14.63M
Category: medicinemedicine

OKS_studenty_6_y_kurs

1.

Острый коронарный синдром
Пономаренко И.В.
к.м.н., ассистент кафедры
кардиологии и ССХ АГМУ

2.

3.

ОПРЕДЕЛЕНИЕ
Острый коронарный синдром – термин,
обозначающий любую группу
клинических признаков или
симптомов, позволяющих подозревать
ОИМ или нестабильную стенокардию.
Включает в себя понятие, ИМпST, ИМбпST на ЭКГ и нестабильную
стенокардию.

4.

Эпидемиология
• В РФ ежегодно регистрируется 520 000 случаев ОКС (ИМ- 36,4%,
нестабильная стенокардия 63,6%)
• Тенденция последних лет- снижение заболеваемости ОКСпST при
росте заболеваемости ОКСбпST
• По данным регистра GRACE 5 летняя смертность
после
перенесенного острого коронарного события составляет 20%
• Большинство смертей происходит после выписки из стационара
(87% при ИМбпST и 97% при НС)
• Летальность от ИМ составляет в среднем по РФ – 12%

5.

6.

7.

«Острый коронарный синдром»
Разрыв
бляшки
стабильная
стенокардия
Нестабильная
стенокардия
ИМ без Q
ИМ с Q зубцом
ОКС без ST
ОКС с ST
Антитромбо
-тическое
лечение
Тромболизис
Первичное ЧКВ

8.

ПАТОГЕНЕЗ острого коронарного
синдрома (всех вариантов)
Надрыв или эрозия атеросклеротической бляшки
Тромбоз различной степени выраженности
Спазм коронарной артерии
Дистальная эмболизация
Воспаление

9.

10.

11.

ОКС с подъемом сегмента ST
Подъем сегмента ST свидетельствует о наличии
трансмурального
(субэпикардиального)
повреждения
миокарда
Развитие вышеуказанных изменений возможно только в
случае
сосуда
тотальной
окклюзии
крупного
магистрального
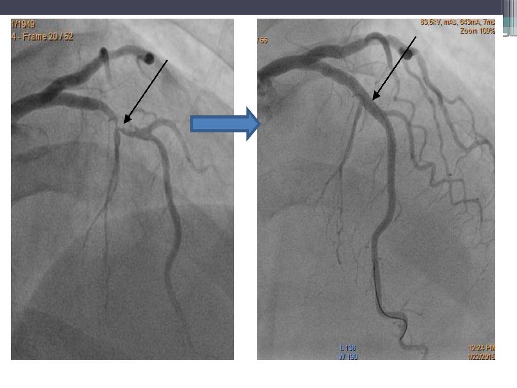
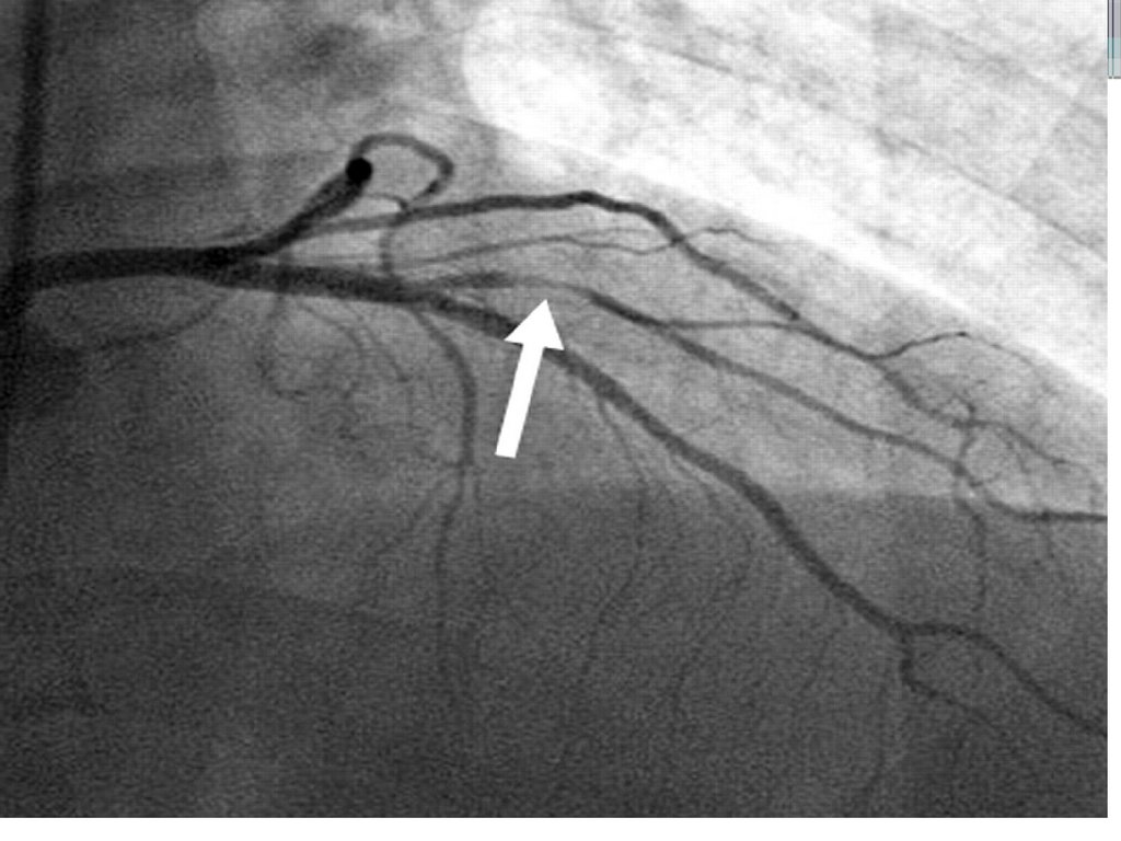
Тотальная окклюзия ПМЖВ

