Хирургические заболевания грудной клетки и органов грудной полости Пневмотораксы
Грудная клетка (thorax) образована грудным отделом позвоночника, двенадцатью парами ребер и грудиной
Физикальное обследование грудной клетки и органов грудной полости
Некоторые аномалии развития грудной клетки
Килевидная грудная клетка
Повреждения грудной клетки
Повреждения грудной клетки
Ушиб мягких тканей грудной клетки
Ушиб грудной клетки
Непроникающая или закрытая травма грудной клетки
Клиника переломов костей грудной клетки
Переломы ребер
при переломе одного ребра
Окончатые (флотирующие) переломы ребер
Признаками повреждения легочной ткани и плевры
Первая помощь:
Лечение:
Переломы грудины
Лечение:
Клиника напряжённого пневмоторакса
Травмы ключицы
Переломы ключицы
Клиника
Первая помощь:
Лечение:
Сдавление грудной клетки
Клиника:
Первая помощь:
Лечение:
Закрытые повреждения внутренних органов грудной клетки
Клапанный пневмоторакс
Ушибы легкого
Повреждение легких
Подкожная эмфизема
Лечение
Открытые повреждения грудной клетки
Клиническая картина
Лечение:
Пневмоторакс-это накопление воздуха в плевральную полость, делится на закрытый, открытый и клапанный.
Пневмоторакс
Закрытый пневмоторакс
Закрытый пневмоторакс
