Тема: Дистрофии. Простые диспротеинозы.  
План:
Мотивационная характеристика темы: 
цели лекции:
Общие компетенции:
Профессиональные компетенции:
Альтерация (лат. alteratio – изменение) или повреждение - это структурные изменения клеток и тканей организма, приводящее к
Дистрофия – (греч. dys – нарушение trophе – питание) патологический процесс, отражающий нарушение обмена веществ в организме.
ПРИЧИНЫ ДИСТРОФИЙ
Ферментопатии (синоним энзимопатии)
клинико-анатомические формы атеросклероза:
Атеросклероз брюшной аорты
Классификация дистрофий:
II. В зависимости от локализации дистрофии в паренхиме или строме и сосудах:
Паренхиматозные дистрофии:
Паренхиматозные белковые дистрофии (диспротеинозы):
Гиалиново-капельная
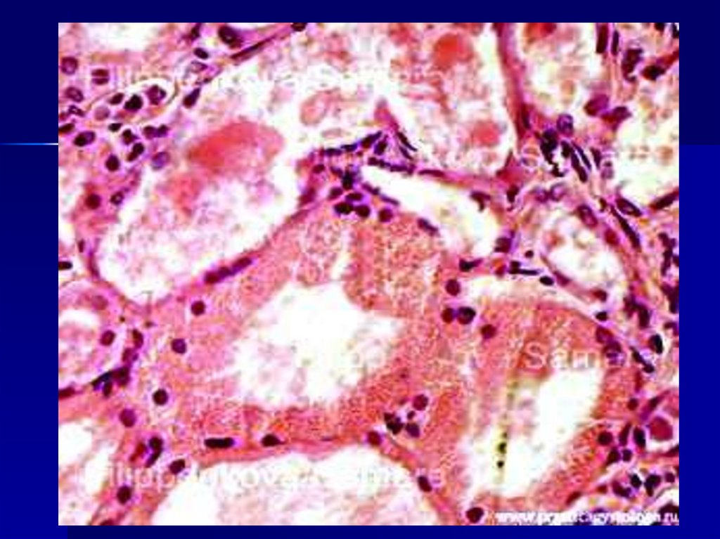
Гиалиново-капельная дистрофия эпителия канальцев почки.
ИСХОД:
Гидропическая (водяночная):
ПРИЧИНЫ:
Гидропическая дистрофия почки
Гидропическая дистрофия печени
Роговая
Ихтиоз
Лейкоплакия
ПРИЧИНЫ:
ПАРЕНХИМАТОЗНЫЕ ЖИРОВЫЕ ДИСТРОФИИ ( ЛИПОИДОЗЫ ):
В МИОКАРДЕ:
Внешний вид сердца:
Паренхиматозная жировая дистрофия миокарда
Жировая дистрофия миокарда
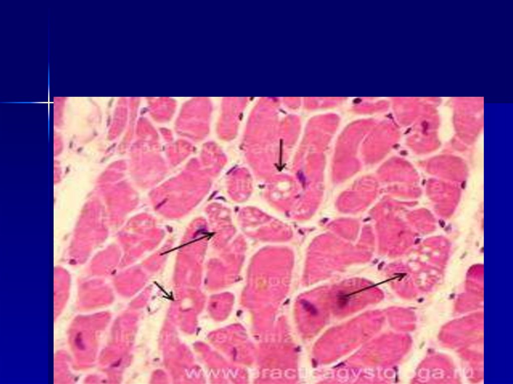
Жировая дистрофия миокарда
В печени:
Методы выявления жировых включений
Паренхиматозная жировая дистрофия печени
Внешний вид печени:
Паренхиматозная жировая дистрофия печени
Причины:
Нарушение обмена гликогена
СТРОМАЛЬНО-СОСУДИСТЫЕ (МЕЗЕНХИМАЛЬНЫЕ) ДИСТРОФИИ БЕЛКОВЫЕ:
1. МУКОИДНОЕ НАБУХАНИЕ
2. Фибриноидное набухание
Процесс завершается:
3. Гиалиноз (прозрачный, стекловидный)
Гиалиноз сосудов и белых тел в яичнике
Гиалиноз капсулы селезенки
АМИЛОИДОЗ СЕЛЕЗЕНКИ (саговая селезенка)
Амилоидоз селезенки (окр. конго-рот)
Амилоидоз почки (окр. конго-рот)
Стромально-сосудистые жировые дистрофии (липидозы)
Нарушение обмена нейтральных жиров
Ожирение сердца
Ожирение сердца микропрепарат
Исход:
Нарушение обмена холестерина и его эфиров
Смешанные дистрофии:
l.Нарушение обмена хромопротеидов:
Нарушение обмена производных гемоглобина.
Гемосидирин -
Гемосидероз бывает:
Нарушение обмена билирубина:
Виды желтухи по механизму развития:
2)Печёночная (паренхиматозная)-
3) Подпеченочная (механическая)
Появление не встречающихся в норме пигментов:
Нарушение обмена тирозиновых пигментов
Избыток меланина в коже – меланоз:
Нарушение обмена липидогенных пигментов
ll. Нарушение обмена нуклеопротеидов.
lll.Минеральные дистрофии
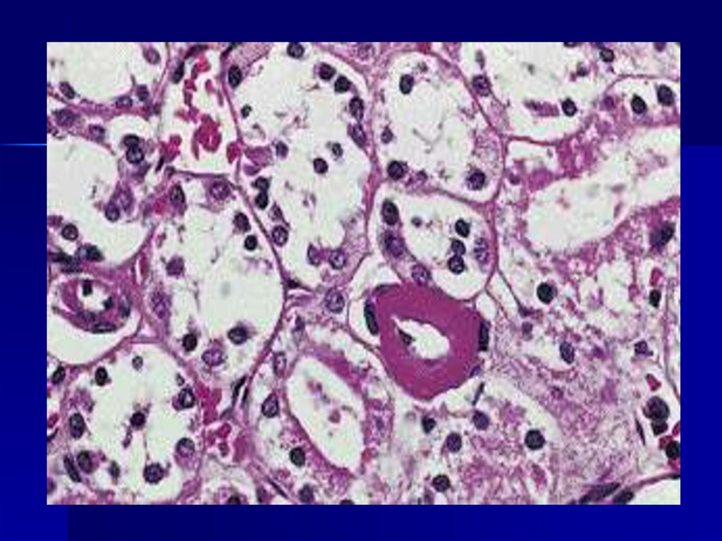
1.Местный
2.Общий
19.20M
Category: medicinemedicine

