Ортодонтия
Диагностика
диагностика
Диагностика
Диагностика
Профиль лица: прямой
Профиль лица: плоский
Профиль лица: выпуклый
Профиль лица: выпуклый
Профиль лица: выпуклый
Профиль лица: вогнутый
Профиль лица: вогнутый
Профиль лица: вогнутый
Профиль лица: вогнутый
Форма лиц
улыбка
Асимметричная улыбка
Асимметричная улыбка
Асимметричная улыбка
Асимметричная улыбка
Десневая улыбка
Смыкание губ
Напряжение губ
Напряжение губ
Диагностика
прикусы
Проблемы в плоскостях
Ортодонтический прикус
Ортодонтический прикус
Дистальный прикус
Дистальный прикус(1 подкласс)
Дистальный прикус(2 подкласс)
Дистальный прикус
Дистальный прикус
Дистальный прикус
Мезиальный прикус
Мезиальный прикус
Мезиальный прикус
Мезиальный прикус
Мезиальный прикус
Открытый прикус
Открытый прикус
Открытый прикус
Глубокий прикус
Глубокий прикус
Глубокий прикус
Глубокий прикус
Глубокий прикус
Глубокий прикус
Перекрестный прикус
Перекрестный прикус
Диагностика
Центральная линия
ПРИЧИНЫ НЕСОВПАДЕНИИ ЦЛ
Черные коридоры
Диагностика
Диагностика по Энглю
Класиффикация по энглю 1 класс
Класиффикация по энглю 2 класс
Класиффикация по энглю 2 класс (бугорковый)
Класиффикация по энглю 3 класс
Диагностика: по 6
Классификация по энглю 1 класс по молярам
1 класс по энглю
2 класс по энглю
2 класс по энглю
3 класс по энглю
Диагностика
Диагностика
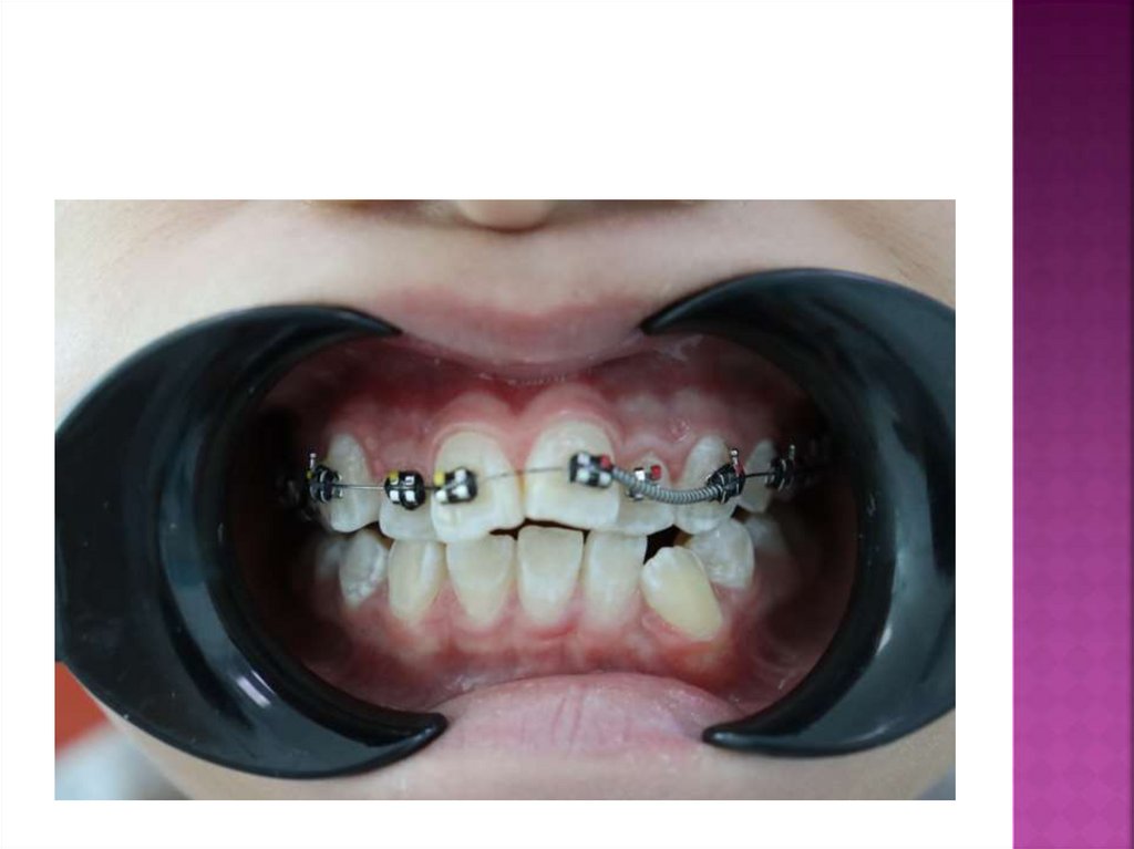
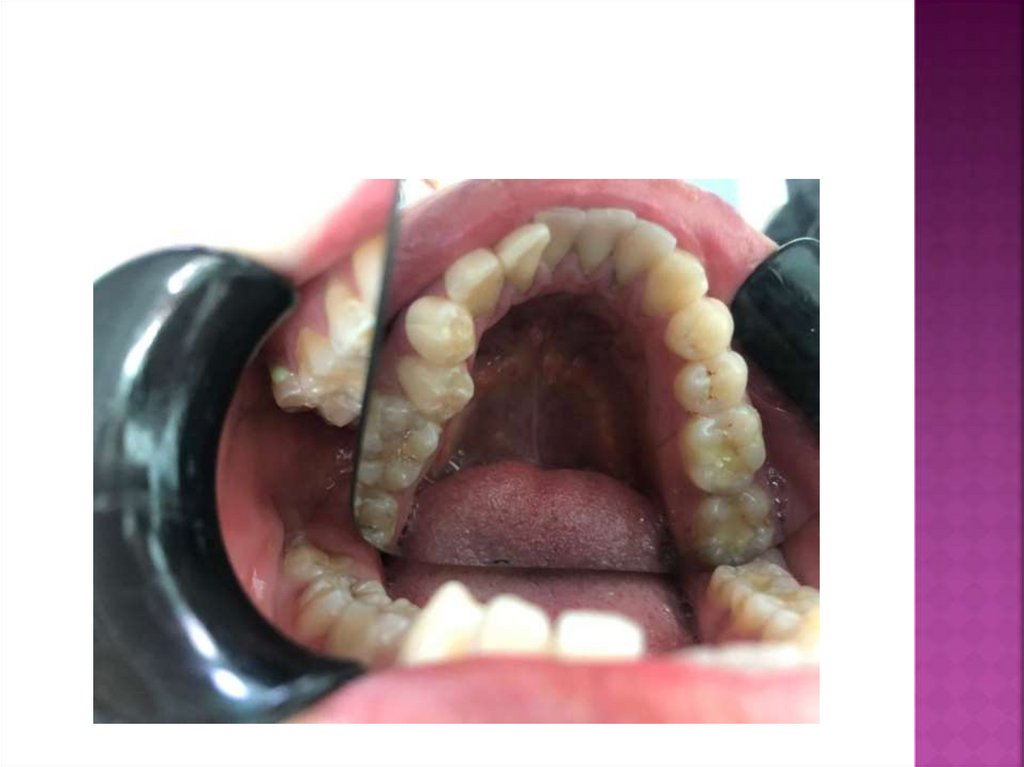
диастема
трема
протрузия
ретрузия
Небный наклон
Язычный наклон
ретенция
дистопия
дизокклюзия
Обратное перекрытие
Диагностика
Саггитальный щель
Ротация, тортоаномалия
