Современная диагностика в медицине
Разновидности медицинской диагностики
Лабораторные методы диагностики
Акустические методы медицинской диагностики
Социально-медицинские методы исследований
Функциональные методы диагностики
Анатомические методы исследования
Ультразвуковое исследование
Методы ультразвуковой диагностики:
Мультимодальная визуализация
Основные органы, которые можно проверить с помощью УЗИ
УЗИ ПОЧКИ
УЗИ ЩИТОВИДНОЙ ЖЕЛЕЗЫ
УЗИ ПЛОДА
Как проводится УЗИ
Выды ультразвуковых датчиков
Рентгенография
Рентгенография придаточных пазух носа
Компьтерная томография
Виды компьтерной томографии
КТ головного мозга
КТ органов брюшной полости
Получение результатов КТ
МРТ (магнитно-резонансная томография)
Виды МРТ По исследуемой части тела
МРТ коленного сустава
МРТ сосудов (ангиография)
Введение контрастного вещества при МРТ и КТ
КТ с контростом
Основные отличия МРТ и КТ:
Флюорография
Эндоскопия
Виды эндоскопии:
Бронхоскопия
Колоноскопия
Артроскопия
Основные этапы эндоскопического исследования:
Лапароскопия
Основные виды лапароскопии включают:
Диагностическая лапороскопия при подозрении на аппендицит
Преимущества лапароскопии:
6.44M
Category: medicinemedicine

Диагностика

1. Современная диагностика в медицине

2.

Диагностика, как наука, зародилась несколько сотен
лет назад. На сегодняшний день у медицинских
сотрудников есть все необходимое для детального
изучения работы и строения каждого органа.
Современное оборудование позволяет выявлять
любые отклонения и патологии. Постановка
правильного диагноза, назначение лечебных
мероприятий или медицинской реабилитации
зависят от метода диагностики.

3. Разновидности медицинской диагностики


социально-медицинские;
акустические;
лабораторные;
функциональные.
анатомические;

4. Лабораторные методы диагностики

• общий анализ крови;
• биохимическое исследование крови;
• иммуноферментный анализ;
• анализ желчи, кала, мочи;
• исследование спинномозговой жидкости;
• микробиологические исследования.

5. Акустические методы медицинской диагностики

• аудиометрию;
• аускультацию;
• перкуссию;

6. Социально-медицинские методы исследований

• опрос;
• интервью;
• анкетирование;
• беседа;
• наблюдение;
• социальный эксперимент;
• анализ биографии.

7. Функциональные методы диагностики

• ЭКГ;
• суточный мониторинг;
• нагрузочные тесты;
• ЭЭГ

8. Анатомические методы исследования

• ультразвуковое исследование;
• компьютерная томография;
• магнитно-резонансная томография;
• рентгенография;
• флюорография;
• эндоскопия;
• лапароскопия.

9. Ультразвуковое исследование

это неинвазивное, то есть без
использования игл и хирургических
инструментов, исследование органов
и тканей, основанное на принципе
эхолокации. Когда с помощью
специального прибора происходит
передача ультразвуковых волн в
направлении исследуемой области, а
они отражаются от стенок органов.
Изображение, полученное в
результате, выводится на экран
монитора и позволяет делать
выводы о состоянии этих органов.

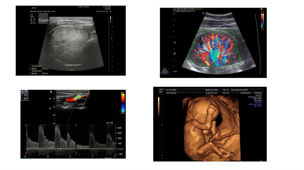
10. Методы ультразвуковой диагностики:


Эхография;
Допплерография
Триплексное исследование;
Трехмерное исследование (объемная визуализация);
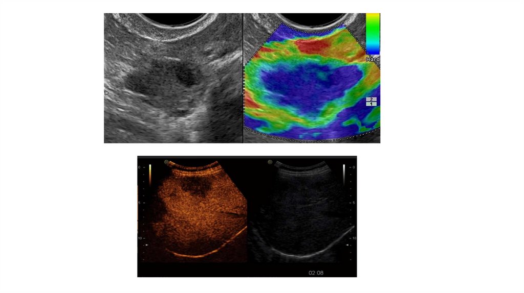
Эластография;
Ультразвуковое исследование с применением контрастирующих
препаратов;
• Мультимодальная визуализация.

11.

12.

