмуральный инфаркт миокарда задней стенки левого желудочка
сердца. Операция “Коронарное шунтирование х2 шунта (ЛВГА-ПМЖБ,
Ао-аутовена-ВТК2) в условиях павраллельного ИК левым торакотомным
доступом (MICSCABG)” от 04.02.2025 г. Операция “ЧКВ со
стентированием ПКА тромбоза стента» от 11.02.2025г.
2. I06.2 ХРБС: Ревматический аортальный стеноз с недостаточностью.
Фоновое заболевание: Гипертоническая болезнь. Атеросклероз с
преимущественным поражением аорты и коронарных сосудов.
Осложнения основного заболевания: Общее венозное полнокровие,
дистрофия внутренних органов. Первично сморщенные почки. Острая
левожелудочковая недостаточность. Асистолия.
Сопутствующие заболевания: Ожирение. Ретенционные кисты обеих
почек. Хронический атрофический гастрит.
English     Русский Rules