Периферические органы кроветворения
Селезенка окраска: гематоксилин эозин
Кровеносные сосуды в трабекуле
Красная пульпа селезенки
Белая пульпа селезенки
Особенности крвоснабжения селезенки
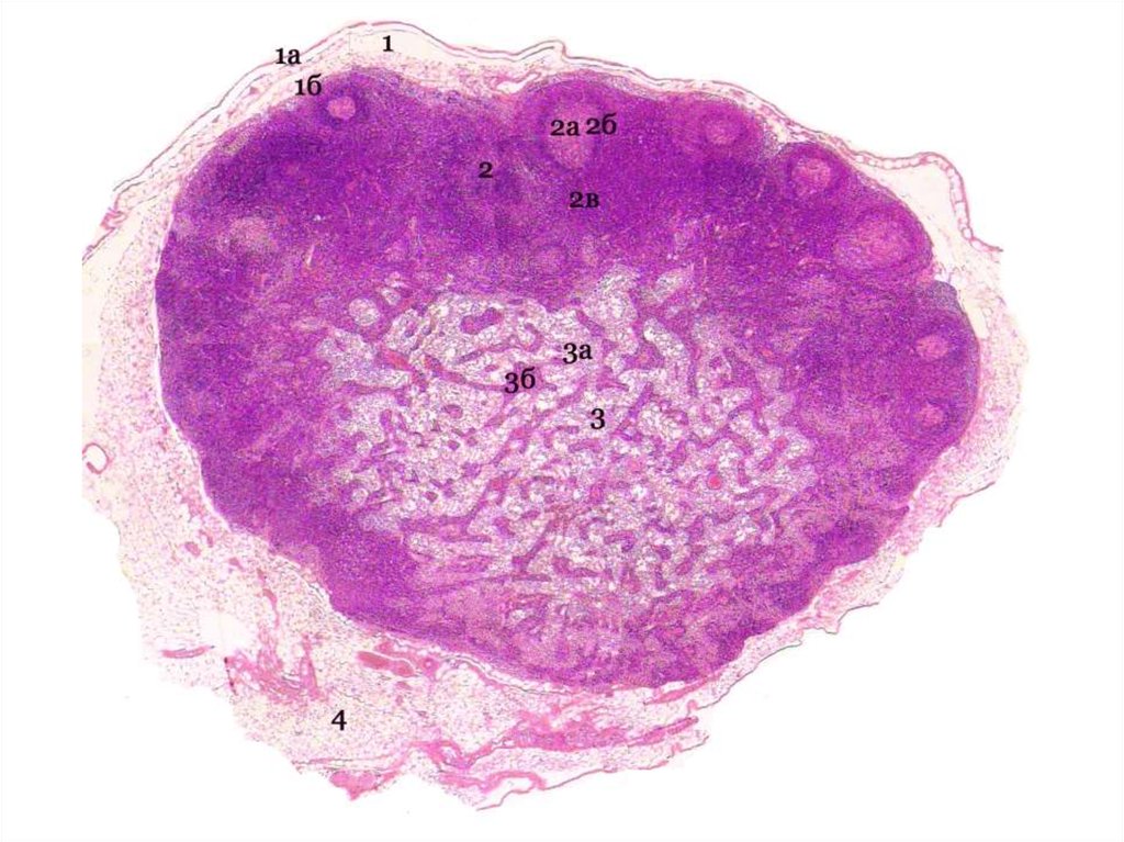
Лимфатический узел, корковое вещество
Лимфатический узел, мозговое вещество
Ворота лимфатического узла
Приносящий лимфатический сосуд и синусы
Ток лимфы в лимфатическом узле
Береговые клетки накопление краски
Клеточная иммунная реакция
Гуморальная иммунная реакция
17.43M
Category: medicinemedicine

Периферические органы кроветворения. Селезенка, лимфатический узел

1. Периферические органы кроветворения

Селезенка , лимфатический
узел

2.

3. Селезенка окраска: гематоксилин эозин

4. Кровеносные сосуды в трабекуле

5. Красная пульпа селезенки

6. Белая пульпа селезенки

7. Особенности крвоснабжения селезенки

8.

9. Лимфатический узел, корковое вещество

10. Лимфатический узел, мозговое вещество

11. Ворота лимфатического узла

12. Приносящий лимфатический сосуд и синусы

13. Ток лимфы в лимфатическом узле

• 1 - приносящие
лимфатические сосуды, 2 субкапсулярный (краевой
или маргинальный) синус,
• 3 - вокругфолликулярные
(корковые или
промежуточные),
• 4-мозговые
(промежуточные),
• 5 - воротный (центральный),
6 - выносящий
лимфатический сосуд

14. Береговые клетки накопление краски

15. Клеточная иммунная реакция

16. Гуморальная иммунная реакция

English     Русский Rules