Исследования, применяемые для диагностики различных форм кариеса
ОСОБЕННОСТИ КЛИНИЧЕСКОГО ТЕЧЕНИЯ КАРИЕСА ВРЕМЕННЫХ ЗУБОВ
ОСОБЕННОСТИ КЛИНИЧЕСКОГО ПРОЯВЛЕНИЯ КАРИЕСА У ДЕТЕЙ РАННЕГО ВОЗРАСТА
ОСОБЕННОСТИ КЛИНИЧЕСКОГО ПРОЯВЛЕНИЯ КАРИЕСА ВРЕМЕННЫХ ЗУБОВ У ДЕТЕЙ РАЗЛИЧНОГО ВОЗРАСТА
Циркулярный кариес
В возрасте после 4 лет КАРИЕС преимущественно развивается:
СТОМАТОАНТРОПОЛОГИЧЕСКИЙ ФЕНОМЕН (Окушко В.Р.)
СТОМАТОАНТРОПОЛОГИЧЕСКИЙ ФЕНОМЕН (Окушко В.Р.)
ОСОБЕННОСТИ КЛИНИЧЕСКОГО ПРОЯВЛЕНИЯ КАРИЕСА В ЗАВИСИМОСТИ ОТ АКТИВНОСТИ КАРИОЗНОГО ПРОЦЕССА
При компенсированной форме кариеса:
ОСОБЕННОСТИ КЛИНИЧЕСКОГО ПРОЯВЛЕНИЯ КАРИЕСА В ЗАВИСИМОСТИ ОТ АКТИВНОСТИ КАРИОЗНОГО ПРОЦЕССА
ОСОБЕННОСТИ КЛИНИЧЕСКОГО ПРОЯВЛЕНИЯ КАРИЕСА В ЗАВИСИМОСТИ ОТ АКТИВНОСТИ КАРИОЗНОГО ПРОЦЕССА
КЛИНИЧЕСКАЯ КАРТИНА НАЧАЛЬНОГО КАРИЕСА при компенсированной форме:
КЛИНИЧЕСКАЯ КАРТИНА НАЧАЛЬНОГО КАРИЕСА при декомпенсированной форме:
Начальный кариес (кариес в стадии пятна)
Начальный кариес (кариес в стадии пятна)
Начальный кариес (кариес в стадии пятна)
Начальный кариес (кариес в стадии пятна)
Начальный кариес (кариес в стадии пятна)
Начальный кариес (кариес в стадии пятна)
КЛИНИЧЕСКАЯ КАРТИНА ПОВЕРХНОСТНОГО КАРИЕСА
КЛИНИЧЕСКАЯ КАРТИНА СРЕДНЕГО КАРИЕСА при компенсированной форме:
КЛИНИЧЕСКАЯ КАРТИНА СРЕДНЕГО КАРИЕСА при декомпенсированной форме:
Глубокий кариес
МЕТОДЫ ДИАГНОСТИКИ КАРИЕСА У ДЕТЕЙ
Витальное окрашивание зубов
МЕТОДЫ ДИАГНОСТИКИ КАРИЕСА У ДЕТЕЙ
МЕТОДЫ ДИАГНОСТИКИ КАРИЕСА У ДЕТЕЙ
МЕТОДЫ ДИАГНОСТИКИ КАРИЕСА У ДЕТЕЙ
Люминесцентная диагностика (флюоресценция)
Флюоресцентный стоматоскоп
Коронки из диоксида циркония в ультрафиолете 
Трансиллюминация
DIAGNOCAM CAVO
DIAGNOCAM CAVO
DIAGNOCAM CAVO
МЕТОДЫ ДИАГНОСТИКИ КАРИЕСА У ДЕТЕЙ
Электроодонтодиагностика
МЕТОДЫ ДИАГНОСТИКИ КАРИЕСА У ДЕТЕЙ
Кариес на рентгеновских снимках
Рентгенологическая классификация кариеса
МЕТОДЫ ДИАГНОСТИКИ КАРИЕСА У ДЕТЕЙ
МЕТОДЫ ДИАГНОСТИКИ КАРИЕСА У ДЕТЕЙ
СПАСИБО ЗА ВНИМАНИЕ!
15.50M
Category: medicinemedicine

Тема 4 Методы обследования

1. Исследования, применяемые для диагностики различных форм кариеса

2.

