2.85M
Category: medicinemedicine

Поражение скелета при заболеваниях крови и ретикулоэндотелиальной системы

1.

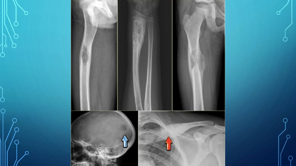
ПОРАЖЕНИЕ СКЕЛЕТА ПРИ
ЗАБОЛЕВАНИЯХ КРОВИ И
РЕТИКУЛОЭНДОТЕЛИАЛЬНОЙ СИСТЕМЫ

2.

ЛАНГЕРГАНСОКЛЕТОЧНЫЙ ГИСТИОЦИТОЗ
• Лангергансоклеточный гистиоцитоз — термин, обозначающий группу
заболеваний с невыясненной до конца этиологией, при котором патологические
иммунные клетки, называемые гистиоцитами, и эозинофилы активно
размножаются, особенно в лёгких и костях, что вызывает формирование
рубцовой ткани. Предполагается, что в основе гистиоцитоза X лежит некий
иммунопатологический процесс, способствующий пролиферации гистиоцитов.
• Болеют преимущественно дети школьного возраста, но имеются так же
клинические наблюдения такого заболевания у детей 2-3 лет, лиц среднего
возраста.

3.

• Формы:
— эозинофильная гранулема
— Хенда-Шюллера-Крисчена заболевание (диссеминированная форма)
— Абта-Леттерера-Сиве заболевание (диссеминированная форма)
• Этиология неизвестна. Менее 1% от всех образований костей. Чаще
монооссальная форма, чем полиоссальная. Может быть в любом
возрасте, чаще встречается у детей школьного возраста. Свод черепа,
нижняя челюсть, позвонки, долинные кости нижних конечностей –
редко.
Ребра — чаще поражаются у взрослых

4.

КЛИНИКА:
Клиническое течение процесса характеризуется наличием болезненного
опухолевого образования в мягких тканях, достаточно плотного на ощупь,
неподвижного, связанного с костью. В редких случаях может отмечаться
субфебрильная температура тела и умеренная эозинофилия. Болезнь может
протекать месяцами. В отдельных случаях поражение костей сочетается с
одновременным поражением легких или кожи, что усугубляет клиническое
течение заболевания. Локализация процесса разнообразна. Чаще поражаются
плоские кости — кости свода черепа, таза, ребра. В костях таза эозинофильная
гранулема может располагаться в верхней ветви лонной кости и в области
симфиза. Могут поражаться длинные трубчатые кости и буквально все отделы
скелета.
• При локализации очага деструкции в диафизе длинных трубчатых костей
возможна периостальная реакция.

5.

R-КАРТИНА:
• Определяется деструкция кости. Очаги деструкции одиночные и
множественные, часто сливного характера. Может быть поражена одна кость
или несколько костей одновременно. Форма очагов деструкции
разнообразная — округлая, неправильно овальная, но чаще картообразная.
Диаметр очагов деструкции от 0,5 до 5 и более см. В случаях сливного
характера очагов деструкции могут прослеживаться костные перемычки.
Контуры очагов деструкции, как правило, четкие. Очаги деструкции в
отдельных случаях могут быть окаймлены ободком склероза. Очаги
деструкции исходят из костного мозга, но быстро изнутри прорастают и
компактную ткань. Кортикальный слой неравномерно истончается.
• низкий сигнал на T1W, высокий на T2W, stir, накапливают КВ

6.

7.

VERTEBRA PLANA

8.

9.

МИЕЛОМАТОЗ (МИЕЛОМНАЯ БОЛЕЗНЬ, БОЛЕЗНЬ
РУСТИЦКОГО)
• злокачественная опухоль из плазматических клеток (дифференцированных Bлимфоцитов, продуцирующих антитела). Заболевание системы крови,
относящееся к парапротеинемическим лейкозам. Своё название заболевание
и опухолевая клетка получили в связи с преимущественной локализацией
процесса в костном мозге.
• миеломатоз развивается у лиц среднего и пожилого возраста. Заболевание
наблюдается у лиц обоего пола, но чаще у мужчин.

10.

• Г. А. Алексеев (1952) выделяет 6 клинических форм миеломатоза:
1. костно-болевая,
2. почечная,
3. анемическая,
4. лихорадочная,
5. «лейкемическая»,
6. развернутая.
Множественная миелома может проявляться патологическими переломами, болями
в костях, мягкотканными компонентами, анемическим синдромом, снижением
гемоглобина, синдромом гипервязкости, тромбозами и кровотечениями. Вследствие
разрушения костей в крови увеличивается количество кальция, который в
виде конкрементов откладывается в выделительных органах (почки, лёгкие,
слизистая желудка). Поражение почек (миеломная нефропатия) в основном
обусловлено поступлением через почечный фильтр парапротеинов. Характерным
для миеломной болезни является частота бактериальных инфекций вследствие
уменьшения количества нормальных иммуноглобулинов и нарушения
образования антител.