Закрытый пневмоторакс
Открытый пневмоторакс
Проникающая или открытая травма грудной клетки с образованием пневмоторакса
Клиника
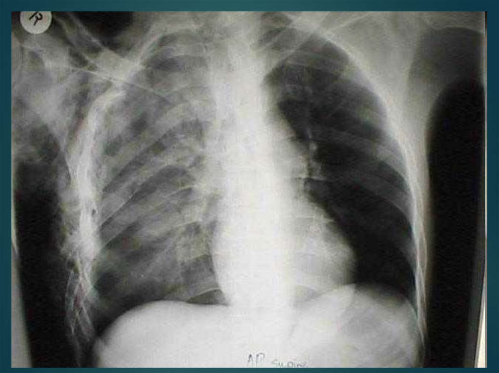
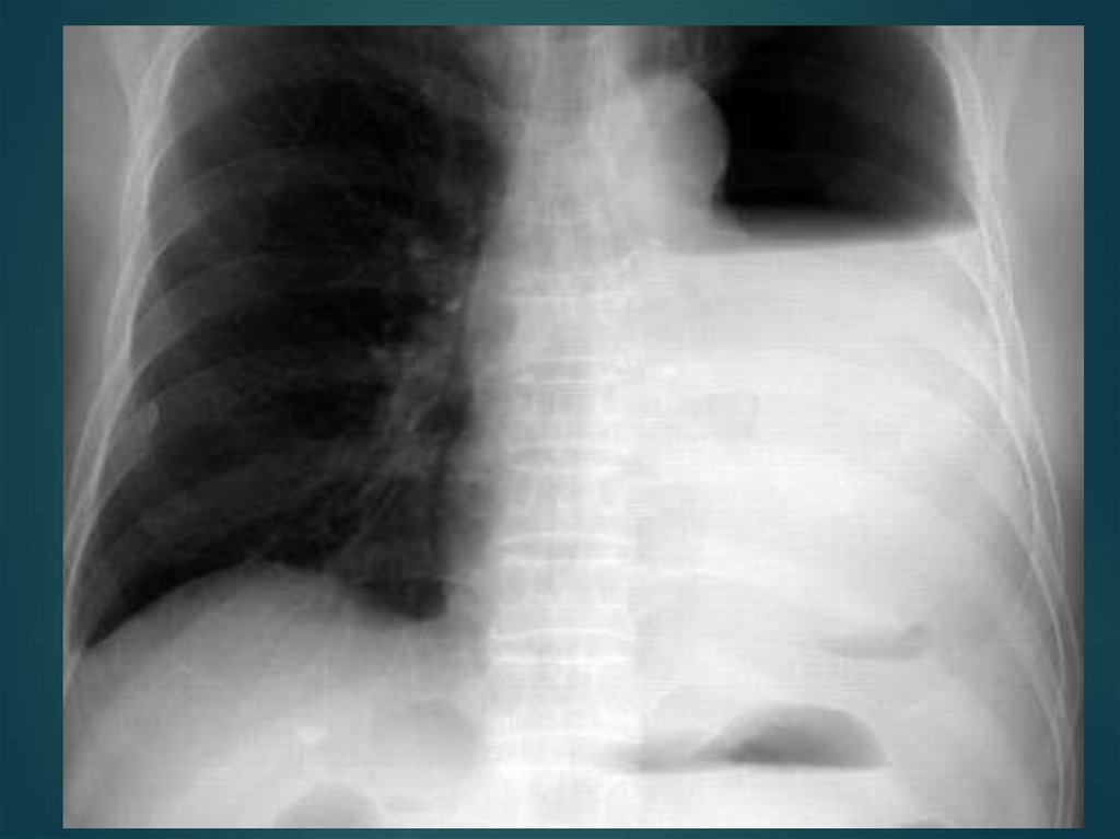
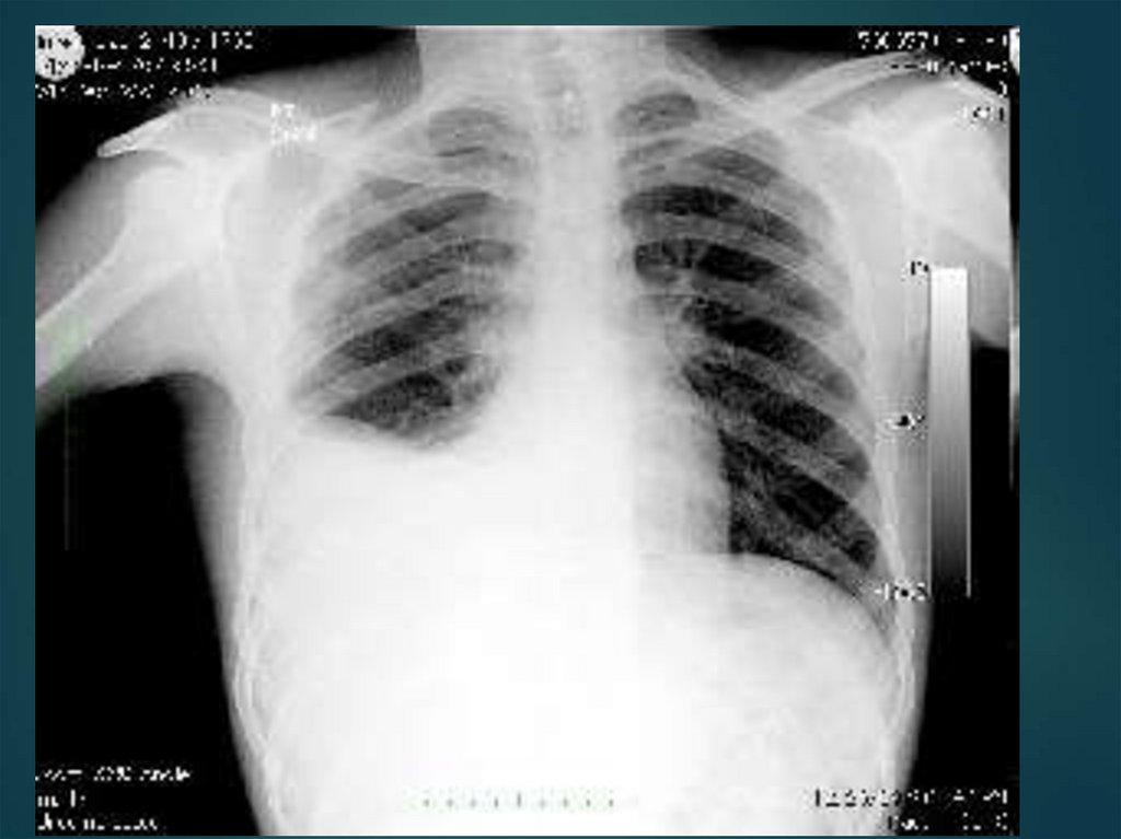
клапанный пневмоторакс
Различают наружный и внутренний клапанный пневмоторакс
Первая помощь
Первая помощь
Лечение:
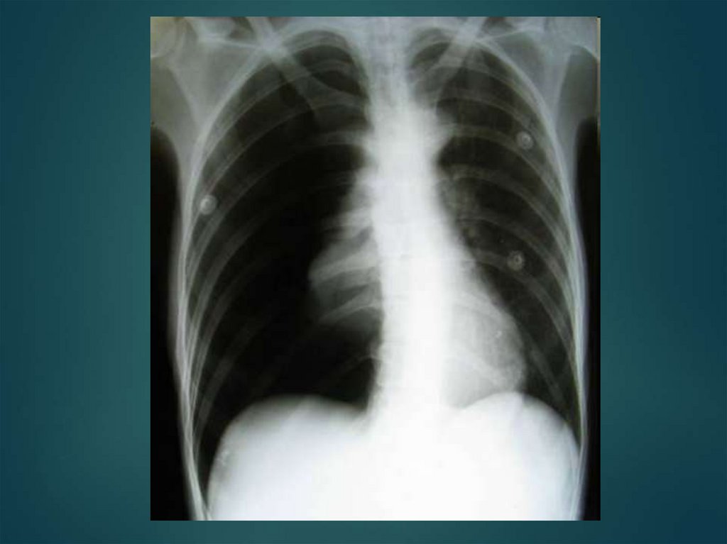
Гемоторакс–
Клиника:
Классификация ранений грудной клетки
Первая помощь
Лечение.
Пулевые ранения
Дробовое ранение
Ножевое ранение грудной клетки
Травмы сердца и перикарда
Ранения сердца и перикарда
Клиника повреждения сердца
Первая помощь
Воспалительные заболевания лёгких и плевры
Эмпиема плевры
Клиника
Абсцесс лёгкого - инкапсулированная гнойная полость, окружённая зоной воспаления.
Заболевания молочных желёз
Осмотр молочных желез больной, обнаженной до пояса, проводится в положении стоя как при опущенных, так и при поднятых руках и в
СИМПТОМ «ЛИМОННОЙ КОРКИ»
СИМПТОМ «ПЛОЩАДКИ»
СИМТОМ «УМБИЛИКАЦИИ» (втяжение участка кожи)
ВТЯЖЕНИЕ КОЖИ В СУБМАММАРНОЙ СКЛАДКЕ
Лабораторная и инструментальная диагностика
Техника маммографии
Маммография
Мастит
10.70M
Category: medicinemedicine

