Лучевая диагностика повреждений и острых заболеваний органов грудной клетки.
Виды повреждения грудной клетки:
Классификация ранений груди.
Характер ранения
Проведение рентгеноскопического исследования раненого.
Проведение рентгенографического исследования раненого.
Виды травматического повреждения грудной клетки:
Благодарю за внимание!
8.08M
Category: medicinemedicine

Лучевая диагностика повреждений и острых заболеваний органов грудной клетки

1. Лучевая диагностика повреждений и острых заболеваний органов грудной клетки.

Кафедра лучевой диагностики и лучевой терапии ГБОУ ВПО Рост
ГМУ Минздрава России
ЛУЧЕВАЯ
ДИАГНОСТИКА
ПОВРЕЖДЕНИЙ И
ОСТРЫХ ЗАБОЛЕВАНИЙ
ОРГАНОВ ГРУДНОЙ
КЛЕТКИ.

2. Виды повреждения грудной клетки:

Тупая травма.
Ранение холодным оружием.
Огнестрельные ранения:
пулевые;
осколочные;
дробовые.
Ранения вторичными ранящими элементами.

3. Классификация ранений груди.

пулевое;
осколочное;
холодное
оружие.
Вид
ранения:

4. Характер ранения

Проникающее :
Непроникающее:
Слепое:
o одиночное;
o множественное.
Сквозное;
Рикошетирующее.
Рикошетирующее;
Касательное.

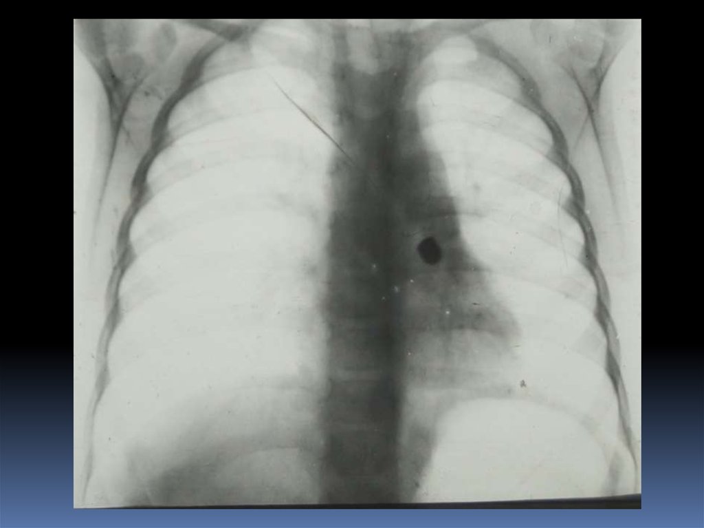
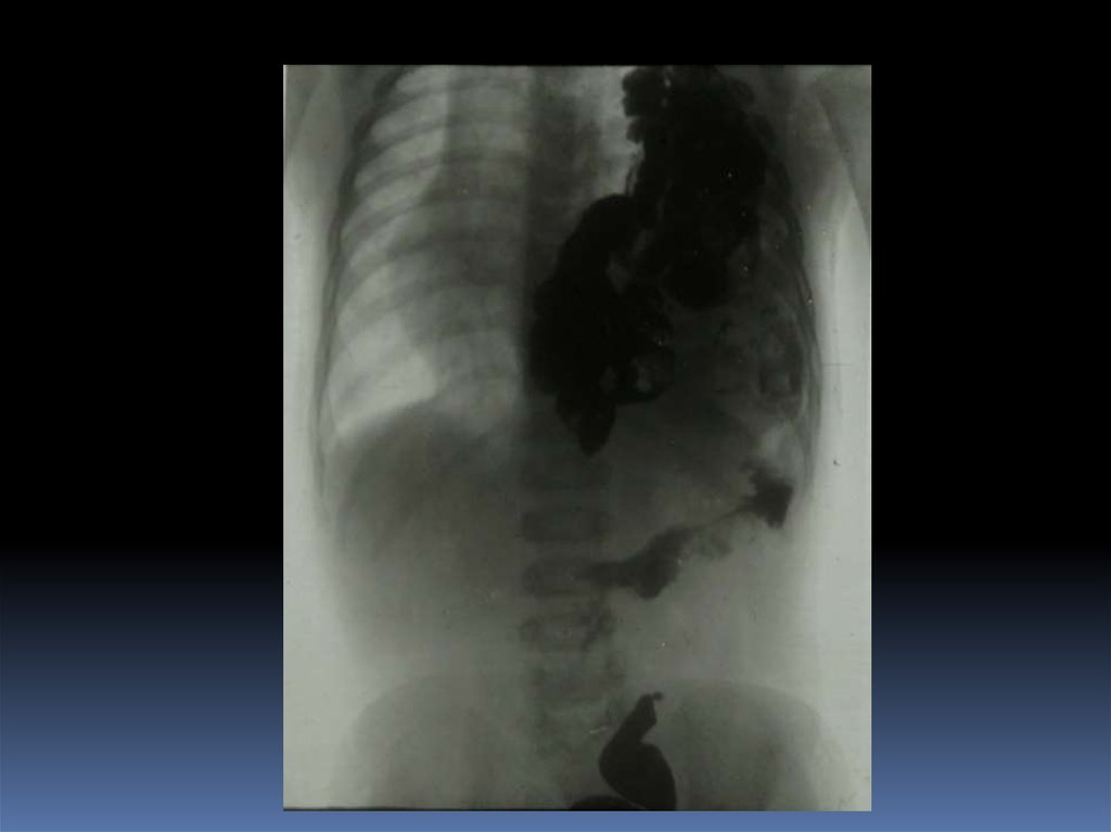
5. Проведение рентгеноскопического исследования раненого.

