Лимфатические узлы
Развитие лимфатических узлов
Функции
Мозговое вещество
Развитие селезенки. Схема
Мантийная зона
9.04M
Category: medicinemedicine

Иммунная система (2)

1.

Тема лекции:

2. Лимфатические узлы

располагаются по ходу лимфатических сосудов и
задерживают антигены, попавшие в лимфу, очищая
её.
Лимфатических
узлов
в
организме
человека
примерно 1000.
Подсчитано, что суммарная масса лимфатических
узлов составляет 1% массы тела.

3. Развитие лимфатических узлов

4.

Развитие лимфоузлов. Схема

5. Функции

1) Кроветворная - антигензависимая пролиферация и
дифференцировка Т- и В-лимфоцитов.
2)
Барьерно-защитная: фагоцитоз антигенов из
лимфы макрофагами и осуществление иммунных
реакций.
3) Дренажная функция. Лимфоузлы собирают лимфу
из приносящих сосудов, идущих от тканей.
4) Функция депонирования лимфы.
5) Обменная функция – участие в обмене веществ –
белков, жиров, углеводов и т.д.

6.

Лимфатические узлы
бобовидной
формы
лимфоидные
образования,
размером 0,5-1 см, располагаются группами по ходу
лимфатических и кровеносных сосудов;
с
выпуклой
поверхности
входят
приносящие
лимфатические сосуды,
а с противоположной стороны (ворота) - выходят
выносящие лимфатические сосуды, вены, входят
артерии и нервы.
С поверхности покрыт соединительнотканной капсулой.
Строма – ретикулярная ткань.

7.

8.

9.

Строение лимфатического узла
различают зоны:
периферическую - корковое вещество;
центральную - мозговое вещество.
на
границе
коркового
и
мозгового
располагается паракортикальная зона.
вещества

10.

ЛИМФАТИЧЕСКИЙ УЗЕЛ
Окраска гематоксилин-эозином
Капсула
Краевой синус
Лимфатический
узелок
Корковое
вещество
Вокругузелковый
синус
Паракортикальная
зона
Мозговой синус
Мозговой тяж
Мозговое
вещество

11.

12.

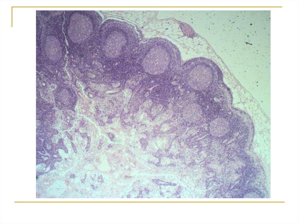
Корковое вещество
находится с выпуклой стороны,
представлено
лимфатическими
(фолликулами)

округлыми
узелками
образованиями
величиной до 1 мм.
Лимфатические
узелки
состоят
из
размножения и короны на периферии.
центра

13.

Корковое вещество
Корона образована малыми В-лимфоцитами
памяти,
наивными
макрофагами,
В-лимфоцитами,
лимфобластами
и
ретикулярными клетками.
В
центре
размножения
митотически делятся.
В-лимфоциты

14.

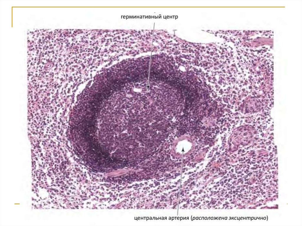
Лимфатический узелок (фолликул)
корона
Центр
размножения

15.

Паракортикальная зона
Располагается на границе с мозговым веществом;
место образования Т-лимфоцитов (тимусзависимая
зона)

происходит
антигензависимая
дифференцировка Т-лимфоцитов.
Паракортикальная
зона

16.

Мозговое вещество
состоит из 2 компонентов:
-
мозговых тяжей и
-
мозговых промежуточных синусов.
Мозговые тяжи являются В-зависимой зоной.
Здесь
происходит
дифференцировка
плазмоцитов.
антигензависимая
В-лимфоцитов,
образование

17. Мозговое вещество

Мозговой
тяж
Мозговой
синус
Ретикулярная
ткань

18.

Лимфатический узел
1 - капсула;
2 - трабекула;
3 - корковое вещество:
3.1 - наружная кора,
3.1.1 - лимфоидные узелки,
3.2 - паракортикальная зона;
4 - мозговое вещество:
4.1 - мозговые тяжи;
7 - лимфатические синусы:
7.1 - субкапсулярный
(краевой),
7.2 - межузелковый,
7.3 - мозговой,

19.

