11.29M
Category: medicinemedicine

Томографические методы

1.

Томографические методы

2.

ПЭТ

3.

4.

5.

Преимущества ПЭТ
-
Ранняя диагностика по функции
Информация о метаболической активности
Недостатки ПЭТ
-
Ионизирующее излучение
Высокая стоимость и сложность
Низкое разрешение деталей

6.

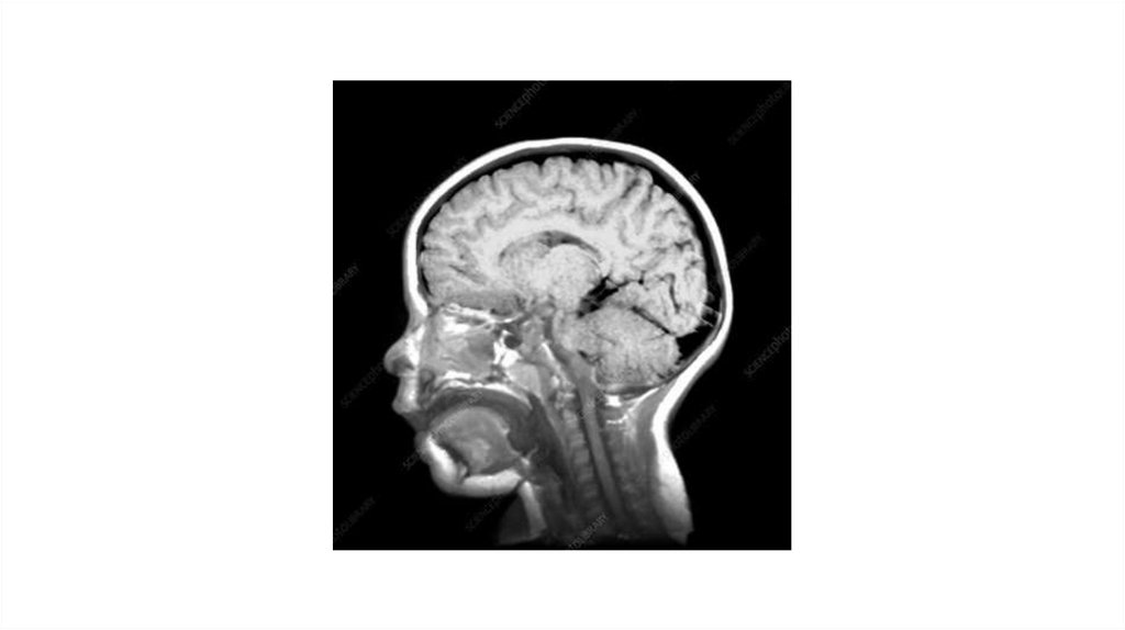
МРТ

7.

8.

Т1 и Т2

9.

10.

Преимущества МРТ
-
Отличное качество изображений мягких тканей
Отсутствие ионизирующего излучения
Разнообразие режимов
Недостатки МРТ
-
Длительность и шум
Нельзя с металлом и электронными устройствами
Относительно высокая стоимость
Не очень подходит для костей

11.

12.

13.

14.

15.

фМРТ
BOLD сигнал

16.

Блочная схема
Связанная с событиями схема
English     Русский Rules