Хирургические заболевания грудной клетки и органов грудной полости. Пневмотораксы

1. Хирургические заболевания грудной клетки и органов грудной полости Пневмотораксы

ПРЕПОДАВАТЕЛЬ: ШЛЯКОВА НАТАЛИЯ АНДРЕЕВНА,
ВРАЧ-ОНКОЛОГ, МАММОЛОГ, ОНКОДЕРМАТОЛОГ

2. Грудная клетка (thorax) образована грудным отделом позвоночника, двенадцатью парами ребер и грудиной

3. Физикальное обследование грудной клетки и органов грудной полости

Осмотр грудной клетки
Пальпация грудной клетки и лимфатических
узлов
Перкуссия легких, сердца
Аускультация легких, сердца

4. Некоторые аномалии развития грудной клетки

Воронкообразная
грудная клетка

5. Килевидная грудная клетка

6. Повреждения грудной клетки

Закрытые повреждения грудной клетки
Ушиб грудной клетки и органов грудной
полости.
Закрытые переломы костей грудной клетки
Открытые повреждения (ранения)
Проникающие
Непроникающие

7. Повреждения грудной клетки

Часто сопровождается :
Острой дыхательной
недостаточностью
(ОДН);
Массивной
кровопотерей;
Плевропульмональным
шоком

8. Ушиб мягких тканей грудной клетки

Клиника:
Общее состояние не страдает;
Местно: припухлость, боль, усиливается
при дыхании;
Диагноз может быть поставлен только
после исключения повреждения костей
и органов грудной клетки

9. Ушиб грудной клетки

Первая помощь: необходимо на
место ушиба положить холод и для
уточнения диагноза направить
пациента в травматологический
пункт, где проводится
рентгенологическое исследование
грудной клетки.
Лечение: покой, назначают
болеутоляющие средства
(анальгетики), применение холода в
первые сутки и физиотерапия в
последующие дни.

10. Непроникающая или закрытая травма грудной клетки

При множественных переломах ребер
жизненная ёмкость легких уменьшается
за счет уменьшения подвижности
грудной клетки и легкого
При отсутствии нарушения каркаса
грудной клетки могут отмечаться
признаки повреждения внутренних
органов (скопление воздуха и/или
крови в плевральной полости)

11. Клиника переломов костей грудной клетки

Факт травмы.
Локальная боль и болезненность.
Гематома в месте перелома.
Крепитация костных отломков при дыхании и
пальпации.
Положительные нагрузочные пробы.
Отставание поражённой половины в акте дыхания,
симптом «оборванного вдоха».
Симптомы дыхательной недостаточности.

12. Переломы ребер

возникают при прямой травме и сдавливании грудной
клетки в боковом или переднезаднем направлении.
Наиболее часто встречаются переломы после 40 лет.
Переломы ребер могут быть закрытыми и открытыми,
одиночными и множественными, осложненные
разрывом легкого, плевры, бронхов и перикарда.

13.

