Семиотика и диагностика врожденной и приобретённой кишечной непроходимости
Семиотика и диагностика врожденной кишечной непроходимости
Причины врождённой кишечной непроходимости:
КЛИНИКА И ДИАГНОСТИКА ВЫСОКОЙ ОБТУРАЦИОННОЙ КИШЕЧНОЙ НЕПРОХОДИМОСТИ.
КЛИНИКА И ДИАГНОСТИКА ВЫСОКОЙ СТРАНГУЛЯЦИОННОЙ КИШЕЧНОЙ НЕПРОХОДИМОСТИ.
КЛИНИКА И ДИАГНОСТИКА НИЗКОЙ ОБТУРАЦИОННОЙ КИШЕЧНОЙ НЕПРОХОДИМОСТИ.
КЛИНИКА И ДИАГНОСТИКА НИЗКОЙ СТРАНГУЛЯЦИОННОЙ КИШЕЧНОЙ НЕПРОХОДИМОСТИ.
Лечение врождённой кишечной непроходимости
Классификация аноректальных атрезий:
МЕТОДЫ ДОПОЛНИТЕЛЬНОГО ОБСЛЕДОВАНИЯ ПРИ АНОРЕКТАЛЬНЫХ АТРЕЗИЯХ И СТЕНОЗАХ:
Семиотика и диагностика приобретенной кишечной непроходимости
Спаечная кишечная непроходимость
Клиника и диагностика
Лечение
Обтурационная непроходимость
Клиника и диагностика
Лечение
Кишечная инвагинация
КИШЕЧНАЯ ИНВАГИНАЦИЯ
ЭПИДЕМИОЛОГИЯ
АНАТОМИЧЕСКИЕ КОМПОНЕНТЫ ИНВАГИНАЦИОННОГО ПРОЦЕССА:
Классификация кишечной инвагинации:
АНАТОМИЧЕСКИЕ ВАРИАНТЫ
Тонко-толсто- кишечная инваги- нация.
Толсто-толсто и тонко-тонкокишеч-ная инвагинация
Кишечная инвагинация чаще всего встречается в возрастной группе детей 4 – 9 месяцев жизни.
1.Функциональные. 2.Функционально- анатомические.
ФУНКЦИОНАЛЬНЫЕ ПРИЧИНЫ:
ФУНКЦИОНАЛЬНО- АНАТОМИЧЕСКИЕ ПРИЧИНЫ (ниже указаны только анатомические предпосылки)
Субъективная клиника кишечной инвагинации:
ОБЪЕКТИВНАЯ КЛИНИЧЕСКАЯ КАРТИНА ПРИ КИШЕЧНОЙ ИНВАГИНАЦИИ
Дополнительные методы исследования, применяемые для диагностики кишечной инвагинации: 1. Рентгенологические: а) обзорная
Множе-ствен-ные газовые уровни
Симптом «серпа» при ирригогра- фии
Динамическая непроходимость:
Клиника и диагностика
8.52M
Category: medicinemedicine

Семиотика и диагностика врожденной и приобретённой кишечной непроходимости

1. Семиотика и диагностика врожденной и приобретённой кишечной непроходимости

Кафедра Детской хирургии
ВГМУ им. Н.Н. Бурденко
Зав.каф. проф.
В.А. Вечеркин

2. Семиотика и диагностика врожденной кишечной непроходимости

3. Причины врождённой кишечной непроходимости:

1. Пороки развития кишечной трубки.
2. Пороки развития органов,
расположенных рядом с кишечником.
3. Нарушение процесса вращения
кишечника.
4. Пороки развития кишечной стенки.
5. Муковисцедоз.
6. Нарушение редукции желточного
протока.

4.

Вследствие
нарушения
процесса
реканализации.
Атрезии
Стенозы
Мембран
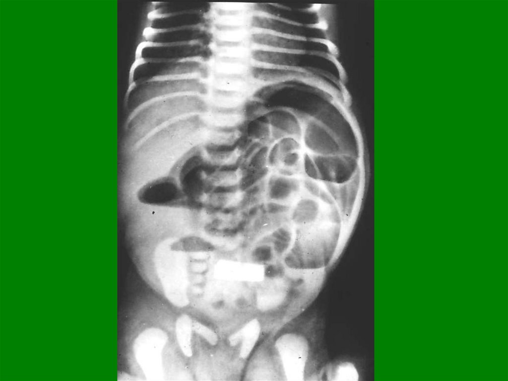
ы

5.

Вызванная
сдавлением
кишечной трубки
Сосуд
Кольцевидн
ая
поджелудоч
ная железа

6.

Вызванная
нарушением
внутриутробного
процесса вращения
кишечника: заворот
средней кишки,
синдром Ледда,
внутренние грыжи.

7.

Вызванная патологией строения кишечной
стенки (аганглиоз): болезнь Гиршпрунга.

8.

Отдельная форма обтурационной
непроходимости, формирующаяся при
закупорке просвета пищеварительного
канала вязким кишечным содержимым при
муковисцедозе:
мекониевый илеус.

9.

Заворот кишечных петель
вокруг нередуцированного
желточного протока.

10.

