10.34M
Category: medicinemedicine

Цервикальная интраэпителиальная неоплазия и карциномы шейки матки

1.

ЦЕРВИКАЛЬНАЯ
ИНТРАЭПИТЕЛИАЛЬНАЯ
НЕОПЛАЗИЯ И КАРЦИНОМЫ
ШЕЙКИ МАТКИ

2.

• Цервикальная интраэпителиальная неоплазия(CIN)
является ПРЕДРАКОВОЙ ПАТОЛОГИЕЙ. ПОРАЖАЕТСЯ
многослойный плоский и железистый эпителий.
• ЛОКАЛИЗАЦИЯ В ПРЕДЕЛАХ ЭПИТЕЛИЯ.
• Патология ядер ДИСКАРИОЗ

3.

ФАКТОРЫ РИСКА

4.

СТЕПЕНИ ДИСПЛАЗИИ

5.

6.

7.

LSIL(CIN1)

8.

9.

HSIL(CIN 2)

10.

11.

HSIL(CIN 3)

12.

13.

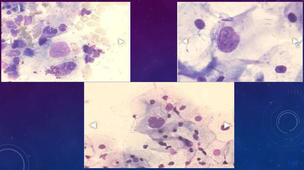
ПЛОСКОКЛЕТОЧНАЯ КАРЦИНОМА С
ОРОГОВЕНИЕМ

14.

15.

16.

17.

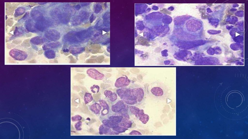
АДЕНОКАРЦИНОМА

18.

19.

СПАСИБО ЗА
ВНИМАНИЕ!
English     Русский Rules