Механизмы
переломов ребер

14. при переломе одного ребра

Клиника: жалобы на локализованные
боли постоянного характера различной
интенсивности (тупые в покое и
режущие на высоте вдоха),
усиливающиеся при глубоком
дыхании, кашле, натуживании.
Экскурсия грудной клетки на стороне
повреждения ограничена, возможно
наличие ссадин и гематомы.
Пальпация области перелома резко
болезненна, иногда можно определить
место перелома в виде уступа.

15.

Множественные
двойные переломы
рёбер с
формированием
«рёберного клапана»
(реберное «окно»,
флотирующие,
створчатые)
и парадоксальной
подвижностью части
грудной стенки

16. Окончатые (флотирующие) переломы ребер

17.

Вдох: внутригрудное
давление низкое –
реберное «окно» западает;
Выдох: внутригрудное
давление высокое –
реберное «окно»
выбухает.
Реберное окно совершает
парадоксальное движение,
противоположное движению грудной
клетки.

18.

Это приводит к тому, что легкое на стороне повреждения
расправляется не полностью гипоксия сердечнолегочной недостаточности синдром шокового легкого.
Лечение :
Устранение парадоксального
смещения ребер и восстановление
каркасности грудной клетки

19.

20. Признаками повреждения легочной ткани и плевры

кровохарканье и подкожная эмфизема.
при множественных переломах ребер
появляются глубокие нарушения дыхательной
функции, сердечно-сосудистой деятельности,
нередко из-за пневмоторакса наступает
смещение средостения в здоровую сторону и
резкое ухудшение состояния пациента.
При переломах нижних ребер возможны
сопутствующие разрывы печени, селезенки,
поэтому необходимо обследовать также
брюшную полость.

21. Первая помощь:

необходимо провести обезболивание,
придать пациенту положение полусидя,
на грудную клетку наложить
лейкопластырную повязку на стороне
повреждения от грудины до позвоночника;
в случае развивающегося шока,
провести противошоковую терапию.

22. Лечение:

проводится
обезболивание
места
перелома
новокаиновыми
блокадами
или
назначением
анальгетиков, противошоковые мероприятия.
Для
фиксации
подвижных
лейкопластырную повязку.
отломков
используют
При пневмотораксе и гемотораксе показана пункция
плевральной полости.
При наличии смещения реберных отломков производится
открытое вправление и фиксации реберных отломков при
помощи спиц или проволочных швов.
Для профилактики легочных осложнений назначаются
антибиотики, отхаркивающие препараты, дыхательная
гимнастика.

23. Переломы грудины

Повреждения обычно возникают в
результате прямого удара.
Перелом чаще локализуется у
места перехода рукоятки в тело
грудины.
При этом пациент жалуется на
сильную боль в месте перелома,
усиливающуюся при дыхании и
пальпации, отек мягких тканей и
кровоизлияния

24. Лечение:

ограничении дыхательных экскурсий
грудной клетки лейкопластырной повязкой.
При смещении обломков пациента
укладывают на жесткую кровать в
положение на спине с умеренным
переразгибанием позвоночника в грудном
отделе (между лопаток подкладывают
валик).
Наиболее эффективный способ при
смещении отломков грудины- открытая
репозиция и фиксация

25. Клиника напряжённого пневмоторакса

Клиника перелома костей грудной клетки.
Нарастающая клиника острой дыхательной
недостаточности: одышка, удушье, цианоз,
тахикардия, тяжёлое общее состояние
больного.
Отсутствие проведения лёгочных шумов,
голосового дрожания, высокий тимпанит при
перкуссии повреждённой половины грудной
клетки, смещение органов средостения в
здоровую сторону

26. Травмы ключицы

Основные травмы ключицы – это
переломы и вывихи
Классический механизм
разрыва связок ключицы
и вывиха акромиального
конца ключицы

27.

Симптомы
Сразу после травмы возникает боль в надплечье. Если вывих полный –
то ключица выпирает, и, в некоторых случаях, удается выявить симптом
клавиши пианино: при нажатии на ключицу она вправляется на вместо
(опускается вниз), но если прекратить давление она тотчас вывихнется
снова.
При вывихах
акромиального конца
ключицы нарушается
функция руки – чаще
всего невозможно
поднять руку выше
плеча, отвести руку в
сторону.

28. Переломы ключицы

довольно частое повреждение в
любом возрасте. Возникают при
прямой травме или падение на
вытянутую руку. Они могут быть
поперечными, косыми,
поднадкостными, со смещением и
без смещения отломков. Переломы
ключицы могут сопровождаться
повреждением сосудисто – нервного
пучка, плевры и верхушки легкого.

29. Клиника

Возникает боль в месте перелома и в
руке, отек мягких тканей и гематома в
месте перелома, нарушение
функции конечности, деформация и
патологическая подвижность в месте
перелома ключицы.
При повреждении сосудисто-
нервного пучка на стороне
повреждения будет наблюдаться
травматический плексит.