525e01805a3aee9c10248a58e63388bd

1. Тема: Дистрофии. Простые диспротеинозы.  

ОГАПОУ «Старооскольский медицинский колледж»
Тема: Дистрофии.
Простые диспротеинозы.

2. План:

1.
2.
3.
4.
5.
6.
7.
8.
9.
10.
11.
12.
13.
14.
15.
Принципы классификации тканевых дистрофий.
Виды паренхиматозных белковых дистрофий их причины, значение для организма.
Макроскопическая и гистологическая характеристика различных видов
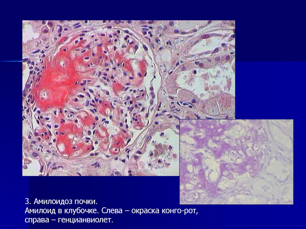
паренхиматозных белковых дистрофий.
Виды мезенхимальных белковых дистрофий.
Морфология гиалиноза: его виды, происхождение, значение для организма.
Амилоидоз: определение, классификация, гистохимические методы выявления.
Вторичный амилоидоз: причины, органопатология, клиническое значение.
Мукоидное набухание: причины, механизм развития, гистохимическая
характеристика, клиническое значение, исходы.
Фибриноидное набухание: причины, механизм развития, гистологическая
характеристика, клиническое значение для организма, исходы. Классификация
хромопротеидов, гистохимические методы их выявления в тканях, их
характеристика.
Нарушение обмена гемосидерина: виды, причины, значение для организма.
Нарушение обмена билирубина, классификация желтух.
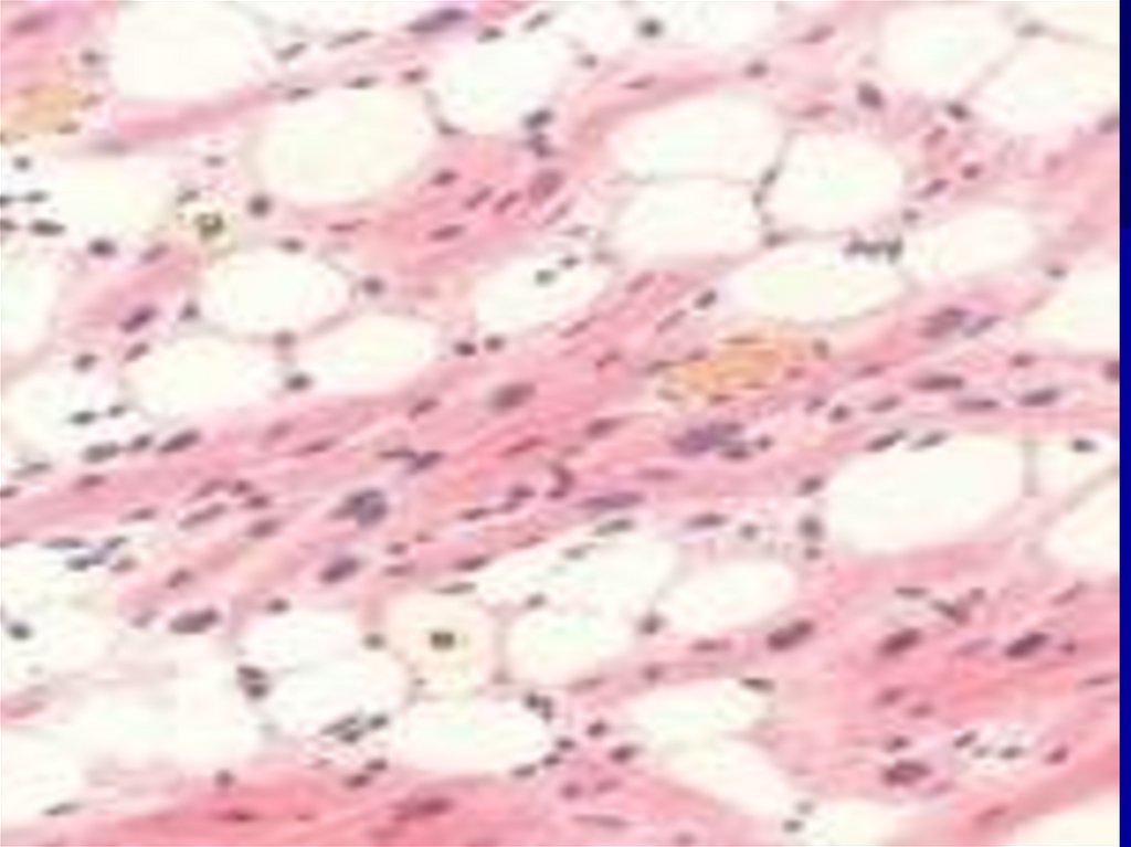
Механическая (обтурационная, подпеченочная) желтуха: причины,
морфологическая характеристика, клиническое значение.
Паренхиматозная (печеночная) желтуха: причины, морфологическая
характеристика, клиническое значение.
Гемолитическая (надпеченочная) желтуха: причины, морфологическая
характеристика, клиническое значение.
Нарушение обмена меланина в организме, виды, значение для организма.

