Что такое аневризма?
Исторический обзор
Этиология: Этиологические факторы
Гистология аорты
Патология аорты
4. По морфологии
Классификация аневризм по локализации
Аневризма восходящей дуги аорты (тип A)
Патогенез
Патофизиология аорты
Диссекция аорты
Диссекция аорты
Возникновение диссекции
Расслаивающая аневризма грудной части аорты ( по DeBakey с дополнением Ю.В. Белова)
Диссекция аорты (Тип A)
Диссекция аорты (Тип A)
Клиническая картина
Диагностика аневризмы грудной аорты
КТ-исслед-е
3d-реконструкция аорты (КТ-исследование)
МР-исследование
Аортография
Лечение аневризмы восходящей аорты
Экстраанатомический шунт
Протезирование нисходящего сегмента грудной аорты
Торакоабдоминальные аневризмы (классификация Crawford)
Определение
Исторический обзор
Эпидемиология
Естественное течение и риск разрыва аневризмы
Клиника АБА
Дифференциальный диагноз
Диагностика АБА
Тактика лечения АБА
Показания
Операционный риск
Хирургическое лечение АБА
Техника открытой операции: Неразорвавшаяся аневризма
Осложнения
Эндоваскулярное протезирование брюшной аорты (EVAR)
Преимущества EVAR
Прогноз
20.17M
Category: medicinemedicine

Аневризмы аорты

1.

ФГБОУ ВПО «Воронежский государственный медицинский университет
имени Н.Н. Бурденко» Министерства здравоохранения РФ
Кафедра госпитальной хирургии
Аневризмы аорты
Выполнил: студент л-602
Ворошилов Владислав Геннадьевич
Заведующий кафедрой: д.м.н., профессор, Жданов А.И.

2. Что такое аневризма?

Аневризма грудной части аорты локальное расширение просвета
аорты в 2 раза и более по
сравнению с таковым в
неизмененном ближайшем отделе.

3. Исторический обзор

В 1557 г. Везалий сообщил о мешковидной травматической аневризме груд ной части
аорты
Описание сифилитической диффузной аневризмы грудной части аорты встречено у
Фернеля в 1581 г
Реконструктивная хирургия аневризмы грудной части аорты получила свое начало,
однако, лишь в 40-х годах нашего столетия, когда в 1944 г. J. Alexander, F. Byron первыми
произвели резекцию мешковидной аневризмы грудной части аорты. Их начинание
продолжили в 1948 г. Н. Shumacker и соавт., которые первыми резецировали аневризму
при коарктации аорты с анастомозом аорты конец в конец. О первой успешной резекции
аневризмы грудной части аорты с замещением трансплантатом сообщили в 1953 г. М.
DeBakey, D. Cooley.
1955 год ознаменовался двумя новыми победами в хирургическом лечении аневризм
грудной части аорты — D. Cooley и соавт, сообщили о полном замещении аневризмы
дуги аорты, a F. Ellis и соавт, и независимо от них S. Etteredge осуществили успешные
операции по поводу торакоабдоминальных аневризм.
В СССР первую успешную операцию резекции посттравматической аневризмы грудной
части аорты в условиях И К выполнил 17 апреля 1962 г. М. Н. Аничков. 28 декабря того
же года успешную резекцию мешковидной аневризмы восходящей части аорты с
наложением краевого шва аорты в условиях ИК выполнил А. В. Покровский.

4. Этиология: Этиологические факторы

ААА чаще возникает:
У мужчин
У курящих лиц вне зависимости от пол
После 60 лет
Врожденные: дегенерация
Приобретенные:
эластических волокон и
1-ое место – атеросклероз
дезорганизация средней оболочки
2. Воспаление:
сосудов эластического типа ,
например, при синдроме Марфана специфическое/неспецифическое
3. Микотическая инфекция
4. Травмы, в т.ч ятрогенные

5. Гистология аорты

Интима
Медиа
Гладкая мышечная ткань,
эластин, коллаген,
протеогликаны
Адвентиция
Соединительная ткань(!),
Vasa vasorum

6. Патология аорты

Аневризма корня аорты
Аневризма
Дилатация
(Марфан)
(Гипертония)
(бикуспидальный АК)
(с недостаточностью клапана) (± недостаточность клапана)
(± стеноз клапана)

7.