12.

13.

14.

15.

ОКС без подъема сегмента ST
Неокклюзирующий(зачастую реканализированный тромб в просвете крупной
коронарной артерии;
Окклюзия коронарной артерии мелкого калибра (1-2 мм диаметра);
Неокклюзирующий
тромб

16.

17.

18.

19.

ОКС без подъема сегмента ST

20.

ТЕРМИНОЛОГИЯ
• ОКС без стойких подъемов сегмента ST- остро
возникшие клинические признаки или симптомы ишемии
когда на ЭКГ отсутствует стойкий ( длительностью более
20 минут) подъем сегмента ST как минимум в двух
смежных отведениях и остро возникшая ПБЛНПГ
• Нестабильная стенокардия- остро возникшая или
утяжелившаяся стенокардия, когда тяжесть и
продолжительность ишемии не достаточны для развития
некроза кардиомиоцитов

21.

НЕСТАБИЛЬНАЯ СТЕНОКАРДИЯ
Длительный ( более 20 мин) ангинозный приступ в покое (
затянувшийся приступ)
Впервые возникшая стенокардия, соответствующая как
минимум II ф.кл стенокардии напряжения появившаяся
последние 28 дней
Прогрессирующая стенокардия ( учащение приступов до
стенокардии III ф.кл)
Постинфарктная стенокардия ( появившаяся в первые 2
недели после ИМ).

22.

ДИАГНОСТИКА
ОКСбпST

23.

1. Клиника
остро возникшее чувство сдавления или тяжести или жжения
за грудиной («грудная жаба») возможно с иррадиацией в
левую руку, шею или челюсть, которое может быть
кратковременным или постоянным
потливость, тошнота, боли в животе, одышка, обморок могут
сопровождать боли
«атипичная клиника»: боли в животе, диспепсия, колющие
боли в грудной клетке

24.

Характеристики ангинозной боли при
остром коронарном синдроме:
1. Интенсивная
2. Локализация:
— за грудиной;
— в левой половине грудной клетки
3. Характер:
— сжимающая (симптом «сжатого кулака»)
— давящая
4. Иррадиация:
— в левое плечо, руку
— в обе руки
— в нижнюю челюсть
— в межлопаточное пространство
5. Сопровождается:
— общей слабостью, холодным потом
— чувством нехватки воздуха
— сердцебиением
— перебоями в работе сердца
— чувством страха смерти

25.