30. Первая помощь:

необходимо наложить
косыночную повязку на
верхнюю конечность или
повязку Дезо, обезболить и
провести госпитализацию в
травматологическое
отделение в положении
пациента полусидя

31. Лечение:

вправление отломков проводится под
местной анестезией 1%-ного раствором
новокаина, для фиксации костных
обломков используются ватно-марлевые
кольца Дельбе, которые надевают на
надплечье и связывают друг с другом на
спине бинтами.
Современный подход - хирургическое
лечение в ближайшие дни после травмы

32. Сдавление грудной клетки

возникает при сильном сдавлении груди землей
(например, при обвалах), сжатие груди между
буферами вагонов или кузовом автомашины и
стеной, при автомобильных катастрофах и др. При
равномерном сжатии возникает так называемая
«травматическая асфиксия». Во время сжатия
венозная кровь устремляется верх по венам шеи, не
имеющим клапанов, создает значительное
повышение венозного давления и вследствие этого
происходит множественные разрывы мелких вен и
капилляров. Иногда возникают разрывы трахеи и
бронхов

33. Клиника:

характерны травматическая асфиксия, затрудненное дыхание,
синюшная окраска и отек лица и шеи, петехиальные
кровоизлияния в полости рта, склер, на лице, шеи;
кашель с выделением кровавой мокроты, боли в груди при
кашле и вдохе, частое поверхностное дыхание, учащение
пульса и падение артериального давления.
Аускультативно определяются влажные разнокалиберные
хрипы, перкуторно участки притупления. При разрыве легкого
может выделяться алая пенистая мокрота во время кашля.
Общее состояние обычно тяжелое из-за развития дыхательной
недостаточности и травматического шока.

34. Первая помощь:

необходимо при возможности
наложить на грудную клетку
сдавливающую мягкую бинтовую
повязку в фазе максимального выдоха,
проводить противошоковую терапию
(обезболивание, введение
противошоковых кровезаменителей,
препаратов для поднятия
артериального давления)

35. Лечение:

устранение сдавления;
освобождение пострадавшего от
стесняющей одежды, покой, вдыхание
кислорода, анальгетики, сердечные
препараты.
При развитии острой дыхательной
недостаточности проводят ИВЛ, а при
необходимости трахеотомию. При разрыве
бронхов показана срочная торакотомия с
ушиванием раны бронха.
При СЛР непрямой массаж сердца проводят
без лишних усилий.

36. Закрытые повреждения внутренних органов грудной клетки

Для закрытых повреждений внутренних органов характерно
нарушение целостности плевры и легких при сохранности
кожи, а часто и других мягких тканей грудной клетки.
Причины этих повреждений те же, что и для других закрытых
повреждений груди. Они могут иногда сопровождаться
переломом ребер, грудины или др., а также возникновением
гемоторакса и пневмоторакса (при разрывах легкого).
Возможны разрывы крупных бронхов с развитием клапанного
пневмоторакса и эмфиземы средостения..

37. Клапанный пневмоторакс

может быть открытым внутри, когда
отверстие и клапан находятся в
легком. При вдохе внутренний
клапан открывается, а на выдохе
клапаны ее герметизируют. С
каждым вдохом давление в
плевральной полости нарастает

38. Ушибы легкого

часто не распознаются, так как его клиническая картина
становится отчетливой лишь через несколько часов.
Клиническая картина маскируется признаками ушиба
грудной клетки и переломами ребер или других костей.
Для ушиба легкого характерны: отставание одной из
половин грудной клетки в акте дыхания, нарастающая
одышка, учащение пульса, появление влажных хрипов и
развитие цианоза. Часто наблюдается примесь крови к
густой и вязкой мокроте. При обширных повреждениях
легкого наблюдается общее тяжелое состояние
пострадавшего, появляются кровохарканье, подкожная
эмфизема, признаки пневмоторакса и гемоторакса.
При быстро нарастающем гемотораксе появляются
признаки общей анемии.

