ФЕДЕРАЛЬНОЕ ГОСУДАРСТВЕННОЕ БЮДЖЕТНОЕ УЧРЕЖДЕНИЕ «Национальный медицинский исследовательский центр психиатрии и неврологии
ВВедение
Определение и распространенность болезни
Этиопатогенез
Международным Консорциумом по БКЯ были предложены определенные критерии для диагностики спорадической БКЯ. Согласно этой схеме
Лечение и профилактика
Клинический случай
Анамнез заболевания
Анамнез Жизни
Неврологический статус
Психиатрический статус
Лабораторная диагностика
КонсультациИ сПЕЦИАЛИСТОВ
Инструментальная диагностика : МРТ головного мозга (томограф 1,5 Т)
Инструментальная диагностика : ЭЭГ
Полученные данные
Дифференциальная диагностика
Дифференциальная диагностика
Лечение и динамика состояния
Заключение
Спасибо за внимание!
1.58M
Category: medicinemedicine

Клинический случай болезни Крейтцфельдта-Якоба

1. ФЕДЕРАЛЬНОЕ ГОСУДАРСТВЕННОЕ БЮДЖЕТНОЕ УЧРЕЖДЕНИЕ «Национальный медицинский исследовательский центр психиатрии и неврологии

ФЕДЕРАЛЬНОЕ ГОСУДАРСТВЕННОЕ БЮДЖЕТНОЕ УЧРЕЖДЕНИЕ «НАЦИОНАЛЬНЫЙ МЕДИЦИНСКИЙ ИССЛЕДОВАТЕЛЬСКИЙ
ЦЕНТР ПСИХИАТРИИ И НЕВРОЛОГИИ ИМЕНИ В.М. БЕХТЕРЕВА» МИНИСТЕРСТВА ЗДРАВООХРАНЕНИЯ РОССИЙСКОЙ ФЕДЕРАЦИИ
Курсовая работа на тему:
«Клинический случай болезни Крейтцфельдта-Якоба»
ПОДГОТОВИЛА: ОРДИНАТОР ОЧНОЙ ФОРМЫ ОБУЧЕНИЯ ПО СПЕЦИАЛЬНОСТИ «НЕВРОЛОГИЯ»
ПОЛЕЩУК КСЕНИЯ ЕВГЕНЬЕВНА
НАУЧНЫЙ РУКОВОДИТЕЛЬ: ВРАЧ- НЕВРОЛОГ , К.М.Н. ХУБЛАРОВА ЛИВИЯ АРТУРОВНА
Санкт-Петербург
3 июня 2024 г

2. ВВедение

ВВЕДЕНИЕ
Цель настоящего исследования – провести обзор литературы и других источников,
посвящённых проблеме изучения болезни Крейтцфельдта-Якоба , а также осуществить разбор
клинического случая с целью подчеркнуть трудности постановки диагноза, отметить
необходимость применения специального, глубокого обследования пациентов, так как
болезнь не только фатальная, но и контагиозная, поэтому защита окружающих, медперсонала
остается важной и, к сожалению, нерешенной проблемой.
Задачи исследования – провести дифференциальную диагностику болезни Крейтцфельдта-
Якоба с другими заболеваниями со схожими симптомами, изучить клиническое течение
болезни, профилактику и возможные методы лечения, а также сделать анализ современных
подходов к диагностике, основанных на клинических признаках, лабораторных исследованиях,
электроэнцефалографии (ЭЭГ) и магнитно-резонансной томографии (МРТ).
ОБРАЗЕЦ ТЕКСТА НИЖНЕГО КОЛОНТИТУЛА
2

3. Определение и распространенность болезни

ОПРЕДЕЛЕНИЕ И РАСПРОСТРАНЕННОСТЬ БОЛЕЗНИ
Болезнь Крейтцфельдта-Якоба (БКЯ) – быстро прогрессирующее нейродегенеративное
заболевание, относящееся к группе прионных инфекций , ключевым патогенетическим звеном
которого является гибель нейронов, индуцированная прионными белками.
Прионные заболевания являются редкой патологией: заболеваемость составляет 1–2 случая на
1 миллион населения в год. Чаще болеют мужчины. Продолжительность заболевания – менее 2 лет,
обычно она составляет 3–6 месяцев. Дебют – чаще всего в возрасте 60–65 лет.
ОБРАЗЕЦ ТЕКСТА НИЖНЕГО КОЛОНТИТУЛА
3

