42.04M
Category: medicinemedicine

Ретрузия резцов верхней челюсти

1.

Болотов Артем

2.

3.

4.

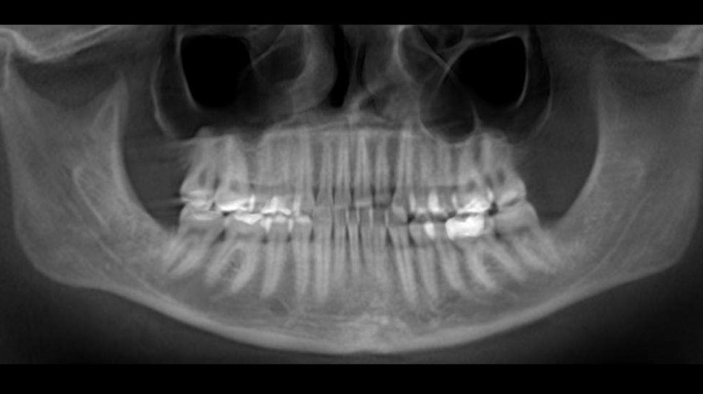
Начальные фотографии

5.

6.

7.

8.

9.

10.

11.

12.

13.

14.

15.

16.

17.

18.

19.

20.

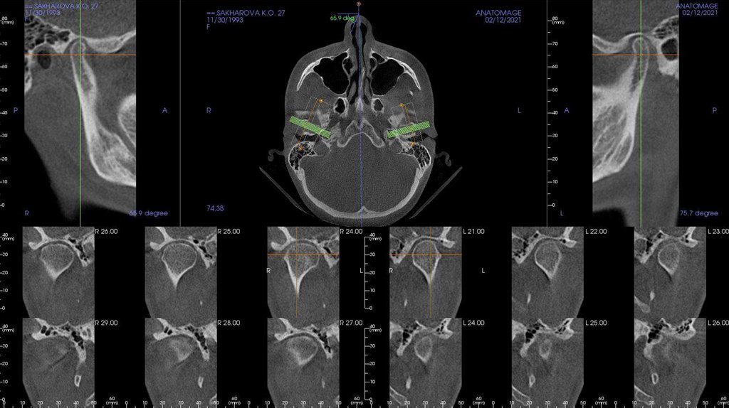
По рассчетам снимков:
• Ретрузия резцов верхней челюсти
• Компрессия головок суставов, особенно правого( началось
ремоделирование)
• Костная ассиметрия(10 мм)
• 2 класс
• 25, 46 зуб – нуждается в санации
• Требуется профессиональняа гигиена полости рта
• Клиновидные дефекты 43, 44
• 18, 28, 38, 48 отсутствуют.

21.

D.S.:
Дентальный: II по молярам справа и слева, по клыкам
справа I, слева II, сужение верхнего зубного ряда,
обратная окклюзия (перекрест) в области 12 46 35,
трансверзальная резцовая окклюзия на 3-3.5 мм влево
взр, трансверзальная резцовая окклюзия на 1 мм вправо,
мезиализация 46, 47, 26, 27 . Тортоаномалия 12, 24, 25,
35.
Скелетный: II класс.

22.

До ортодонтии:
• Удаление 18, 28, 38, 48 ( пациент удалил )
• Санация полости рта ( профессиональная
гигиена полости рта, лечение контактного
кариеса 25, лечение 36 контактный кариес.

23.

Цели лечения:
• Расширение верхней челюсти
• Раскрытие места для 25 зуба, постановка зуба 25 в зубной ряд
• Раскрытие места дентального имплантата в области отсутствующего 45 зуба
• Стремление к симметрии – нормализация центральных линий – смещение центра
верхнего зубного ряда вправо, центра нижнего зубного ряда влево.
• Нормализация положения нижней челюсти
• Нормализация прикуса
• Выравнивание зубов

24.

25.

26.

1ый План лечения.
Лечение на металлических брекетах
• Расширение верхней и нижней челюсти
• Нормализация положения отдельных зубов
• Нормализация прикуса во фронтальном отделе

27.

Брекеты – металлические
самолигируемые.
Фиксация по SAP.
Расширение верхней челюсти с помощью
широких дуг.
Обязательное ношение межчелюстных
эластиков.
Дезартикуляция (уже с помощью накладок)
Ортодонтические миниимплантаты
(минивинты) 3 – 4.
Возможно: сплинт терапия на этапе

28.

29.

Ортодонтические
минивинты –
1 винт – 1 сегмент
ретромолярно или IZC
– коррекция центра
верхнего зубног ряда
2 винт – 2 сегмент
ретромолярно–
дистализация 17, 16 –
раскрытие места для
зуба 25
3 винт – 4 сегмент
ретромолярно или
BSS – дистализация
для раскрытия места
для зуба 35
4 винт – в результате
динамики лечения - 4
сегмент
ретромолярноапрайтинг 47, 46,
раскрытие места под
имплантат в области
45, коррекция
центральной линии
н6ижнего зубного
ряда.
English     Русский Rules