ПЕРИПАРТАЛЬНА КАРДІОМІОПАТІЯ ІОПАТІЯАЛЬНА КАРДІОМІОПАТІЯ
ПЕРИПАРТАЛЬНА КАРДІОМІОПАТІЯ (ПКМП)
ЕТІОЛОГІЯ ТА ФАКТОРИ РИЗИКУ
Патогенез
Симптоми
Діагностика
Діагностика
лікування
лікування
лікування
Дякую за увагу
1.85M
Category: medicinemedicine

Перипартальна кардіоміопатія

1. ПЕРИПАРТАЛЬНА КАРДІОМІОПАТІЯ ІОПАТІЯАЛЬНА КАРДІОМІОПАТІЯ

МОЗ України
Вінницький національний медичний університет ім. М.І.
Пирогова.
Кафедра внутрішньої медицини №1
ПЕРИПАРТАЛЬНА
КАРДІОМІОПАТІЯ
ІОПАТІЯАЛ
ЬНА
КАРДІОМІ
ПІДГОТУВАВ ЛІКАР - ІНТЕРН
ГВОЗДЕНКО АНАТОЛІЙ АНАТОЛІЙОВИЧ

2. ПЕРИПАРТАЛЬНА КАРДІОМІОПАТІЯ (ПКМП)

це рідкісний тип кардіоміопатії, що розвивається на пізніх
термінах вагітності або ранній післяпологовий період. ПКМП
характеризується значною дисфункцією лівого шлуночка
(ЛШ) і серцевою недостатністю в післяпологовий період, що
виникає за відсутності інших причин серцевої недостатності.
Фракція викиду ЛШ при цьому майже завжди становить
менше 45%, а ЛШ може бути розширеним або не
розширеним.

3. ЕТІОЛОГІЯ ТА ФАКТОРИ РИЗИКУ

Етіологія ПКМП сьогодні до кінця не вивчена. Встановлено зв'язок з еклампсією та артеріальною
гіпертензією у період вагітності. Чинниками ризику розвитку ПКМП є:
• вік вагітної віком від 25 (30) років;
• анемія;
• артеріальна гіпертензія у вагітних;
• багатоплідність;
• ожиріння;
• хронічна артеріальна гіпертензія;
• тривале застосування токолітиків.
• Частота розвитку перипортальної кардіоміопатії точно не відома, можливо через неправильну
діагностику цього захворювання. Є географічні розбіжності у виявленні ПКМП: США захворювання
виявляють 1 на 4000 випадків, а Нігерії — 1 випадок на 100 народжених.

4. Патогенез

ПАТОГЕНЕЗ
• Під час вагітності відбуваються значні гемодинамічні зміни. Збільшення
переднавантаження відбувається внаслідок збільшення маси еритроцитів та
об'єму крові. Відбувається збільшення серцевого викиду на 20-30% за рахунок
підвищення частоти серцевих скорочень та ударного об'єму на 15-25%. При
ПКМП симптоми серцевої недостатності розвиваються на пізніх термінах
вагітності або післяпологовий період. Тому неясно, чи є гемодинамічні стреси
основною причиною ПКМП.
• Інші можливі етіологічні фактори включають: міокардит (у результатах
досліджень виявлено присутність вірусних геномів у біопсії пацієнтів з ПКМП,
таких як еховірус, Коксакі та парвовірус B19), зміни гормонального фону на
пізніх термінах вагітності, генетичні фактори.
• Наприкінці періоду вагітності відбуваються значні гормональні зміни. Рівень
пролактину підвищується на пізніх термінах вагітності та у післяпологовий
період. Так, що утворюється при дефіциті ферменту STAT3 та підвищенні рівня
активних форм кисню ангіостатичний N-кінцевий фрагмент пролактину
сприяє апоптозу ендотеліальних клітин та кардіоміоцитів.

5. Симптоми

СИМПТОМИ
• Виразність симптомів може змінюватись в
залежності від ступеня тяжкості захворювання на
момент звернення.
• Симптомами, пов'язаними з серцевою
недостатністю та вагітністю, є пароксизмальна
нічна задишка, набряк стоп, ортопное та задишка
при навантаженні.
• Інші симптоми включають сухий кашель,
серцебиття, збільшення охвату живота (за рахунок
набряку, асциту), запаморочення та біль у грудях.
• При фізикальному огляді та аускультації часто
виявляють такі ознаки, як здуття яремних вен,
зміщення верхівкового поштовху, патологічний 3-й
тон серця та шуми мітральної регургітації.

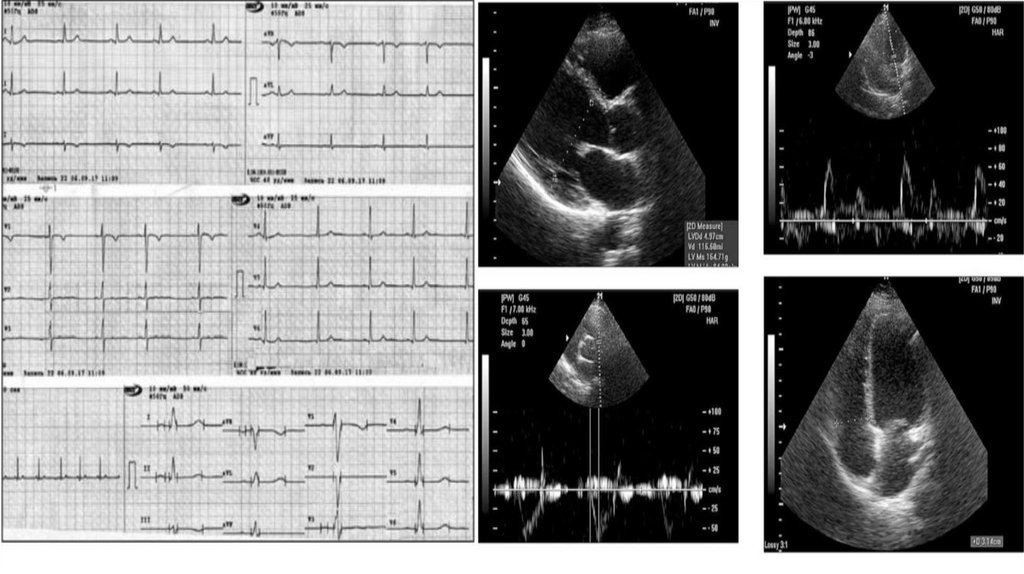
6. Діагностика

ДІАГНОСТИКА
English     Русский Rules