4. Этиопатогенез

ЭТИОПАТОГЕНЕЗ
Возбудитель БКЯ - инфекционный прионный белок (PrPSc), образующийся в результате
конформационных изменений третичной или четвертичной структуры нормального
(неинфекционного) клеточного белка (PrPC).
Согласно этиологической классификации при БКЯ выделяют следующие формы:
Приобретенная БКЯ включает ятрогенную форму, обусловленную центральной или
периферической инокуляцией при медицинских вмешательствах, а также новый вариант БКЯ
– при употреблении в пищу мяса коров, страдающих спонгиоформной энцефалопатией.
Наследственную форму БКЯ вызывает мутация
гена PRNP на коротком плече 20-й
хромосомы, в результате которой в больших количествах начинает синтезироваться
патогенная изоформа прионного белка.
Спорадическая БКЯ обусловливается спонтанной трансформацией нормального клеточного
прионного белка в аномальную форму.
ОБРАЗЕЦ ТЕКСТА НИЖНЕГО КОЛОНТИТУЛА
4

5. Международным Консорциумом по БКЯ были предложены определенные критерии для диагностики спорадической БКЯ. Согласно этой схеме

ДИАГНОСТИКА
МЕЖДУНАРОДНЫМ КОНСОРЦИУМОМ ПО БКЯ БЫЛИ ПРЕДЛОЖЕНЫ ОПРЕДЕЛЕННЫЕ КРИТЕРИИ
ДЛЯ ДИАГНОСТИКИ СПОРАДИЧЕСКОЙ БКЯ.
СОГЛАСНО ЭТОЙ СХЕМЕ ДЛЯ ПОСТАНОВКИ ВЕРОЯТНОГО ДИАГНОЗА БКЯ НЕОБХОДИМО НАЛИЧИЕ ДВУХ
КРИТЕРИЕВ ИЗ ПУНКТА I И, ПО МЕНЬШЕЙ МЕРЕ, ОДНОГО КРИТЕРИЯ ИЗ ПУНКТА II. ДЛЯ ПОСТАНОВКИ
ВОЗМОЖНОГО ДИАГНОЗА БКЯ НЕОБХОДИМЫ ДВА КРИТЕРИЯ ИЗ ПУНКТА I ПРИ ДЛИТЕЛЬНОСТИ
БОЛЕЗНИ МЕНЕЕ 2 ЛЕТ
I. Клинические симптомы
Деменция.
Мозжечковые или зрительные расстройства.
Пирамидные или экстрапирамидные
расстройства.
Акинетический мутизм.
Миоклонии
II. Данные дополнительных исследований:
ЭЭГ: типичный волновой комплекс (феномен
PSWC - двух- или трехфазных острые волны на
фоне общей сниженной активности)
Определение белка 14-3-3 в ЦСЖ (у пациентов
с длительностью заболевания менее 2 лет).
МРТ ГМ: повышение интенсивности сигнала от
хвостатого ядра и скорлупы или, по меньшей
мере, от 2 корковых регионов (темпоральнопариетально-окципитальный) в режиме DWI
или FLAIR.
5

6. Лечение и профилактика

ЛЕЧЕНИЕ И ПРОФИЛАКТИКА
Способов лечения не существует. На ранних стадиях применяется симптоматическая терапия,
на поздних -паллиативная. Болезнь быстро прогрессирует, 80% пациентов со спорадической
формой БКЯ умирают в течение 1 года после постановки диагноза. Поэтому вопрос лечения
прионных болезней является актуальным на сегодняшний день. Так, одним из перспективных
направлений в генной терапии является стабилизация нормальной конформации белка и
предотвращение формирования патогенной изоформы.
Специфических методов профилактики нет. К неспецифическим методам относятся: контроль
качества мясных продуктов, использование исключительно стерильных (в определенных
случаях – еще и одноразовых) хирургических инструментов, применение индивидуальных
средств защиты медицинским персоналом, повышение уровня знаний о прионных
заболеваниях среди медицинских работников, организаторов здравоохранения, населения.
ОБРАЗЕЦ ТЕКСТА НИЖНЕГО КОЛОНТИТУЛА
6

