Адгезивы и адгезивные системы
Что такое адгезия?
Adhesion
Виды адгезии
Буонкаре 1962г.
Состав эмали и дентина
Свойства субстрата, влияющие на адгезию
Травление эмали
Типы протравливания эмали зубов
Свойства субстрата, влияющие на адгезию
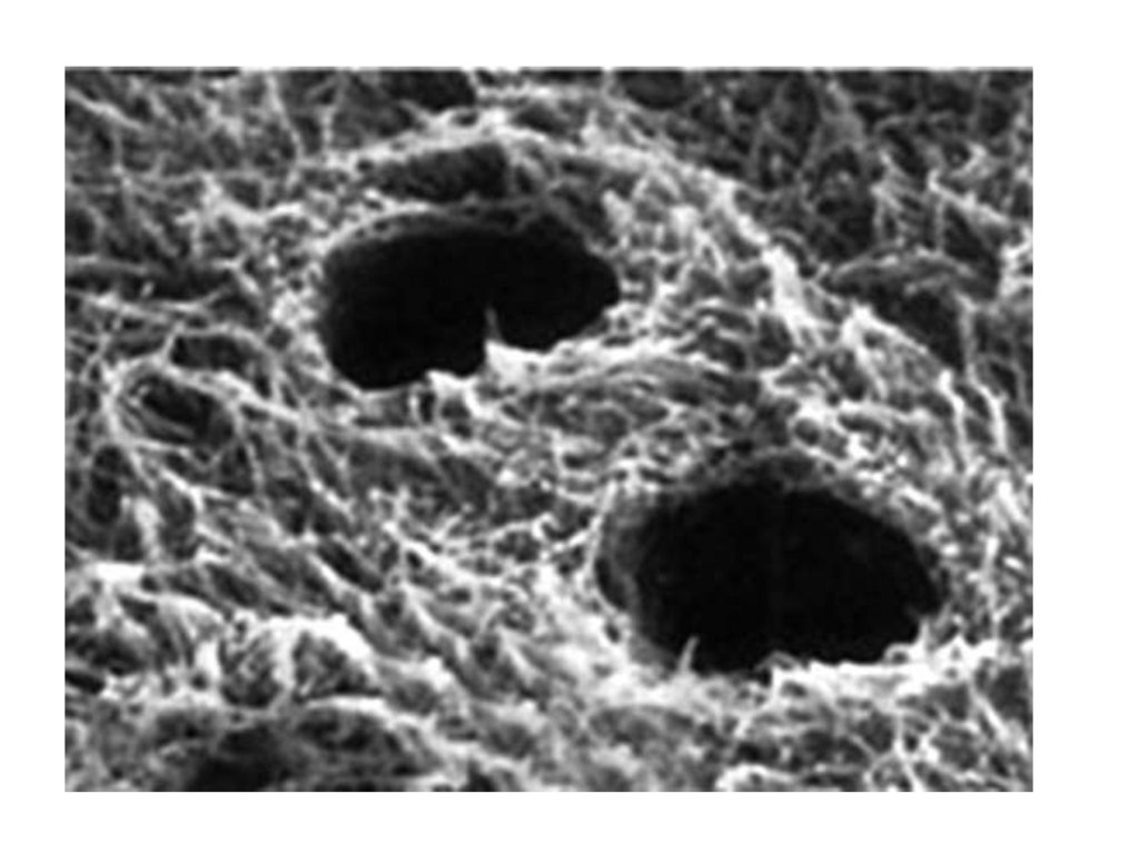
«Смазанный» слой дентина
Поколения адгезивных систем к дентину
Поколения адгезивных систем к дентину
Подготовка поверхности зуба
Травление дентина
Коллапс коллагена
Повторно увлажненный дентин
Образование гибридного слоя
Читайте инструкции!
Читайте инструкции!
Образование гибридного слоя
Читайте инструкции!
Компоненты праймеров адгезивных систем 4 поколения
Читайте инструкции!
Читайте инструкции!
Читайте инструкции!
Техника применения адгезивных систем 5 поколения
Техника применения адгезивных систем 5 поколения
Техника применения адгезивных систем 5 поколения
Техника применения адгезивных систем 5 поколения
Техника применения адгезивных систем 5 поколения
29.93M
Category: medicinemedicine
Similar presentations:

Адгезивы и адгезивные системы

1. Адгезивы и адгезивные системы

.