3. Мотивационная характеристика темы: 

Мотивационная
характеристика темы:
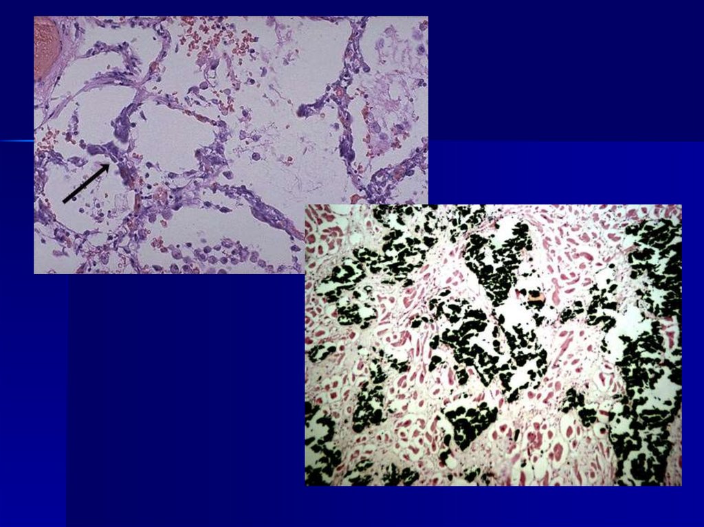
Знание темы необходимо для
усвоения других тем общего курса
(некроз, воспаление), а также
патологической анатомии болезней
(гипертоническая болезнь,
ревматические болезни, болезни
почек, туберкулез и др.).
Глубокое понимание темы
необходимо для клиникоанатомического анализа при
изучении клинических дисциплин.

4. цели лекции:

1.
2.
3.
4.
Уметь дать определение паренхиматозных
белковых дистрофий, назвать их виды,
объяснить механизмы их развития,
причины возникновения;
Уметь оценить функциональное значение
паренхиматозных белковых дистрофий и
их исхода;
Уметь дать определение мезенхимальных
диспротеинозов, назвать их виды,
причины, механизмы развития;
Уметь дать оценку функционального
значения мезенхимальных диспротеинозов
и их исходы;

5. Общие компетенции:


ОК 1. Понимать сущность и социальную значимость
своей будущей профессии, проявлять к ней устойчивый
интерес.
ОК 2. Организовывать собственную деятельность,
выбирать типовые методы и способы выполнения
профессиональных задач, оценивать их эффективность
и качество.
ОК 3. Принимать решения в стандартных и
нестандартных ситуациях и нести за них
ответственность.
ОК 4. Осуществлять поиск и использование информации,
необходимой для эффективного выполнения
возложенных на него профессиональных задач, а также
для своего профессионального и личностного развития.
ОК 5. Использовать информационно-коммуникационные
технологии в профессиональной деятельности.
ОК 6. Работать в коллективе и команде, эффективно

6. Профессиональные компетенции:

ПК 1.1. Планировать обследование пациентов
различных возрастных групп.
ПК 1.2. Проводить диагностические исследования.
ПК 1.3. Проводить диагностику острых и
хронических заболеваний.
ПК 2.4. Проводить контроль эффективности
лечения.
ПК 2.5. Осуществлять контроль состояния
пациента.
ПК 3.1. Проводить диагностику неотложных
состояний.
ПК 3.2. Определять тактику ведения пациента.

7. Альтерация (лат. alteratio – изменение) или повреждение - это структурные изменения клеток и тканей организма, приводящее к

нарушению их функции.