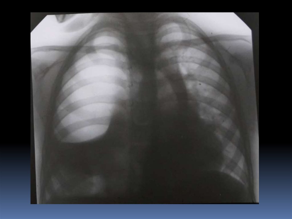
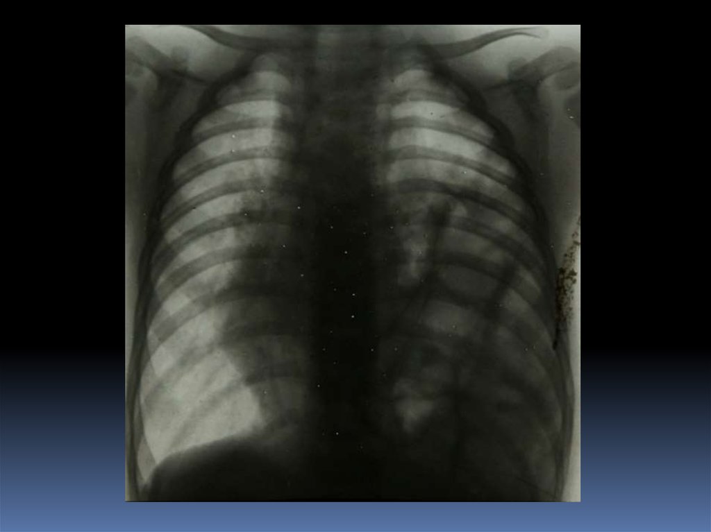
6. Проведение рентгенографического исследования раненого.

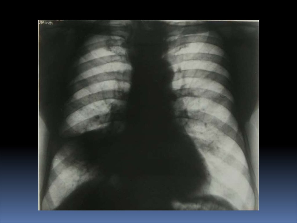
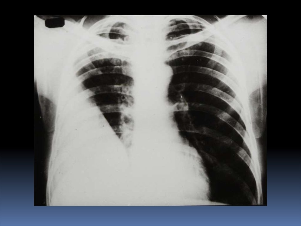
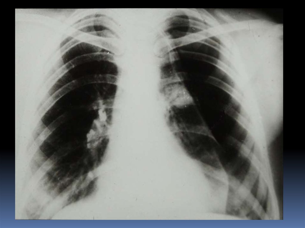
7. Виды травматического повреждения грудной клетки:

пневмоторакс;
гемоторакс;
гемопневмоторакс;
внутрилегочные гематомы;
дисковидные ателектазы;
посттравматические пневмонии.

8.

9.

10.

11.

12.

13.

14.

15.

16.

17.

18.

19.

20.

21.

22.

23.

24. Благодарю за внимание!

English     Русский Rules