2.

•Адгезивы и адгезивные системы

3. Что такое адгезия?

4. Adhesion

© Editor B @ www.flickr.com

5.

© {N}Duran @ www.flickr.com

6.

© Jude Doyland @ www.flickr.com

7.

http://www.mehr-als-werkzeug.de/medias/sys_master/KU1006V_01_P_WE_8.jpg

8.

http://www.schmidtler.de/bilder/bd_zub/zelle/klet0200.jpg

9.

Виды адгезии
Виды адгезии:
1.Физическая- ва-дер-ваальсовы
силы или электростатические
силы;
2.Химическая – формирование
межмолекулярных связей
между поверхностями;
3.Механическая – определяется
неровностью соединяемых
поверхностей;

10.

Буонкаре 1962г.

11.

•Какова сила
сцепления тканей
зуба дентина –
эмали между собой?

12. Виды адгезии

10 MPa

13. Буонкаре 1962г.

Состав эмали и дентина
Эмаль
Дентин
Вес. %
Об. %
Вес. %
Об. %
Неорганические
компоненты
97
92
70
45
Органические
компоненты
1
2
20
33
Вода
2
6
10
22

14.

15.

Свойства субстрата, влияющие на
адгезию
• Морфологические особенности эмали:
• структура
• степень минерализации
• апризматический слой
• кислоторезистентность

16. Состав эмали и дентина

Травление эмали
Буонкаре 1962гпредложил травление эмали как способ
активировать поверхность.
Виды адгезии:
1.Физическая- ва-дер-ваальсовы силы или электростатические
силы;
2.Химическая – формирование межмолекулярных связей между
поверхностями;
3.Механическая – определяется неровностью соединяемых
поверхностей;

17.

Типы протравливания эмали зубов

18. Свойства субстрата, влияющие на адгезию

Увеличение 3000x
Дентин покрытый смазанным слоем
• Морфологические особенности дентина:
состав
• нестабильность
• влажность
• зависимость от наличия пульпы
• зависимость от близости к пульпе
• ответвления дентинных канальцев
• степень склерозирования канальцев
• образование вторичного и третичного дентина

19. Травление эмали

«Смазанный» слой дентина

20. Типы протравливания эмали зубов

21. Свойства субстрата, влияющие на адгезию

Поколения адгезивных систем к дентину
I – химическая связь с кальцием гидроксиапатита и коллагеном –
1-3 МПа
II - химическая связь + частичное действие на смазанный слой,
слабая микромеханическая ретенция –
3-5 МПа
III - модификация смазанного слоя, микромеханическая связь 12-18 МПа

22. «Смазанный» слой дентина

Поколения адгезивных систем к дентину
Микромеханическая ретенция
Принцип тотального травления
Влажный бондинг
Праймирование протравленной поверхности
Отдельные праймер и адгезив
Образование гибридного слоя
Сила связи – 20-30 МПа

23.

к эмали 20- 1
1 Адгезия
30 МПа
Адгезия к дентину
1-3
к эмали 30 1-2
2 Адгезия
МПа
Адгезия к дентину
2-6 МПа
к эмали 30- 2-3 6 Адгезия к эмали 30 МПа
3 Адгезия
40 МПа
Адгезия к дентину 18-25 МПа
Адгезия к дентину
8-15 МПа
эмали 30-40 2-5 7 Адгезия к эмали 30 МПа
4 Адгезия
МПа
Адгезия к дентину 18-25 МПа
Адгезия к дентину
17-25 МПа
к дентину
5 Адгезия
20-24 МПа
1
2-3
1

24. Поколения адгезивных систем к дентину

Классификация адгезивных систем
Bon
Prime
r
d
Bond
Primer
Selfcond
Prime
r+
Bond
Selfetch
Bond
Primer
Bottle
A
Mix
http://www.scielo.br/scielo.php?pid=S1678-77572004000500003&script=sci_arttext&tlng=en,
J. Appl. Oral Sci. vol.12 no.spe Bauru 2004
Bottle
B

25. Поколения адгезивных систем к дентину

• Кислота
• Праймер
•Адгезив

26.