ангуляция
ангуляция
адентия
экструзия
Мезиальный наклон
Щечный наклон
фотопротокол
зеркала
внеротовые 1.Фас лица без улыбки
Фас лица с улыбкой
Профиль лица без улыбки
Профиль лица с улыбкой
Внутриротовые: в прикусе
Верхняя челюсть(зеркальное отрожение)
Нижняя челюсть(зеркальное отрожение)
Боковые справа
Боковые слева
Для опр саг щели
трг
Основные точки и плоскости
углы
значение
Составление план лечения
Описание пациента
СОСТАВЛЕНИЕ ДИАГНОЗА:
План лечение
МЕЗИОДИСТАЛЬНЫЙ РАЗМЕР ЗУБОВ
Установка брекет-системы
Х=5 нормодентия х=6 макродентия х=4 микродентия
Ранее лечение
трейнер
Lm активатор
rpe
rpe
Съемная пластинка для раширение
Пластина с заслонкой для языка
Лицевая маска
Брекет-система
Брекет-система (ПО ФУНКЦИИ)
БРЕКЕТ-СИСТЕМА (ПО ЭСТЕТИКЕ)
Паз брекета
Паз брекета
торк
пропись
ROTH
mbt
ДУГИ
Этапы лечения:
Этапы лечения:
пружины
Металлические лигатуры
Резиновые лигатуры
Эластофорс (чейны)
Крючки, стоперы
Лечение прикусных анмалий
Открытый прикус
Завышающие накладки
Передние тяги
Глубокий прикус
Байт турбос
Дистальный прикус
Тяги по 2 кл
Мезиальный прикус
Тяги по 3 кл
Удаление нижних премоляров
Перекрестный прикус
Перекрестные тяги (боковые межчелюстные)
Перекрестные передние тяги
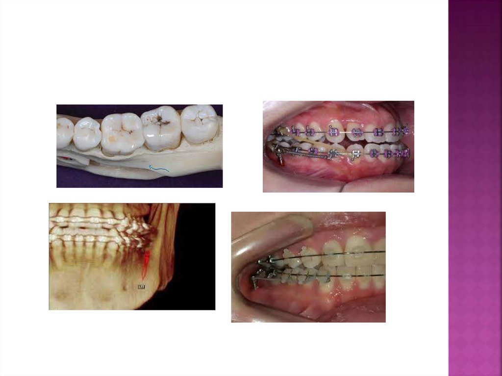
минивинты
Место установки Мв:
Минивинты для глубокого прикуса
дистализация
мезиализация
интрузия
izc
Buccal shelf
Ретромолярная область
Минивинт на неба
инструменты
мэтью
Прямая кусачка
Дистальная кусачка
Обратный пинцет
позиционер
Брекет сниматель
вайнгард
штангенциркуль
твид
пружина
31.96M
Category: medicinemedicine

