9.44M
Category: medicinemedicine

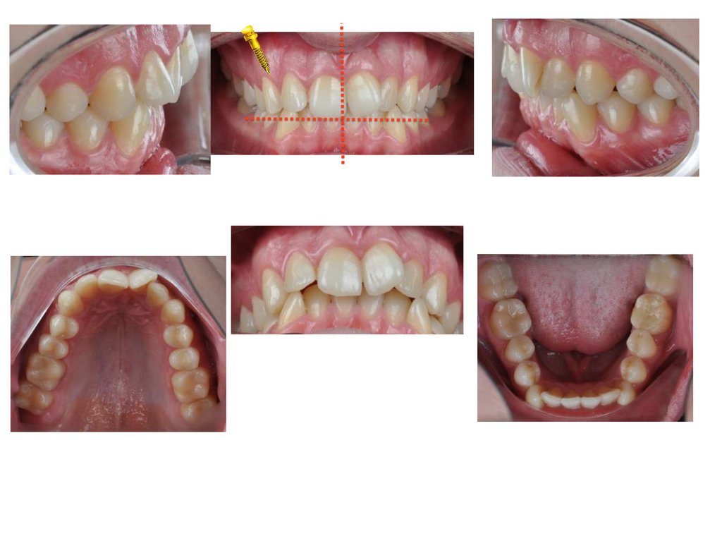
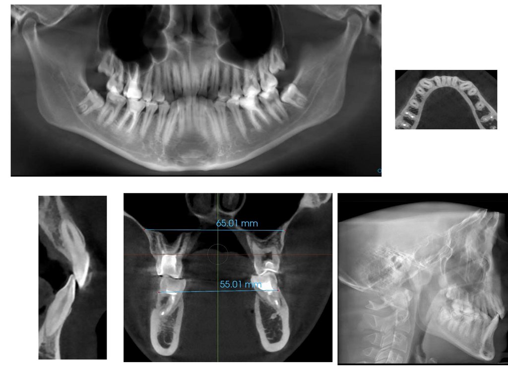
Нормализация положения зубов

1.

2.

3.

4.

ФИО пациента, возраст
Ответственные врачи
1.Нормализация положения
зубов
2. Выведение нижнего и
верхнего фронта из ретрузии
3.Сепарация фронт верх и низ
4. Минивинт 1 сегмент?

5.

Заготовки обозначений
Имплант
K
Коронка/винир,
реставрация
Микроимплант
Х
12 мм
Эластики Гербст
Форсус
Мезиализация Х мм
Мезиализация Х мм
Дистализация Х мм
Дистализация Х мм
Удаление
Расстояние, величина
перемещения
Интруз дуга
Высокий крючок
Комментарий
Комментарий по МИ,
механике, нюансах и тд
Сепарация
Лигатура от МИ
Направление
перемещения
Рычаг (от МИ)
Закрытие/раскрыти
е пространств

Изменение наклонов
Пружина закрывающ.

Изменение наклонов
Пружина раскрывающ.
Цепочка

6.

Комментарии по плану лечения
Особенности
фиксации
Ранние эластики
Разобщение
Особенности
механики
Особые условия
Другое

7.

Сроки и тип междисциплинарных работ
Установка МИ
Дентальные
импланты
Временные
реставрации
Пародонтология
Рем. терапия
ВНЧС
Логопед,
миогимнастика
Остеопат
Другие специалисты
English     Русский Rules