13. Мультимодальная визуализация

Мультимодальная визуализация УЗИ — технология сравнения
ультразвуковых изображений в режиме реального времени с
изображениями, полученными различными методами лучевой
диагностики (КТ, МРТ) на одном экране.

14. Основные органы, которые можно проверить с помощью УЗИ


Органы брюшной полости: печень, желчный пузырь, желчные протоки, поджелудочная железа, селезёнка, лимфатические узлы
Органы забрюшинного пространства: почки и мочеточники, надпочечники, лимфатические узлы
Органы малого таза: мочевой пузырь, матка и яичники, предстательная железа
Сердце: эхокардиография с допплеровским анализом
Молочные железы
Щитовидная железа
Периферические лимфоузлы
Глазные яблоки и их сосуды
Костно-мышечная система: сухожилия, связки, мышцы, суставы, грыжи
Переферические нервы
У новорожденных детей головной мозг (нейросонография)
Плод и плацента: определение срока беременности, многих аномалий развития плода, его функционального состояния

15. УЗИ ПОЧКИ

16. УЗИ ЩИТОВИДНОЙ ЖЕЛЕЗЫ

17. УЗИ ПЛОДА

18. Как проводится УЗИ

С помощью датчика врач направляет поток ультразвуковых волн в ту
или иную часть тела. Дойдя до исследуемого органа или органов,
ультразвук отражается, возвращается к датчику, улавливается им и
передаётся в компьютер, где с помощью специальных программ
преобразуется в изображения. Доктор анализирует их и выдаёт
заключение.

19. Выды ультразвуковых датчиков

20. Рентгенография

Рентгенография — это метод медицинской диагностики, использующий рентгеновские лучи для получения
изображения внутренних структур тела. Она широко применяется в медицине для выявления и мониторинга
различных заболеваний, таких как переломы, воспаления, опухоли и другие патологии костей, легких, сердца и
других органов.
Принцип работы рентгенографии заключается в том, что рентгеновские лучи проходят через тело и
поглощаются различными тканями в зависимости от их плотности. Более плотные структуры, такие как кости,
поглощают больше лучей, и на снимке они выглядят более светлыми. Менее плотные ткани, например, мягкие
ткани и воздух, поглощают меньше лучей, и на изображении они выглядят темнее.
Рентгенография является неинвазивным и относительно недорогим методом диагностики, который позволяет
быстро получить информацию о состоянии пациента. Однако она имеет ограничения, такие как низкая
чувствительность к мягким тканям и необходимость использования ионизирующего излучения, что может быть
вредно при частом применении. Поэтому в некоторых случаях могут потребоваться дополнительные методы
диагностики, такие как компьютерная томография (КТ) или магнитно-резонансная томография (МРТ).

21.

22. Рентгенография придаточных пазух носа

23. Компьтерная томография

Метод томографического исследования является одной из разновидностей рентгеноскопии и основывается на
измерении и обработке посредством компьютера разницы ослабления рентген-лучей, проходящих через ткани с
различной плотностью. Рентгеновские снимки представляют собой лишь отражение исследуемой ткани или
органа, в этом случае по причине накладывания одной ткани на другую более мелкие изменения или патологии
могут не очень хорошо просматриваться или быть вообще не видны.
При проведении компьютерной томографии рентгеновская трубка томографа вращается вокруг больного, таким
образом позволяя получить изолированные снимки поперечного тканевого слоя. Томограф – это специальный
аппарат, который состоит из сканирующего блока, внутри которого находятся датчики, подвижного стола, на
котором располагается обследуемый человек, и рентгеновской трубки.
Принцип действия томографа заключается в том, что рентгеновская трубка по время процедуры вращается
вокруг пациента под углом 360 градусов, тем самым сканируя исследуемый орган с разных сторон и давая
четкое представление о его рельефе и структуре. В это время расположенные в блоке датчики улавливают
энергию и преобразовывают ее в электроимпульсы, которые проходят специальную компьютерную обработку и
визуализируются на мониторе в виде изображение внутренних органов.

24.

