3.78M
Category: medicinemedicine

Острое нарушение мозгового кровообращения. Ишемический инсульт

1.

Острое нарушение мозгового кровообращения
Ишемический инсульт
Ишемический инсульт

2.

Приказ Минздрава России от 15.11.2012 N 928н (ред.
от 21.02.2020) "Об утверждении Порядка оказания
медицинской помощи больным с острыми
нарушениями мозгового кровообращения"
(Зарегистрировано в Минюсте России 27.02.2013 N
27353)

3.

4.

Основные механизмы ишемического артериального инсульта:
Эмболия — пассаж эмболического материала из кардиальных, аортальных или артериальных
источников в церебральные артерии
Тромбоз — тромботическая обструкция экстра- и/или интракраниальной артерии in situ
Гипоперфузия — снижение системного или регионального церебрального кровотока с
преимущественным поражением зон смежного кровообращения
Ишемический инсульт обычно развивается на фоне окклюзии мозговой артерии из-за эмболии или
тромбоза

5.

Эмболия — ведущий патогенетический механизм ишемического инсульта
Источники эмболии:

Кардиальные

Аортальные

Артериальные
Экстракраниальный атеросклероз:

Атеросклеротические бляшки располагаются в проксимальных отделах сонных или позвоночных
артерий

Повреждение покрышки атеросклеротической бляшки обычно инициирует тромбообразование и
дистальную эмболию

В ряде случаев происходит развитие проксимальной тромботической окклюзии in situ
Интракраниальный атеросклероз:

Поражение вовлекает внутримозговые артерии

Возникает тромбоз in situ и/или эмболия

6.

Эпидемиология
Данные отчета The 2016 Global Burden of Disease от 2019 г. — каждый четвертый человек перенесет
инсульт в течение жизни
Ежегодно в мире прогнозируется развитие 9,6 млн инсультов с ростом заболеваемости по мере старения
населения, 85 % из них — ишемический инсульт
Болезни системы кровообращения — ведущая причина в структуре смертности в Российской Федерации —
47 %
Смертность от цереброваскулярных заболеваний в 2018 г. — 31 % в структуре смертности от болезней
системы кровообращения — 263 600 человек
Среди лиц трудоспособного возраста смертность от цереброваскулярных заболеваний — 29,2 на 100 000
населения
В мире инсульт — вторая по частоте причина смерти после ишемической болезни сердца

7.

Клиническая картина
Ишемический инсульт или транзиторная ишемическая атака развиваются из-за внезапного снижения перфузии
определенной области головного мозга, что приводит к утрате соответствующей неврологической функции
Основная особенность клинической картины инсульта и транзиторной ишемической атаки — внезапное появление
очаговой, и в некоторых случаях общемозговой, неврологической симптоматики
Общемозговая неврологическая симптоматика:

Головная боль

Тошнота/рвота

Нарушение уровня сознания:


Оглушение

Сопор

Кома
Изменение психического состояния
Симптомы могут быть преходящими — длиться от нескольких секунд до нескольких часов или сохраняться в течение
продолжительного периода времени
Клиническая картина не позволяет достоверно определить тип инсульта: ишемический или геморрагический, поэтому
всем пациентам с подозрением на инсульт нужно выполнить КТ или МРТ головного мозга

8.

9.

1. Быстрая диагностика (FAST-тест)
Face (лицо) – асимметрия, опущение угла рта.
Arms (руки) – слабость в одной руке (не может удержать).
Speech (речь) – невнятная или отсутствует.
Time (время) – срочная госпитализация в первые 4,5 часа (для тромболизиса).
Дополнительные симптомы:
Внезапная сильная головная боль (при геморрагии).
Нарушение сознания, судороги.
Тошнота, рвота.
2. Неотложные действия (до госпитализации)
А. Общие мероприятия
1.
2.
3.
Обеспечить проходимость дыхательных путей (при угнетении сознания – боковое положение).
Контроль АД:

Если АД > 220/120 мм рт. ст. – снижать (Каптоприл 25 мг под язык или Магния сульфат 25% 5-10 мл в/в медленно).