2. По патогенезу:
• истинные аневризмы;
• ложные аневризмы;
• расслаивающие аневризмы.
Клинические рекомендации: Аневризма брюшной аорты, 2016 г

8.

3. По форме:
• мешковидная;
• диффузная
Клинические рекомендации: Аневризма брюшной аорты, 2016 г

9. 4. По морфологии

• малые аневризмы (d = 3-5 см)
• средние (d = 5-7 см)
• большие (d = более 7 см)
• «гигантские» (в 8-10 раз превышают диаметр
инфраренального сегмента аорты)

10. Классификация аневризм по локализации

• Грудного отдела:
Синуса Вальсальвы
Восходящей части аорты
Дуги аорты
Нисходящей части аорты
Грудной и брюшной частей аорты
Комбинированные
• Торако-абдоминальные;
• Брюшного отдела;

11.

Классификация аневризм аорты
Тип A
Тип B
Тип C
(Классификация по Кули (Cooley))
Тип D

12. Аневризма восходящей дуги аорты (тип A)

6,8 cm

13.

Мешковидная аневризма
дуги аорты (тип B)

14. Патогенез

Развитие аневризм грудной части аорты, помимо самого фактора заболевания
стенки аорты, определяется и двумя другими факторами:
гемодинамическим и механическим.
Гемодинамические
факторы (скорость
кровотока, крутизна
пульсовой волны и
форма ее)
Грудная часть аорты имеет 3
наиболее функционально
напряженных и подвергающихся
хронической, а нередко и острой
травматизации сегмента — корень,
перешеек и диафрагма.

15. Патофизиология аорты

Синтез и деградация
компонентов стенки
Разрыв или диссекция
Дегенерация, кистозный некроз
медии
Увеличение диаметра, гипертония

16. Диссекция аорты

Диссекция аорты характеризуется разрывом
интимы и медиального слоя стенки аорты, с
проникновением крови подинтимально и
формированием ложного просвета (канала).

17. Диссекция аорты

вход
Диссекция аорты
истинный просвет
ложный просвет
ложный
просвет
Просвет аорты
истинный
разрыв
истинный
просвет
истинный
ложный
ложный

18. Возникновение диссекции

Гематома стенки
Локальная диссекция

19. Расслаивающая аневризма грудной части аорты ( по DeBakey с дополнением Ю.В. Белова)

I тип – расслоение аорты на всем ее протяжении
II тип – в процесс вовлечена только восходящая аорта (т.е. до устья брахиоцефального
ствола)
III тип – в процесс вовлечена только нисходящая аорта IIIа – поражение только
нисходящей грудной аорты; IIIb – поражение и нисходящего грудного, и брюшного
отделов аорты
IV тип (дополнение Ю.В. Белова) – поражение только брюшной аорты.

20.

Классификация
диссекций аорты
Тип A
Операция (экстренно)
Тип В
Консервативная терапия

21. Диссекция аорты (Тип A)

КТ- грудной клетки

22. Диссекция аорты (Тип A)

23.

Хроническая диссекция тип B

24.

Эндоваскулярная установка стент-протеза по поводу аневризмы грудной аорты. (А) На
предоперационном снимке видно, что проксимальный перешеек увеличен за счет
транспозиции левой подключичной артерии к левой общей сонной артерии.
(Б) На артериограмме после операции видна транспозиция левой подключичной артерии и
полное изолирование аневризмы стент-протезом.

25. Клиническая картина

Аневризма грудной аорты без
признаков диссекции:
Расслаивающая аневризма грудной
аорты (признаки диссекции):
Болевой синдром
Боль в груди (чаще при диссекции
восходищей аорты)
Синдром сдавления прилежащих
структур:
- диафрагмального нерва(паралич
купола диафрагмы),
- возвратного гортанного нерва
(дисфония),
- трахеобронхиального дерева (хрипы,
кашель),
- пищевода (дисфагия),
- верхней полой вены (синдром
верх.полой вены)
Симптомы ишемии нижних конечностей,
головного мозга вследствие
тромбоэмболии
Возможно отсутствие симптоматики
Боль в спине (чаще при диссекции
нисходящей аорты)
Боль в животе, отсутствие боли
(исследование IRAD, из 977
пациентов, у 63 (6.4%) не было боли
при диссекции аорты. Это были
пациенты старшего возраста, их
клиническая картина состояла чаще
из обморочных состояний,
инсульта или сердечной
недостаточности. Также пациенты,
принимающие стероиды и пациенты
с синдромом Марфана имеют
большую вероятность безболевой
диссекции)
Различия пульса (и артериального
давления) в конечностях.