Диагностические критерии, как правило,
исключающие ангинозную боль
1. Острый, режущий или колющий характер боли
2. Пульсирующая боль
3. Кратковременная, в течение нескольких секунд, боль
4. Боль очень длительная
5. Появление дискомфорта во время еды или в положении сидя, но
не при физических усилиях и не при положении лежа на спине
6. Уменьшение боли в груди при физических усилиях
7. Появление боли при умеренных движениях рук, особенно при
подъеме одной руки, без возникновения неприятных ощущений во
время быстрой ходьбы
8. Появление или усиление боли в груди при глубоком дыхании
9. Резко повышенная чувствительность кожи над зоной боли
10. Множество других симптомов, сопровождающих боль

26.

ЭКГ
диагностика
• Рекомендована запись ЭКГ и ее расшифровка в
течение 10 мин от первого медицинского
контакта (при невозможности квалифицированно интерпретировать ЭКГ на
месте необходимо наладить систему ее дистанционной передачи и
консультирования)
• нормальная ЭКГ у 30%
• стойкая или транзиторная депрессия ST (горизонтальная или косонисходящая
минимум на 0,05 мВ)
• транзиторная элевация ST( продолжительностью не более 20 мин)
• инверсия зубца T

27.

28.

29.

30.

Физикальное обследование при
ОКС
• Рекомендовано для
выявления признаков,
позволяющих оценить тяжесть и наличие других
заболеваний провоцирующих или осложняющих
течение ОКСбпST, и способных повлиять на выбор
подходов к лечению, оценить наличие осложнений
и помочь в дифференциальной диагностике

31.

Лабораторные
исследования
ОАК ( эритроциты, тромбоциты,
гематокрит)
Электролиты, АСТ, АЛТ, креатинин ( с
подсчетом клиренса и СКФ ), мочевина,
коагулограмма, глюкоза крови,
липидограмма
ОАМ

32.

Маркеры повреждения
Высокочувствительные
сердечные тропонины T и I –
золотой стандарт диагностики

33.

34.

Применение высокочувствительного
тропонина для исключения или
подтверждения ИМ
Рекомендовано использовать протокол с повторным (после первого
определением тропонина ( через 0-1 час, 0- 2 часа, при
необходимости через 3-6 ч)
compass-mi.com
Предсказательная ценность 1 часового алгоритма составляет 98-100%
для исключения ИМ, 75-80% для выявления ИМ, при раннем
обращении повторное определение тропонина не ранее чем через 3
часа

35.

Определение ИМ
Термин ОИМ используется при
наличии лабораторных признаков
некроза миокарда ( повышение Тр
выше 99пр) и клинических
признаков ишемии миокарда

36.

КРИТЕРИИ ПОВРЕЖДЕНИЯ МИОКАРДА
Термин повреждение
миокарда может быть
использован при
повышении уровня Тр> 99- го
перцентиля от верхней
границы нормы
Повреждение
считается острым в
случае динамики
повышения и/или
снижения
концентрации
тропонина

37.

КРИТЕРИИ ИНФАРКТА МИОКАРДА
Наличие повреждения
миокарда+
клинические
доказательства
ишемии миокарда
1. Нарастание и/или снижение
уровня сердечного тропонина
при условии, что одно из
значений было выше 99 го
перцентиля в сочетании с
одним из признаков:
Клинические симптомы ишемии
миокарда
Вновь возникшие изменения по
ЭКГ
Выявление патологического
зубца Q
Выявлений новых участков
нежизнеспособного миокарда,
нарушений локальной
сократимости
Выявление тромбов в
коронарных артериях по данным
КАГ или аутопсии

38.

39.