Ортодонтия. Диагностика

1. Ортодонтия

2. Диагностика

Осмотр:
1.Внешний
Лицо: долихоцефальное,
брахиоцефальное, нормальное;
Профиль: прямой, выпуклый, вогнутый
Губы: в напряжений, без напряжений
Улыбка: симметричная, асимметричная
Видны верхний или нижний зубной ряд
Складки: носогубная, подбородочная

3. диагностика

4. Диагностика

5. Диагностика

6. Профиль лица: прямой

7. Профиль лица: плоский

8. Профиль лица: выпуклый

9. Профиль лица: выпуклый

10. Профиль лица: выпуклый

11. Профиль лица: вогнутый

12. Профиль лица: вогнутый

13. Профиль лица: вогнутый

14. Профиль лица: вогнутый

15. Форма лиц

16. улыбка

17. Асимметричная улыбка

18. Асимметричная улыбка

19. Асимметричная улыбка

20. Асимметричная улыбка

21. Десневая улыбка

22. Смыкание губ

23. Напряжение губ

24. Напряжение губ

25. Диагностика

2. Внутриротовой
-ортогнатический;
-мезиальный;
-дистальный;
-глубокий;
-открытый;
-перекрестный.
Прикус:

26. прикусы

27. Проблемы в плоскостях

ВЕРТИКАЛЬНАЯ:
-открытый прикус
-глубокий прикус
САГГИТАЛЬНАЯ:
-дистальный прикус
-мезиальный прикус
ТРАНЗВЕРЗАЛЬНАЯ:
-перекрестный

28. Ортодонтический прикус

Это когда зубы в зубном ряду
имеют плотные контакты,
жевательные поверхности
зубов-антагонистов
равномерно смыкаются друг с
другом, верхние резцы
перекрывают нижние на 1\3

29. Ортодонтический прикус

30. Дистальный прикус

Это патология зубных рядов,
при которой верхняя зубная
челюсть сильно выдвинута
вперед по отношению к
нижней при смыкании зубныз
рядов:
-1 подкласс(протрузия)
-2 подкласс(ретрузия)

31. Дистальный прикус(1 подкласс)

32. Дистальный прикус(2 подкласс)

33. Дистальный прикус

34. Дистальный прикус

35. Дистальный прикус

36. Мезиальный прикус

Это вид неправильного прикуса, при
котором нижняя челюсть относительтно
верхней челюсти выступает вперед
Нижние резцы перекрывают верхние или
образуют обратную саггитальную щельпромежуток между верхними передними и
нижними передними.

