Смешанные дистрофии
Бурая индурация лёгких
Гемохроматоз печени
Hemochromatosis of the heart
Гемохроматоз печени. ГЭ, х4
Гемохроматоз печени: 1 – отложения гемосидерина в строме и паренхиме, 2 - фиброз. ГЭ, х10
Гемохроматоз печени: отложения гемосидерина 1 – в купферовских клетках и 2 – в гепатоцитах. ГЭ, х40
Гемомеланоз селезёнки
Гемомеланоз печени х10
Печень при застойной желтухе. Г, х10.
Печень при застойной желтухе. ГЭ, х40.
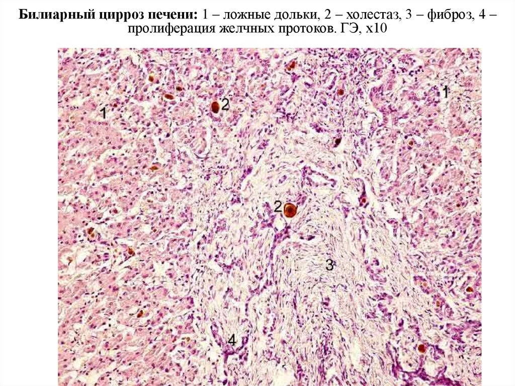
Билиарный цирроз печени: 1 – ложные дольки, 2 – холестаз, 3 – фиброз, 4 – пролиферация желчных протоков. ГЭ, х10
Мелкоузловой цирроз печени
Меланоз кожи. Г, х10.
Меланоз кожи. Г, х40.
Кальциноз почки х4
Кальциноз почки х10
Кальциноз почки х40
6.22M
Category: medicinemedicine

Смешанные дистрофии

1. Смешанные дистрофии

2. Бурая индурация лёгких

3.

Гемохроматоз печени

4. Гемохроматоз печени

5. Hemochromatosis of the heart

6. Гемохроматоз печени. ГЭ, х4

7. Гемохроматоз печени: 1 – отложения гемосидерина в строме и паренхиме, 2 - фиброз. ГЭ, х10

Гемохроматоз печени: 1 – отложения гемосидерина в строме и паренхиме, 2 фиброз. ГЭ, х10

8. Гемохроматоз печени: отложения гемосидерина 1 – в купферовских клетках и 2 – в гепатоцитах. ГЭ, х40

9. Гемомеланоз селезёнки

10.

Печень при малярии.

11. Гемомеланоз печени х10

12.

Гемолитическая (слева) и механическая желтуха (справа).

13. Печень при застойной желтухе. Г, х10.

14. Печень при застойной желтухе. ГЭ, х40.

15. Билиарный цирроз печени: 1 – ложные дольки, 2 – холестаз, 3 – фиброз, 4 – пролиферация желчных протоков. ГЭ, х10

16. Мелкоузловой цирроз печени

17. Меланоз кожи. Г, х10.

18. Меланоз кожи. Г, х40.

19.

Меланома кожи

20.

Метастазы меланомы кожи в печени

21.

Обызвествление очага казеозного некроза в легком.

22. Кальциноз почки х4

23. Кальциноз почки х10

24. Кальциноз почки х40

English     Русский Rules