8.

Альтерация
Дистрофия
Некроз
Атрофия

9. Дистрофия – (греч. dys – нарушение trophе – питание) патологический процесс, отражающий нарушение обмена веществ в организме.

10. ПРИЧИНЫ ДИСТРОФИЙ

МЕХАНИЗМЫ РАЗВИТИЯ
ДИСТРОФИЙ:

11. Ферментопатии (синоним энзимопатии)

1.Инфильтрация – при
которой с кровью и лимфой
поступают в клетку
свойственные ей вещества,
но в большем количестве,
чем в норме, с
последующим их
накоплением.

12.

(например, инфильтрация
холестерином и
липопротеидами интимы
(внутренняя оболочка)
аорты и крупных артерий
при атеросклерозе).

13.

14.

15.

16.

17.

15-Атероматоз это, когда преобладают:
А-пятна и полоски
Б- фиброзные бляшки
В- бляшки с детритом
Г-участки кальциноза
16 – На фото атеросклероз в фазе:
А- липоидоза
Б- липосклероза
В- атероматоза
Г- атерокальциноза?

18.

клинико-анатомические формы
атеросклероза:
1) атеросклероз аорты;
осложняется тромбозом,
тромбоэмболией и эмболией
атероматозными массами с
развитием инфарктов (например,
почек) и гангрены (например,
кишечника, нижней конечности).

19.

Атеросклероз
брюшной
аорты

20. клинико-анатомические формы атеросклероза:

2. Декомпозиция, или
фанероз –
это распад ультраструктур
клеток и межклеточного
вещества, ведущий к
нарушению тканевого или
клеточного метаболизма и
накоплению продуктов
нарушенного обмена в ткани
или клетке.

21. Атеросклероз брюшной аорты

(Например, жировая
дистрофия
кардиомиоцитов при
дифтерийной
интоксикации).

22.

3. Извращенный синтез,
при котором в клетках или
в межклеточном
пространстве образуются
аномальные, т.е. не
свойственные этим
клеткам и тканям,
вещества.

23.

(Например, синтез
аномального белка
амилоида, которого в
норме нет у человека).

24.

4.Трансформация,
образование продуктов
одного вида обмена вместо
продуктов другого вида
обмена.
(Например, трансформация
жиров и углеводов в белки)

25.

Классификация дистрофий:
I.
В зависимости от
нарушенного вида обмена
веществ:
1.белковые
2. жировые
3. углеводные
4. минеральные.

26.

II. В зависимости от локализации
дистрофии в паренхиме или строме
и сосудах:
1. паренхиматозные
2. сосудисто-стромальные
(мезенхимальные)
3. смешанные.

27. Классификация дистрофий:

3. По признаку
распространенности:
общие и местные.
4. В зависимости от причин:
приобретенные и
наследственные.

28. II. В зависимости от локализации дистрофии в паренхиме или строме и сосудах:

Паренхиматозные
дистрофии:
1 ) Белковые (диспротеинозы)
- зернистая
- гидропическая
- гиалиново-капельная
- роговая
2 ) Жировые (липидозы)
3) Углеводные
-с нарушением обмена гликогена
-с нарушением обмена гликопротеидов

29.

Паренхиматозные белковые
дистрофии (диспротеинозы):
Зернистая – при которой в
цитоплазме появляется белковые
зерна, в результате денатурации
белков.
Органы увеличены в объеме,
дрябловаты, на разрезе набухшие,
тусклые, как бы ошпаренные
кипятком(мутное набухание).
Процесс обратимый!!!

30. Паренхиматозные дистрофии:

31. Паренхиматозные белковые дистрофии (диспротеинозы):

32.

Гиалиново-капельная
В цитоплазме появляются
крупные гиалиноподобные
белковые капли (в результате
коагуляции белка),
сливающиеся между собой и
заполняющие тело клетки,
которые разрушают структуры
клеток.

33.

Гиалиново-капельная дистрофия
эпителия канальцев почки.

34. Гиалиново-капельная

35. Гиалиново-капельная дистрофия эпителия канальцев почки.

ИСХОД:
завершается необратимым
процессом ведущий к
коагуляционному (сухому)
некрозу.
(содержит много белка и мало
жидкости).

36.

Встречается в почках, редко в
печени.
Внешний вид органа
определяется особенностями
заболевания.

37. ИСХОД:

Гиалиново-капельная дистрофия эпителия канальцев почки,

38.

Гидропическая (водяночная):
Характеризуется
появлением в клетке
вакуолей, наполненных
цитоплазматической
жидкостью.
клетки увеличены в объеме,
ядро смещается на
периферию.

39.

Прогрессирование этих
изменений приводит к
распаду ультраструктур
клетки и переполнению
клетки водой. Клетка
превращается в
заполненные жидкостью
баллоны (баллонная
дистрофия).

40. Гидропическая (водяночная):

ПРИЧИНЫ:
1. Гломерулонефрит
2. Сахарный диабет
3. Вирусный и токсический
гепатиты

41.