26. Диагностика аневризмы грудной аорты

Рентгеногафия грудной клетки

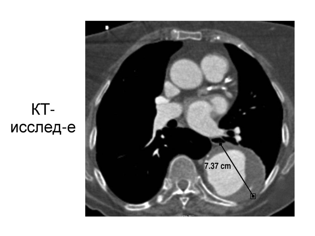
27. КТ-исслед-е

КТисслед-е

28. 3d-реконструкция аорты (КТ-исследование)

3d-реконструкция
аорты (КТисследование)

29. МР-исследование

30. Аортография

31.

Расслаивающая
аневризма дуги
аорты на ТТЭХОКГ

32. Лечение аневризмы восходящей аорты

II

33.

34.

„Биологические протезы“
(восходящая дуга аорты с клапаном)
„Shelhigh-Conduit “
Гомографт

35.

«Биологическая» замена
клапана и восходящей дуги аорты

36. Экстраанатомический шунт

Шунт между восходящей и брюшной аортой

37. Протезирование нисходящего сегмента грудной аорты

38. Торакоабдоминальные аневризмы (классификация Crawford)

Степень I - вовлечена нисходящая грудная аорта, от уровня
левой подключичной артерии до супраренального отдела
брюшной аорты

39.

Торакоабдоминальные аневризмы
(классификация Crawford)
Степень II - на протяжении от уровня левой подключичной
артерии до бифуркации брюшной аорты

40.

Торакоабдоминальные аневризмы
(классификация Crawford)
Степень III - вовлечена дистальная часть грудной аорты до
бифуркации брюшной аорты

41.

Торакоабдоминальные аневризмы
(классификация Crawford)
Степень IV - ограничена брюшной аорты ниже диафрагмы

42.

Эскиз и ангиограмма
аорты перед
операцией. Имеется
торакоабдоминальная
аневризма II типа по
Crawford, возникшая в
результате
хронического
расслоения аорты. В
прошлом больной
перенес замену корня
аорты композитным
протезом.

43.

После начала обходного
кровообращения из
левого предсердия
проксимальную часть
аневризмы изолируют
наложением зажимов
на левую
подключичную
артерию, между левой
общей сонной и левой
подключичной
артериями и в
средней части
нисходящего
сегмента.

44.

Изолированный
сегмент аорты
вскрывается
электроножом

45.

Отслоившуюся часть стенки
иссекают с прошиванием
кровоточащих межреберных
артерий. Подготовка аорты к
проксимальному анастомозу
заключается в пересечении
ее в 1 см от проксимального
зажима и разделении с
пищеводом.

46.

Проксимальный
анастомоз между
аортой и дакроновым
протезом подходящего
размера выполняется
наложением
непрерывного
полипропиленового
шва.

47.

После остановки
обходного
кровообращения и
удаления
дистальной
канюли
проксимальный
зажим
перемещают на
протез и
вскрывают
оставшуюся часть
аневризмы.

48.

Остаток
отслоившейся
стенки иссекают и
находят отверстия
чревного ствола,
почечных и
верхних
брыжеечных
артерий

49.

Снабжение внутренних
органов
оксигенированной
кровью проводится с
путем катетеризации
чревного ствола,
почечных и верхних
брыжеечных
артерий. Важные
межреберные
артерии
подшиваются к
протезу.

50.

Для снижения ишемии
спинного мозга
проксимальный зажим
перемещают к месту
подшивания межреберных
артерий. На уровне
висцеральных артерий в
стенке протеза
проделывается еще одно
овальное отверстие для
последующего подшивания
этих сосудов. Селективную
перфузию висцеральных
артерий проводят до
момента их перемещения
на протез. Нередко для
левой почечной артерии
выполняется отдельный
анастомоз.