ОСОБЕННОСТИ КЛИНИЧЕСКОГО
ТЕЧЕНИЯ КАРИЕСА ЗУБОВ
У ДЕТЕЙ

3. ОСОБЕННОСТИ КЛИНИЧЕСКОГО ТЕЧЕНИЯ КАРИЕСА ВРЕМЕННЫХ ЗУБОВ

► во временных зубах течение кариеса более быстрое,
чем в постоянных;
► разрушение эмали происходит на значительной
поверхности по протяженности;
► процесс быстро достигает эмалево-дентинной границы;
► дентин ускоренно подвергается разрушению
Такое течение объясняется тем, что у временных
зубов:
► слой эмали намного тоньше, чем у постоянных;
► на поверхности эмали имеются многочисленные поры
и микроттрещины;
► в дентине имеются широкие маломинерализованные
зоны;
► отложение вторичного дентина замедлено

4. ОСОБЕННОСТИ КЛИНИЧЕСКОГО ПРОЯВЛЕНИЯ КАРИЕСА У ДЕТЕЙ РАННЕГО ВОЗРАСТА

У детей в возрасте от 1года до 3 лет КАРИЕС
чаще возникает:
► на зубах, имеющих порочно развитые ткани в виде
гипоплазии;
► ткани этих зубов недостаточно минерализованы;
► чаще поражаются резцы;
► затем моляры и клыки;
► преимущественная локализация кариозной полости на
вестибулярной и контактной поверхности резцов ;
► а также в фиссурах моляров;
► нередко кариес начинается в пришеечной области;
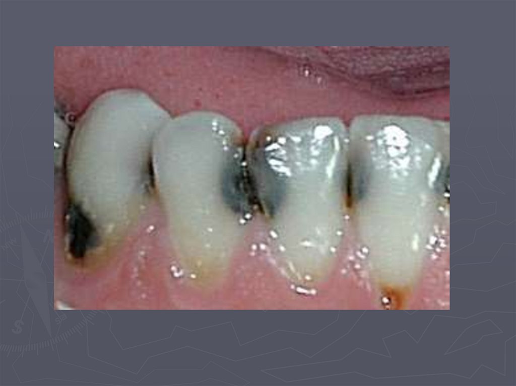
► процесс распространяется вокруг всей коронки;
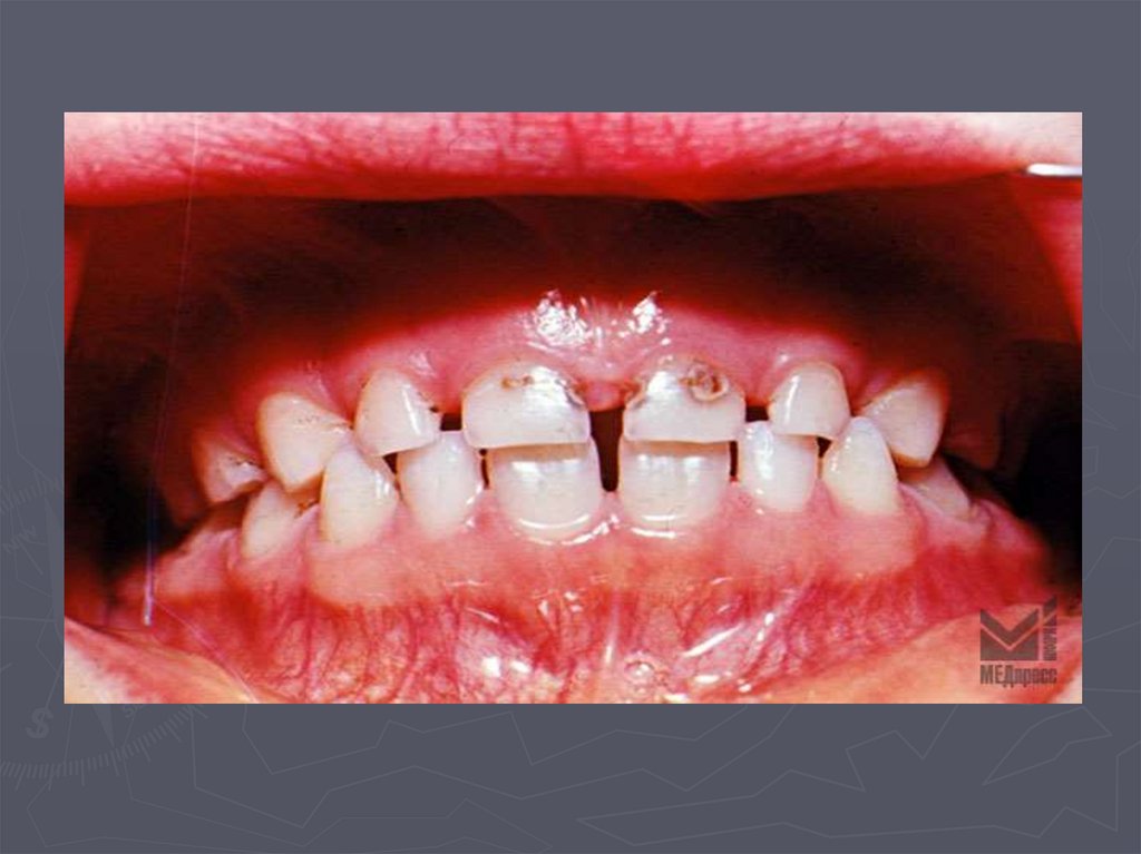
► формируется циркулярный кариес.

