Аневризма аорты
15.41M
Category: medicinemedicine

Аневризма аорты

1. Аневризма аорты

Выполнила студентка 4 курса МФ КБГУ
Специальности «Лечебное дело»
Гаева Асият Владимировна

2.

3.

4.

5.

6.

7.

8.

9.

10.

11.

12.

13.

14.

15.

16.

17.

18.

19.

Клиническая картина
Определяется 3-мя патологоанатомическими факторами
- Расслоением стенки аорты;
- Развитием обширной внутристеночной гематомы;
- Сдавлением или отрывом ветвей аорты,
снабжающих жизненноважные органы, с
последующей их ишемией;

20.

21.

При хроническом расслоении
грудной или брюшной аорты
- Выполняют резекцию аневризмы с протезированием
- Эндоваскулярное протезирование

22.

23.

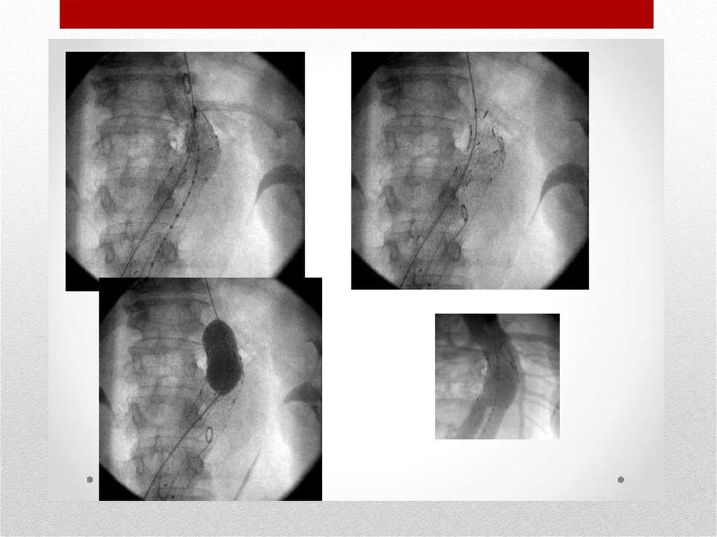
Эндоваскулярное стентирование
Стент вводится в сложенном положении через
небольшой разрез бедренной артерии при помощи
специального проводника и расплавляется в месте
расслоения, фиксируется внутри сосуда и выключает
аневризму из кровотока.

24.

25.

26.

27.

28.

29.

Аневризма брюшной
аорты

30.

31.

32.

33.

34.

35.

36.

37.

38.

39.

40.

41.

42.

43.

44.

45.

46.

Причины возникновения проблемы
- Атеросклероз : его по данным медицинских исследований
принято считать основной причиной проблемы. В 90% болезнь
вызывает именно он;
- Воспалительные процессы. Такая причина встречается гораздо
реже, но также встречается. К провоцирующим болезням в
данном случае относят туберкулез, сифилис, сальмонеллез и
прочие заболевания, которые провоцируют воспаления стенок
сосудов;
- врожденная неполноценность стенки аорты;
- неправильно проведенные хирургические операции,
допущенные при этом ошибки и не качественное
протезирование сосудов;
- Травматические аневризмы. Чаще всего они возникают из-за
травмы живота или позвоночника. Возможно возникновение изза тупого удара в живот или паления с большой высоты;

47.

Характерные симптомы болезни
Наличие аневризмы зачастую может вовсе никак не давать о себе знать. Чаще всего
патология диагностируется при УЗИ либо пальпации живота, когда пациент проходит
плановое обследование либо обращается с жалобами на какое-то другое заболевание.
• Ноющие боли в левой половине живота слабой интенсивности. Возникают из-за того,
что увеличивающаяся в размере аневризма начинает давить на нервные окончания. На
более поздних стадиях боли становятся интенсивнее, отдают в паховую область и
поясницу, чаще всего их путают с почечными коликами;
• Тошнота, рвота, метеоризм. Появляются из-за сдавливания аневризмой стенок
кишечника; иногда пациент может ощущать в брюшной полости распирание,
пульсацию;
• На поздних стадиях могут появляться проблемы с подвижностью нижних конечностей
• Могут возникать трофические язвы, появляется хромота.
• Разрыв аневризмы имеет все признаки острого живота. Это неотложное состояние,
которое при отсутствии медицинской помощи в ближайшее время может привести к
смерти пациента. Симптоматика во многом схожа с другими внутренними
кровотечениями:
• усиленная пульсация в области живота;
• интенсивные боли в животе и пояснице;
• стремительное падение артериального давления и быстрое наступление коллапса.

48.

Способы лечения
• Лечится разрыв аневризмы брюшного отдела
исключительно хирургическим путем. Решить
проблему консервативно не возможно. Даже без
наличия разрыва все равно для избавления от
аневризмы необходимо только делать операцию,
иначе решить эту проблему никак не удастся.
English     Русский Rules