21.42M
Category: medicinemedicine

Неправильное положение зубов, смещение зубов

1.

Богоявленский Лев
лет
Дата консультации и диагностки:
2.12.2024
ОБСУЖДЕНИЕ ПЛАНА:
30.12.2024
ОСНОВНЫЕ ЖАЛОБЫ:
Неправильное положение зубов,
смещение зубов
ОТВЕТСТВЕННЫЙ ВРАЧ:
Дулбаева В.С.

2.

Лицо симметричное, профиль прямой

3.

Улыбка и дисплей
Арка улыбки выпуклая
широкие щечные
коридоры

4.

Зубные ряды
Резцовое перекрытие 1/3,
Кривые Шпее: верхняя – прямая, нижняя – глубокая
Центральные линии симметричны

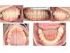
5.

Верхний и нижний
зубные ряды
Дефицит на ВЧ
справа = 2,4 мм
Дефицит на ВЧ
слева = 1 мм
Дефицит на НЧ
справа = 1,5 мм
Дефицит на НЧ
слева = 0,4 мм

6.

Сагиттальные соотношения
По клыкам справа и слева – 3 кл
По молярам справа и слева – 2 кл

7.

Ортопантомограмма

8.

ТРГ и профиль
113
106
28
122
92
97
Горизонтальный тип роста.
Нейтральное соотношение
челюстей.
Протрузия верхних резцов ( +7)
и нижних резцов ( +5)

9.

Расчет ТРГ
<SNA
<SNB
<ANB
Wits
<Beta
ВЧ

<SN-MP
<SN-NL
<NL-MP
<Go
S-Go/N-Me
<I-SN
<I-NL
<i-MP
<Ii
84.44° (82) Переднее положение верхней челюсти
81.57° (80) Переднее положение нижней челюсти
2.87° (0 - 2) Дистальное соотношение (II класс)
0.31мм (0 - 2) Норма
29.31° (27 - 35) Норма. I класс
-3.37мм Микрогнатия верхней челюсти
-0.63мм Микрогнатия нижней челюсти
29.54° (32) Горизонтальный тип роста
5.75° (7 - 9) Ротация верхней челюсти против часовой стрелки
23.79° (23) Норма
125.42° (127 - 133) Горизонтальный тип роста
69.97% (62 - 66) "Короткое" лицо
110.92° (105.23) Протрузия верхних резцов
116.67° (108 - 112) Протрузия верхних резцов
96.54° (95.23) Протрузия нижних резцов
123.00° (130) Протрузия верхних и/или нижних резцов

10.

Наклоны резцов
113
106
28
122
92
97

11.

Необходимость расширения

12.

Инклинация боковых зубов и возможность
расширения

13.

Пародонтологический статус

14.

Дефицит на ВЧ
справа =
Дефицит на НЧ справа =
Дефицит на ВЧ слева =
Дефицит на НЧ
слева =

15.

Консультационный лист
Основная проблема - Жалобы: на неровные зубы и неправильный прикус.
Объективно: 1 класс по клыкам и молярам. Глубина перекрытия 1/2. Дефицит места
на НЧ около 3мм. 8 е в полости рта. Рецессии на 24,25,14,15. Стираемость на
11,12,13,21,22,23. Диагноз: Глубокий прикус.
Предполагаемый объем лечения - Диагностика. Брекет-система на ВЧ и НЧ.
Повышение прикуса, эластики. Временные реставрации. После снятия постоянныевиниры
Удаление - возможно удаление 8х зубов.
Сложность, дополнительные приспособления - Коэффициент 0, либо 10%
Требуется консультация смежных специалистов - Консультация ортопеда, терапевта
Какие снимки нужно делать - КТ
Предполагаемые брекеты - Damon Q/Damon Q

16.

План лечения для врача
Симметрия лица
Есть легкая асимметрия лица, изменений не планируется
Высота лица
Лицо пропорциональное, изменений не планируется
Профиль лица
Гармоничный, значимые изменения не требуются

17.