51.

После завершения
висцерального
анастомоза
перфузионные
катетеры удаляют,
а зажим
накладывают
дистальнее. В
конце
выполняется
дистальный
анастомоз между
протезом и
аортой.

52.

Изображение и
аортограмма,
демонстрирующие
полную замену
торакоабдоминальной
аорты.

53. Определение

Аневризма брюшной аорты (АБА)– расширение
аорты, в 1,5 раза превышающее ее диаметр в
нерасширенном участке брюшной аорты, или ее
дилатация более 3 см
Клинические рекомендации: Аневризма брюшной аорты, 2016 г

54. Исторический обзор

XVI век, датский анатом Vesalius – первое описание аневризмы
брюшной аорты
XIX век, Astley Cooper описал способ лечения разрыва аневризмы
подвздошной артерии путем перевязки брюшной аорты
Конец XIX века Colt предложил технику проведения шнура в
просвет аневризмы
Первую операцию по замене аневризматического участка
брюшной аорты выполнил Charles Dubost в1951 г.
De Bakey и его сотрудники применили в 1957 г. вязаный
дакрон
Сосудистая хирургия по Хаймовичу, Том 2

55. Эпидемиология

Аневризмы брюшного отдела аорты составляют 3/4 от всех
зарегистрированных случаев аневризм и диагностируются у 0,5–
3,2% населения.
Распространенность в 3 раза выше среди мужчин.
Обычно АБА начинается ниже отхождения почечных артерий
(инфраренально), но иногда в зону аневризмы могут попадать
устья почечных артерий; в 50% случаев аневризма может
захватывать подвздошные артерии.
В целом диаметр аорты ≥ 3см свидетельствует об аневризме
брюшного отдела аорты. Большинство ААА являются
веретенообразными. Многие могут содержать ламинарный тромб.

56.

57.

Классификация
Аневризм брюшной аорты по Crawford
• Инфраренальная – расширение брюшного отдела аорты ниже
уровня почечных артерий
• Юкстаренальная – расширение аорты начинается сразу ниже
почечных артерий (без «шейки»).
• Параренальная – расширение аорты начинается на уровне устьев
почечных артерий.
• Супраренальная – расширение аорты распространяется выше
почечных артерий (соответствует IV типу торакоабдоминальных
аневризмы по Crawford)

58.

Классификация
Классификация аневризм брюшной аорты по А.В. Покровскому:
I тип – аневризма проксимального сегмента брюшной аорты с
вовлечением висцеральных ветвей;
II тип – аневризма инфраренального сегмента без вовлечения
бифуркации;
III тип – аневризма инфраренального сегмента с вовлечением бифуркации
аорты и подвздошных артерий;
IV тип – тотальное поражение брюшной аорты.

59.

60.

61. Естественное течение и риск разрыва аневризмы

Чаще всего разрыв аневризмы случается в задне-боковом участке
стенки аорты и открывается в ретроперитонеальное пространство,
но может произойти и в передней полуокружности и открываться
в свободную брюшную полость.
Наиболее быстрое прогрессирование наблюдается в случаях
аневризм от 50 мм и более.
Важно отметить, что более
80% аневризм демонстрируют неуклонное увеличение диаметра, а
15–20% растут быстрее, чем на 0,5 см в год.

62.

Клиника АБА
Первый симптом –
патологическая
пульсация в проекции
брюшного отдела
аорты
При обследовании:
Пальпаторно:
малосмещаемое
пульсирующие образование
Аускультативно:
систолический шум
По мере прогрессирования: (увеличение размера)
Болезненная пульсация в животе
Боль в животе с иррадиацией в позвоночник
При разрыве аневризмы брюшной части
аорты:
1. Выраженная артериальная гипотензия
(коллапс)
2. Интенсивная боль в животе и спине
3. Пульсирующее образование в брюшной
полости

63. Клиника АБА

1. Неразорвавшаяся аневризма:
75% - случайная находка при рутинных
медицинских осмотрах и диагностических
исследованиях
Хроническая боль в животе или спине

64.