Пути движения лимфы
Синусы – совокупность лимфососудов, по
которым движется лимфа.
1) краевой синус находится между капсулой и
фолликулами.
2)
вокругузелковый
синус
фолликулами и трабекулами.

между
3) мозговой синус – между трабекулами и
мозговыми тяжами.

20.

Селезенка
Располагается
сосудов.
по
ходу
крупных
кровеносных
Функции:
1) Кроветворная.
2) Барьерно-защитная.
3) Является депо крови.
4) Гемолитическая функция. Селезенку называют
«кладбищем» эритроцитов.
5) Эндокринная функция – синтез эритропоэтина,
стимулирующего эритропоэз.

21.

Развитие селезенки

22. Развитие селезенки. Схема

23.

Строение селезенки
Паренхиматозный орган;
снаружи
покрыта
соединительнотканной
капсулой и мезотелием;
от капсулы внутрь отходят трабекулы.
Строма
образована
капсулой,
трабекулами,
ретикулярной тканью.
Различают 2 зоны: белую и красную пульпу.

24.

1 - фиброзная оболочка; 2 - трабекула; 3 - венозные синусы; 4 эллипсоидная макрофагальная муфта; 5 - кисточковая артериола; 6 центральная артерия; 7 - лимфоидный узелок; 8 - лимфоидная
периартериальная муфта; 9 - красная пульпа; 10 - пульпарная артерия; 11
- селезеночная вена; 12 - селезеночная артерия; 13 - трабекулярные
артерия и вена

25.

СЕЛЕЗЕНКА
Окраска гематоксилин-эозином
1 - лимфоидный фолликул
(белая пульпа);
2
1
2
1
1
3
4
2 - красная пульпа;
2
3
3 – трабекула.

26.

Белая пульпа
Белая пульпа – это совокупность лимфоидных
фолликулов (узелков) и составляет 20% от объема
селезенки.
Каждый фолликул имеет 4 зоны:
1) центр размножения (реактивный центр);
2) периартериальная зона;
3) мантийная зона;
4) маргинальная зона.

27.

Лимфатический фолликул
Окраска гематоксилин-эозином
3
1
2
4
5
1 - центр размножения
2 - мантийный слой
3 - маргинальный слой
4 - периартериальная
зона
5 - центральная артерия

28.

Центр размножения
(герминативный центр)
является В-зоной,
происходит антигензависимая дифференцировка В-
лимфоцитов,
располагаются дендритные клетки, В-лимфоциты
на разных стадиях развития.

29.

Периартериальная зона
На
периферии
лимфатических
располагается центральная артерия.
фолликул
Вокруг неё располагается периартериальная
зона – здесь происходит антигензависимая
дифференцировка Т-лимфоцитов (Т-лимфоциты,
составляющие 60% всех лимфоцитов белой
пульпы).
Здесь также находятся интердигитирующие клетки
и свободные макрофаги.

30.

31. Мантийная зона

здесь происходит кооперация Т- и В- лимфоцитов и
накопление В-лимфоцитов памяти.
Маргинальная зона
по периферии узелка, на границе с красной пульпой,
здесь
также происходит кооперация Т- и Влимфоцитов,
через нее в белую пульпу поступают Т- и Влимфоциты,
а
также
антигены,
которые
захватываются макрофагами,
в красную пульпу мигрируют созревшие плазмоциты.
Клеточный
состав
представлен
лимфоцитами,
макрофагами, ретикулярными клетками.

32.

Красная пульпа
представлена ретикулярной тканью с обилием
кровеносных сосудов.
Особенно много синусоидных капилляров,
отличаются
большим
диаметром,
между
эндотелиоцитами имеются щели, базальная
мембрана неразвита.
1 – трабекулы
2 – красная пульпа: расположена
между трабекулами

33.

Селезенка
1 - мезотелий;
2 - капсула:
2.1 - гладкие миоциты;
3 - трабекулы;
4 - элементы белой пульпы:
4.1 - лимфоидный узелок (Взависимая зона),
4.1.1 - герминативный центр,
4.1.2 - корона;
4.2 - периартериальная зона
(Т-зависимая зона),
5 - красная пульпа;
6 - сосуды: 6.1 трабекулярная артерия,
6.2 - трабекулярная вена,
6.3 - центральная артериола

34.

Спасибо за внимание
English     Русский Rules