Table 2 Conditions other than acute type 1 myocardial infarction
Состояния, ассоциированные с повреждением миокарда
associated
with
cardiomyocyte injury (= cardiac troponin
(повышением тропонина), ESC 2020
elevation) (1)
Tachyarrhythmias
Тахибрадиаритмии
Heart
failure недостаточность
Сердечная
Hypertensive
emergencies
Гипертонический
криз
Critical
illness (e.g.
shock/(шок,сепсис,ожоги)
sepsis/ burns)
Критические
состояния
a перикардиты.эндокардиты )
Myocarditis
Миокардиты(
Синдром syndrome
Такоцубо
Takotsubo
Valvular
heartзаболевания
disease (e.g.(аортальный
aortic stenosis)
Клапанные
стеноз)
Расслоение
аорты
Aortic
dissection
Почечная
дисфункция
Renal
dysfunction
and associated cardiac disease
Bold = most frequent conditions. aIncludes myocardial extension of endocarditis or pericarditis.
www.escardio.org/guidelines
2020 ESC Guidelines for the management of acute coronary syndromes in patients presenting without
persistent ST-segment elevation (European Heart Journal 2020 - doi/10.1093/eurheartj/ehaa575)
©E S C
Pulmonary
pulmonary
Легочная embolism,
гипертензия
и ТЭЛАhypertension

40.

Table 2 Conditions other than acute type 1 myocardial infarction
Продолжение
(причины повышения
уровняtroponin
тропонина)
associated
with cardiomyocyte
injury (= cardiac
elevation) (2)
Острое
неврологическое
событие(
ишемический
геморрагический инсульт)
Acute
neurological
event (e.g.
stroke or
subarachnoidили
haemorrhage)
Cardiac
contusion
or cardiac
procedures (CABG,
PCI, ablation,
pacing, cardioversion, or
Контузия
сердца
или выполненные
процедуры(
эндомиокардиальная
биопсия, дефибрилляция,
РЧА..)
endomyocardial
biopsy)
Гипоand
и гипертиреоидизм
Hypohyperthyroidism
Инфильтративные
склеродермия, амилоидоз,гемохроматоз)
Infiltrative
diseases (e.g.заболевания(
amyloidosis, haemochromatosis,
sarcoidosis, scleroderma)
Myocardial
drugповреждение
toxicity or poisoning
(e.g. doxorubicin,
5-fluorouracil, herceptin,
snake
Токсическое
миокарда
( кокаин, курительные
смеси, лек.
Препараты)
venoms)
Extreme
endurance efforts
Экстремальные
состояния
Рабдомиолиз
Rhabdomyolysis
COVID - 19
©E S C
Bold = most frequent conditions. aIncludes myocardial extension of endocarditis or pericarditis.
www.escardio.org/guidelines
2020 ESC Guidelines for the management of acute coronary syndromes in patients presenting without
persistent ST-segment elevation (European Heart Journal 2020 - doi/10.1093/eurheartj/ehaa575)

41.

Recommendations for diagnosis, risk stratification, imaging, and
Рекомендации по диагностике, стратификации риска,
rhythm
monitoringритма
in patients
with suspected
non-ST-segment
мониторингу
у пациентов
с ОКСбпST,
ESC 2020
elevation acute coronary syndrome (1)
Class Level
Recommendations
Diagnosis and risk stratification
У пациентов с подозрением на ОКСбпST рекомендована оценка
It is recommended
to base diagnosisданных,
and initialобъективный
short-term riskосмотр,
stratification
клинико-анамнестических
риска,history,
записьsymptoms,
ЭКГ и определение
тропонина
on стратификация
a combination of clinical
vital signs, other
physical
I
B
It is recommended to measure cardiac troponins with high-sensitivity assays
Рекомендовано определение высокочувствительного
immediately
after admission and obtain the results within 60 min of blood
тропонина c получением результата в течение 60 минут
sampling.
I
B
It Рекомендована
is recommended to obtain
a 12-lead
ECG within 10ЭКГ
min after
first medical
запись
и разшифровка
в течение
10
contact and
to have
it immediately
by an experienced
physician.
минут
после
первогоinterpreted
медицинского
контакта
I
B
0 h = time of first blood test; 1 h, 2 h, 3 h = 1, 2, or 3 h after the first blood test.
www.escardio.org/guidelines
2020 ESC Guidelines for the management of acute coronary syndromes in patients presenting without
persistent ST-segment elevation (European Heart Journal 2020 - doi/10.1093/eurheartj/ehaa575)
©E S C
findings, ECG, and laboratory results including hs-cTn.

42.