5. ОСОБЕННОСТИ КЛИНИЧЕСКОГО ПРОЯВЛЕНИЯ КАРИЕСА ВРЕМЕННЫХ ЗУБОВ У ДЕТЕЙ РАЗЛИЧНОГО ВОЗРАСТА

При клиническом осмотре выявляются:
► кариозные полости по глубине мелкие;
► имеют плоскую форму;
► входное отверстие в кариозную полость широкое
► эмаль по краям кариозной полости хрупкая;
► инфицированный дентин в полости влажный.
,

6.

7.

8. Циркулярный кариес

9. В возрасте после 4 лет КАРИЕС преимущественно развивается:

► у детей, которые плохо жуют;
► избегающих принимать жесткую пищу;
► у детей со сниженной самоочищаемостью полости рта;
► при неудовлетворительном гигиеническом состоянии
полости рта;
► у этих детей чаще поражаются моляры;
► локализуются кариозные полости на апроксимальных
поверхностях;
► полости имеют небольшое входное отверстие;
► эмаль по краям кариозной полости нависает;
► эмаль хрупкая, тонкая;
► дентин разной плотности.

10.

11.

12.

13. СТОМАТОАНТРОПОЛОГИЧЕСКИЙ ФЕНОМЕН (Окушко В.Р.)

Кариес возникает у детей, которые
охвачены акселерацией физического
развития.
В этих случаях:
►происходит раннее прорезывание зубов;
►сокращаются сроки амелогенеза на 1-1,5
года;
►преждевременно прорезавшиеся зубы
находятся на стадии структурнофункциональной незрелости;

14. СТОМАТОАНТРОПОЛОГИЧЕСКИЙ ФЕНОМЕН (Окушко В.Р.)

►кариесрезистентность данных зубов
снижена;
►прорезавшись преждевременно, они
контактируют с окружающей агрессивной
средой полости рта ;
►воздействие микроорганизмов полости рта
на подобную эмаль способствует более
быстрому развитию процесса
деминерализации.

15. ОСОБЕННОСТИ КЛИНИЧЕСКОГО ПРОЯВЛЕНИЯ КАРИЕСА В ЗАВИСИМОСТИ ОТ АКТИВНОСТИ КАРИОЗНОГО ПРОЦЕССА

16. При компенсированной форме кариеса:

► отмечается высокая устойчивость тканей зубов к
кариесу;
► индекс кп, КПУ, кп +КПУ не более 3;
► поражаются преимущественно моляры;
► кариозные полости локализуются преимущественно на
жевательной поверхности;
► осложненный кариес развивается редко;
► удаленные зубы отсутствуют;
► редко наблюдается выпадение пломб, развитие
вторичного кариеса, переход неосложненной формы в
осложненный;
► прирост кариеса невысокий.
Компенсированная форма кариеса встречается у
детей здоровых, практически здоровых;

17. ОСОБЕННОСТИ КЛИНИЧЕСКОГО ПРОЯВЛЕНИЯ КАРИЕСА В ЗАВИСИМОСТИ ОТ АКТИВНОСТИ КАРИОЗНОГО ПРОЦЕССА

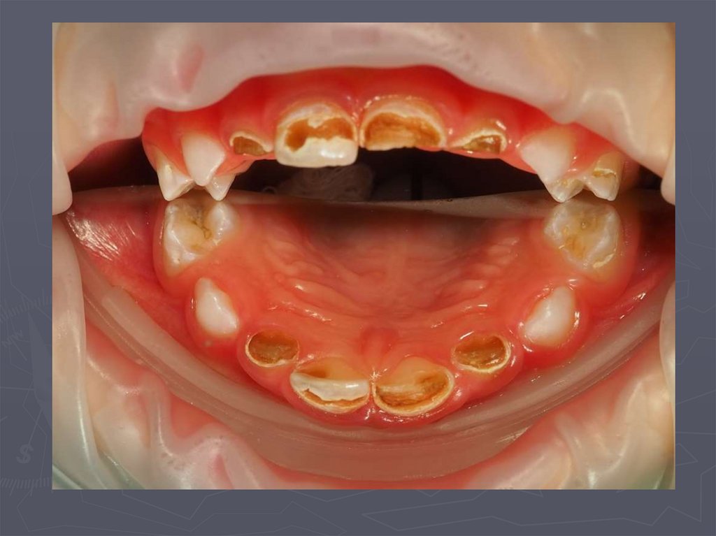
При декомпенсированной форме кариеса:
► индекс кп, КПУ, кп+КПУ до 7 и более;
► отмечается высокий процент осложненного
кариеса;
► развиваются частые обострения в ранее
депульпированных зубах;
► осложнения в зубах, ранее леченных по поводу
среднего и глубокого кариеса;
► у этой категории детей больше показаний к
удалению зубов;
► в одном зубе может быть несколько кариозных
полостей;