2. Разорвавшаяся аневризма:
Триада симптомов
Резко возникающая боль в центральной или
боковых отделах живота
Шок (гипотензия)
Наличие пульсирующего образования в животе

65.

При разрыве аневризмы в полые органы желудочно-кишечного
тракта ведущими в клинической картине выступают симптомы
желудочно-кишечного кровотечения (ЖКК), которым обычно
предшествуют слабость, тошнота, рвота, длительные боли в
подложечной области или слева от пупка с иррадиацией в спину, пах
и нижнюю конечность.
Иногда первым проявлением заболевания могут оказаться симптомы
кишечной непроходимости, что обусловлено первичной
«тампонадой» просвета кишки свернувшейся кровью, а ЖКК
возникает несколько позже.

66. Дифференциальный диагноз

Почечная колика
Пролапс межпозвоночного диска
посничного отдела
Ишалгия
Перфорация пептической язвы
Острый панкреатит
Острый холецистит
Тромбоз мезентериальных сосудов
Острый дивертикулит

67. Диагностика АБА

1. УЗИ
2. КТА
3. МРТ
4. Рентгенография органов брюшной полости
5. Артериография
Выявляется чаще всего случайно
Подтверждение при проведении компьютерной томографии или ультразвукового
исследования органов брюшной полости
Иногда по результатам КТ ангиографии или МРТ.
Плюсы УЗИ:
+ доступность
+ безопасность
+ высокая информативность

68.

69.

70.

Abdominal Aortic Pseudoaneurysm (CT Scan)
© 2017 Elliot K. Fishman, MD.

71.

72. Тактика лечения АБА

73. Показания

1. РАЗРЫВ АНЕВРИЗМЫ БРЮШНОЙ
АОРТЫ
2. Быстро растущая и клинически
выраженная аневризма
3. Бессимптомные аневризмы
4. Осложненные аневризмы
5. Атипичные аневризмы

74. Операционный риск

возраст (больше 76 лет)
креатинин более 190 ммоль/л
гемоглобин менее 9 г/дл
утрата сознания
ЭКГ- признаки ишемии

75. Хирургическое лечение АБА

76. Техника открытой операции: Неразорвавшаяся аневризма

Доступы:
1. Трансабдоминальный:
Длинный продольный разрез
Широкий поперечный доступ
2. Ретроперитонеальный

77.

1. Проксимальный зажим
2. Дистальный зажим
3. Продольное рассечение
аневризмы
(Т-образный разрез)
4. Удаление стеночных
тромбов и атероматозных
образований из стенки
аневризмы
5. Остановка
коллатерального кровотока

78.

79.

Техника открытой операции:
Разорвавшаяся аневризма
хирургический гемостаз!!
– пережатие аорты выше аневризматического расширения: под
почечными артериями, под диафрагмой доступом через малый
сальник путем полной срединной лапаротомии или в
нижнегрудном отделе аорты через передне-боковую
торакотомию;
– введением баллона-окклюдера доступом через подмышечную
(плечевую) или бедренную артерию под рентген-контролем.
После обеспечения частичного гемостаза следует
продолжить реанимационные мероприятия, направленные
на восстановление объема циркулирующей крови,
стабилизации витальных функций.

80. Осложнения

1. Кровотечения
2. Гипотензия при восстановлении кровотока
3. Почечная недостаточность
4. Повреждения мочеточников
5. Ишемия нижних конечностей
6. Ишемический колит
7. Аортокишечные фистулы

81. Эндоваскулярное протезирование брюшной аорты (EVAR)

Технически представляет собой имплантацию в
просвет аорты специального устройства (стентграфт, или эндографт), представляющег собой
сочетание
внутрисосудистого
стента
и
сосудистого протеза.

82.

83. Преимущества EVAR

1. Проксимальный контроль без общей
анестезии
2. Установка эндопротеза из удаленного
доступа
3. Снижение кровопотери

84. Прогноз

5-летняя выживаемость больных после плановых
открытых операций варьирует от 60 до 75% по
сравнению с приблизительно 80% в общей
популяции, схожей по возрасту и полу

85.

Спасибо за внимание!
English     Русский Rules