Стратификация риска при ОКСбпST
Использование шкал для оценки риска
ишемии и кровотечений
GRACE 1,0 ( без креатинина) для
приемного покоя
Шкала GRACE 2,0 обеспечивает наиболее
точную стратификацию риска как при
поступлении, так и при выписке из
стационара (www.outcome.org/grace)

43.

44.

45.

Симптомы
Первый
мед.
ЧКВ центр
Очень
высокий
контакт
Пациент не в ЧКВ
центре
Перевод в ЧКВ
центр
высокий
Очень
высокий
В этот день
перевод
высокий
низкий
Немедленная
инвазивная
стратегия
Ранняя
инвазивая
стратегия
Очень
высокий риск
Высокий риск
Нестабильная
гемодинамика
Остановка сердца без
элевации ST или
кардиогенного шока
Выборочная
инвазивная
стратегия
Низкий риск
(Отсутствие
критериев
высокого и очень
высокого риска)
Figure 9 Selection of
non-ST-segment
Выбор времени и
варианта
elevationлечебной
acute
стратегии у пациентов
coronary syndrome
с ОКСбпST в
соответствии
со
treatment strategy
and
стратификацией риска,
timing according to
ESC 2020
initial
risk stratification
www.escardio.org/guidelines
©E S C
Депрессия ST в 6
грудных
отведениях,элевация
ST в V1, AVr
2020 ESC Guidelines for the management of acute coronary syndromes in patients presenting without
persistent ST-segment elevation (European Heart Journal 2020 - doi/10.1093/eurheartj/ehaa575)

46.

Recommendations
forкоронарной
coronary revascularization
(4) при
Рекомендации по
реваскуляризации
ОКСбпST, ESC 2020 ( технические аспекты)
Recommendations
Class Level
Technical aspects
I
A
Рекомендовано
стенты
с лекарственным
DES
are recommendedиспользовать
over bare-metal stents
for any
PCI irrespective of:
покрытием
• Clinical presentation
• Lesion type
• Planned non-cardiac surgery
• Anticipated duration of DAPT
• Concomitant anticoagulant therapy.
I
A
©E S C
Radial
access is recommended
as the standard
approach,
there are
Рекомендовано
использован
лучевой
доступunless
(MATRIX,
RIVAL- меньше
риск
кровотечений, чем при бедренном доступе)
overriding
procedural
considerations.
www.escardio.org/guidelines
2020 ESC Guidelines for the management of acute coronary syndromes in patients presenting without
persistent ST-segment elevation (European Heart Journal 2020 - doi/10.1093/eurheartj/ehaa575)

47.

48.

ЭКГ признаки ОКС пST
1. Элевация сегмента ST в точке >
0,1мB в двух последовательных
отведениях кроме V2-3, где отрезной
точкой является повышение >0,2 мВ
2.Горизонтальная нисходящая
депрессия сегмента ST>0,05 мВ в двух
последовательных отведениях или
инверсия зубца T >0,1 мВ с выпуклым
зубцом R

49.

50.

51.

52.

53.

54.

ПРИНЦИПЫ ЛЕЧЕНИЯ ОСТРОГО КОРОНАРНОГО
СИНДРОМА
1. Купирование болевого синдрома (ненаркотические и
наркотические анальгетики
Нитраты сублингвально или в виде в/в инфузии через
автоматические дозаторы 4-8 мг/час под контролем АД в
течение 24 –48 часов ( I C)- АД не ниже 95 мм.рт.ст
2.
3. Устранение фактора, провоцирующего ишемию ( АД,
тахикардия, постельный режим, психологический
комфорт пациента)

55.

3. Предупреждение развития некроза миокарда (при нестабильной
стенокардии), либо ограничение зоны некроза миокарда (при
инфаркте миокарда без зубца Q), патогенетическая терапия
-Дезагреганты и антикоагулянты
-Статины
-Бета-блокаторы в/в либо внутрь
-Ингибиторы АПФ, блокаторы рецепторов АТ I I (при
показаниях))

56.

