2.28M
Category: biologybiology

Экстремальные состояния организма

1.

Экстремальные состояния
организма

2.

Общий адаптационный синдром
• Под влиянием любого повреждающего
агента в организме развиваются изменения
жизнедеятельности, как специфические для
этого агента (возможность нозологического
диагноза), так и неспецифические,
наблюдающиеся при любом повреждении стрессе.

3.

• Повреждающие агенты:
• боль, охлаждение/перегревание,
различные патогенные микроорганизмы
(бактерии, вирусы, грибы, простейшие),
токсины, яды, гипоксия (снижение О2 в
тканях), даже тяжелое физическое
переутомление и многое другое.

4.

• Совокупность неспецифических реакций,
направленных на восстановление
гомеостаза, Ганс Селье в 1963 году назвал
состоянием стресса.

5.

• Стресс - это неспецифическая реакция
организма на действие чрезвычайных
раздражителей разной природы
("стрессоров"), вызывающих напряжение
функций и систем, и, обеспечивающая
мобилизацию резервных возможностей
организма, что позволяет сохранить гомеостаз
и адаптироваться к изменившимся условиям.
Эту реакцию называют еще общим
адаптационным синдромом.

6.

• Ганс Селье доказал, что решающую роль в
реализации адаптационного синдрома
играет резкое повышение функциональной
активности системы гипоталамус-гипофиз надпочечник.

7.

Принцип работы г-г-н с

8.

9.

Стадии адаптационного синдрома
• 1. Реакция тревоги (аларм-реакция)
происходит в две фазы:
• а) фаза шока;
• б) фаза противошока.
• 2. Стадия резистентности (адаптации).
• 3. Стадия истощения.

10.


1. Реакция тревоги.
Фаза шока: развивается сразу же после повреждающего стрессового
воздействия. Ее проявления: мышечная астения, артериальная гипотензия,
снижение ОЦК (централизация кровоснабжения) и сгущение крови,
повышение проницаемости капилляров, гипотермия, гипогликемия,
нарастающий катаболизм - азотемия, отрицательный азотистый баланс,
обратное развитие лимфоидной ткани, снижение эозинофилов и
лимфоцитов, и нарастание нейтрофилов - регенеративный сдвиг (изменения
состава крови могут захватывать и фазу противошока), острые пептические
язвы ЖКТ!.
Фаза противошока наступает, когда реализуется реакция коры
надпочечников. Наблюдается увеличение массы, митотическая активность и
пролиферация клеток пучковой зоны. Нарастание глюкокортикоидов
повышает (совместно с катехоламинами) мышечный и сосудистый тонус,
увеличивает АД и ОЦК, стимулирует антигистаминовую активность,
наращивает уровень глюкозы в крови, активирует энергетические ресурсы
организма и симпато-адреналовую систему - как систему адаптационнотрофическую.

11.

• 2. Стадия резистентности (адаптации).
• Характеризуется гипертрофией коры надпочечников, устойчивым повышением секреции глюкокортикоидов.
• Нормализуется и стабилизируется гемодинамика.
• Направленность обменных процессов четко смещается в
сторону анаболизма. Может увеличиваться мышечная масса и
вес.
• Нормализуется формула крови, в начале стадии количество
эозинофилов может несколько превысить нормальное .
• Повышается неспецифическая устойчивость организма, т.е.
организм без вреда для себя переносит достаточно жесткие
воздействия не только агента, обусловившего данную
стрессовую реакцию, но и любого другого стрессора (эффект
"тренировки", закаливания, "привыкания", адаптации).

12.

• 3. Стадия истощения.
• Если сильное повреждающее воздействие
осуществляется достаточно длительно - может
наступить стадия истощения.
• Перенапряжение коры надпочечников постепенно
приводит к снижению выработки глюкокортикоидов и
атрофии секреторной ткани.
• Вновь снижается тонус и масса скелетных мыши. Растет
гематокрит, падает ОЦК и АД.
• Опять начинает преобладать катаболизм, падает вес
больного.
• Если стрессор продолжает действовать - больной
погибает.

13.

• Организмов, у которых система
гипоталамус - гипофиз - надпочечники не
функционирует, крайне чувствительны к
любым болезнетворным факторам. Они
погибают при минимальных, например,
операционных травмах, небольших
кровопотерях, от таких количеств
токсических веществ, которые в десятки раз
меньше доз, вполне переносимых для
нормального организма.

14.

ШОК
• Это остро развивающийся синдром,
характеризующийся резким уменьшением
капиллярного кровотока в различных
органах и тканях, недостаточным
снабжением их кислородом и удалением из
них продуктов обмена и проявляющийся
тяжелыми нарушениями функциями
организма.