18. ОСОБЕННОСТИ КЛИНИЧЕСКОГО ПРОЯВЛЕНИЯ КАРИЕСА В ЗАВИСИМОСТИ ОТ АКТИВНОСТИ КАРИОЗНОГО ПРОЦЕССА

При декомпенсированной форме кариеса
(продолжение):
► кариозные полости преимущественно
локализуются на апроксимальных поверхностях;
► наблюдается частое выпадение пломб;
► часто развивается вторичный кариес;
► определяется высокий прирост кариеса .
Декомпенсированная форма кариеса
развивается у детей ослабленных, часто
болеющих, имеющих хронические соматические
заболевания.

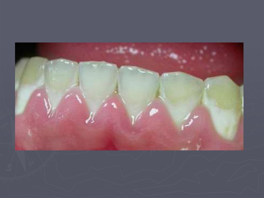
19. КЛИНИЧЕСКАЯ КАРТИНА НАЧАЛЬНОГО КАРИЕСА при компенсированной форме:

► заболевание протекает бессимптомно;
► участок поражения может быть покрыт зубным
налетом;
► в участке поражения пятно меловидное или
пигментированное;
► эмаль пятна матовая;
► поверхность пятна гладкая, плотная;
► зондирование безболезненно;
► на температурные раздражители не реагирует.

20. КЛИНИЧЕСКАЯ КАРТИНА НАЧАЛЬНОГО КАРИЕСА при декомпенсированной форме:

►пятно белого или светло-коричневого
цвета;
► пятно не имеет четких границ;
► эмаль пятна тусклая;
► поверхность пятна шероховатая ;
►при зондировании эмаль неплотная.

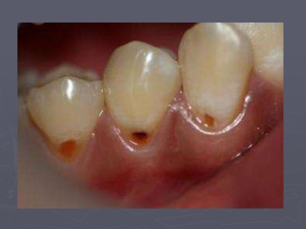
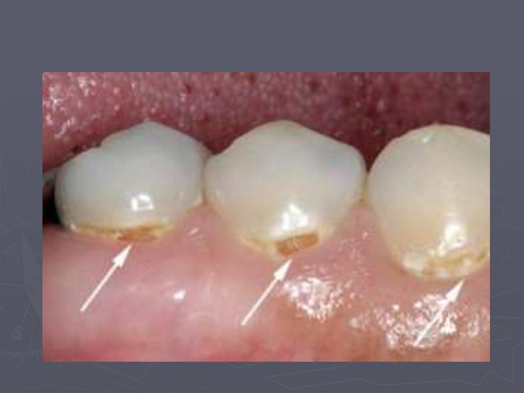
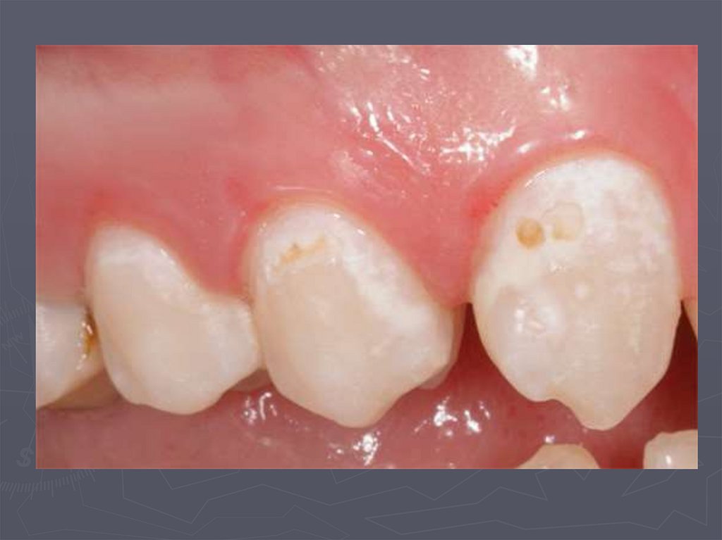
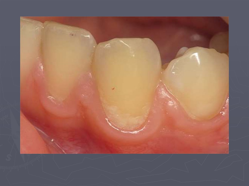
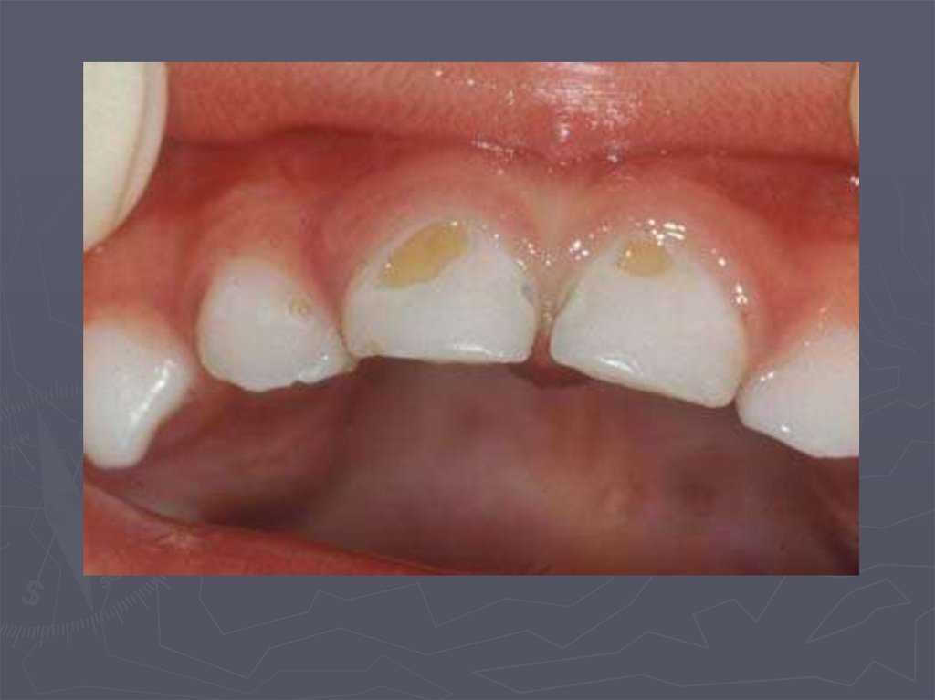
21. Начальный кариес (кариес в стадии пятна)