Адгезивные системы
3 Steps
Bon
Prime
r
d
Bond
Primer
Selfcond
Prime
r+
Bond
2 Steps
Selfetch
Bond
Primer
1 Step
Bottle
A
Mix
http://www.scielo.br/scielo.php?pid=S1678-77572004000500003&script=sci_arttext&tlng=en,
J. Appl. Oral Sci. vol.12 no.spe Bauru 2004
Bottle
B

27.

Классификация адгезивных систем
3 Steps
Bon
Prime
r
d
Bond
Primer
Selfcond
Prime
r+
Bond
2 Steps
Selfetch
Bond
Primer
1 Step
Bottle
A
Mix
http://www.scielo.br/scielo.php?pid=S1678-77572004000500003&script=sci_arttext&tlng=en,
J. Appl. Oral Sci. vol.12 no.spe Bauru 2004
Bottle
B

28.

Стратегия по отношению к смазанному слою
Травление
Total Etch
Technique
With friendly permissin by Uwe Blunck, Charité Berlin
Пропитывание
Selfconditioning
primers

29.

Подготовка поверхности зуба
Травление эмали
Тотальное травление
Без травления самопротравливающие системы
Типы адгезии к тканям зуба
Химическая
Микромеханическая

30.

Травление дентина
Слой бесструктурного
коллагена
Слой структурированного
коллагена
Фронт декальцинации

31.

32. Подготовка поверхности зуба

33. Травление дентина

34.

35.

36.

Коллапс коллагена

37.

Повторно увлажненный дентин

38.

Образование гибридного слоя
With friendly permission by Uwe Blunck, Charité Berlin

39. Коллапс коллагена

40. Повторно увлажненный дентин

Читайте инструкции!

41. Образование гибридного слоя

Увлажнение дентина
После
травления
После
высушивания
После
увлажнения
Tay, F. R.; Gwinnett, A. J.; Wie, S. H. Y., Ultrastructure of the resin-dentin interface following reversible and irreversible rewetting
With friendly permission by Uwe Blunck, Charité Berlin

42.

Читайте инструкции!

43. Читайте инструкции!

Образование гибридного слоя
With friendly permission by Uwe Blunck, Charité Berlin

44.

Читайте инструкции!

45. Читайте инструкции!

Компоненты праймеров адгезивных
систем 4 поколения
НЕМА – гидрофильность, смачиваемость
4-МЕТА – связь с кальцием через карбоксильные группы
PENTA – химическая связь с кальцием, гидрофильность
(Prime&Bond)
Полиакриловые кислоты, модифицированные метакрилатом
(Scotchbond) – химическая связь с кальцием
Глютаральдегид – ковалентные связи с коллагеном, связь с
аминами и с НЕМА (Syntac, Gluma)

46. Образование гибридного слоя

Читайте инструкции!

47. Читайте инструкции!

Образование гибридного слоя
With friendly permission by Uwe Blunck, Charité Berlin

48. Компоненты праймеров адгезивных систем 4 поколения

Образование гибридного слоя
With friendly permission by Uwe Blunck, Charité Berlin

49. Читайте инструкции!

50.

Действие праймера
С Primer
Без Primer

51.

Читайте инструкции!

52. Читайте инструкции!

Техника применения адгезивных
систем 5 поколения
тотальное протравливание эмали
(до 30 сек) и дентина (15 сек)
(до 30 сек) и дентина (15 сек)

53.

Техника применения адгезивных
систем 5 поколения
• Смывание протравочного геля

54. Читайте инструкции!

Техника применения адгезивных
систем 5 поколения
• Щадящее высушивание поверхности

55. Техника применения адгезивных систем 5 поколения

• Нанесение слоев адгезивной системы на поверхность

56. Техника применения адгезивных систем 5 поколения

• Легкое просушивание, фотополимеризация

57. Техника применения адгезивных систем 5 поколения

Современные адгезивные системы
4 поколение
поколение
5 поколение
Протравка
Протравка
Праймер
Адгезив
6 поколение
7 поколение
Протравка
Протравка
Праймер
Праймер
Праймер
Адгезив
Адгезив
Адгезив
Самопротрав
ливающие
праймеры
Самопротрав
ливающие
адгезивы

58. Техника применения адгезивных систем 5 поколения

Универсальный адгезив
MDP молекула

59. Техника применения адгезивных систем 5 поколения

Читайте инструкции!
English     Русский Rules