37. Мезиальный прикус

38.

39. Мезиальный прикус

40. Мезиальный прикус

41. Мезиальный прикус

42. Открытый прикус

Это вид неправильной
окклюзии, при которой
верхние и нижние зубные ряды
частично не смыкаются друг с
другом в переднем или в
боковых отделах

43. Открытый прикус

44. Открытый прикус

45. Глубокий прикус

Это нарушение смыкания зубов
в вертикальной плоскости.
Верхние передние зубы
нижние больше, чем на
половину коронки.

46. Глубокий прикус

47. Глубокий прикус

48. Глубокий прикус

49. Глубокий прикус

50. Глубокий прикус

51. Перекрестный прикус

Это патология прикуса, при
которой нарушено перекрытие
между верхними и нижними
зубами так, что в некоторые
отделы или единичные зубы
нижней челюсти закрывают
соответсвующие верзние или
наоборот

52. Перекрестный прикус

53.

54.

55. Диагностика

Центральная линия
Не совпадение на ВЧ
Не совпадение на НЧ
Причины:
-потеря зубов
-дисфнкция ВНЧС
-скелетная ассиметрия
Скученность зубов

56. Центральная линия

57. ПРИЧИНЫ НЕСОВПАДЕНИИ ЦЛ

-Удаление определенных зубов
Первичная адентия
-Скученность зубов
-Дистопия определенных зубов
-Ретенция определенных зубов
-Дисфункция ВНЧС

58. Черные коридоры

59.

60.

61. Диагностика

Классификация по клыкам и по молярам по
автору Энгль
1кл
2 кл
3 кл

62. Диагностика по Энглю

63. Класиффикация по энглю 1 класс

64. Класиффикация по энглю 2 класс

65. Класиффикация по энглю 2 класс (бугорковый)

66. Класиффикация по энглю 3 класс

67. Диагностика: по 6

68. Классификация по энглю 1 класс по молярам

69. 1 класс по энглю

70. 2 класс по энглю

71. 2 класс по энглю

72. 3 класс по энглю

73.

74. Диагностика

Форма челюстей:
ВЧ в норме парабола
НЧ в норма полуэлипс

75.

76.

77.

Отклонение
Треугольная
Трапецовидная
Сужение симметричноею
Сужение асимметричное

78. Диагностика

Положение зубов:
Ангуляция-мезиодистальный наклон
Тортоаномалия- поворот зуба вокруг оси
Ротация Дистопия- неправильное положение зуба в
челюсти
Ретенция-задержка зуба в челюсти
Адентия:отсутствие зуба, первичная и
вторичная
Транспозиция- неверное положение зубов
Вестибулярный наклон
Небный или язычный наклон

79. диастема

80. трема

81.

82. протрузия

83. ретрузия

84. Небный наклон

85. Язычный наклон

86. ретенция

87. дистопия

88.

89.

90. дизокклюзия

91. Обратное перекрытие

92. Диагностика

Сагиттальный щель челюстей в мм:

93. Саггитальный щель

94.

95. Ротация, тортоаномалия

96.

97.

98.

99. ангуляция

100. ангуляция

101.

102. адентия

103. экструзия

104. Мезиальный наклон

105.

106. Щечный наклон

107. фотопротокол

108. зеркала

109. внеротовые 1.Фас лица без улыбки

110. Фас лица с улыбкой

111. Профиль лица без улыбки

112. Профиль лица с улыбкой

113. Внутриротовые: в прикусе

114. Верхняя челюсть(зеркальное отрожение)

115. Нижняя челюсть(зеркальное отрожение)

116. Боковые справа

117. Боковые слева

118. Для опр саг щели

119. трг

Это рентгеновский снимок головы, который
нужен для диагностики прикуса, то есть
определяем скелетный класс, положение
челюстей к основанию черепа, тип роста
нижней челюсти, наклоны зубов в скелете,
после чего можно планировать методы
лечения, сроки, этапы

120.