Исход: неблагоприятный
колликвационный некроз.
Функция органов и тканей
страдает.

42. ПРИЧИНЫ:

43.

44.

45.

Гидропическая дистрофия почки

46.

Гидропическая дистрофия печени

47. Гидропическая дистрофия почки

в эпителии кожи
в почечных канальцах
в гепатоцитах
мышечных и нервных
клетках
в клетках коры
надпочечниках.

48. Гидропическая дистрофия печени

Роговая
– появление избытка
рогового вещества в
ороговевающем эпителии
(гиперкератоз) или
образование рогового
вещества там, где оно в
норме не бывает, например, в
эпителии слизистых
оболочек (лейкоплакия).

49.

Ихтиоз

50. Роговая

Лейкоплакия

51. Ихтиоз

ПРИЧИНЫ:
1. Нарушения развития
кожи
2. Хроническое воспаление
3. Вирусные инфекции
4. Авитаминозы.

52. Лейкоплакия

ПАРЕНХИМАТОЗНЫЕ ЖИРОВЫЕ
ДИСТРОФИИ
( ЛИПОИДОЗЫ ):
При нарушении обмена
цитоплазматических
липидов увеличивается их
содержание в клетках, где
они обычно в норме не
встречаются (в миокарде,
печени, почках).

53. ПРИЧИНЫ:

В МИОКАРДЕ:
В миокардиоцитах
появляются мельчайшие
жировые капли (пылевидное
ожирение). При нарастании
изменений эти капли
(мелкокапельное ожирение)
полностью замещают всю
цитоплазму.

54. ПАРЕНХИМАТОЗНЫЕ ЖИРОВЫЕ ДИСТРОФИИ ( ЛИПОИДОЗЫ ):

Внешний вид сердца:
увеличенное, камеры
его растянуты, дряблой
консистенции, миокард
на разрезе тусклый,
глинисто-желтый.

55. В МИОКАРДЕ:

На эндокарде видна
желто-белая
исчерченность в области
трабекул и сосочковых
мышц («тигровое
сердце»).

56. Внешний вид сердца:

Паренхиматозная жировая
дистрофия миокарда

57.

58. Паренхиматозная жировая дистрофия миокарда

59.

Жировая дистрофия миокарда
мельчайшее (пылевидное) и мелкое (мелкое капельное) очаговое
накопление липидов в цитоплазме кардиомиоцитов по ходу
венозного колена капилляров и мелких вен. Включение липидов
при окраске Суданом III желтовато-оранжевого цвета

60.

Жировая дистрофия миокарда

61. Жировая дистрофия миокарда

62. Жировая дистрофия миокарда

В печени:
В клетках печени
(гепатоциты) появляются
включения жира которые
постепенно заполняют всю
цитоплазму и отодвигает
ядро на периферию.

63.

Методы выявления жировых
включений
Специфическое окрашивание
на жир требует
использования замороженных
срезов, сделанных из свежей
ткани.
Гистохимически жиры
выявляются:
судан IV
(черный цвет),
судан III
(красный, оранжевый),
осмиевая кислота
(оливковый, черный)

64. В печени:

Паренхиматозная жировая
дистрофия печени
Окрашивание гемотоксилин-эозином
Окрашивание Судан-ІІІ

65. Методы выявления жировых включений

66. Паренхиматозная жировая дистрофия печени

Внешний вид печени:
Увеличена, дряблая,
желто-коричневого
цвета. При разрезе на
лезвии ножа и
поверхности виден
налет жира.

67.

Паренхиматозная жировая дистрофия
печени

68. Внешний вид печени:

69. Паренхиматозная жировая дистрофия печени

70.

Причины:
1. Тканевая гипоксия (при
сердечно-сосудистые
заболевания, хронические
заболевания легких, анемиях,
хр. алкоголизме и т.д.).
2. Инфекции (дифтерия,
туберкулез, сепсис).
3. Интоксикации (фосфор.
Мышьяк, хлороформ).
4. Авитаминозы.

71.

ПАРЕНХИМАТОЗНЫЕ УГЛЕВОДНЫЕ
ДИСТРОФИИ, связанные с
нарушением обмена гликогена, это
приводит к развитию сахарного
диабета.
При гипергликемии
происходит инфильтрация
углеводами эпителия почечных
канальцев и образование в них
гликогена в виде гранул.