15.

Стадии шока:
• 1.Фаза компенсации (обратимая) – обеспечение и
сохранение адекватной перфузии жизненно важных
органов (головной мозг, сердце, лёгкие, почки, печень)
происходит за счет компенсаторных физиологических
процессов;
• 2.Фаза декомпенсации (частично обратимая) –
характеризуется понижением общей резистентности
организма с возможным развитием смертельного
исхода. При этом перфузия жизненно важных органов
нарушена;
• 3.Терминальная фаза (необратимая) – никакие
терапевтические воздействия не исключают
смертельный исход.

16.

• При различных видах шока действуют
единые патогенетические факторы:
• 1.Малый сердечный выброс;
• 2.Периферическая вазоконстрикция
(централизация кровоснабжения),
формирование шоковых органов;
• 3.Нарушение микроциркуляции.

17.

Классификация шока
• 1. Гиповолемический (первичногиповолемический или постгеморагический)
шок – физиологический механизм развития
которого связан с уменьшением количества
циркулирующей крови, что вызывает
понижение артериального давления.
• К наиболее распрастранённым причинам
развития гиповолемического шока относятся:
гипогидратация, травматическая или
нетравматическая потеря крови,
диабетический кетоацидоз, перитонит, ожоги;

18.

• 2.Кардиогенный шок - физиологический
механизм развития которого связан с
нарушением сократимости сердца (насосная
функция), что приводит к уменьшению
ударного объёма и сердечного выброса, в
несколько раз по сравнению со здоровым
сердцем.
• К наиболее распрастранённым причинам
развития кардиогенного шока относятся:
повреждения сердца (например, инфаркт
миокарда), миокардиты,

19.

• 3.Обструктивный шок - физиологический
механизм развития которого связан с
сдавливанием сердца (тампонада сердца) и
крупных сосудов кровью, эксудатом или
воздухом, что вызывает нарушение венозного
возврата и уменьшает сердечный выброс.
• К наиболее распрастранённым причинам
развития обструктивного шока относятся:
тромбоэмболия лёгочной артерии,
перикардиальная тампонада, напряжённый
пневмоторакс;

20.

• 4.Дистрибутивный (или
перераспределительный, или вазогенный)
шок - физиологический механизм развития
которого связан с развитием вазодилатации
на фоне сравнительной гиповолемии.
• Наиболее распрастранёнными причинами
развития дистрибутивного шока являются:
сепсис, анафилаксия, вазодилатация,

21.

22.

Шоковые органы
• 1.«Шоковая почка» - в почке развивается
некрозный нефроз (при ДВСсиндроме
могут развиться симметричные корковые
(кортикальные) некрозы), что является
предшественником острой почечной
недостаточности;

23.

24.

• 2.«Шоковая печень» - в печени развиваются
центролобулярные некрозы, что является
предшественником острой печёночной
недостаточности.

25.

26.

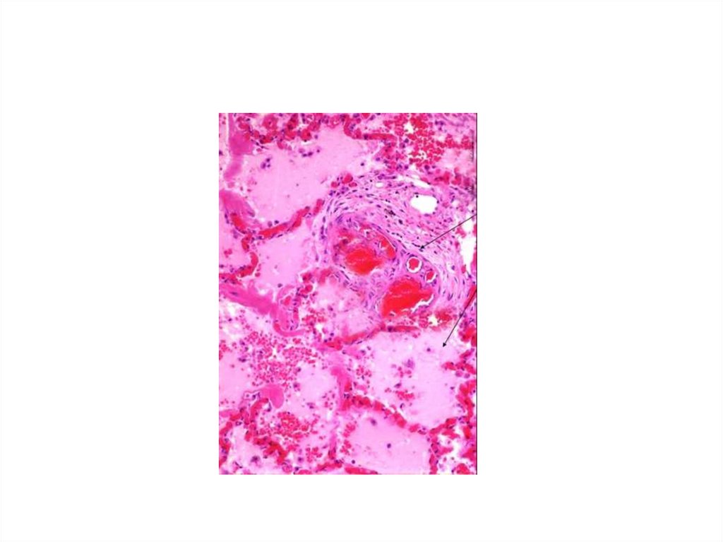
• 3.«Шоковое лёгкое» - в лёгких развиваются
участки ателектазов, серозногеморрагического отёка, с выпотом
фибрина в просвет альвеолярной
мембраны, стаз крови и тромбы в
капиллярах, что вызывает развития острой
дыхательной недостаточности и острого
ресспираторного дистресс-синдрома
взрослых (ОРДСвзрослых).

27.

28.

Кома
English     Русский Rules