39. Повреждение легких

Признаки:
Кровохарканье;
Легочная недостаточность;
Симптомы внутреннего
кровотечения;
Подкожная эмфизема

40. Подкожная эмфизема

Проникновение воздуха в мягкие ткани грудной клетки
(подкожная крепитация при пальпации)
Подкожная эмфизема
не оказывает влияние на
однако свидетельствует о
повреждение легочной
ткани
состояние организма,

41. Лечение

Пострадавшие с нетяжелыми повреждениями плевры и легких нуждаются
в консервативном лечении: постельный режим, кровоостанавливающие
(аминокапроновая кислота, хлористый кальций и др.).
межреберная новокаиновая блокада, аэрозоли для разжижения
мокроты, отхаркивающие, кислород, стероидные гормоны, антибиотики
широкого спектра действия, по показаниям трахеотомия;
при дыхательной недостаточности ИВЛ с портативным респиратором.
При наличии большого гемоторакса необходима пункция плевры с
эвакуацией излившейся крови и введением в полость плевры раствора
антибиотика.
При явлениях травматического шока – противошоковые мероприятия.
При продолжающемся внутриплевральном кровотечении – оперативное
вмещательство.

42. Открытые повреждения грудной клетки

делятся на непроникающие и
проникающие в зависимости от
нарушения целостности
париетальной плевры.
Проникающие повреждения
сопровождаются
пневмотораксом, гемотораксом
и гемопневмотораксом.

43. Клиническая картина

При непроникающих повреждениях груди общее состояние
пострадавшего удовлетворительное,
отсутствует
симптом
присасывания
воздуха
в
ране
(пневмоторакс), особенно при глубоком вдохе, выдохе и
кашле, а также при аускультации не отмечаются хрипы.
В
области
ушибленной
плевры
может
травматический плеврит, в дальнейшем даже
легкого.
При
огнестрельных
ранениях
необходимо
учитывать
направление раневого канала и наличие инородных тел; в
результате динамического воздействия силы бокового удара
пули или осколка снаряда, могут развиться разрывы легкого.
При открытых непроникающих ранениях груди возможны
осложнения:
околораневые
флегмоны,
остеомиелит
поврежденных костей, травматический плеврит и пневмония.
развиться
эмпиема

44. Лечение:

Непроникающие ранения груди с
повреждением кожи,
фасциальных и мышечных слоев
требуют первичной
хирургической обработки ран по
общим правилам лечения ран
мягких тканей. При иссечении
раны необходимо убедиться в
отсутствии повреждения плевры и
крупных сосудов.

45. Пневмоторакс-это накопление воздуха в плевральную полость, делится на закрытый, открытый и клапанный.

46. Пневмоторакс

47. Закрытый пневмоторакс

такое состояние,
когда рана грудной
клетки закрывается
сместившимися
тканями, а
поступивший в
плевральную
полость воздух не
сообщается с
внешней средой.

48. Закрытый пневмоторакс

возникает в результате быстрого
кратковременного поступления атмосферного
воздуха в замкнутую плевральную полость, в
момент ранения. Образующиеся вслед за ним
быстрое и плотное соприкосновение
(склеивание) краев раны, смещение мягких
тканей по ходу раневого канала, закупорка их
сгустками крови и т.п. прекращают дальнейшую
возможность поступления воздуха в полость
плевры.
Состояние средней тяжести, бледность кожных
покровов, одышка. При аускультации ослабление
дыхания на стороне поражения. При перкуссии –
коробочный звук в верхних отделах грудной клетки

49. Закрытый пневмоторакс

Небольшое количество воздуха (300—500 см3)
рассасывается в течение 2—3 нед. Если легкое
поджато более чем на 1/4 своего объема,
производят плевральную пункцию для
максимального удаления воздуха.

50. Открытый пневмоторакс

При открытом пневмотораксе плевральная
полость через открытую рану грудной стенки
сообщается с атмосферным воздухом,
который при вдохе свободно входит в полость
плевры, а при выдохе выходит из нее наружу.
Этот воздух вызывает спадение
лёгкого и
смещение органов средостения в здоровую
сторону.

51. Проникающая или открытая травма грудной клетки с образованием пневмоторакса

сердце
легкое
сердце
легкое

52.

При вдохе порция воздуха, входя в
полость плевры, сдавливает
легкое, податливые отделы сердца
и полые вены, резко оттесняет
средостение в здоровую сторону, а
диафрагму книзу.
При выдохе воздух выталкивается из
плевральной полости наружу: легкое,
лишенное эластической тяги грудной
клетки, частично расправляется.
Появляется парадоксальное дыхание

53. Клиника

состояние пациента будет тяжелым,
появляется бледность кожных покровов,
одышка, тахикардия, частое
поверхностное дыхание, кашель, боли в
груди, подкожная эмфизема.
Грудная клетка асимметрична, на
стороне поражения нет дыхательных
движений, при аускультации на стороне
поражения дыхание не прослушивается.
При наличии раневого отверстия из него
выделяется алая пенистая кровь со
свистящим выхождением воздуха.