25. Виды компьтерной томографии


Томография головного мозга. Назначается при нарушении кровообращения в мозге, травмах головы, энцефалите, менингите и
позволяет обнаружить патологии сосудов и мозговых оболочек, а также выявить очаги поражения.
Томография органов брюшной полости. Позволяет обследовать состояние брюшной полости и желудочно-кишечного тракта,
определить размеры и характер патологий, степень развития очагов воспаления и уровень их распространения по органам.
Помогает определить наличие опухолей, инородных тел, кист, аномалий.
Томография почек. Предназначается для обследования этого органа, определения его состояния, количества скопления лишней
жидкости, патологиях различного характера, нарушений в функционировании, определения поликистоза и камней. Также
томография проводится после операции по удалению почек с целью контроля за состоянием почечного ложа, а также позволяет
провести биопсию.
Томография грудной клетки. Назначается при подозрениях на туберкулез и легочную эмфизему от абсцесса, плевральный выпот и
эмболию легких, инфекционные заболевания различного характера, патологию средостения и др. Томография обязательна при
травмах грудной клетки и болях.
Томография позвоночника. Назначается для проверки спинномозгового канала, а также при постановке диагноза остеохондроз,
межпозвонковая грыжа, при различных травмах, абсцессах и иных патологиях.
Томография носовых пазух. Назначается врачом при опасных травмах носа или перед проведением пластических операций.

26. КТ головного мозга

27. КТ органов брюшной полости

28. Получение результатов КТ

После проведения процедуры врач выдает пациенту результаты в виде томограммы.
Томограмма – это снимок исследуемого органа, который распечатывается на специальной пленке после
предварительной компьютерной обработки.
Получение томограммы можно разделить на несколько предварительных этапов:
• сканирование тела, которое производится при помощи узкого пучка лучей, двигающихся вокруг пациента;
• обработка сигнала – в память компьютера поступает уже усиленный сигнал, преобразованный в
специальный код. Сигнал передается после сканирования органа одним датчиком, после чего происходит
снятие ткани со следующей точки. Время сканирования одним датчиком составляет 3 секунды;
• анализ полученного изображения – при помощи цифровой компьютерной программы происходит
воссоздание в масштабе исследуемого участка. Полученные изображения дают возможность пристально
изучить размеры и структуру органа, а также характер и размер патологического изменения ткани.

29.

Рентгенография и компьютерная томография (КТ) — это два разных метода медицинской
визуализации, каждый из которых имеет свои особенности и области применения.
1. Доступность и скорость: Рентгенография более доступна и проводится быстрее, что позволяет использовать её
для экстренной диагностики. КТ требует большего времени на проведение и доступ к оборудованию.
2. Стоимость: Рентгенография обычно дешевле, что делает её более экономически выгодной для первичного
обследования.
3. Качество изображения: КТ обеспечивает более детализированные и трёхмерные изображения, что позволяет
лучше визуализировать внутренние структуры организма. Рентгенография даёт двухмерные изображения с
меньшей детализацией.
4. Область применения: Рентгенография часто используется для диагностики переломов, оценки состояния
лёгких и выявления некоторых видов опухолей. КТ более эффективна для диагностики сложных патологий, таких
как внутренние кровотечения, опухоли, аневризмы и заболевания сосудов.
5. Безопасность: Рентгенография использует относительно низкие дозы ионизирующего излучения, что делает
её относительно безопасной при частом использовании. КТ использует более высокие дозы излучения, поэтому
её применение ограничено.
Таким образом, рентгенография и КТ дополняют друг друга, и выбор метода зависит от конкретной клинической
ситуации, доступности оборудования и требуемой точности диагностики.

30. МРТ (магнитно-резонансная томография)

это метод исследования внутренних органов и тканей с помощью
магнитного поля.
Принцип работы основан на явлении ядерного магнитного
резонанса: под воздействием мощного магнитного поля атомы
водорода в организме человека изменяют своё положение. Аппарат
улавливает и регистрирует изменения, а затем строит на их основе
трёхмерное изображение.

31.

32. Виды МРТ По исследуемой части тела


головы и шеи;
грудной клетки;
позвоночника;
костей и суставов;
сосудов;
брюшной полости и таза;
другие виды.

33. МРТ коленного сустава

34. МРТ сосудов (ангиография)

35. Введение контрастного вещества при МРТ и КТ

Контрастное вещество вводится в организм для улучшения визуализации внутренних
структур и органов. Это позволяет врачам более точно диагностировать различные
заболевания, особенно те, которые трудно увидеть на обычных снимках без
контраста. Контраст подсвечивает кровеносные сосуды, ткани и органы, что помогает
выявить аномалии, такие как опухоли, воспаления, кровотечения или закупорки. То
есть, это необходимо для дифференциальной диагности
При МРТ (магнитно-резонансной томографии) контраст обычно вводится внутривенно
и содержит гадолиний. При КТ (компьютерной томографии) чаще всего используется
контрастное вещество на основе йода, которое вводится внутривенно или
перорально.