11.

РЕНТГЕНОГРАФИЯ ПОЗВОЛЯЕТ
ОБНАРУЖИТЬ ОЧАГИ ПОРАЖЕНИЯ,
ХАРАКТЕРИЗУЮЩИЕСЯ ДЕСТРУКЦИЕЙ
ПО МЕНЬШЕЙ МЕРЕ 30%
ТРАБЕКУЛЯРНОЙ КОСТИ
ДИФФУЗНАЯ ОСТЕОПЕНИЯ: 85%
МНОЖЕСТВЕННЫЕ ЛИТИЧЕСКИЕ
ОЧАГИ: 80%: - ПРИМЕРНО 1 %
ОЧАГОВ ХАРАКТЕРИЗУЮТСЯ
ОСТЕОСКЛЕРОЗОМ
ЭНДОСТАЛЬНЫЕ ВДАВЛЕНИЯ
МЯГКОТКАННЫЙ КОМПОНЕНТ РЯДОМ
С ОЧАГОМ ДЕСТРУКЦИИ КОСТНОЙ
ТКАНИ
КОМПРЕССИОННЫЕ ПЕРЕЛОМЫ
ПОЗВОНКОВ

12.

КТ при множественной миеломе позвоночника:
Бесконтрастная КТ (костный режим):
Множественные литические очаги
Деструкция и переломы позвонков
КТ с сагиттальными и фронтальными
реконструкциями - Нарушение целостности
кортикального слоя, экстраоссальный мягкотканный
компонент, возможная нестабильность

13.

МРТ ПРИ МНОЖЕСТВЕННОЙ
МИЕЛОМЕ
Изменений может не быть
Низкая или промежуточная интенсивность
сигнала (ИС) по сравнению с нормальным
костным мозгом в Т1 -режиме
Гиперинтенсивность сигнала в Т2- и STIRрежимах
Диффузное контрастное усиление сигнала
костного мозга - Неоднородная МР-картина
(микроузелковая, «соль с перцем»):
Пятнистая или гетерогенная ИС в Т1 -режиме
Гетерогенное усиление сигнала при
контрастировании гадолинием
Компрессионные переломы → различная
степень стеноза спинномозгового канала о
67% переломов позвонков выглядят как
обычные (доброкачественные) переломы о
Нарушение целостности кортикального слоя
→ распространение опухоли в эпидуральное
пространство с возможной компрессией
спинного мозга

14.

Наиболее оптимальный метод диагностики:
МРТ и ПЭТ/КТ с ФДГ характеризуются более высокой чувствительностью по
сравнению с рентгенографией или сцинтиграфией костей.
Эти методы являются взаимодополняющими в отношении оценки стадии
заболевания и мониторинга проводимой терапии.
Т2-stir
Т1-ВИ

15.

ЛИМФОГРАНУЛЕМАТОЗ (ЛИМФОМА ХОДЖКИНА)
• злокачественное заболевание лимфоидной ткани, характерным признаком
которого является наличие гигантских клеток Рид — Березовского —
Штернберга , обнаруживаемых при микроскопическом исследовании
поражённых лимфатических узлов.
• Основная причина возникновения болезни не совсем ясна, но
некоторые эпидемиологические данные, такие как совпадение по месту и
времени, спорадические множественные случаи у некровных родственников,
говорят об инфекционной природе болезни, а точнее вирусной (вирус
Эпштейна — Барр. Ген вируса обнаруживается при специальных
исследованиях в 20—60% биопсий. Эту теорию подтверждает и некоторая
связь болезни с инфекционным мононуклеозом.

16.

• Наибольшее количество наблюдений лимфогранулематоза костей приходится на возраст
от 20 до 40 лет. У 24,2% больных изменения в костях выявляются на протяжении первого
года болезни.
• Рентгенологическая картина лимфогранулематоза костей крайне разнообразна, не
патогномична, имеет много общих черт с метастатическими, опухолевидными и
воспалительными поражениями скелета.
• Клинико-рентгенологические варианты изменения костей при лимфогранулематозе:
1. очаговый,
2. мелкоячеистый,
3. склеротический,
4. смешанный.

17.

18.

ХРОНИЧЕСКИЙ ЛЕЙКОЗ
• Э. 3. Новикова выделяет три рентгенологические формы поражения костей.
• 1. Очагово-деструктивные изменения, реже с образованием крупных
опухолевых узлов.
• 2. Изменение структуры диафизов длинных трубчатых костей.
• 3. Общее диффузное разрежение костей скелета, иногда рентгенологически
проявляющееся в виде подчеркнутой шероховатой линии бедра (lin. aspera
femoris). Автор придает большое диагностическое значение этому симптому,
обозначаемому как «признак бедренной кости». Этот симптом косвенно
указывает на процессы рассасывания кости в области диафизов бедер и
выявляется обычно на прямой рентгенограмме.
• К неспецифическим костным изменениям при лейкозе относятся зоны
разрежения в метафизе растущей кости и некроз вследствие кровотечений.