121. Основные точки и плоскости

S (sella)- центр турецкого седла
N (nasion)- переход лобной кости к носовой
A- самая глубокая точка ВЧ
B- самая глубокая точка НЧ
Co(condilum)- верхняя точка головки НЧ
Go(gonion)- угол НЧ
Me(mentum)- глубокая точка контура
симфиза
Ans- передняя точка ВЧ
Pns-задняя точка ВЧ

122.

ML-линия НЧ (соеденение Go _Me)
NS- основание черепа
1u(upper)- верхний резец (линия проходит
через апекса до верхушки)
1l(lower)- нижний резец (линия проходит
через апекса до верхушки)
I(insizivi)-резец
II- межрезцовый угол
Oclp (occlusion plane)- окклюзионная линия
(ставим точку на нижний моляр в
дистальный бугорок и точку на верхушку
нижнего резца, обьединяем их)

123. углы

SNA- положение ВЧ к основанию черепа
SNB-положение НЧ к основанию черепа
ANB-разница положении между
ВЧ и НЧ (SNA-SNB)
1NS-наклон верхних резцов
1ML-наклон нижних резцов
II-межрезцовый угол
Go-тип роста НЧ
Wits –подсказывает как лечить пациента:
-с удалением
-без удалении
-дистализация
-мезиализация
B(betta)- определяет скелетный класс

124. значение

Углы
нормы
больше
меньше
SNA
80-82
Прогнатия ВЧ
Ретрогнатия ВЧ
SNB
78-80
Прогнатия НЧ
Ретрогнатия НЧ
ANB
0-4 (1кл)
2 кл
3 кл
1NS
103-108
Протрузия резцов ВЧ
Ретрузия ВЧ
1ML
93-98
Протрузия резцов НЧ
Ретрузия НЧ
II
123-130
биретрузия
бипротрузия
GO
75(нейтральны Вертикальный тип
й тип роста)
роста
WITS
0-4мм
5-7 мм
8-10мм(дистализация/мезиа удаление
лизация)
11 и высше
ортохирургия
B
27-35 (1ск кл)
Скелетный 3 кл
Горизонтальный
тип роста
Скелетный 2 кл

125. Составление план лечения

УДАЛЕНИЕ(премоляры), если:
-wits 8-11
-протрузия резцов ВЧ(уд на ВЧ)
-протрузия резцов НЧ (уд на НЧ)
-бипротрузия резцов (серийное удаление)
-вертикальный тип роста
-профиль: выпуклый, то на ВЧ или серийное
удаление
-профиль: вогнутый, то на НЧ удаление
-скелетный 1 кл, если выпуклый профиль,
бипротрузия, открытый прикус- то серийное
удаление
-скелетный 2 кл(уд на ВЧ)
Скелетный 3 кл(уд на НЧ)

126.

Без удаление:
-горизонтальный тип роста;
-ретрузия резцов
-прямой профиль
-сужение челюстей по ширине
-wits 0-7мм

127. Описание пациента

1.Фас лица: симметричность (лицо, плечи),
губы, складки,улыбка
2 Профиль
3 Зубной диагноз:
-прикус
-центральная линия
-положение зубов
-клас-я по Энглю
-форма дуги
-положение отдельных зубов
4. ОПТГ
5.ТРГ

128. СОСТАВЛЕНИЕ ДИАГНОЗА:

1. Скелетный диагноз:
--класс (1,2,3) по В
--тип роста (верт,гор,нейтр)
--SNA, SNB
--наклон резцов (1NS, 1ML)
2.Симметричность, профиль
3.Зубоальвеолярный: прикус, ЦЛ, Энгль
4. ОПТГ

129. План лечение

1. Санация полости рта:
-лечение
-удаление
-проф чистка
2. Установка брекет-системы:
-вид брекет-системы
-пропись брекета
-паз брекета
3. Последовательность дуг:
1)Нивелирование (выравнивание)
2)Юстировка(работа с прикусом)
3)Стабилизация(импланты, минивинты, коронки)
4)Ретенция(снятие, ретейнер,каппы)

130. МЕЗИОДИСТАЛЬНЫЙ РАЗМЕР ЗУБОВ

8-8,5
7-8
8-9
7-8
7-8
11
12
1
2
3
4
5
6
7
6-7
6-7
8-9
7-8
7-8
11-12
12

131.

Если размеры больше чем в таблице-
макродентия
Если размеры меньше, то микродентия.