ОБЕЗБОЛИВАНИЕ
• Наркотический анальгетик (морфин)- уменьшает
страх, снижает симпатическую активность, увеличивает тонус
блуждающего нерва, вызывает расширение периферических артерий и
вен
• 10 мг разводят в 10 мл 0,9% раствора хлорида натрия, вводить дробно 2-4
мг, при необходимости введение повторяют каждые 5-15 мин до купирования
болевого синдрома

57.

Коррекция гипоксемии
• При SPO 2 менее 90% или парциальном
давлении кислорода < 60 мм.рт.м
рекомендована кислородотерапия 2-8 л в
мин

58.

Нитраты
• Сублингвально, можно дважды с интервалом в 5
мин
• Нитраты внутривенно (доза титруется под
контролем АД- начальная 10 мкг/мин), оптимальная
продолжительность инфузии 24-48 часов
• Могут использоваться при вазоспастической
стенокардии

59.

60.

БЕТА- адреноблокаторы
В метаанализе 27 клинических исследований
доказана польза применения при ОКС (13% снижение
риска повторных ишемических событий)
Нет доказательства наибольшей эффективности
какого-либо бета – блокатора
Терапия может быть начата с любого из
препаратов ( метопролол, карведилол, бисопролол)
Целевая ЧСС 55-60 в мин !!!

61.

62.

Recommendations
long-term management
Рекомендацииforпоpharmacological
медикаментозному
лечению
after non-ST-segment
elevation(ESC,2020
acute coronary
syndrome
ОКСбпST
)
(excluding antithrombotic treatments) (1)
Recommendations
Class Level
Липидснижающая
Lipid-lowering
drugs терапия
Статины(аторвастатин
80 мг, симвастатин
40 мг)patients.
рекомендованы
дляisвсех
пациентов,
Statins
are recommended
in all NSTE-ACS
The aim
to reduce
LDL-C
целевой показатель ХСЛПНП <1,4 ммоль/л (< 55 мг/дл), при повторном остром
коронарном
событии
в течение
- <1,1
ммоль/л
by
≥50% from
baseline
and to2-хлет
achieve
LDL‐C
<1.4 mmol/L (<55 mg/dL) .
I
A
IfПосле
the LDL-C
goala is лечения
not achieved
after 4–6при
weeks
with the maximally
4-6 недель
статинами,
недостижении
целевых
показателей
ЛСЛПНП
к лечениюwith
добавить
эзетимиб
10 мг
tolerated
statin
dose, combination
ezetimibe
is recommended.
I
B
c is not achieved after 4–6 weeks despite maximally tolerated
IfПосле
the LDL-C
4-6 goal
недель
лечения статинами+эзетимиб при не
достижении
целевых
показателей
ХСЛПНП
лечению
statin
therapy and
ezetimibe,
the addition
of a PCSK9кinhibitor
is добавить
ингибиторы PSCK 9 (эвалокумаб, алирокумаб (пралуент)
recommended.
I
B
aFor patients at very high cardiovascular risk (such as patients with ACS), an LDL-C reduction of at least 50% from baseline and an LDL-C goal <1.4 mmol/L (<55
©E S C
mg/dL) are recommended.
www.escardio.org/guidelines
2020 ESC Guidelines for the management of acute coronary syndromes in patients presenting without
persistent ST-segment elevation (European Heart Journal 2020 - doi/10.1093/eurheartj/ehaa575)

63.

ЦЕЛИ
АНТИТРОМБОТИЧЕСКОЙ ТЕРАПИИ
АНТИКОАГУЛЯЦИЯ
АНТИАГРЕГАЦИЯ
Тканевой
фактор
Каскад
свертывания
Фондапаринукс
Протромбин
НМГ
ГЕПАРИН
А
Т
А
Т
коллаген
аспир
ин
АДФ
Тромбоксан A
2
Клорпидогре
л, прасугрел,
тикагрелор
кангрелор

тромбин
Агрегация
тромбоцитов
Бивалирудин
фибриноген
Фибрин
ТРОМБОЗ
IIb/III a
ингибитор
ы

64.

АСПИРИН
Более чем в 2 раза снижает риск развития ИМ и
смерти при ОКС БПST
Оптимальная поддерживающая доза 75-100 мг
Нагрузочная 150- 300 мг (таблетку разжевать и
проглотить)
При непереносимости в качестве монотерапии
возможно применение клопидогреля

65.