72. Причины:

Нарушение обмена гликогена
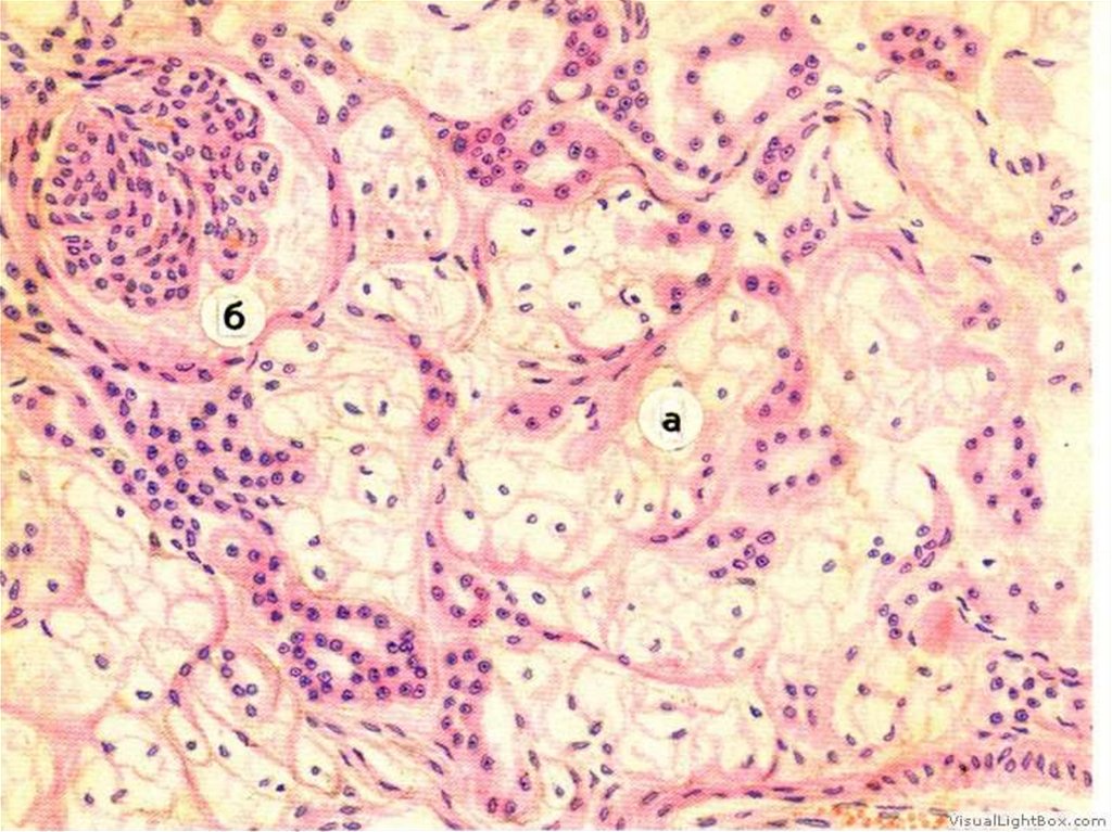
а
Углеводная дистрофия
эпителия почечных
канальцев (при
сахарном диабете)
а)
б
В клетках эпителия
видны
скопления
гликогена
б) В просвете
канальцев
крупные гранулы
гликогена

73.

СТРОМАЛЬНО-СОСУДИСТЫЕ
(МЕЗЕНХИМАЛЬНЫЕ) ДИСТРОФИИ
БЕЛКОВЫЕ:
1. Мукоидное набухание –
это дезорганизация
(деструкция)
соединительной ткани,
при которой отмечается
набухание коллагеновых
волокон.

74. Нарушение обмена гликогена

Макроскопически орган
не изменяется.
Процесс обратим или
переходит в
фибриноидное набухание.

75. СТРОМАЛЬНО-СОСУДИСТЫЕ (МЕЗЕНХИМАЛЬНЫЕ) ДИСТРОФИИ БЕЛКОВЫЕ:

1. МУКОИДНОЕ НАБУХАНИЕ
МЕХАНИЗМ РАЗВИТИЯ
инфильтрация

76.

2. Фибриноидное
набухание
полная необратимая
деструкция
соединительной ткани
(часто в клапанах
сердца при ревматизме).

77. 1. МУКОИДНОЕ НАБУХАНИЕ

Коллагеновые волокна
распадаются,
пропитываются, как и
основное вещество,
фибрином плазмы. В
результате в
соединительной ткани
образуется сложное
вещество – фибриноид.

78. 2. Фибриноидное набухание

ФИБРИНОИДНЫЙ НЕКРОЗ СОЕДИНИТЕЛЬНОЙ ТКАНИ
(окрашивание по Браше метиловым зеленым и пиронином)

79.

МЕХАНИЗМ РАЗВИТИЯ
инфильтрация и декомпозиция

80.

Процесс завершается:
1. некрозом
2. склерозом
3. гиалинозом.

81.

3. Гиалиноз (прозрачный,
стекловидный)
В соединительной ткани
образуются полупрозрачные
однородные плотные массы
(гиалин), напоминающие
гиалиновый хрящ.
Гиалин- сложный
фибриллярный белок.

82. Процесс завершается:

КЛАССИФИКАЦИЯ
1
ГИАЛИНОЗ СОБСТВЕННО СОЕДИНИТЕЛЬНОЙ ТКАНИ
2
ГИАЛИНОЗ СОСУДОВ
3
РАСПРОСТРАНЕННЫЙ
4
МЕСТНЫЙ

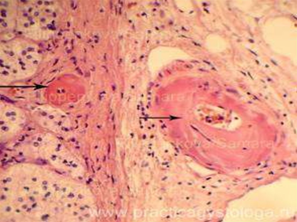
83. 3. Гиалиноз (прозрачный, стекловидный)

Гиалиноз сосудов и белых
тел в яичнике

84.