22. Начальный кариес (кариес в стадии пятна)

23. Начальный кариес (кариес в стадии пятна)

24.

25. Начальный кариес (кариес в стадии пятна)

26. Начальный кариес (кариес в стадии пятна)

27. Начальный кариес (кариес в стадии пятна)

28.

29.

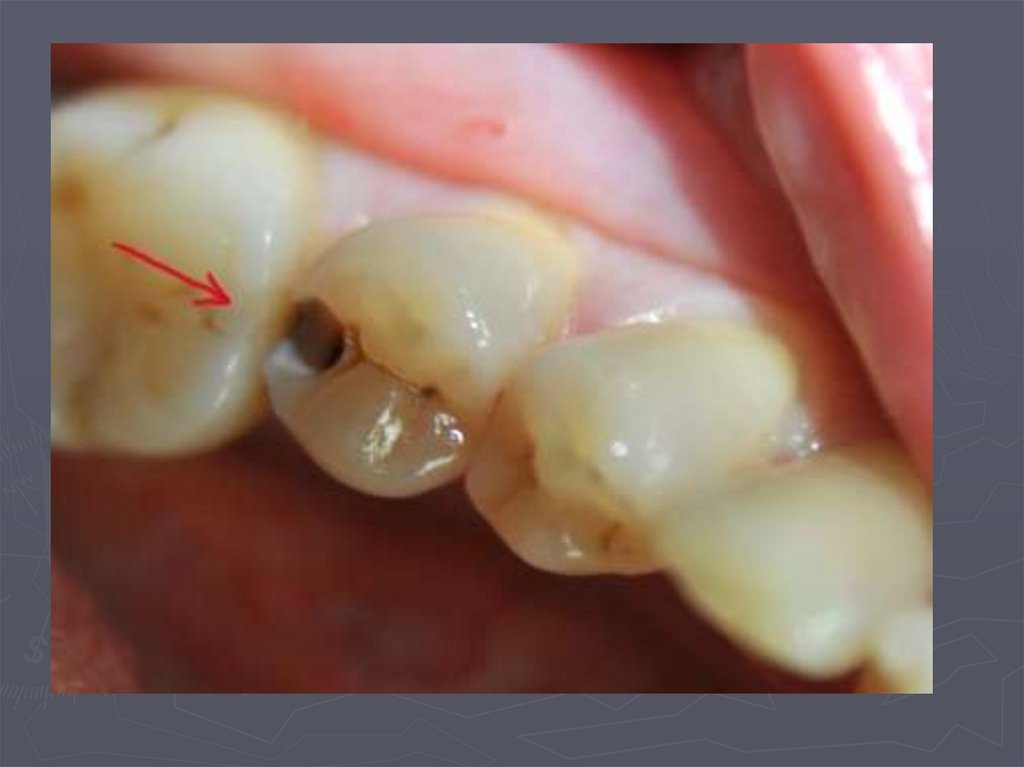
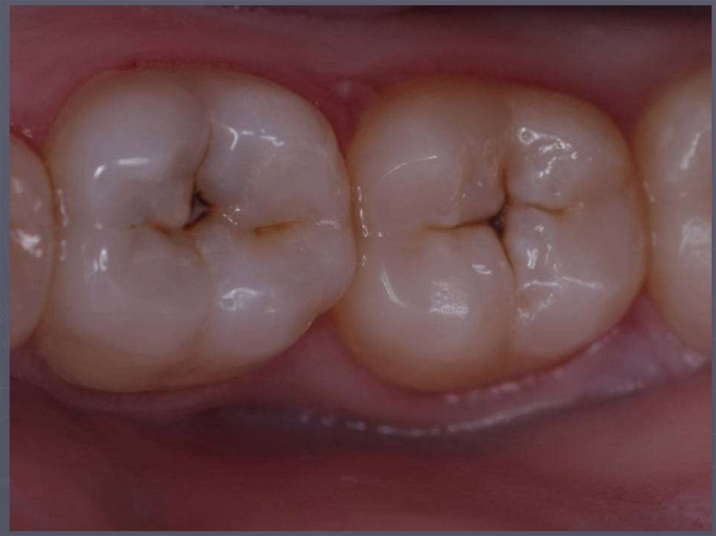
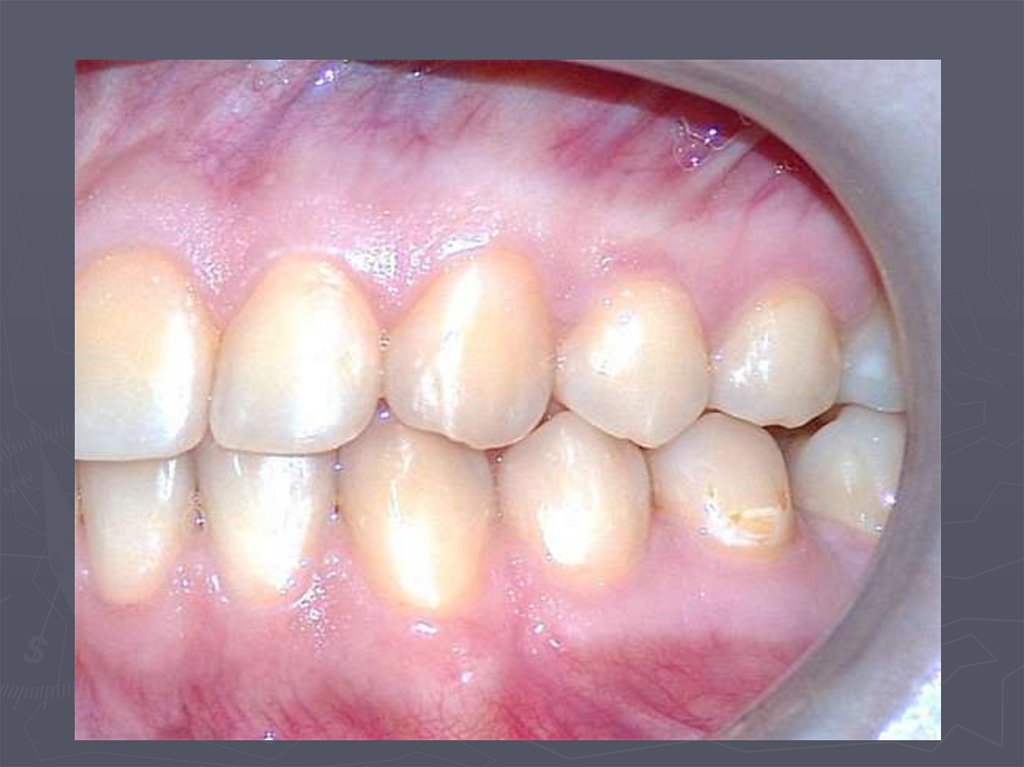
30. КЛИНИЧЕСКАЯ КАРТИНА ПОВЕРХНОСТНОГО КАРИЕСА

►отмечается быстропроходящая боль от
сладкого, соленого, иногда от
механических раздражителей;
►поверхность эмали зуба шероховатая;
►при зондировании определяется
неглубокий дефект;
►при зондировании может определяться
легкий дискомфорт.

31.

32.

33.

34.

35.

36.

37. КЛИНИЧЕСКАЯ КАРТИНА СРЕДНЕГО КАРИЕСА при компенсированной форме:

► отмечается быстропроходящая боль от
химических, термических, иногда от
механических, раздражителей;
► края кариозной полости закругленные, ровные;
► эмаль плотная;
► дентин плотный, пигментированный;
► при зондировании болезненность определяется
по эмалево-дентинному соединению.

38. КЛИНИЧЕСКАЯ КАРТИНА СРЕДНЕГО КАРИЕСА при декомпенсированной форме:

► при локализации кариозной полости в фиссурах
определяется небольшое входное отверстие;
► при раскрытии обнаруживается кариозная
полость с податливым дентином;
► края кариозной полости нависают;
► эмаль тонкая, хрупкая;
► дентин светлый, влажный, размягченный, легко
удаляется экскаватором;
► зондирование болезненно по
эмалево-дентинному соединению.