Клопидогрел
Блокирует АДФ индуцированную агрегацию тромбоцитов
Используется с 17 ноября 1997 г
В исследовании CURE показал снижение ССС, смерти от
ИМ на 20% в сравнении со стандартной терапией
(преимущество было очевидно в первые часы и
продолжало расти в течение 12 месяцев), в связи чем
препарат в 2002 г был включен в рекомендации по
лечению ОКС
Нагрузочная доза 300 мг, перед ЧКВ 600 мг,
поддерживающая 75 мг, при невозможности получать
тикагрелор или прасугрел

66.

Тикагрелор
Является активным веществом ( содержит активный метаболит
AR-C124910XX)
Биодоступность 36%, независимо от приема пищи, выводится в
основном печенью ( с желчью), 26% с мочой
Имеет иной механизм действия, чем тиенопиридины (отдельно
связываясь с субрецепторами P2Y12 рецепторов тромбоцитов
делает их неактивными, блокируя связь с АДФ)
Одобрен к использованию FDA при ОКС 20 июля
2011 г

67.

Классификация инфаркта
миокарда
ИМбпST
ИМпST
Инфаркт миокарда с зубцом Q
Инфаркт миокарда без зубца Q

68.

РЕПЕРФУЗИОННАЯ ТЕРАПИЯоснова лечения ОКСПST

69.

ОКС с подъемом сегмента ST
Подъем сегмента ST свидетельствует о наличии
трансмурального
(субэпикардиального)
повреждения
миокарда
Развитие вышеуказанных изменений возможно только в
случае
сосуда
тотальной
окклюзии
крупного
магистрального
Тотальная окклюзия ПМЖВ

70.

71.

72.

ОКСПST

73.

Тромболизис (STREAM)
В исследовании доказана оправданность
стратегии догоспитального тромболизиса
тенектеплазой перед транспортировкой
пациента в инвазивный стационар при
невозможности выполнить ЧКВ в первые
3 часа
ИСЧЕЗАЕТ НЕОБХОДИМОСТЬ В
ЭКСТРЕННОМ ЧКВ У ДВУХ ТРЕТЕЙ
ПАЦИЕНТОВ, получивших ТЛТ
Отмечено увеличение числа
кровотечений, особенно у пациентов > 75
лет

74.

АБСОЛЮТНОЕ ПРЕИМУЩЕСТВО НА 1000
ПОЛУЧИВШИХ ЛЕЧЕНИЕ ПАЦИЕНТОВ
ВЛИЯНИЕ ВРЕМЕНИ ДО ЛЕЧЕНИЯ НА ОТНОШЕНИЕ
ВЕРОЯТНОСТЕЙ (ОВ) СМЕРТЕЛЬНОГО ИСХОДА
80
«Золотой час»: начало лечения в течение
первого часа от появления симптомов позволяет
спасти 65 жизней на 1000 пациентов!
60
40
20
0
0
3
6
9
12
15
18
21
24
ЗАДЕРЖКА ЛЕЧЕНИЯ (Ч)
Boersma et al. Lancet 1996; 348: 771–775.

75.

Тромболитическая
терапия
Рекомендована в
пределах 12 ти
часов от начала симптомов у
больных без противопоказаний,
если первичное ЧКВ не может
быть выполнено опытной
командой в пределах 120 минут
после первичного медицинского
контакта ( I A)
Предпочтительнее
фибринспецифические

76.

Эволюция тромболизиса
Второе поколение
Первое
поколение
Стрептокиназа
аллергенна
не селективна к фибрину
«золотой стандарт»
фибринселективность
не аллергенна
Третье поколение
Актилизе
Метализе
Эквивалентна Алтеплазе
Высокая
фибринспецифичность

77.

78.

79.

Абсолютные
противопоказания к
тромболизису
Геморрагический инсульт в анамнезе или
любой неуточненного времени и
этиологии
Ишемический инсульт в течение 6
месяцев
Сосудистые структурные изменения или
артериовенозные мальформации
Большие травмы, операции, ЧМТ в
течение месяца
ЖКТ кровотечение в течение месяца
Любые кровотечения ( включая mensis)

80.