Гиалиноз капсулы селезенки

85. Гиалиноз сосудов и белых тел в яичнике

86. Гиалиноз капсулы селезенки

87.

88.

89.

90.

91.

92.

93.

94.

95.

96.

1
2
2. Гиалиноз сосудов и клубочков почки. 1- гиалинизированный клубочек,
2 – мелкая артерия с гиалинозом.

97.

4. Амилоидоз (лат.
amylum – крахмал) –
глубокое нарушение
белкового обмена и
появлением аномального
фибриллярного белка –
амилоида.

98.

Органы увеличиваются в
размерах, на разрезе приобретают
сальный блеск.
Если устранить причину, то (редко)
возможно рассасывания амилоида.
Часто мукоидное, фибриноидное
набухание, гиалиноз является
последовательными стадиями
дезорганизации соединительной ткани.

99.

АМИЛОИДОЗ СЕЛЕЗЕНКИ
(саговая селезенка)

100.

Амилоидоз селезенки
(окр. конго-рот)

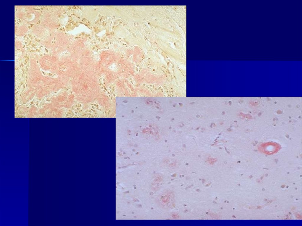
101. АМИЛОИДОЗ СЕЛЕЗЕНКИ (саговая селезенка)

Амилоидоз почки
(окр. конго-рот)

102. Амилоидоз селезенки (окр. конго-рот)

103. Амилоидоз почки (окр. конго-рот)

104.

3. Амилоидоз почки.
Амилоид в клубочке. Слева – окраска конго-рот,
справа – генцианвиолет.

105.

Стромально-сосудистые
жировые дистрофии (липидозы)
они возникают при
нарушениях обмена
нейтральных жиров или
холестерина и его
эфиров.

106.

Нарушение обмена
нейтральных жиров
Ожирение или тучность –
увеличение количества
нейтральных жиров в
жировых депо (в ПЖК,
сальнике, брыжейке,
средостении, эпикарде.

107. Стромально-сосудистые жировые дистрофии (липидозы)

Под эпикардом
жировая ткань
разрастается и
окутывает сердце как
футляром.

108. Нарушение обмена нейтральных жиров

КЛАССИФИКАЦИЯ Ожирения:
1. По механизму развития
алиментарное
церебральное
эндокринное
наследственное
2. По внешним проявлениям
симметричный тип
верхний
средний
нижний
3. По проценту превышения веса тела
I степень — 20-29%
II степень — 30-49%
III степень — 50-59%
IV степень — больше 100%

109.

110.

Ожирение сердца

111.

112. Ожирение сердца

113.

Ожирение сердца
микропрепарат
в стенке правого желудочка пролиферация лейкоцитов в строме, по
ходу сосудов миокарда, атрофия кардиомиоцитов. Окрашивание
гематоксилином и эозином

114.

Исход:
Благоприятный.
Антиподом ожирения
является истощение, в основе
которого лежит атрофия.
Истощение наблюдается в
последней стадии кахексии (от
греч. кakos – плохой, hexis –
состояние.)

115. Ожирение сердца микропрепарат

Нарушение обмена
холестерина и его эфиров
Лежат в основе
атеросклероза.

116. Исход:

Смешанные дистрофии:
При которых
нарушение метаболизма
выявляются в
паренхиме, строме, в
стенке сосудов органов и
тканей.

117. Нарушение обмена холестерина и его эфиров

Они возникают при
нарушениях обмена
сложных белков:
- хромопротеидов
- нуклеопротеидов
- липопротеидов
- минералов.

118. Смешанные дистрофии:

l.Нарушение обмена
хромопротеидов:
Хромопротеиды –
окрашенные белки делят на
3 группы:
гемоглобиногенные –
производные гемоглобина,
тирозиногенные и
липидогенные.

119.

Нарушение обмена
производных гемоглобина.
Гемосидероз –
избыточное количество
гемосидирина.

120. l.Нарушение обмена хромопротеидов:

Гемосидирин пигмент бурого цвета, который
встречается в ретикулярных и
эндотелиальных клетках
селезенки, печени, костном мозге,
лимфатический узлах.
При отложении этого пигмента
органы становятся ржавокоричневыми.

121. Нарушение обмена производных гемоглобина.

Гемосидероз бывает:
1) Местный – в очагах
кровоизлияний или хронического
застоя.
2) Общий – в результате
внутрисосудистого гемолиза
эритроцитов гемосидрин
образуется в избытке и
откладывается в органах в виде
зерён, отчего они приобретают
ржаво-коричневый цвет.

122. Гемосидирин -

1
2
6. Бурая индурация легкого.
1 – макрофаги с гемосидерином в альвеолах, 2 – утолщение межальвеолярных перегородок.

