МАКРОФАГАЛЬНАЯ СИСТЕМА ОРГАНИЗМА
КЛАССИФИКАЦИЯ
ЭКССУДАТИВНОЕ ВОСПАЛЕНИЕ
ПРОДУКТИВНОЕ ВОСПАЛЕНИЕ
Cпецифическое воспаление
ТУБЕРКУЛЕЗ
СИФИЛИС
ЛЕПРА
СКЛЕРОМА
Иммунопатологические процессы
Анафилаксический – I тип
Анафилаксический – I тип
Антительный – II тип
Антительный – II тип
Иммунокомплексный – III тип
Иммунокомплексный – III тип
Клеточно-опосредованный – IV тип
Клеточно-опосредованный – IV тип
15.45M
Category: medicinemedicine

Воспаление. Иммунопатологические процессы

1.

Рязанский государственный медицинский университет им. И.П. Павлова
Кафедра патологической анатомии с курсом судебной медицины
ЛЕКЦИЯ №5
Тема: Воспаление.
Иммунопатологические процессы
Подготовил: доцент, к.м.н. И.Б. Глуховец
Рязань, 2022

2.

План лекции:
1. Определение воспаления.
2. Классификация воспаления..
3. Морфология экссудативного воспаления.
4. Морфология продуктивного воспаления.
5. Понятие об иммунопатологических
реакциях.

3.

Воспаление – эволюционно выработанная
защитная, сосудисто-стромальная
(развивается в соединительной ткани
вблизи сосудов), системная реакция
организма направленная на элиминацию из
организма чужеродных в антигенном
отношении и индифферентных в
антигенном отношении частиц путем их
ФАГОЦИТОЗА.

4. МАКРОФАГАЛЬНАЯ СИСТЕМА ОРГАНИЗМА

Это совокупность всех клеток, обладающих способностью
захватывать (фагоцитировать) из тканевой жидкости
(межклеточного пространства) инородные частицы,
погибшие клетки и др. и имеющих моноцитарное
происхождение.
• •Макрофаги разделяются на свободные (например,
макрофаги серозных полостей – «перитонеальные» и
др.) и фиксированные (например, макрофаги печени,
макрофаги в органах кроветворения).
• •Макрофаги соединительной ткани - это гистиоциты.
• •Среди них имеются антигенпредставляющие макрофаги
(например, дендритные клетки ).

5.

6.

МОРФОГЕНЕЗ ВОСПАЛЕНИЯ
• Альтерация
• Экссудация
• Пролиферация
повреждение
пропотевание
размножение

7. КЛАССИФИКАЦИЯ

По морфологии
По течению
– Острое
– Подострое
– Хроническое
В зависимости от вызвавшего
агента:
1)инфекционное
2)асептическое
(неинфекционное).
Разновидностью последнего
является демаркационное
воспаление
Экссудативное (фагоцитоз
осуществляется преимущественно
нейтрофильными гранулоцитами)
Пролиферативное (фагоцитоз
осуществляется преимущественно
макрофагами)
По этиологии
Неспецифическое
Специфическое (по структуре очага
воспаления можно судить о
возбудителе)

8.

9. ЭКССУДАТИВНОЕ ВОСПАЛЕНИЕ

• Серозное
• Фибринозное
– Крупозное
– Дифтеритическое
• Гнойное
– Абсцесс
– Флегмона
• Гнилостное
Катаральное
Серозный катар
Слизистый катар
Гнойный катар
Геморрагическое
Смешанное

10.

Острое течение
Экссудат белковый (~3%)
Гиперемия

11.

ФИБРИНОЗНОЕ ВОСПАЛЕНИЕ
• Крупозное
фибринозная пленка рыхло связана
с подлежащими тканями
• Дифтеретическое
фибринозная пленка плотно связана
с подлежащими тканями

12.

13.

14.

ГНОЙНОЕ ВОСПАЛЕНИЕ
• Течение острое и хроническое
• Экссудат с преобладанием лейкоцитов
• Выраженная альтерация тканей
– С тенденцией к отграничению (абсцесс)
– Разлитое (флегмона)

15.

ГНОЙНЫЙ ПЕРИТОНИТ
гнойный экссудат

16.

ГНОЙНАЯ ПНЕВМОНИЯ
гнойный экссудат

17.

Гнилостное (ихорозное) воспаление. В
случаях, где в некротизирующихся тканях
происходит размножение анаэробных
микробов, усиливающих альтерацию, а
нейтрофильных лейкоцитов практически
нет, поскольку не работают механизмы их
привлечения и доставки в очаг некроза.

18.

ГЕМОРРАГИЧЕСКОЕ ВОСПАЛЕНИЕ
• Острое течение
• Экссудат богат эритроцитами
• Выраженная альтерация тканей
Сибирская язва
Менингакокковая инфекция
Чума
Грипп

19.

