Смешанные дистрофии
Бурая индурация лёгких
Гемохроматоз печени
Hemochromatosis of the heart
Гемохроматоз печени. ГЭ, х4
Гемохроматоз печени: 1 – отложения гемосидерина в строме и паренхиме, 2 - фиброз. ГЭ, х10
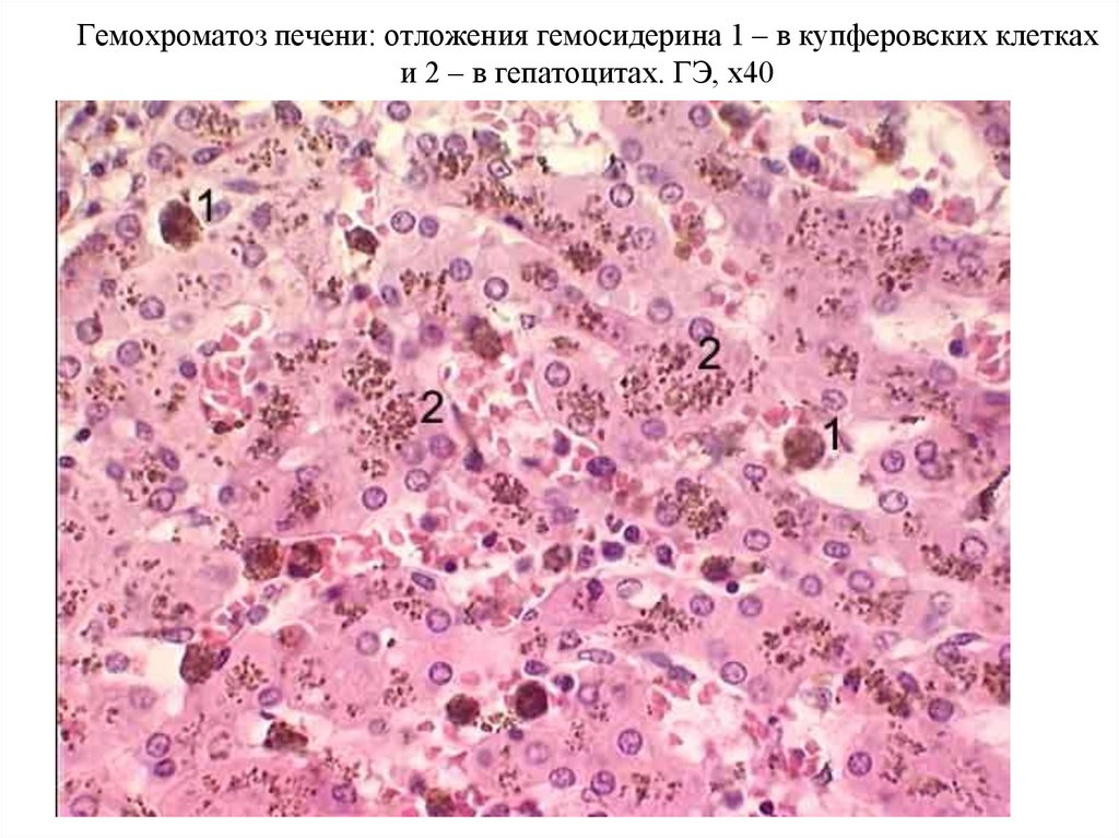
Гемохроматоз печени: отложения гемосидерина 1 – в купферовских клетках и 2 – в гепатоцитах. ГЭ, х40
Гемомеланоз селезёнки
Гемомеланоз печени х10
Мелкоузловой цирроз печени
Печень при застойной желтухе. Г, х10.
Печень при застойной желтухе. ГЭ, х40.
Билиарный цирроз печени: 1 – ложные дольки, 2 – холестаз, 3 – фиброз, 4 – пролиферация желчных протоков. ГЭ, х10
Меланоз кожи. Г, х10.
Меланоз кожи. Г, х40.
Кальциноз почки х4
Кальциноз почки х10
Кальциноз почки х40
Благодарю за внимание
11.51M
Category: medicinemedicine

Смешанные дистрофии

1. Смешанные дистрофии

2.

3.

4.

5.

6.

7. Бурая индурация лёгких

8.

9.

10.

11.

12.

13.

Гемохроматоз печени – ув, плотная, пов-ть
мелкозернистая, неровная, на разрезе ржавая с
буроватым оттенком

14.

15.

16. Гемохроматоз печени

17. Hemochromatosis of the heart

Окраска по персу – синевато зеленый цвет

18. Гемохроматоз печени. ГЭ, х4

19. Гемохроматоз печени: 1 – отложения гемосидерина в строме и паренхиме, 2 - фиброз. ГЭ, х10

Гемохроматоз печени: 1 – отложения гемосидерина в строме и паренхиме, 2 фиброз. ГЭ, х10

20. Гемохроматоз печени: отложения гемосидерина 1 – в купферовских клетках и 2 – в гепатоцитах. ГЭ, х40

21. Гемомеланоз селезёнки

22.

23.

Печень при малярии.

24. Гемомеланоз печени х10

25.

26.

27.

28.

29.

30.

31.

32.

33.

34. Мелкоузловой цирроз печени

35. Печень при застойной желтухе. Г, х10.

36. Печень при застойной желтухе. ГЭ, х40.

37. Билиарный цирроз печени: 1 – ложные дольки, 2 – холестаз, 3 – фиброз, 4 – пролиферация желчных протоков. ГЭ, х10

38.

39.

40.

41.

42. Меланоз кожи. Г, х10.

43. Меланоз кожи. Г, х40.

44.

45.

Меланома кожи

46.

Метастазы меланомы кожи в печени

47.

48.

49.

50.

51.

52.

53.

54.

55.

56.

57.

58.

59.

60.

61.

Обызвествление очага казеозного некроза в легком.

62. Кальциноз почки х4

63. Кальциноз почки х10

64. Кальциноз почки х40

65.

66.

67. Благодарю за внимание

English     Русский Rules