относительные
ТИА в течение 6 месяцев
Терапия ОАК
Беременность или 1 послеродовая
неделя
Рефрактерная гипертензия
Инфекционный эндокардит
Хронические заболевания печени
Активная язва ЖКТ

81.

Антитромботики при ТЛТ
Аспирин 300 мг
нагрузочная доза,
затем 75 мг
Клопидогрел 300 мг( у лиц старше 75
лет без нагрузки), затем 75 мг до 12
месяцев, м.б. в течение суток
заменен на тикагрелор (TREAT,
PLATO), кроме лиц старше 75 лет
TREAT ( возможность перевода на
тикагрелор в течение 48 ч после

82.

Антикоагулянты после
ТЛТ
Эноксапарин
у пациентов < 75 лет
(болюс 30 мг в/в),затем п/к 1 мг/кг
через 12 часов, I A
при СКФ < 30 мл/мин половинная
суточная доза т.е. 1 раз в день
В течение 8 дней ( первые 2 дозы не
должны превышать 100 мг за
инъекцию
У пациентов старше 75 лет болюс не
вводится !

83.

Дезагрегантная терапия, ОКС
Аспирин 75-100 мг всем пациентам
( IA)
P2Y12 ингибиторы в течение 12 месяцев ( за исключением высокого
риска кровотечений)
(IA)
Прасугрел (60 мг нагрузочная доза), 10 мг 1 раз в день, при известной
анатомии КА и возможности ЧКВ
(IB)
Тикагрелор ( 180 мг нагрузочная доза, 90 мг 2 раза в день), у
пациентов с выполненным ЧКВ, включая тех, кому догоспитально
давался клопидогрел
(IB)
Клопидогрел, только когда прием тикагрелора или прасугрела
невозможен
( IB)

84.

Диф-диагностика при ОКС
ТЭЛА
Расслоение аорты,
Острый пери/миокардит
Плевропневмония
Пневмоторакс
Заболеванием пищевода, желудка и 12-перстной кишки (язвенной болезнью),
других органов верхних отделов брюшной полости(диафрагмальная грыжа,
печеночная колика при желчно-каменной болезни, острый холецистит, острый
панкреатит),
Тромбоз мезентериальных сосудов
Стресс-индуцированной кардиомиопатией (синдром Такоцубо)
Спонтанная дессекция интимы КА у беременных

85.

Стенокардия Принцметала ( ЭКГ во
время приступа)

86.

87.

Расслаивающая
аневризма аорты
Многочасовой упорный болевой синдром, локализация боли по
центру грудной клетки, в спине, распространение боли вниз по
позвоночнику, а также выявление асимметрии пульса и АД на
крупных сосудах, диастолического шума аортальной недостаточности,
признаков внутреннего кровотечения (включая снижение уровня Hb и
Ht)
Часто само расслоение происходит на фоне значительного повышения
АД
Трансторакальная ЭхоКГ , наиболее информативны
чреспищеводное УЗИ, КТ, визуализация с использованием
МРТ и аортография

88.

Острый перикардит
Связь боли с дыханием, кашлем, положением тела
Важно установить соответствие между
продолжительностью заболевания и характером
повреждения миокарда (многочасовой болевой синдром с
подъемом сегмента STЭКГ при отсутствии признаков
серьезного повреждения миокарда свидетельствует против
остро возникшей стойкой окклюзии КА.

89.

90.

ЭКГ у пациента с болевым синдромом в грудной клетке в течение 3-х
суток, тропонин отрицательный

91.

92.

93.

Терапия ОКС на амбулаторном
этапе
• Аспирин 125 мг - пожизненно
• Клопидограл( тикагрелор) 75 (90 мг 2 раза в
день) 12 месяцев
• Бетаблокаторы
• Статины ( целевой уровень ХСЛПНП менее
1,4 ммоль/л (аторвастатин высокие дозы),
эзетимиб и т д

94.

95.

96.

97.

СПАСИБО ЗА ВНИМАНИЕ!
English     Русский Rules