19.

20.

• К наиболее часто встречаемым рентгенологическим изменениям в
костях скелета при хроническом лейкозе относятся: диффузный
остеопороз, очаги деструкции костной ткани, продольное
разволокнение костной структуры, периостальные изменения,
ограниченные участки остеосклероза.
• Очаги деструкции костной ткани имеют овальную, продолговатую
форму, четко очерчены. В длинных трубчатых костях располагаются как
в зоне костно-мозгового канала, так и интракортикально. Обычно очаги
деструкции небольших размеров от 0,2 до 0,5 см в диаметре,
множественные. Реже определяются одиночные, более крупные очаги
деструкции костной ткани. В этих случаях форма очагов деструкции
бывает неправильно-овальной. Очаги деструкции обычно
определяются на фоне диффузного остеопороза кости.

21.

22.

23.

РАДИОНУКЛИДНОЕ ИССЛЕДОВАНИЕ У
ГЕМАТОЛОГИЧЕСКИХ БОЛЬНЫХ (СЦИНТИГРАФИЯ)
• Основной сферой использования радионуклидных методов исследования
(сцинтиграфии) являются:
• 1) диагностика гемобластозов (стадирование лимфом, выявление поражений
головного мозга и внутренних органов при онкогематологических заболеваниях);
• 2) определение минимальной остаточной болезни и оценка эффективности
проведенного лечения.
• Сцинтиграфические исследования применяются также для диагностики и оценки
активности сопутствующих болезней (печени, сердечно-сосудистой системы).
Радионуклидные методы исследования селезенки, печени, лимфатических узлов при
лимфомах, как и лимфография, считаются инвазивными и обременительными
методами. Для таких исследований используют неорганические коллоиды, меченные
198Au, сернистым коллоидом 99mТс, цитратом 67Ga и др.

24.

К недостаткам метода относятся: неравномерность
распределения РФП в лимфатических узлах,
расположенных в непосредственной близости от
селезенки и печени (желудочно-поджелудочные, узлы
ворот селезенки, печени).
Для больных неходжкиновскими лимфомами (НХЛ) эти
группы важны в первую очередь для оценки прогноза
заболевания. Кроме того, нарушение накопления РФП
происходит в группе лимфатических узлов, где нарушен
лимфоотток (например, при хронических инфекциях). В
этих случаях невозможно оценить эффективность
лечения (лимфатические узлы не накапливают
радионуклид).
Чувствительность сцинтиграфии по обнаружению
активной опухолевой ткани выше диафрагмы составляет
70-90%, в брюшной полости — 50%. В связи с этим
метод обычно используется совместно с другими
методами лучевой диагностики.

25.

ПОЗИТРОННО-ЭМИССИОННАЯ ТОМОГРАФИЯ (ПЭТ)
У ГЕМАТОЛОГИЧЕСКИХ БОЛЬНЫХ
• Позитронно-эмиссионная томография (ПЭТ) — метод, основанный на
применении РФП, меченных радионуклидами — позитронными
излучателями.
• Методика проведения исследования при ПЭТ. Принцип исследования
— сканирование исследуемой области в томографическом режиме. В
связи с высокой стоимостью РФП и их универсальностью по
отношению к метаболическим процессам различных органов и тканей,
как правило, проводят ПЭТ головы, сердца и всего тела.
• Полученные изображения сравнивают с результатами КТ или МРТ.

26.

• Сферы применения ПЭТ в гематологии:
• 1) диагностика и стадирование лимфом;
• 2) дифференциальная диагностика злокачественных и доброкачественных процессов;
• 3) выявление минимальной остаточной опухолевой массы и оценка эффективности
проводимого лечения.
У больных лимфомами ПЭТ не является основным методом диагностики. Она
выполняется после целого ряда клинико-лабораторных и лучевых методов
обследования, куда обязательно входят рентгенологическое, ультразвуковое
обследования, КТ, биопсия костного мозга, биопсия лимфатического узла.
Из РФП для больных лимфомами наиболее доступным, универсальным для всего тела
является 18-флюородеоксиглюкоза (18F) с периодом полураспада 110 минут. Этот
радионуклид хорошо включается в метаболизм при ЛГМ и НХЛ, а также интенсивно
накапливается в опухолевых тканях у больных агрессивными НХЛ.
Методика ПЭТ имеет более высокие возможности выявления лимфом (новые
поражения выявляются на 25% больше, чем при КТ). Чувствительность ПЭТ для
первичных больных лимфомами составляет 100%. Возможности оценки остаточной
опухолевой массы и чувствительность метода ниже, но превосходит все другие методы.
English     Русский Rules