11.15M
Category: medicinemedicine

Обсуждение плана лечения

1.

Шипачев
Данила Кириллович
Дата консультации и диагностики:
15.08.2025
Обсуждение плана лечения:
22.08.2025
Основные жалобы: на эстетику
глубокий прикус,
Обобщение данных и презентация: скученное положение
зубов на вч и нч
Ответственный врач:
Тарасова Наталья Станиславовна

2.

Нижняя треть лица увеличена.
Средняя линия вч расположена по центру лица.
Профиль лица прямой.

3.

Симметричное положение зрачковой линии, окклюзионная плоскость имеет наклон в I сегменте (экструзия) .

4.

Анализ улыбки
Ширина улыбки от 1.5 до 2.5. Выраженный десневой компонент улыбки.
Сужение в области верхних премоляров.
Суправестибулоположение зубов 1.3 и 2.3 .
Нёбное положение зуба 1.2. Ротация зуба 2.2 .
Перепад in-out между зубами 1.1, 2.1 .
*Фото сбоку: перепад in-out между резцами верхней челюсти.

5.

Средняя линия на нч смещена влево относительно средней линии на вч на 2 - 2.5 мм.
Глубокое резцовое перекрытие.
Сужение в области верхних премоляров.
Суправестибулоположение зубов 1.3 и 2.3 .
Нёбное положение зуба 1.2. Ротация зуба 2.2 .
Перепад in-out между зубами 1.1, 2.1 .

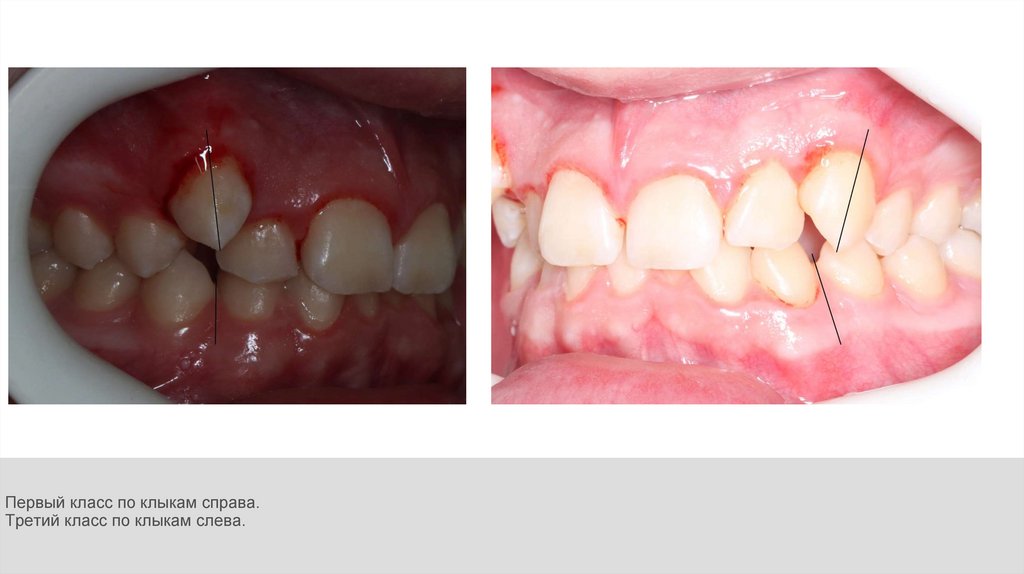
6.

Первый класс по клыкам справа.
Третий класс по клыкам слева.

7.

Верхний зубной ряд:
- перепад in-out между зубами 1.1 и 2.1;
- ротация зубов 1.2, 2.2;
- нёбное положение зуба 1.2;
- суправестибулоположение и дефицит места зубов 1.3
и 2.3;
- сужение и ротации в области премоляров;
Нижний зубной ряд:
- выраженная скученность в области резцов;
- мезиальное смещение, ротация и дефицит места зубов 3.3, 4.3;
- мезиальное смещение боковой группы зубов (премоляров и
моляров).

8.

ТРГ в боковой проекции
Измерение
Норма
Результат
Вывод
<Go
123º-124º
129.4º
вертикальный тип роста нч
<I-NL
105-110º
105.9º
нормальный наклон резцов вч
<I-ML
90-95º
90.3º
<I-I
130º
145.6º
нормальный наклон резцов нч
(?)
биретрузия
<NL-ML
22º-26º
18.5º
гиподивергенция челюстей

25º-34º
25.4º
I класс
(с тенденцией ко II классу)
<LFH
42º± 2.5º
40.9º
снижение высоты прикуса

9.

ТРГ в прямой проекции
Значительной ассиметрии не выявлено .

10.

Penn-анализ
Анализ Penn (верхняя челюсть шире нижней челюсти на 5.07 мм):
5 мм - норма;
2-5 мм — возможна ортодонтическая коррекция;
< 2 мм — хирургически ассистированное расширение.

11.

ОПТГ
Наличие зубов 1.8, 2.8, 3.8, 4.8 .
Отвесный наклон премоляров и моляров на нижней челюсти..

12.

Состояние ВНЧС
Нормальное положение головок ВНЧС (с небольшой тенденцией к
дистальному положению).

13.

Состояние ВНЧС
Нормальное положение головок ВНЧС (с небольшой тенденцией к
дистальному положению).

14.

План лечения 1
(дистализация с помощью мини-винтов)

15.

План лечения 1:
1) Удаление зубов 1.8, 2.8, 3.8, 4.8 .
2) Санация полости рта. Профессиональная гигиена полости рта.
3) Установка брекет-системы на верхнюю челюсть.
4) Установка двух ортодонтических мини-имплантатов на верхнюю челюсть в область IZC для дистализации,
получения места и коррекции наклона окклюзионной плоскости в I сегменте.
5) Установка брекет-системы на нижнюю челюсть.
6) Установка двух ортодонтических мини-имплантатов на нижнюю челюсть в область BSS для апрайта и
получения места.
7) В процессе лечения:
- нивелирование (выравнивание зубов), расширение зубных рядов 4-6 месяцев;
- установка ортодонтических накладок на жевательных зубах;
- нормализация контактов в переднем и боковом отделе при помощи эластиков;
- пришлифовывание зубов на нижней челюсти;
- проведение профессиональной гигиены полости рта;
- снимки в процессе лечения (ОПТГ).
8) Снятие брекет-системы, установка несъемных ретейнеров, ретенционной пластинки на верхнюю челюсть
(на ночь).

16.

План лечения 2
(лечение с удалением в случае
неуспешной дистализации на мини-винтах)

17.

План лечения 2:
1) Проведён этап нивелирования (выравнивания зубных рядов с помощью брекет-системы на верхней и
нижней челюсти).
2) Удаление зубов 1.5, 2.5 . Закрытие постэкстракционных промежутков с помощью эластических цепочек.
3) Удаление зубов 3.4, 4.4 . Закрытие постэкстракционных промежутков с помощью эластических цепочек.
*4) Возможно переустановка двух ортодонтических мини-имплантатов на верхней челюсти в межкорневую
область для сохранения опоры боковой группы зубов.
5) В процессе лечения:
- установка ортодонтических накладок на жевательных зубах;
- нормализация контактов в переднем и боковом отделе при помощи эластиков;
- пришлифовывание зубов на нижней челюсти;
- проведение профессиональной гигиены полости рта;
- снимки в процессе лечения (ОПТГ).
6) Снятие брекет-системы, установка несъемных ретейнеров и ретенционной пластинки на верхнюю челюсть
(на ночь).
English     Русский Rules