36. КТ с контростом

37. Основные отличия МРТ и КТ:

1. Принцип работы:
* МРТ: использует магнитные поля и радиоволны для получения изображений.
* КТ: использует рентгеновские лучи для создания изображений.
2. Визуализация тканей:
* МРТ: лучше визуализирует мягкие ткани, такие как мозг, мышцы, органы и суставы.
* КТ: лучше визуализирует костные структуры, кальцификаты и острые кровотечения.
3. Контрастные вещества:
* МРТ: часто используется контрастное вещество на основе гадолиния.
* КТ: часто используется контрастное вещество на основе йода.
4. Безопасность:
* МРТ: не использует ионизирующее излучение, что делает его более безопасным для частых
исследований.
* КТ: подвергает пациента ионизирующему излучению, что может быть вредно при частом
использовании.

38.

5. Время исследования:
* МРТ: обычно занимает больше времени (от 30 минут до нескольких часов).
* КТ: обычно занимает меньше времени (от нескольких минут до получаса).
6. Доступность и стоимость:
* МРТ: может быть дороже и менее доступна, особенно в удаленных районах.
* КТ: более доступна и часто дешевле.
7. Противопоказания:
* МРТ: противопоказан при наличии металлических имплантатов, кардиостимуляторов и
некоторых других медицинских устройств.
* КТ: противопоказан при беременности (в зависимости от срока) и при аллергии на
контрастное вещество.
8. Области применения:
* МРТ: широко используется в неврологии, онкологии, кардиологии и других областях.
* КТ: широко используется в травматологии, онкологии, неотложной медицине и других
областях.

39. Флюорография

Флюорография — это метод рентгенологического исследования, который позволяет получить изображение органов грудной клетки.
Основная цель флюорографии — раннее выявление заболеваний лёгких, таких как туберкулёз и рак лёгких.
Метод основан на использовании рентгеновских лучей, которые проходят через тело и фиксируются на специальной плёнке или цифровом
детекторе. Полученное изображение показывает структуру лёгких, сердца и крупных сосудов. Флюорография позволяет обнаружить
патологические изменения, такие как уплотнения, кисты, каверны и другие аномалии.
Регулярное проведение флюорографии важно для профилактики и своевременного лечения заболеваний дыхательной системы. В
некоторых странах этот метод входит в обязательные медицинские осмотры населения, особенно для групп риска, таких как люди с
хроническими заболеваниями, курильщики и работники вредных производств.
Преимущества флюорографии включают её относительную дешевизну, простоту выполнения и высокую информативность для скрининговых
исследований. Однако, как и любое рентгенологическое исследование, флюорография имеет ограничения и риски, связанные с облучением.
Поэтому важно соблюдать рекомендуемые интервалы между обследованиями и использовать современные аппараты с минимальной
дозой излучения.

40.

41.

42. Эндоскопия

Эндоскопия — это диагностическая
процедура, при которой врач
использует эндоскоп — гибкий
трубчатый инструмент с камерой и
источником света на конце. Эндоскоп
вводится через естественные отверстия
или небольшие разрезы в теле
пациента для исследования внутренних
органов и тканей. Это позволяет врачу
визуально оценить состояние органов,
взять биопсию (образец ткани) или
провести лечебные манипуляции.

43. Виды эндоскопии:

1. Гастроскопия (эзофагогастродуоденоскопия, ЭГДС): исследование пищевода, желудка и
двенадцатиперстной кишки.
2. Колоноскопия: осмотр внутренней поверхности толстой кишки.
3. Бронхоскопия: исследование дыхательных путей, включая трахею и бронхи.
4. Ректороманоскопия: изучение прямой кишки и нижнего отдела сигмовидной кишки.
5. Лапароскопия: исследование брюшной полости через небольшие разрезы с использованием
эндоскопа с камерой.
6. Цистоскопия: осмотр мочевого пузыря и уретры.
7. Гистероскопия: исследование полости матки.
8. Артроскопия: осмотр суставов, чаще всего коленного.
9. Синусоскопия: исследование околоносовых пазух.