КАТАРАЛЬНОЕ ВОСПАЛЕНИЕ
• Течение острое или хроническое
• Экссудат богат слизью
• Поражение слизистых оболочек
Риниты
Бронхиты

20.

КАТАРАЛЬНОЕ ВОСПАЛЕНИЕ

21. ПРОДУКТИВНОЕ ВОСПАЛЕНИЕ

• Интерстициальное
Продуктивное воспаление вокруг
животных паразитов и инородных тел
Продуктивное воспаление слизистых
оболочек с образованием полипов и
остроконечных кондилом
• Гранулематозное

22.

23.

24.

Интерстициальное воспаление
КЛЕТОЧНЫЙ СОСТАВ
ИНФИЛЬТРАТА
Клеточный
воспалительный
инфильтрат
образуется в строме
(интерстиции) органов
• Полиморфноклеточный
• Круглоклеточный
• Макрофагальный
• Эпителиоидноклеточный
• Эозинофильноклеточный
• Плазмоклеточный

25.

Гранулематозное воспаление
Клеточный воспалительный инфильтрат
образуется в строме (интерстиции) органов
и формирует гранулемы
Гранулема – форма продуктивной реакции организма,
отражающая формирование особого уровня взаимодействия
организма с патогеном, и представляющая собой скопление
клеток, способных к фагоцитозу

26.

27.

28.

29.

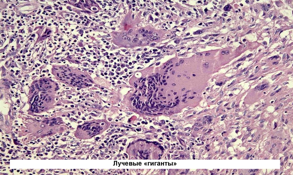
Лучевые «гиганты»

30. Cпецифическое воспаление

По характеру некоторых клеточных реакций имеет ряд
морфологических черт, характерных (специфических)
для вызвавшего их биологического возбудителя.

31.

Cпецифическое воспаление
• Наличие характерного возбудителя
• Смена тканевых реакций
• Хроническое волнообразное течение
• Преобладание продуктивной тканевой реакции
с образованием гранулем

32.

Cпецифическое воспаление
Туберкулез
Сифилис
Лепра
Сап
Склерома
Mycobacterium tuberculosis
Treponema pallidum
Mycobacterium leprae
Аctinobacillus mallei
Klebsiella scleromatis

33. ТУБЕРКУЛЕЗ

• Mycobacterium tuberculosis
• Творожистый (казеозный) некроз
• Туберкулезная гранулема
Гигантские многоядерные клетки Langhans’s
(клетки Пирогова-Лангханса)

34.

Типичная туберкулезная гранулема

35.

Типичная туберкулезная гранулема

36.

Нетипичная туберкулезная гранулема печени

37.

Mycobacterium tuberculosis в гистологическом срезе
Окраска по Цилю-Нильсену

38. СИФИЛИС

• Treponema pallidum
• Клееобразный (gummi) некроз
• Сифилитическая гранулема
Гумма
Гуммозный инфильтрат
Плазматические клетки

39.

40.

Периваскулярный лимфоплазмоцитарный инфильтрат
и пролиферация эндотелия сосудов кожи при вторичном сифилисе

41.

Плазмоцитарный инфильтрат
и пролиферация эндотелия сосудов кожи при вторичном сифилисе

42. ЛЕПРА

• Mycobacterium leprae
• Отсутствие некроза
• Лепрозная гранулема
Лепрома
Лепрозные клетки Вирхова (лепрозные шары)

43.

44.

Mycobacterium leprae в макрофагальном инфильтрате
при лепроматозной лепре

45. СКЛЕРОМА

• Klebsiella scleromatis
(Волковича-Фриша)
• Отсутствие некроза
• Склеромная гранулема
• Клетки Микулича

46.

Клетки Mikulich (гиалиновые шары)

47.

Клетки Микулича, риносклерома

48. Иммунопатологические процессы

• Анафилаксический – I тип
• Антительный – II тип
• Иммунокомплексный – III тип
• Клеточно-опосредованный – IV тип

49. Анафилаксический – I тип

50. Анафилаксический – I тип

• Анафилаксии
• Аллергии
• Бронхиальная астма

51. Антительный – II тип

52. Антительный – II тип

• Аутоиммунная гемолитическая анемия
• Пузырчатка обыкновенная
• Синдром Гудпасчера
• Острая ревматическая лихорадка
• Инсулинорезистентный диабет

53. Иммунокомплексный – III тип

54. Иммунокомплексный – III тип

• Системная красная волчанка
• Постстрептококковый гломерулонефрит
• Узелковый полиартериит

55. Клеточно-опосредованный – IV тип

56. Клеточно-опосредованный – IV тип

• Сахарный диабет I типа
• Рассеянный склероз
• Ревматоидный артрит
• Контактный дерматит
English     Русский Rules