132. Установка брекет-системы

х
Х-0,5
Х+0,5
Х-0,5
Х-1
Х-2
Х-2,5
1
2
3
4
5
6
7
х
х
Х+1
х
Х-0,5
Х-1,5
Х-1,5

133. Х=5 нормодентия х=6 макродентия х=4 микродентия

134. Ранее лечение

СИТУАЦИЯ
ЛЕЧИТЬ ИЛИ НЕТ
КАК ЛЕЧИТЬ?
СКЕЛЕТНЫЙ 2 КЛ
Выращиваем НЧ в пик
роста
В сменном прикусе
лечим при риске
травмы губе,между
зубами. OJ высше
10мм, в ост случаях не
трогать!
Лицевая дуга,
аппарат
Гербста,твин блок
СКЕЛЕТНЫЙ 3 КЛ
ДА! Как можно раньше
в ранний сменный
прикус. В постоянном
прикусе можно, но
возможно удаление,
операция может быть
ПСЕВДО 3 КЛ
ДА! Максимально
получить быстро
перекрытия
RPE+FM
MARPE+FM
пластинки,
частичная брекетсистема, RPE

135.

Дефицит
места ВЧ
Незнач дефицит (3-5мм) не
Пластинки, 2*4
трогать. Если апное,проблемы брекетс дыханием-RPE. При сильном система
скелетном сужении- RPE с
опорой на молочные зубы.
При незначительной сужении
ничего или медленное
расширение(пластинки). При
ранней потере молочных-2 *4
брекект система
Перекрестны
й в боковом
Да! Чем раньше, тем лучше, но
чаще в раннем сменном
прикусе. Создать условия НЧ за
счет расширение ВЧ
Расширение ВЧ
(RPE). Если НЧ
не улучшитсядвучелюстной
аппарат,
трейнер,
пришлифовка
молочных зубов

136.

Открытый
прикус
Скелетные формы-нет.
Лечим в постоянном
прикусе.
Исключение: в случае
вредных привычек
(палец, язык, губа), и
убедиться что дышит
носом.
Выгнать язык,
палец (трейнер,
щипы для языка,
остеопат, логопед,
миогимнастика)
В постоянном
прикусе интрузия
моляров.
Глубокий
прикус
Чаще НЕТ. Лечим в
постоянном прикусе и в
пик роста.
Исключение: глубокий
травмирующий прикус,
блок для нижних зубов.
Пластинка с
накусочной,
трейнер, ЛМ
активатор

137. трейнер

138.

139. Lm активатор

140. rpe

141. rpe

142. Съемная пластинка для раширение

143. Пластина с заслонкой для языка

144. Лицевая маска

145. Брекет-система

146. Брекет-система (ПО ФУНКЦИИ)

1. Лигатурные
-дугу прикрепляем с помощью
лигатур
-лигатуры первую неделю
хорошо работают, далее
слабеют за счет еды, слюны
и т.д.
-идет неравномерная нагрузка,
что дает побочный эффект
на пародонт
-пациент ежемесячно приходит
на коррекцию

147.

2. Самолигирующие
-дугу прикрепляем с
помощью крышки брекетов
-идет равномерная нагрузка
и система работает 24\7
-быстрее получаем результат
по сравнению с
лигатурными до 6 месяцев
-раз в 2 месяца пациент
приходит на коррекцию, так
как не нужно менять
лигатуры
-наиболее меньше нагрузка
на пародонт
-легче чистить

148.

149.

3. Лингвальные

150. БРЕКЕТ-СИСТЕМА (ПО ЭСТЕТИКЕ)

МЕТАЛЛИЧЕСКИЕ
КЕРАМИЧЕСКИЕ
САПФИРОВЫЕ
ПЛАСТИКОВЫЕ

151. Паз брекета

152. Паз брекета

-пространство брекета куда ставится дуга,
то есть размер брекета. Паз имеет высоту
и глубину
1) 0,18 паз-0,18*0,28 (посл дуга 0,17*25)
**трема, диастема, более ровный зубной ряд
2) 0,22 паз-0,22*0,28(посл дуга 0,19*25)
3)Н4- 0,22*0,26(посл дуга 0,19*25))
***сложный случай, больше скученность
зубов