Обнажение резцов во время улыбки и речи
План лечения для врача
Эстетика улыбки
В норме, вертикальных перемещений верхних резцов не требуется, учесть при позиционировании брекетов
Арка улыбки
В идеале можно внедрять верхние боковые зубы, так как арка улыбки слегка обратная, но обнажение верхних резцов при улыбке и при речи – хорошее.
Не планируется в связи со сложностью и отсутствием жалоб у пациентки
Наклон средней линии
Есть наклон средней линии вправо. Обратить внимание на ангуляцию 11, форму 21 (сепарация медиальной поверхности)
Форма, размер передних зубов
Форма 21, треугольные верхние резцы – сепарация для эстетики. 21 – стираемость, выравниваем по десне, далее реставрация.
Боковые резцы относительно длинные – пришлифовка режущих краев

18.

План лечения для врача
Скученность, средние линии, класс
Дефицит места верх
• Справа 1.7 мм – решаем сепарацией
• Слева 2.3 мм – решаем дистализацией
• Протрузия легкая (3-4 градуса)
Дефицит места низ
• Справа 1.7 мм – решаем сепарацией, допускаем протрузию 4-5 градусов
Центр верх
• Не смещен, коррекции не требуется. Скученность более или менее симметричная. Управляем объемом сепар
дистализации слева
Центр низ
• Смещен влево 2 мм, коррекция за счет мезиализации слева премоляров и клыка на 3-4 мм, предполагаемая п
около 6 градусов, частично решать сепарацией
Класс слева
• Сейчас 5-6 мм от I кл. по клыкам в сторону II кл. Решаем за счет 1.5-2 мм дистализации верх, 3 мм мезиализац
и клыка нч. Может быть не чистый I кл по клыкам в итоге.
Класс справа
• Сейчас I кл. Сохраняем.

19.

План лечения для врача
Основная механика
Верхняя Шпее
• Не меняем, оставляем слегка обратной. Учесть.
Нижняя Шпее
• Не меняем, оставляем слегка глубокой. Учесть.
Удаление
• 2.7 (экструзирован, II кл. слева). Сразу после фикс.
Работа с пространствами
Опора
• Слева внизу сейчас 15 мм, закрываем до 11-12 мм (имплант
премоляры мезиализируем для класса на 3 мм, а 38 мезиали
закрываем
пространство
после
27, 2.81-2
на место
• МИ
вч. (в области
удаленного
27удаления
через полгода)
штуки 2.7

Дентальный имплант с врем. коронкой 36 для мезиализ. ниж
38
Сепарация
• Справа на вч. в области премоляров и резцов максимально, н
протрузии при мезиализации слева.
Расширение
• Предусматриваем некоторое расширение (2-3 мм) на вч
Ранние эластики
• От коронки на имлпанте 36 к 28 для его экструзии возм.

20.

План лечения для врача
Дополнения и комментарии
• 23
сразу не
будем подключать. Доходим до жесткой дуги, за это время
Дополнения
и комментарии
появляется возможность поставить МИ в области 27. Опасность – избы
мезиальная миграция 28 в область удаления. Если 28 сам не прорежет
хирургическое обнажение его + эластики от коронки на импланте 36.
• Имплант в области 36 ставим примерно через полгода от начала лечен
месяца до перехода на стальную дугу внизу. Имплант ставим с учетом
мезиалиации премоляров на 2-3 мм, то есть с учетом предполагаемого
коронки 36 = 12 мм, имплант ставим на 3-4 мм дистальнее нынешнего
положения зуба 35.
• К временной коронке на импланте 36, на стальной дуге мезиализируем
нее же толкаем вперед премоляры для нормализации класса слева и с
линии нч.

21.

План лечения общий
Аппаратура ВЧ\НЧ
• …\...
Дополнительная аппаратура
• МИ 2 штуки
Цели лечения
• Выравнивание зубов
• Коррекция прикуса
• Закрытие пространства
• Сохранение арки улыбки
Удаление, работа с пространствами
• 27 и 15. Ретракция верхних резцов с опорой на
Сепарация
• Нижние резцы максимально
Расширение
• Предусматриваем некоторое расширение (2-3 м
Ранние эластики
• От коронки на имланте 36 к 28 для его экструзи
Ограничения и особые условия
• Может быть не чистый I класс справа
Срок лечения
• 30 месяцев
English     Русский Rules