7. Клинический случай

КЛИНИЧЕСКИЙ СЛУЧАЙ
Пациентка М, 63 года, поступила 12.02.2024 г. в 6 неврологическое отделение НМИЦ ПН им. В.М.
Бехтерева
Жалобы при поступлении: сама пациентка не предъявляет жалоб из-за когнитивного
дефицита , жалобы собраны с помощью родственников
1. значительное ухудшение памяти (как на текущие события, так и события прошлого);
2. сложности в подборе слов при разговоре;
3. нарушение ориентации в пространстве и во времени;
4. затруднения при надевании предметов одежды («кручу – не понимаю как надеть»).
5. сниженный аппетит;
6. сниженное настроение;
7. бессонница;
8. периодическое повышение АД > 180/110 мм.рт.ст.
ОБРАЗЕЦ ТЕКСТА НИЖНЕГО КОЛОНТИТУЛА
7

8. Анамнез заболевания

АНАМНЕЗ ЗАБОЛЕВАНИЯ
Поведенческие изменения
(стала обидчива,
прекратила общение с
родственниками по
непонятным причинам)
Лето 2023г.
Эпизод нарушения
сознания в самолете
Стабильна, сохраняются
поведенческие изменения
Резкое ухудшение состояния:
значительное ухудшение
памяти , выраженное
ухудшение речи, нарушение
ориентации в пространстве и
во времени,нарушение
самообслуживания и ведение
быта, снижение веса на 5-7 кг,
повышенная тревожность,
нарушение сна
Октябрь –декабрь 2023г.
Январь-февраль 2024г.
Проблемы с памятью,
трудности в подборе слов,
снизился аппетит
Сентябрь 2023г.
8

9. Анамнез Жизни

АНАМНЕЗ ЖИЗНИ
Высшее педагогическое образование. Работала в школе завучем, учителем математики. Контакты с
профессиональными вредностями отрицает.
Семейный анамнез: проживает одна, муж умер в 2014г., детей нет, есть сестры, племянники
Наследственность отягощена сердечно-сосудистыми заболеваниями (ОНМК, ОИМ). Наличие
хронической неврологической патологии у родственников отрицает.
Хронические заболевания: Гипертоническая болезнь III ст риск3 с 16 лет. Пароксизмальная форма
фибрилляции предсердий. Хронический гастродуоденит.
Травмы, операции: ЗЧМТ от 2020г.
9

10. Неврологический статус

НЕВРОЛОГИЧЕСКИЙ СТАТУС
Миоклонии в пальцах рук.
Мышечный тонус повышен по экстрапирамидному типу в дистальных отделах верхних конечностей
(больше слева), проксимально – снижен.
Адиадохокинез слева.
При исследовании глубоких рефлексов с конечностей – левосторонняя гиперрефлексия во всех
группах мышц. Рефлексогенные зоны расширены.
ПНП выполняет слева с мимопопаданием , справа верно. ПКП выполняет с атаксией с двух сторон,
больше слева.
Пробу на дисметрию выполнить не может из-за непонимания команды.
Симптом обратного толчка положительный слева.
Симптом Ожеховского выполнить не может.
В п. Ромберга пошатывание, с латерализацией вправо.
Ходьба в замедленном темпе, при ходьбе ограничены синкинезии справа.
10