54. клапанный пневмоторакс

в ране образуются механизм своеобразного
клапана, пропускающего воздух лишь в
плевральную полость, из которой он не имеет
выхода. В результате этого количество воздуха в
плевральной полости увеличивается с каждым
вдохом (напряженный, нарастающий
пневмоторакс) и воздух скапливается в
плевральной полости, смещая средостение в
здоровую сторону. Чаще при клапанном
пневмотораксе воздух может проникать в
подкожную клетчатку, что приводит к развитию
подкожной эмфиземы.

55. Различают наружный и внутренний клапанный пневмоторакс

При этом состояние пациента крайне тяжелое.
Отмечаются: тахикардия, снижение
артериального давления, учащение пульса,
подкожная эмфизема, поверхностное и
частое дыхание, цианотичность слизистых
оболочек.

56.

При вдохе воздух на
стороне повреждения
нагнетается в
плевральную полость
через рану грудной
стенки или бронха,
сдавливая легкое и
оттесняя средостение,
При выдохе в результате
клапанного механизма,
воздух выйти наружу не
может. Возникает
внутриплевральная
компрессия, ведущая к
тяжелой дыхательной и
сердечно-сосудистой
недостаточности.

57. Первая помощь

• Спасти раненого с клапанным пневмотораксом
может только немедленный прокол грудной
стенки для удаления из плевральной полости
избыточного воздуха.
• Если причина заключается в ранении грудной
стенки, следует после этого наложить
окклюзионную повязку, чтобы прекратить доступ
воздуха в полость плевры.
• Если же имеется внутренний клапан, следует
осуществить дренирование (торакоцентез или
пункцию толстой иглой), чтобы перевести
клапанный пневмоторакс в открытый.

58.

59.

60. Первая помощь

Открытый пневмоторакс переводим в закрытый
(окклюзионная повязка)
Клапанный пневмоторакс переводим в
открытый (плевральная пункция)
По показаниям: ИВЛ, ингаляция кислородом;
Обезболивание
Пациентов госпитализируют в полусидячем
положении.

61. Лечение:

в стационаре начинают с продолжения
противошоковых мероприятий, под общим
обезболиванием проводят первичную
хирургическую обработку раны.
При клапанном пневмотораксе необходимо
провести пункцию плевральной полости во
втором межреберье по среднеключичной
линии по верхнему краю ребра с
дренированием по Бюлау.

62. Гемоторакс–

скопление крови в плевральной полости в
результате внутреннего кровотечения при
ранении ткани легкого, повреждении
межреберных артерий (переломы ребер).

63.

64. Клиника:

зависит от количества излившейся крови и темпа
внутриплеврального кровотечения.
Небольшое количество крови вызывает боль в
груди, кашель.
По мере скопления крови возникает одышка,
цианоз, вынужденное сидячее положение
пациента.
Значительная кровопотеря сопровождается
тахикардией, появляется бледность кожных
покровов, слабость, боль в грудной клетке,
падение артериального давления, учащение
пульса, кашель.
При аускультации ослабление дыхания, при
перкуссии притупление перкуторного звука внизу
на стороне поражения.

65.

При поступлении больного в стационар:
Новокаиновая блокада;
Пункция плевральной полости;
Дренирование плевральной полости по Бюлау

66.

67. Классификация ранений грудной клетки

С повреждением органов грудной клетки
Без повреждения органов грудной клетки
Огнестрельные
Колото-резаные
Рвано-ушибленные
Слепые
Сквозные
Касательные

68. Первая помощь

необходимо пострадавшего уложить в
положение полусидя;
при состоянии шока, назначают
обезболивающие препараты, противошоковая
терапия, срочно госпитализировать.

69. Лечение.

Для подтверждения диагноза проводится УЗИ и
рентгенологическое исследование.
Противошоковую терапию продолжают,
назначают гемостатики, кровезаменители.
Обязательно проводится первичная обработка
раны, плевральная пункция.
При нарастающей картине внутреннего
кровотечения показана экстренная операция.

70. Пулевые ранения

71. Дробовое ранение

72. Ножевое ранение грудной клетки

73.

Общая принципиальная схема лечения пострадавших с
повреждениями груди в хирургическом стационаре включает:
•раннее и полноценное дренирование плевральной полости;
•восполнение кровопотери;
•эффективное поддержание проходимости дыхательных путей;
•устранение боли;
•герметизацию и стабилизацию грудной стенки;
•антимикробную и поддерживающую терапию.

74. Травмы сердца и перикарда

Ушиб сердца
Травматический инфаркт миокарда
Разрывы сердца
Открытые повреждения сердца бывают колотыми,
резаными, огнестрельными, осколочными и
комбинированными.