Если АД < 110/70 мм рт. ст. – инфузия 0,9% NaCl.
Глюкоза крови:

Если < 3,5 ммоль/л – 40% глюкоза 20-40 мл в/в.

Если > 10 ммоль/л – короткий инсулин (актрапид) п/к по схеме.

10.

Б. Специфическая терапия (если ишемический инсульт подтвержден или вероятен)
Тромболизис (в первые 4,5 часа!)
Актилизе (альтеплаза) – 0,9 мг/кг (макс. 90 мг):

10% дозы – в/в болюс за 1 мин,

остальное – инфузия за 1 час.
Противопоказания:

Геморрагический инсульт в анамнезе.

Прием антикоагулянтов (МНО > 1,7).

Тромбоциты < 100 000.
Антиагреганты (если тромболизис невозможен)
Аспирин 150-300 мг разжевать (если нет кровотечения).
Клопидогрел 300 мг (при непереносимости аспирина).
Антикоагулянты (редко, только при кардиоэмболии)
Гепарин 5000 ЕД в/в болюс + инфузия 1000 ЕД/час (под контролем АЧТВ).
В. При геморрагическом инсульте (подозрении)
1.
2.
3.
Немедленная КТ для подтверждения.
Коррекция АД (целевое < 140/90 мм рт. ст.):

Лабеталол 10-20 мг в/в или Никардипин 5 мг/час в/в.
При судорогах – Диазепам 10 мг в/в.

11.

12.

13.

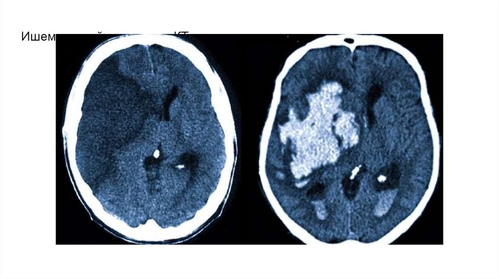
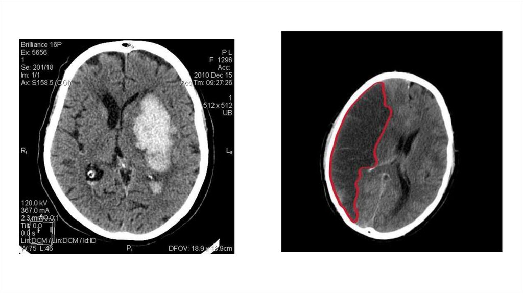
Ишемический инсульт на КТ

14.

15.

Врачебная помощь (на госпитальном этапе)
Тромболизис (введение препаратов, растворяющих тромб – в первые 4,5 часа).
Тромбоэкстракция (механическое удаление тромба – до 6-24 часов).
Поддержание жизненных функций (кислород, контроль давления, глюкозы).

16.

Профилактика ишемического инсульта
Модифицируемые (изменяемые) факторы:
Гипертония (главный риск!)
Поддерживать давление < 140/90 мм рт. ст. (для диабетиков – < 130/80).
Регулярно принимать гипотензивные препараты (если назначены).
Атеросклероз и высокий холестерин
Контроль ЛПНП ("плохого" холестерина) – диета, статины (по назначению врача).
Омега-3, средиземноморская диета (рыба, оливковое масло, овощи).
Сахарный диабет
Держать глюкозу крови в целевом диапазоне (HbA1c < 7%).
Контролировать давление и холестерин (у диабетиков риск инсульта в 2-4 раза выше).

17.

Профилактика ишемического инсульта
Мерцательная аритмия (фибрилляция предсердий)
Прием антикоагулянтов (варфарин, дабигатран, ривароксабан) для профилактики тромбов.
Курение и алкоголь
Отказ от курения (уже через 2-5 лет риск снижается до уровня некурящих).
Алкоголь – не более 1 порции в день для женщин, 2 – для мужчин.
Ожирение и гиподинамия
Снижение веса (ИМТ < 30, лучше < 25).
Физическая активность – минимум 150 мин/нед умеренных нагрузок (ходьба, плавание).

18.

Спасибо за присутствие и внимание
English     Русский Rules