Титов Виктор Валерьевич 30 лет
Портретные фото
Внутриротовые фото
Ведения
Ортопантомограмма
Предварительный диагноз:
Срезы зубов верхней челюсти
Срезы зубов нижней челюсти
Правый ВНЧС
Левый ВНЧС
Penn анализ
Выводы
Выводы
23.93M
Category: medicinemedicine

Презентация Титов

1. Титов Виктор Валерьевич 30 лет

Основная жалоба: направил стоматолог
Dr.Khvalevich

2. Портретные фото

Лицо симметричное. Десневой улыбки нет.

3.

«Эмма» отрицательная

4.

Профиль лица выпуклый.

5.

Центр верхнего и нижнего зубных рядов и центр лица
совпадают.

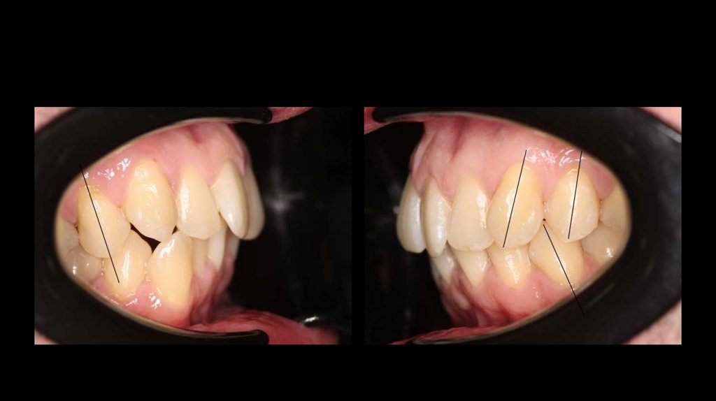
6. Внутриротовые фото

Избыточная небная инклинация жевательных зубов.
Центры верхнего и нижнего зубных рядов совпадают.

7.

Наличие рецессий десны 1.6-1.4, 2.4-2.6, 3.7-3.4, 4.3-4.6

8.

9. Ведения

10.

Сужение нижней зубной дуги.
Аномалии положения зубов.
Наличие фасеток стираемости на зубах.
Наличие рецессий десны и клиновидных
дефектов.

11. Ортопантомограмма

12.

Объективно:
Контуры лица симметричны. Открывание рта свободное, безболезненное.
Девиация.
Пальпация жевательных мышц и ВНЧС безболезненна.
Хруст и щелчки в ВНЧС не аускультируется.
Слизистая оболочка розового цвета, не гиперемирована, не отчена, без
видимых патологических изменений. Уздечка верхней губы, нижней
губы и языка в норме.
Центральные линии не совпадают.
Аномалии положения зубов.
Классы по Энглю
по клыкам
по молярам
Справа
II
I
Слева
II
I

13. Предварительный диагноз:

К 07.2 Аномалия соотношения зубных дуг
К 07.23 Чрезмерно глубокий вертикальный прикус
К 06.01 Рецессия десны. Генерализованная

14. Срезы зубов верхней челюсти

15. Срезы зубов нижней челюсти

16. Правый ВНЧС

17. Левый ВНЧС

18.

19. Penn анализ

Наклон моляров:
U6 (N = 100.0º±4.0º)
L6 (N = 77.0º±5.0º)
Ширина базисов:
J-J (N = 62.0 мм±3.0 мм)
Md-Md (N = 57.0 мм±3.0 мм)

20. Выводы

1. Скелетный II класс, обусловленный диспропорцией расположения
апикальных базисов челюстей в сагиттальном направлении.
2. Присутствовал нейтральный тип роста.
3. Высота нижней трети лица по Ricketts в норме.
4. Сужения и уменьшения объема воздухоносных путей не выявлено.
5. Центральное нижнее положение правой суставной головки
височнонижнечелюстного сустава .Центральное положение левой
суставной головки височно-нижнечелюстного сустава ( измерения
сделаны по центру суставной головки ).
Нижняя челюсть:
Верхняя челюсть:
Параметры наклона и положения зубов:
1. Размер основания верхней челюсти по сагиттали в норме.
2. Ширины базиса верхней челюсти в норме (Penn анализ).
3. Тенденция к прогнатии верхней челюсти. Ретроинклинация верхней
челюсти.
4. Ротация верхней челюсти в Roll и Yaw плоскости отсутствует.
1. Межрезцовая линия на верхней челюсти смещена относительно
срединно-сагиттальной линии на 0,5 мм влево, на нижней челюсти
смещена на 0,5 мм вправо.
2. Ретрузия зуба 2.1. Протрузия зуба 4.1.
3. Тенденция к глубокой резцовой окклюзии. Вертикальное резцовое
перекрытие увеличено до – 4,4 мм (N = 2,5 мм ± 2 мм).
4. Сагиттальное резцовое перекрытие в норме – 2,7 мм (N = 2,5 мм ±
2,5 мм).
1. Длина тела нижней челюсти справа в норме, слева в норме.
2. Длина ветви нижней челюсти справа в норме, слева в норме.
3. Ширина базиса нижней челюсти в норме.
4. Нормогнатия нижней челюсти. Ретроинклинация нижней челюсти.
5. Смещение подбородка на 0,9 мм влево.
6. Ротация нижней челюсти в Roll и Yaw плоскости отсутствует.

21.

22.

23. Выводы

English     Русский Rules