75. Ранения сердца и перикарда

Кровотечение
Симптомы тампонады сердца
(гемоперикарда)
Тяжёлое общее состояние
Бледность и цианоз кожных покровов
Отсутствие пульсации на магистральных артериях
Нарастающая глухость тонов сердца
Расширение сердечной тупости
Набухание шейных вен
Шок

76. Клиника повреждения сердца

Состояние тяжелое
наличие раны в проекции сердца,
признаки тампонады( артериальная гипотензия,
повышение венозного давления, резкое ослабление
сердечных тонов, синюшность кожных покровов,
нарушениями частоты и ритма сердца )
наружное кровотечение
скопление крови в плевральной полости или
перикарде.

77. Первая помощь

Орудие повреждения не извлекать
Оценка сердечно-легочной деятельности(при
необходимости сердечно легочная
реанимация)
Остановка наружного кровотечения,
герметичная асептическая повязка на рану
Холод на рану
Госпитализируют непосредственно в
операционную

78. Воспалительные заболевания лёгких и плевры

Эмпиема плевры
Абсцесс лёгкого

79. Эмпиема плевры

Гнойное воспаление плевры, сопровождающееся
скоплением гноя в плевральной полости.

80.

81. Клиника

Признаки интоксикации (лихорадка, тахикардия,
одышка, цианоз кожи и слизистых).
Отставание поражённой половины грудной клетки в
акте дыхания.
Перкуторное притупление лёгочного звука в проекции
гнойного очага.
Ослабление дыхания, голосового дрожания.

82.

1 — участок плевральной
полости, заполненный
жидкостью
(притупленный или
тупой перкуторный
звук);
2 — линия Эллиса —
Дамуазо —
Соколова;
3 — треугольник
Гарленда
(тимпанический
перкуторный звук ателектаз);
4 — треугольник Грокко
— Раухфуса
(притупленный
перкуторный звук).

83.

84.

85. Абсцесс лёгкого - инкапсулированная гнойная полость, окружённая зоной воспаления.

Лихорадка (постоянная или
интермиттирующая), недомогание
Боли в груди
Кашель
Потеря аппетита, потливость
Обильное выделение гнойной мокроты (в
результате прорыва гнойника в бронх)
Расслоение отстоявшейся мокроты на 3 слоя
Состояние больного после прорыва
абсцесса улучшается

86.

87.

88. Заболевания молочных желёз

Мастит
Опухоли молочной железы (фиброаденома, рак
молочной железы)

89. Осмотр молочных желез больной, обнаженной до пояса, проводится в положении стоя как при опущенных, так и при поднятых руках и в

положении лёжа.
При этом обращают внимание на следующие признаки:
увеличение или уменьшение размеров
желез, их форма, степень развития,
симметричность;
смещение вверх или в сторону, наличие
подвижности или фиксация;
нарушение конфигурации желез (втяжения,
выпячивания);
состояние соска и ареолы (втяжение,
деформации, изъязвление);

90.

наличие выделений из соска, их характер
(молозивные, зеленовато-бурые,
мазеобразные, серозные, кровянистые);
состояние кожных покровов железы:
локальная или разлитая гиперемия кожи
железы, распространение её на соседние
участки;
локальный или тотальный отёк по типу
"лимонной корки";
расширение кровеносных сосудов;
наличие узелков, изъязвлений кожи, корок,
мокнущих поверхностей, свищей, распада
тканей.

91. СИМПТОМ «ЛИМОННОЙ КОРКИ»

92. СИМПТОМ «ПЛОЩАДКИ»

93. СИМТОМ «УМБИЛИКАЦИИ» (втяжение участка кожи)

94. ВТЯЖЕНИЕ КОЖИ В СУБМАММАРНОЙ СКЛАДКЕ

95. Лабораторная и инструментальная диагностика

УЗИ молочной железы
Маммография
КТ, МРТ молочной железы
Дуктография
Термография
Биопсия
Тонкоигольная аспирационная биопсия
Трепан-биопсия
Эксфолиативная цитология (мазок-отпечаток)
Инцизионная и эксцизионная биопсия
Лабораторное определение опухолевых маркёров

96. Техника маммографии

97. Маммография

Норма
Рак молочной
железы

98. Мастит

Мастит – инфекционно-воспалительное
заболевание молочных желез,
развивающееся преимущественно у
женщин в период грудного
вскармливания.
По характеру клинического течения
мастит делят на:
острый (развивается внезапно,
характеризуется яркой симптоматикой);
хронический (чаще развивается у
нелактирующих женщин,
характеризуется стертой клинической
картиной, протекает длительно, с
чередованием периодов обострения и
новорожденных (связан
с попаданием
материнских половых
гормонов в организм
ребенка, в большинстве
случаев проходит
самостоятельно)
English     Русский Rules