Гистоморфологические и функциональные особенности пульпы постоянных зубов с незавершенным формированием корня
Понятие о зубах с незавершенным формированием корня
Гистоморфологические особенности пульпы (1)
Гистоморфологические особенности пульпы (2)
Функциональные особенности пульпы
Клиническое значение особенностей пульпы
Выводы
2.26M
Category: medicinemedicine

Gistomorfologicheskie_i_funktsionalnye_osobennosti_pulpy_postoyannykh_zubov_s

1. Гистоморфологические и функциональные особенности пульпы постоянных зубов с незавершенным формированием корня

ГИСТОМОРФОЛОГИЧЕСКИЕ И
ФУНКЦИОНАЛЬНЫЕ ОСОБЕННОСТИ
ПУЛЬПЫ ПОСТОЯННЫХ ЗУБОВ С
НЕЗАВЕРШЕННЫМ
ФОРМИРОВАНИЕМ КОРНЯ

2. Понятие о зубах с незавершенным формированием корня

ПОНЯТИЕ О ЗУБАХ С НЕЗАВЕРШЕННЫМ ФОРМИРОВАНИЕМ КОРНЯ
Постоянные зубы с незавершенным формированием корня — это зубы, у которых после
прорезывания корнеобразование не завершено.
Стадии развития корня (по В.И. Кузьмину):
Стадия несформированного корня. Рост корня в длину не закончен. При этом стенки корня
идут параллельно и расходятся, образуя «раструб», просвет канала широкий, у «раструба»
переходит в ростковую зону - участок просветления, имеющий округлую форму с четкими
контурами .
Стадия несформированной верхушки. Длина корня достаточная, стенки корня у верхушки
истончены, расходятся, образуя «раструб», четко определяется ростковая зона.
Стадия незакрытой верхушки. Корень нормальной длины, верхушка корня заострена,
апикальное отверстие широкое, ростковая зона не видна.
Стадия неоконченного формирования апикальной части периодонта.

3.

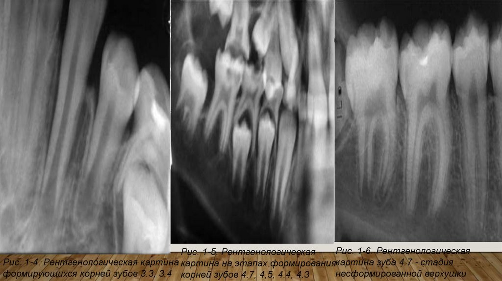
Рис. 1-6. Рентгенологическая
Рис. 1-5. Рентгенологическая
Рис. 1-4. Рентгенологическая картина картина на этапах формированиякартина зуба 4.7 - стадия
несформированной верхушки
формирующихся корней зубов 3.3, 3.4 корней зубов 4.7, 4,5, 4.4, 4.3

4. Гистоморфологические особенности пульпы (1)

ГИСТОМОРФОЛОГИЧЕСКИЕ ОСОБЕННОСТИ ПУЛЬПЫ (1)
Пульпа молодого зуба более жизнеспособна и обладает высоким регенеративным
потенциалом по сравнению с пульпой зрелого зуба.
Клеточный состав:
· Обилие молодых клеток: Высокая плотность и активность фибробластов,
которые синтезируют коллаген и основное вещество пульпы.
· Наличие одонтобластов: Клетки располагаются в несколько рядов, активно
продуцируют предентин и дентин. Их отростки (волокна Томеса) длинные и
проникают глубоко в дентин.
· Мезенхимальные клетки-предшественники: Большой резерв
недифференцированных клеток, способных превращаться в одонтобласты и
фибробласты при необходимости репарации.

5.

6. Гистоморфологические особенности пульпы (2)

ГИСТОМОРФОЛОГИЧЕСКИЕ ОСОБЕННОСТИ ПУЛЬПЫ (2)
Сосудистое русло:
· Обильная васкуляризация: Густая сеть
кровеносных сосудов, особенно в коронковой
пульпе.
Связь с периодонтом: Наличие широких
апикальных отверстий и дополнительных каналов
обеспечивает хорошее сообщение с сосудистой
сетью периодонта. Это ключевой фактор для
питания и защиты пульпы.
Иннервация:
· Нервные волокна еще полностью не
сформированы, их миелинизация не завершена.
Как следствие — болевая чувствительность может
быть снижена по сравнению со зрелыми зубами.

7. Функциональные особенности пульпы

ФУНКЦИОНАЛЬНЫЕ ОСОБЕННОСТИ ПУЛЬПЫ
1. Пластическая (дентинообразующая) функция:
· Выражена максимально. Одонтобласты активно продуцируют дентин.
· Происходит формирование корня : отложение дентина по стенкам корневого канала, что приводит
к его сужению и удлинению корня.
· Формируется апекс (верхушка корня).
2. Трофическая функция:
· Обеспечивается богатым кровоснабжением. Пульпа питает не только себя, но и дентин через
одонтобласты и их отростки.
3. Защитная функция:
· Высокий репаративный потенциал: Благодаря обилию клеток-предшественников и хорошему
кровоснабжением, пульпа способна активно формировать третичный (репаративный) дентин в
ответ на кариес, травму или другие раздражители.
· Воспалительная реакция: Протекает более активно, но при адекватных условиях возможно
обратное развитие (разрешение) воспаления.

8. Клиническое значение особенностей пульпы

КЛИНИЧЕСКОЕ ЗНАЧЕНИЕ ОСОБЕННОСТЕЙ ПУЛЬПЫ
Для консервативной терапии (биологический метод):
· Высокий шанс успеха при лечении пульпитов (особенно хронических фиброзных)
методом прямого покрытия пульпы или витальной ампутации. Пульпа способна
восстановиться и продолжить формирование корня.
Для эндодонтического лечения:
· Сложность механической обработки: Широкие каналы, тонкие и
слабоминерализованные стенки корня → высокий риск перелома инструмента и
перфорации.
· Проблема пломбирования: Невозможность качественной обтурации канала
стандартными методами (например, латеральной конденсацией гуттаперчи).
Решение: Использование методик апексификации (с применением MTA) или, что
предпочтительнее.

9. Выводы

ВЫВОДЫ
1. Пульпа постоянного зуба с незавершенным формированием
корня — это живая, активно функционирующая ткань с
высоким регенеративным потенциалом.
2. Ее гистоморфологические особенности (обилие клеток,
богатое кровоснабжение, связь с периодонтом) напрямую
определяют ее пластическую и защитную функции.
3. Главная задача врача-стоматолога при лечении таких зубов
— максимально сохранить жизнеспособность пульпы для
обеспечения завершения роста корня и укрепления его
стенок.
4. Знание этих особенностей является основой для выбора
правильной тактики лечения, направленной на сохранение
зуба как полноценного функционального органа.
English     Русский Rules