123. Гемосидероз бывает:

7.Гемосидероз почки. Реакция Перлса.
В эпителии проксимальных канальцев пигмент, который в реакции Перлса
на железо дает образование берлинской лазури.

124.

Нарушение обмена билирубина:
Это ведет к увеличении
содержания билирубина в
сыворотке крови
(гипербилирубинемия) и
желтому окрашивании им
кожи, склер, слизистый и
внутренних органов –
ЖЕЛТУХА.

125.

Виды желтухи по
механизму развития:
1)Надпочечная
(гемолитическа) - в
результате
внутрисосудистого
гемолиза эритроцитов;

126. Нарушение обмена билирубина:

2)Печёночная
(паренхиматозная)-
при повреждении
печёночных клеток
(острый и хронический
гепатит, цирроз
печени);

127. Виды желтухи по механизму развития:

3) Подпеченочная
(механическая)
- из-за нарушения
проходимости желчных
протоков, что затрудняет
выведение билирубина с
желчью.
При закрытии желчного
протока камнем или сдавлении
опухолью.

128. 2)Печёночная (паренхиматозная)-

8. Печень при обтурационной желтухе.
Видна желчь в желчных капиллярах.

129. 3) Подпеченочная (механическая)

Нарушение обмена
тирозиновых пигментов
Меланин придаёт цвет
коже, волосам, радужке
глаз. При патологии
может быть
депигментация и
усиление пигментации.

130.

Врождённое
отсутствие
меланина – альбинизм.
Очаговое исчезновение
меланина на коже
(белые пятна) в
результате воспаление –
лейкодерма.

131. Появление не встречающихся в норме пигментов:

Избыток меланина в
коже – меланоз:
распространенный (при
поражении
надпочечников –
Аддисонова болезнь) и
очаговой – родимые
пятна (невусы).

132. Нарушение обмена тирозиновых пигментов

Нарушение обмена
липидогенных пигментов
Липофусцин образуется
в клетках печени и
миокарда в виде зерён.

133.

Избыток липофусцина
отмечается при
старении, истощении,
пороках сердца и
других заболеваниях.

134. Избыток меланина в коже – меланоз:

Липидогенные пигменты
-липохром
-липофусцин
-цероид
-пигмент недостаточности
витамина Е

135. Нарушение обмена липидогенных пигментов

ll. Нарушение обмена
нуклеопротеидов.
Нуклеопротеиды – это
соединение белка с ДНК
или РНК. При их распаде
образуется мочевая
кислота, которая
выделяется с мочой.

136.

При избытке мочевой
кислоты и её солей
образуется камни в почках и
развивается подагра.
Кристаллы мочевой
кислоты откладываются в
полостях мелких суставов в
виде белесоватых
наложений и вызывают их
всасывание.

137.

lll.Минеральные дистрофии
Чаще встречаются
нарушение обмена кальция –
известковые дистрофии.
l.Кальциноз:

138. ll. Нарушение обмена нуклеопротеидов.

1.Местный
– дистрофическое
обызвествление, или
петрифекация, возникает в
очагах дистрофии и некроза
(инфарктах и тромбах), так
как необходимым условием
является наличие
некротизированных тканей
или фибрина.

139.

Отложения извести в
тканях имеют
каменистую плотность
– петрификаты.
Иногда в них
появляется костная
ткань – оссификация.

140. lll.Минеральные дистрофии

2.Общий
– метастатический обызвествление
возникает при гиперкальциемии.
Избыток кальция откладывается
в тканях, имеющих щелочную
реакцию:
в легких, миокарде, стенке
артерий, почках, что особенно
опасно, так как приводит к
почечной недостаточности.

141. 1.Местный

142.

ll.Образование камней.
Камень – это плотное
образование, свободно лежащее в
полостных органах или выводных
протоках железа.
Причины образования камней:
1. нарушения обмена веществ,
2. застой секрета и воспаление.

143. 2.Общий

Камни подразделяются
по строению на
кристаллоидные
(лучистые), когда в их
составе преобладают
соли, и коллоидные
(слоистые), когда в
составе преобладают
белки.

144.

Локализация камней
разнообразная, но чаще
всего они выявляются в
мочевыводящей системы
(фосфаты, оксалаты, ураты)
и желчных путях
(холестериновые,
пигментные, известковые,
смешанные).

145.

Камни почек по
химическому
составу:
-фосфаты
(белые, мягкие, гладкие)
-ураты
(желто-коричневые, плотные
гладкие)
-оксалаты
(желто-коричневые, плотные
шероховатые)
-смешанные

146.

Камни желчных путей по химическому составу:
-пигментные,
- холестериновые,
- известковые,
- смешанные

147.

К наиболее частым
осложнениям
желчекаменной болезни
– гидронефроз.

148.

lll. Деминерализация костей
(повышения гибкость костей).
возникает :
1. при пониженном поступлении
кальция в организм,
2. понижении всасывания его в
кишечнике,
3. недостаток в организме витамина
D (рахит),
4. эстрогенов (старческий
остеопороз) и т.д.
English     Русский Rules