39.

40.

41.

42.

43.

44.

45.

46.

47.

48.

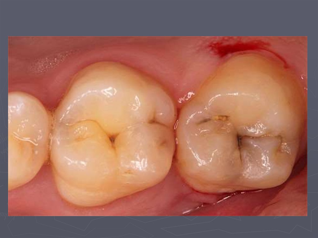
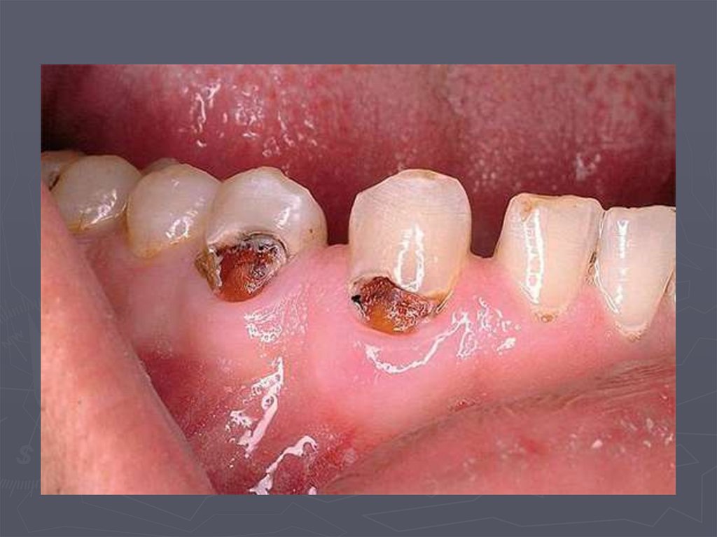
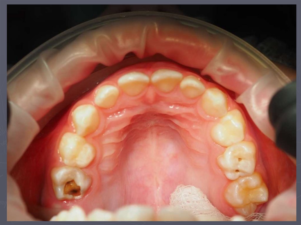
49. Глубокий кариес

► во временных и постоянных зубах с
несформированными корнями практически не
диагностируется.
Клинически глубокий кариес:
► наблюдается в постоянных зубах со сформированными
корнями;
► боли от механических ,химических, температурных
раздражителей;
► после устранения причины боль исчезает;
► кариозная полость значительных размеров;
► дентин размягченный, пигментированный;
► зондирование болезненно по дну.

50.

51.

52.

53.

54.

55.

56.

57.

58.

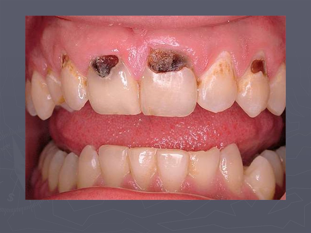
1. Кариес в стадии меловидного пятна.
2. Кариес осложненный пульпитом.

59.

60.

61.

62.

63.

64.

65.

66.

67.

68.

69.

70.

71.

72.

73. МЕТОДЫ ДИАГНОСТИКИ КАРИЕСА У ДЕТЕЙ

Основные методы д-ки: опрос, осмотр, зондирование,
перкуссия, температурные пробы.
Дополнительные методы:
1. ПРИЖИЗНЕННАЯ ОКРАСКА ТКАНЕЙ ЗУБА
проводится для выявления начального кариеса:
зуб очистить от налета;
обработать антисептиком, высушить;
нанести 2% водный раствор метиленовой сини
на 2-3 минуты, прополоскать рот водой;
При наличии кариозного поражения участки
деминерализации окрашиваются в синий цвет:
► при I степени активности - слабое окрашивание (голубой цвет)
► при II-III степени – интенсивное окрашивание (темно-синий
цвет).

74. Витальное окрашивание зубов

75. МЕТОДЫ ДИАГНОСТИКИ КАРИЕСА У ДЕТЕЙ

Термометрический метод.
Для определения реакции зуба на раздражитель используется
► холодная вода / лед
► хлорэтан (-5̊С) / замороженный углекислый газ - сухой лед (-75̊С)
► разогретый штопфер или разогретая гуттаперча.
Но в детской практике, термодиагностика практически не используется.
Учитывая особенности психологии ребенка, его страх, возраст, все методы
обследования, начиная с осмотра, проводятся щадяще, нередко в игровой
форме.
Еndo-Frost or Endo-Ice F (−50°C) (Coltène/Whaledent) was introduced in the market and usually
contains 30-50% propane, 30-50% butane, and 10-20% isobutane

76. МЕТОДЫ ДИАГНОСТИКИ КАРИЕСА У ДЕТЕЙ

Маркеры кариеса
С помощью кариес-маркеров на основе фуксина определяют границы
кариозной полости.
Маркеры особенно удобны при удалении инфицированной ткани из
кариозной полости (некрэктомии) для контроля достижения уровня здоровых
тканей.
Инфицированные ткани окрашиваются
в розовый цвет, тогда как в здоровый дентин
краситель не проникает

77.