44. Бронхоскопия

45. Колоноскопия

46. Артроскопия

47. Основные этапы эндоскопического исследования:

1. Подготовка: пациент должен соблюдать определенные рекомендации перед процедурой, такие как отказ от
еды и напитков за несколько часов до исследования. Врач также может назначить предварительные анализы или
тесты.
2. Анестезия: в зависимости от типа исследования и состояния пациента, может быть использована местная
анестезия (например, спрей для горла) или седация. Это помогает снизить дискомфорт и тревогу.
3. Введение эндоскопа: врач аккуратно вводит эндоскоп в исследуемую область через естественное отверстие
(рот, нос, анальное отверстие или уретру). В процессе введения врач может использовать гель или воду для
облегчения скольжения инструмента.
4. Исследование: врач внимательно изучает изображение, передаваемое с камеры эндоскопа на монитор. Это
позволяет выявить различные патологии, такие как воспаления, опухоли, язвы или кровотечения. При
необходимости врач может взять образцы тканей (биопсию) для дальнейшего анализа.
5. Завершение: после завершения исследования эндоскоп осторожно извлекается. Пациенту может быть
рекомендовано некоторое время оставаться под наблюдением, чтобы убедиться в отсутствии осложнений.
6. Результаты: результаты исследования обычно готовы в течение нескольких дней. Врач обсудит их с пациентом
и, при необходимости, назначит дальнейшее лечение или дополнительные обследования.

48. Лапароскопия

Лапароскопия — это
минимально инвазивная
хирургическая процедура, при
которой в брюшную полость
вводят тонкую трубку с камерой
и инструментами через
небольшие разрезы. Это
позволяет врачам проводить
диагностику и лечение
различных заболеваний без
большого хирургического
вмешательства.

49. Основные виды лапароскопии включают:

1. Диагностическая лапароскопия:
* Используется для осмотра органов брюшной полости и малого таза.
* Помогает выявить такие состояния, как кисты яичников, эндометриоз, воспалительные
процессы и другие патологии.
2. Хирургическая лапароскопия:
* Применяется для выполнения различных операций, таких как удаление аппендикса, желчного
пузыря, грыж и опухолей.
* Позволяет проводить операции с меньшей травматизацией тканей и более коротким периодом
восстановления.
* Проводится для лечения гинекологических заболеваний, таких как внематочная беременность,
миома матки, кисты яичников и бесплодие.
* Может включать удаление образований, перевязку маточных труб или восстановление
проходимости маточных труб.

50.

51. Диагностическая лапороскопия при подозрении на аппендицит

52. Преимущества лапароскопии:

1. Минимально инвазивное вмешательство: Лапароскопия требует небольших разрезов, что снижает травматичность операции и уменьшает риск
осложнений.
2. Быстрая реабилитация: Пациенты обычно быстрее восстанавливаются после лапароскопии по сравнению с традиционными полостными
операциями.
3. Меньший болевой синдром: За счет меньшей травматизации тканей и быстрого заживления послеоперационных ран, пациенты испытывают
меньшую боль после операции.
4. Снижение риска инфекций: Меньшая площадь разрезов и более аккуратный доступ к органам снижают вероятность инфекционных
осложнений.
5. Косметический эффект: Небольшие разрезы быстро заживают и практически не оставляют следов, что важно для многих пациентов.
6. Точность диагностики и лечения: Лапароскопия позволяет врачу визуально оценить состояние органов и провести необходимые манипуляции с
высокой точностью.
7. Меньшая кровопотеря: Благодаря точечным разрезам и использованию специальных инструментов, кровопотеря во время операции
минимальна.
8. Снижение риска образования спаек: Точечные разрезы и аккуратное обращение с тканями снижают риск образования спаек в
послеоперационном периоде.
9. Возможность проведения сложных операций: Лапароскопия используется для выполнения широкого спектра хирургических вмешательств,
включая сложные операции на органах брюшной полости и малого таза.
10. Уменьшение послеоперационного дискомфорта: Благодаря меньшему вмешательству и быстрому заживлению, пациенты испытывают
меньше дискомфорта и ограничений в повседневной жизни после операции

53.

Диагностика в современной медицине направлена на
выявление заболеваний и состояний пациента, но её
результаты не всегда являются окончательными.
Ключевым этапом в лечении остаётся работа врача,
который анализирует данные, учитывает симптомы,
анамнез и клиническую картину. Только комплексный
подход, включающий диагностику и профессиональное
мнение специалиста, позволяет поставить точный диагноз
и назначить эффективное лечение.
English     Русский Rules