11. Психиатрический статус

ПСИХИАТРИЧЕСКИЙ СТАТУС
Сознание не помрачено. Дезориентирована в текущей дате, правильно назвала месяц-март,
время года -апрель, год назвать не смогла, сказала, что находится в больнице Бехтерева. В
личности ориентирована частично: не смогла назвать дату рождения, свой возраст называет
правильно. Контакт затруднен из-за речевых нарушений пациентки, речь обеднена, с
проявлением амнестической афазии, наблюдаются персеверации. Обращенные вопросы
понимает. Настроение с гипотимным оттенком, без витальных проявлений. Без
психопродуктивной симптоматики, обманов восприятия. Мышление замедлено по темпу. Память
диффузно снижена как на исторические события, события своей жизни (не датирует). MMSE 17
баллов. Тест рисования часов выполнила на 5 баллов. Пробы Геда выполняет. Частичная
фингерагнозия. Нарушены счет, письмо с персеверациями, нарушен пространственный гнозис.
Явления апраксии, на приеме в футболке надетой наизнанку, 3-х этапную команду «ладоньребро-кулак» не выполняет. Абстрагирование нарушено, пословицы трактует конкретно. Критика
частичная, уклончиво отвечает на вопрос о нарушении памяти, полностью это не осознает.
11

12. Лабораторная диагностика

ЛАБОРАТОРНАЯ ДИАГНОСТИКА
КАК ( без клинически значимых отклонений)
Б/х крови ( повышение глюкозы 8.0 ммоль/л, креатинина 148 мкмоль/л, холестерина 5.09
ммоль/л)
ОАМ (без клинически значимых отклонений)
Гормоны в крови ( ТТГ – в пределах нормы, пролактин – в пределах нормы)
Отрицательный результат ИФА на сифилис и ВИЧ
12

13. КонсультациИ сПЕЦИАЛИСТОВ

КОНСУЛЬТАЦИИ СПЕЦИАЛИСТОВ
1.
2.
Консультация
психолога:
Ведущим
является
органический
патопсихологический
симптомокомплекс с выраженным снижением когнитивных процессов. В эмоциональноличностном статусе — тревожно-депрессивные проявления.
Консультация логопеда-нейропсихолога:
Нарушения речи по типу акустико-мнестической афазии.
Нарушения ориентировки в пространстве.
Нарушение зрительного гнозиса.
Затруднения конструктивного праксиса.
Элементы апраксии одевания и оральной апраксии.
Модально неспецифические нарушения памяти, в т.ч. на хронологию событий личной жизни.
13

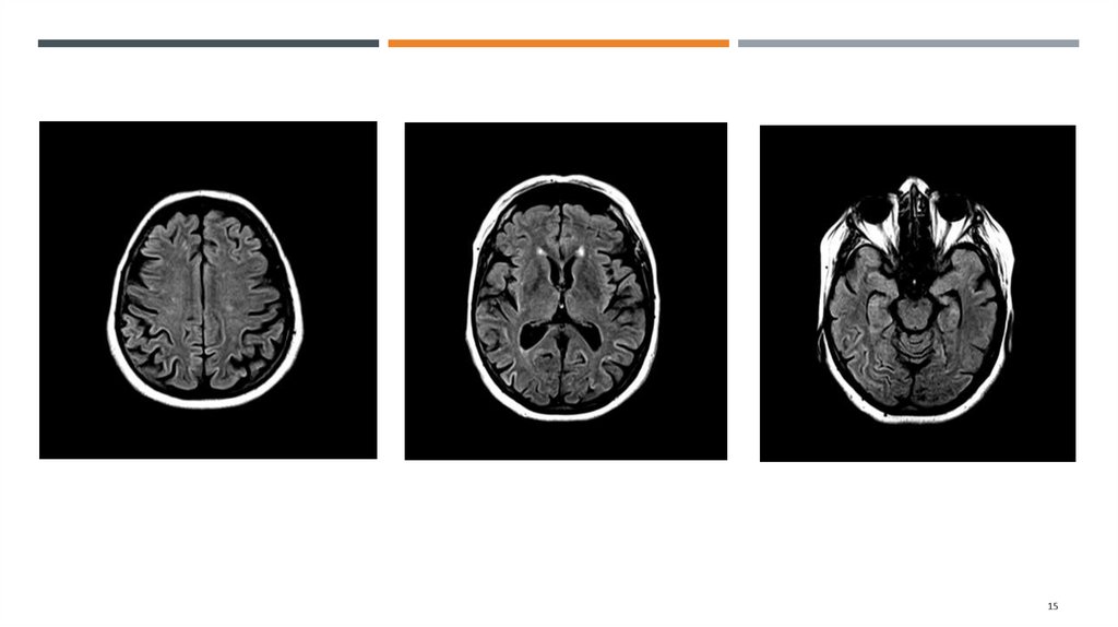
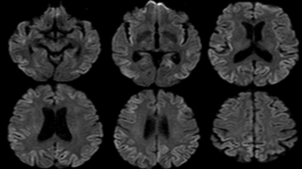
14. Инструментальная диагностика : МРТ головного мозга (томограф 1,5 Т)