153. торк

Торк – это вращение зуба в вестибулооральном
направлении. Торк реализуется путем
придания наклона пазу или
основанию брекета относительно
вестибулярной поверхности.Торк
отрабатывается на последних полнопазных
дугах

154. пропись

Пропись - это значение в градусах
положения корней зубов относительно
челюсти в вестибуло-оральном (наклон
зубов вперед-назад или торк), мезиодистальном (наклон зубов вбок или
ангуляция) и поворот зуба.
Самые популярные:
Roth
MBT
H4
DAMON
EDGUVISE

155. ROTH

На ВЧ:
-Когда скученность зубов, протрузия по
ТРГ
На НЧ:
-норм показания

156. mbt

На ВЧ:
-тремы, диастемы, лечение с удалением
премоляров на ВЧ, если ретрузия резцов
по ТРГ
На НЧ:
-скученность зубов, протрузия по ТРГ

157. ДУГИ

ПО МАТЕРИАЛУ:
-NITI
-CuNITI
-TMA
-SS
По ширине:
-Стандартные
-универсальные
-широкие
-супер широкие

158.

По толщине:
-круглые
-квадратные
-прямоугольные
-плетенные

159. Этапы лечения:

1.Нивелирование (выравнивание):
NiTi 0.12—NiTi 0.14—Niti 0.16—Niti 0.18—Niti
0.16*22—Niti 0.18*25(формирование
ширины дуги)
2. Юстировка (работа с прикусом):
Niti 0.18*25—SS0.19*25
тяги межчелюстные, дистализация,
мезиализация, расширение место для
импланта, закрывать щели, закрытие место
удаленных, минивинты,отрабатывается
торк

160. Этапы лечения:

3. Стабилизация :
SS 0.19*25 до конца лечения (установка
имланта, лэст бэк, бэнд бэк, тяги
продолжаем,минивинты дальше работают,
эластафорсы)
Если сталь больше 2 месяцев отработал, то
поменять на новую, так как металл устает
4.Ретенция:
Снятие брекет-системы, проф чистка
Установить ретейнеры
Установить каппы ретенционные
Фиксация коронки

161. пружины

Открывающие
Из Niti
Размеры 0,10 и 0,12
Закрывающие
Из Niti
Размеры 0,10 и 0,12

162. Металлические лигатуры

163. Резиновые лигатуры

164. Эластофорс (чейны)

165. Крючки, стоперы

166. Лечение прикусных анмалий

167. Открытый прикус

Ставим завышающую пломбу на моляры
симметрично. Ставим симметрично чтобы был
баланс нагрузки на суставы. Нижняя челюсть
при этом ротируется против часовой стрелки и
дает возможность закрыть открытый прикус и
вспомогательно назначаем передние тяги:
трапецовидные, коробочные, двойные на
прямоугольных дугах
Если показание на удаление (серийное
удаление) верхних и нижних премоляров
(выпоклый профиль, напряжение губ,
вертикальный тип роста, бипротрузия резцов):
то закрываем промежутки на стальных дугах с
помощью минивинта с эластафорсом

168. Завышающие накладки

169. Передние тяги

170. Глубокий прикус

Для раскрытие прикуса в переднем отделе
симметрично (на центральные резцы или на
клыки) ставим завышающие пломбы- байт
турбос, что дает нам ротацию нижней челюсти
по часовой стрелки. Если обратный глубокий
прикус, то на нижние резцы.
Дополнительный метод лечение глубокого
прикуса- минивинты.
При глубоком прикусе удаление отдельных
зубов не желательно (горизонтальный тип
роста, ретрузия резцов), прикус еще больше
углубится

171. Байт турбос

172. Дистальный прикус

На прямоугольных дугах назначаем тяги по
2
классу: от верхних клыков до нижних моляров
симметрично, если отсутствует моляр, то можем
установить минивинт в области моляра.
Дистализация (двигать зубы назад) один из
методов лечение дистального прикуса.
Дистализацию можно проводить с опорой на
минивинт или с пружиной.
Если показание к удалению верних премоляров
(скелетный 2 класс, вертикальный тип роста,
протрузия верхних резцов, wits= 8-11, выпуклый
профиль) то закрываем места удаленных с
помощью минивинта на прямоугольных дугах и
доводим клыки по 1 кл по Энглю
Когда есть показание на удаление верхних
премоляров и есть скученность зубов на ВЧ то
лучше удалить на начальном этапе