78.

79. МЕТОДЫ ДИАГНОСТИКИ КАРИЕСА У ДЕТЕЙ

ЛЮМИНЕСЦЕНТНЫЙ МЕТОД – используется для
определения распространенности очага
деминерализации.
Метод проводят с помощью флюоресцентного
стоматоскопа:
► поверхность зуба очищают от зубного налета;
► световод направляют на исследуемый участок;
► интактная эмаль дает голубоватое свечение;
► участок поражения темнеет,
► границы кариозного очага видны четко;
► участок поражения может быть значительно шире, чем
при визуальном осмотре.

80. Люминесцентная диагностика (флюоресценция)

81. Флюоресцентный стоматоскоп

82. Коронки из диоксида циркония в ультрафиолете 

Коронки из диоксида циркония
в ультрафиолете

83. Трансиллюминация

84.

85.

86. DIAGNOCAM CAVO

87. DIAGNOCAM CAVO

88. DIAGNOCAM CAVO

89.

90. МЕТОДЫ ДИАГНОСТИКИ КАРИЕСА У ДЕТЕЙ

МЕТОД ОДОНТОДИАГНОСТИКИ основан на
определении электровозбудимости пульпы и
используется у детей школьного возраста.
Электровозбудимость пульпы интактных
зубов:
► в зубе со сформированными корнями
– 2-6 мкА;
► в зубах с несформированными корнями – 30-60 мкА;
► в зубах с резорбирующимися корнями
– 60-100 мкА;
Электровозбудимость пульпы ► при начальном и поверхностном кариесе –не изменена;
► при среднем кариесе
- до 7 мкА
► при глубоком кариесе
- 10-12 мкА

91. Электроодонтодиагностика

92. МЕТОДЫ ДИАГНОСТИКИ КАРИЕСА У ДЕТЕЙ

РЕНТГЕНОЛОГИЧЕСКИЙ МЕТОД –
применяется:
в случаях крайнего затруднения
диагностики,
► при локализации полостей на
апроксимальных поверхностях,
► при тесном положении зубов.

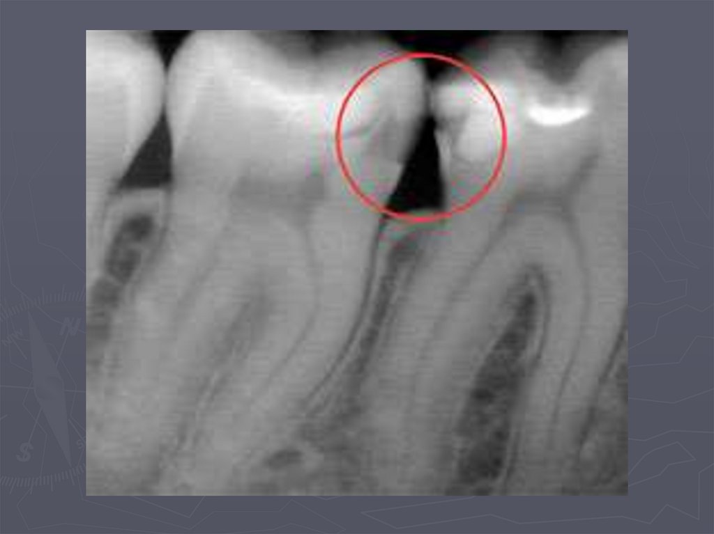
93. Кариес на рентгеновских снимках

94. Рентгенологическая классификация кариеса

95. МЕТОДЫ ДИАГНОСТИКИ КАРИЕСА У ДЕТЕЙ

Шотландские ученые разработали прибор
CarieScan PRO, который способен выявить даже
самые мелкие и невидимые разрушения зуба:
на основании головки прибора находится «световая
пирамида»;
она позволяет более тщательно рассмотреть поверхность
зуба;
определить начало патологического процесса, когда еще
нет внешних признаков;
степень повреждения отображается на специальном
цифровом дисплее;
диагностическая точность прибора составляет 92,5%.

96.

97.

98. МЕТОДЫ ДИАГНОСТИКИ КАРИЕСА У ДЕТЕЙ

KaVo DIAGNOdent
► лазерный диод попадая на поверхность зуба
создает импульсные световые волны
определенной длины;
► интактная эмаль и патологически измененные
ткани отражают световые волны разной
длины;
► длина отраженных волн анализируется
соответствующей электроникой аппарата;
► при обнаружении очага деминерализации появляется
звуковой сигнал и отображение на экране компьютера.

99.

100. СПАСИБО ЗА ВНИМАНИЕ!

English     Русский Rules