ИНСТРУМЕНТАЛЬНАЯ ДИАГНОСТИКА : МРТ ГОЛОВНОГО МОЗГА
(ТОМОГРАФ 1,5 Т)
Выявляются множественные асимметричные зоны повышения МР-сигнала на DWI и FLAIR ИП с
вовлечением коры теменных (преимущественно), лобных, затылочных и височных долей (D>S).
В субкортикальных отделах белого вещества лобных и теменных долей выявляются
множественные очаги гиперинтенсивного МР-сигнала на Т2 ВИ и FLAIR ИП размером до 5мм
Заключение:
МР-признаки поражения коры больших полушарий головного мозга. Учитывая анамнез, в
первую очередь необходимо дифференцировать с болезнью Крейтцфельдта-Якоба; в
диф.ряду метаболические (печеночная энцефалопатия), гипоксические изменения маловероятно.
Множественные сосудистые очаги в белом веществе полушарий головного мозга. Расширение
наружных и внутренних ликворных пространств.
14

15.

15

16.

ОБРАЗЕЦ ТЕКСТА НИЖНЕГО КОЛОНТИТУЛА
16

17. Инструментальная диагностика : ЭЭГ

ИНСТРУМЕНТАЛЬНАЯ ДИАГНОСТИКА : ЭЭГ
Регистрируются нарушения корково-стволовых регуляторных взаимодействий с снижением
уровня активации коры и умеренной дезорганизацией корковой активности с нечеткостью
зональных, амплитудных отличий и деформацией альфа-ритма. Снижены функциональный
тонус коры и реактивность корковых нейронов.
Отмечаются преходящие локальные нарушения активности в правой лобной, центральной,
передневисочной областях коры, единично после ГВ по типу пароксизмоподобных? нарушений
активности. Без четких пароксизмальных нарушений активности в настоящем обследовании.
17

18.

18

19. Полученные данные

ПОЛУЧЕННЫЕ ДАННЫЕ
Клинические симптомы:
Синдром деменции
Синдром пирамидной и экстрапирамидной
недостаточности
Инструментальное и лабораторное
обследование
МРТ ГМ
ЭЭГ
Синдром мозжечковой недостаточности
Миоклонус
На основании выявленного симптомокомплекса, данных нейровизуализации и функционального
исследования биоэлектрической активности головного мозга был поставлен основной диагноз:
Органическое поражение головного мозга с синдромом деменции, эсктрапирамидной,
пирамидной и мозжечковой недостаточностью (вероятно болезнь Крейтцфельдта-Якоба)
19

20. Дифференциальная диагностика

ДИФФЕРЕНЦИАЛЬНАЯ ДИАГНОСТИКА
Диагноз
Признаки, свидетельствующие в пользу
диагноза
Признаки, свидетельствующие против
диагноза
Болезнь Альцгеймера
Синдром деменции
Острое начало
Быстрая прогрессия когнитивных
нарушений
Данные МРТ ГМ
Мультиинфарктная деменция
Острое начало
Синдром деменции
Синдром пирамидной и экстрапирамидной
недостаточности
Миоклонус
Наличие сопутствующей сердечнососудистой патологии
Данные МРТ ГМ
Быстрая прогрессия когнитивных
нарушений
Деменция с тельцами Леви
Синдром деменции
Синдром экстрапирамидной
недостаточности
Острое начало
Быстрая прогрессия когнитивных
нарушений
Данные МРТ
Энцефалопатия Гайе-Вернике
Острое начало
Нарушение питания из-за сниженного
аппетита
Отсутствие характерной клинической
картины
Отсутствие алкогольного анамнеза
20
Данные МРТ ГМ