173. Тяги по 2 кл

174. Мезиальный прикус

Для исправление мезиального прикуса
назначаем тяги по 3 классу от нижнего клыка
до верхнего моляра симметрично.
Для дистализации нижних зубов
устанавливаем минивинт и двигаем нижние
зубы назад.
Если показание на удаление нижних
премоляров (скелетный 3 класс, wits=8-11,
протрузия нижних резцов, вертикальный тип
роста, вогнутый профиль) то закрываем место
на прямоуголных последних дугах
Когда показание на удаление и есть
скученность зубов на нижней челюсти, то
лучше удалить на начальном этапе

175. Тяги по 3 кл

176. Удаление нижних премоляров

177. Перекрестный прикус

При сужении ширины челюсти, когда
переходим на прямоугольные дуги ставим
именно широкие дуги!
Ставим завышающие пломбы чтобы не
было помехи (блокировка)

178. Перекрестные тяги (боковые межчелюстные)

Где сужение, в этой области с оральной
стороны зуба ставим кнопку и даем
нагрузку на минивинт или с
противоположной стороны на зуб

179. Перекрестные передние тяги

Если перекрестный прикус из за смещении
нижней челюсти, то на прямоугольных
дугах даем передние межчелюстные
перекрестные тяги от клыка до клыка

180. минивинты

Классификация (металл):
-сталь SS
-титан Ti
-никель титан NiTi
Способ установки:
-саморежущим путем;
-хирургическим методом.

181.

Размер:
-высота;
-диаметр;
-форма головки: круглая, треугольная, с
отверстием, без отверстии

182. Место установки Мв:

Межкорневые передние:
-длина и диаметр 6*1,5мм; 8*1,5 мм
Зона установки: в области апекса зубов под 90
градусов
При каких случаях?:
-при глубоком прикусе устанавливаем между
центральным и боковым симметрично и делаем
лоссо на дуги
-при кривом канте устанавливаем где ниже, и
поднимая выравниваем (между центральными и
боковыми или между боковым и клыком под 90
градусов в области апексов)
-для выравнивание центральной линии ставим в ту
сторону, куда нам надо двигать центр и можем
дополнительно провести сепарацию фронтальных
зубов

183. Минивинты для глубокого прикуса

184.

МЕЖКОРНЕВЫЕ БОКОВЫЕ
Длина и диаметр: 8*1,5, 10*1,5
Зона установки: по центру между переходной
складкой и деснвым краем под углом 45
градусов и дальше движение вертикально;
При каких случаях?:
-для дистализации (двигать зубы назад)
-для мезиализации (двигать зубы вперед)
-при перекрестном прикусе ( поменять наклон
зуба вестибулярно)
-для интрузии зубов (при синдроме Попова
Годона)
-для закрытие место удаленного зуба

185. дистализация

186. мезиализация

187. интрузия

188. izc

Место установки: IZC
Длина и диаметр: 2*17
Зона установки: на под скуловой гребень в
области 6-го зуба
IZC - infrazygomatic crest - постановка
микроимпланта осуществляется в зону
подскулового гребня, необходима для
дистализации (смещение зубов назад) зубного
ряда на верхней челюсти Он ставится на нужную высоту, чтобы
параллельно совершать дополнительные
движения зубов - внедрение, вытяжение, либо
чистая дистализация

189.

190.

191. Buccal shelf

Место установки: buccal shelf
Длина и диаметр: 2*14
Buccal Shelf - устанавливается в зону
щёчного гребня на нижней челюсти,
так же на разную высоту в зависимости,
необходимы ли дополнительные движения
боковых сегментов.
Показание:
-дистализация
-перекрестный прикус
-наклон щечно

192.

193. Ретромолярная область

Место установки: ретромолярная область
Длина и диаметр: 2*12
Показание:
-дистализация
-апрайдинг 7 зуба

194.

195. Минивинт на неба

Место установки: в неба
Длина и диаметр: 8*1,5
Показание:
-для интрузии
-для дистализации
-для перемещения отдельных зубов
-для разрыва небного шва

196.

197. инструменты

198. мэтью

199. Прямая кусачка

200. Дистальная кусачка

201. Обратный пинцет

202. позиционер

203. Брекет сниматель

204. вайнгард

205. штангенциркуль

206. твид

207. пружина

отк
English     Русский Rules