21. Дифференциальная диагностика

ДИФФЕРЕНЦИАЛЬНАЯ ДИАГНОСТИКА
Диагноз
Признаки, свидетельствующие в пользу
диагноза
Признаки, свидетельствующие против диагноза
Энцефалопатии дисметаболического и
токсического генеза
Очаговая неврологическая симптоматика
Аффективные и когнитивные нарушения
Отсутствие характерных изменений в
биохимическом анализе крови
Отсутствие характерных анамнестических
признаков (хронические заболевания, токсины)
Данные МРТ
Вирусные энцефалиты
Острое начало
Очаговая неврологическая симптоматика
Данные МРТ и ЭЭГ
Отсутствие отягощенного эпиданамнеза
Отсутствие симптомов интоксикации,
общемозговых, менингеальных симптомов
Отсутствие признаков воспаления в анализе
крови
Аутоиммуный энцефалит
Острое начало
Очаговая неврологическая симптоматика
Быстрое прогрессирование когнитивного
дефицита
Данные МРТ и ЭЭГ
Отсутствие данных о наличии онкологии
Отсутствие симптомов интоксикации,
общемозговых, менингеальных симптомов
Отсутствие характерного дебюта – с острого
психоза
Нет данных о наличии АТ в сыворотке крови и
ЦСЖ
ВИЧ-энцефалопатия
Очаговая неврологическая симптоматика
Аффективные и когнитивные нарушения
Отрицательный результат ИФА на ВИЧ
Данные МРТ
21

22. Лечение и динамика состояния

ЛЕЧЕНИЕ И ДИНАМИКА СОСТОЯНИЯ
Пациентке проводилась нейротрофическая терапия, сосудистая терапия, противодементная
терапия ( Мемантин 20 мг в сутки, Донепезил 5 мг в сутки), антидепрессантная терапия
(Миртазапин 45 мг в сутки). Мониторинг показателей артериального давления
продемонстрировал необходимость назначения антигипертензивной терапии.
За время наблюдения пациентки в стационаре в течение 6 недель постепенно нарастали
пирамидные нарушения, экстрапирамидная симптоматика в виде ригидности, брадикинезии,
увеличилась выраженность координаторных расстройств, однако, была положительная
динамика в минимальном улучшении когнитивных и аффективных нарушений.
Выписана из стационара 23.03.2024г. под наблюдение невролога в удовлетворительном
состоянии. Катамнестическое отслеживание показало, что состояние больной после выписки
начало прогрессивно ухудшаться: нарастало нарушение функции ходьбы, самообслуживания,
нарастала выраженность когнитивных нарушений, стала мало доступна контакту, появился
тремор верхних конечностей, что свидетельствует в пользу верно поставленного диагноза.
ОБРАЗЕЦ ТЕКСТА НИЖНЕГО КОЛОНТИТУЛА
22

23. Заключение

ЗАКЛЮЧЕНИЕ
1. Приведенный пример и анализ литературных
источников
демонстрируют,
что
инструментальное
обследование
имеет
решающее значение в диагностике данного
заболевания. Диагноз становится очевидным,
если на МРТ-картине присутствуют типичные
для данной патологии изменения и в ходе
дифференциальной диагностики исключены
расстройства, имитирующие БКЯ.
2. Разработка
в
последние
десятилетия
современных критериев диагностики БКЯ на
основе доступных неинвазивных методов
исследования, к которым относятся МРТ и ЭЭГ,
позволила существенно сократить время
диагностического поиска и устанавливать
диагноз на более ранних стадиях заболевания
23

24. Спасибо за внимание!

СПАСИБО ЗА ВНИМАНИЕ!
English     Русский Rules