Непроходимость
кишечника
Обтурационная
высокая
низкая
Странгуляционная
высокая
низкая

11. КЛИНИКА И ДИАГНОСТИКА ВЫСОКОЙ ОБТУРАЦИОННОЙ КИШЕЧНОЙ НЕПРОХОДИМОСТИ.

Постепенное развитие эксикоза - гибель через несколько дней.
Перитонита, некроза ЖКТ при этой патологии не развивается.
Рвота на первые сутки (вне зависимости от кормления). Характер рвотных
масс: при локализации препятствия выше Фатерова сосочка – содержимым
желудка без примеси желчи; ниже Фатерова сосочка – с примесью желчи в
виде «зелени». Рвота продолжается и далее, характер рвотных масс с
течением времени не меняется.
Стул в первые сутки встречается практически всегда: самостоятельный или
после клизмы; одно, двукратный; после этого стула нет (за исключением
частичной непроходимости). Характер стула: при локализации препятствия
выше Фатерова сосочка – мекониальный (из-за наличия в нём желчи); ниже –
сероватый, обесцвеченный.
Болевая реакция ребёнка в виде крика, беспокойства - отсутствует.
Живот может быть вздут в эпигастрии (после рвоты вздутие может исчезнуть),
в остальных отделах запавший либо обычной конфигурации; мягкий,
безболезненный.
Рентгенография в прямой проекции и вертикальном положении выявляет
наличие одного или двух газовых уровней (в эпи- и мезогастрии) на фоне
отсутствия газа в остальной брюшной полости.

12.

Рентгенография в прямой
проекции и вертикальном
положении
Наличие одного или двух
газовых уровней (в эпи- и

13. КЛИНИКА И ДИАГНОСТИКА ВЫСОКОЙ СТРАНГУЛЯЦИОННОЙ КИШЕЧНОЙ НЕПРОХОДИМОСТИ.

Данная непроходимость может возникнуть как в первые сутки жизни,
так и в любой другой день периода новорождённости (при
возникновении заворота).
Без оперативного лечения – очень быстрый некроз кишечника.
Боли в животе периодические ( крик, беспокойство).
Рвота всегда (!) с примесью желчи, характер рвотных масс со
временем не меняется.
Стул в первые часы после возникновения беспокойства и рвоты
отсутствует, а затем появляется в виде «вишнёвого», может содержать
сгустки крови.
Живот может быть вздут в эпигастрии, в остальных отделах запавший
либо обычной конфигурации . При пальпации напряжён, негативная
реакция в виде крика, беспокойства.
Рентгенологическая картина в первые сутки жизни соответствует
таковой при высокой обтурационной непроходимости. При более
поздних сроках возникновения рентгенологическая картина низкой
кишечной непроходимости (множественные газовые уровни).

14.

РЕНТГЕНОЛОГИЧЕСКАЯ
КАРТИНА ПРИ
ВОЗНИКНОВЕНИИ
ЗАВОРОТА В ПЕРВЫЕ
СУТКИ ЖИЗНИ

15. КЛИНИКА И ДИАГНОСТИКА НИЗКОЙ ОБТУРАЦИОННОЙ КИШЕЧНОЙ НЕПРОХОДИМОСТИ.

Развитие перитонита обычно на третьи сутки
Рвота возникает в конце первых –начале вторых суток. Вначале рвотные массы «зелень», далее имеют неприятный запах и коричневатый цвет («каловая» рвота).
Стул отсутствует, после клизмы - лишь ослизнённое отделяемое. В связи с этим очень
важно следить за наличием стула у ребёнка первых суток жизни. (При отсутствии
патологии меконий должен отойти в течение первых 12 ,в крайнем случае, 24 часов).
Если этого не происходит, надо выполнить очистительную клизму или хотя бы провести
газоотводную трубку в прямую кишку. Отсутствие при этом стула либо следов мекония на
трубке уже само по себе говорит о наличии низкой непроходимости.
Живот. В первые сутки, а иногда и на вторые, объективная патологическая симптоматика
со стороны живота в большинстве случаев отсутствует. : Живот не увеличен в объёме,
мягкий, безболезненный. При нарастании перитонита (вторые - третьи сутки) появляется
беспокойство ребёнка, живот увеличивается в объёме, пальпация выявляет напряжение
передней брюшной стенки, негативную реакцию в виде крика, беспокойства. При
отсутствии лечения на четвёртые сутки появляются типичные визуальные признаки
перитонита у новорождённых (передняя брюшная стенка гиперемирована, как бы
лоснится, расширена подкожная венозная сеть, имеется отёк наружных половых
органов).
Рентгенологическая картина в большинстве случаев носит характер множественных
газовых уровней разного калибра, расположенных чаще всего в эпи- и мезогастрии.
Следует помнить, что иногда (обычно при частичной непроходимости) в течение первыхвторых суток после рождения газовых уровней может и не быть; имеется лишь
обеднение газом полых органов брюшной полости.

16.

17. КЛИНИКА И ДИАГНОСТИКА НИЗКОЙ СТРАНГУЛЯЦИОННОЙ КИШЕЧНОЙ НЕПРОХОДИМОСТИ.

Данный вид непроходимости приводит к некрозу завёрнутой или ущемлённой петли
кишки, который возникает в течение нескольких часов. В последующем клиника
непроходимости сочетается с клиникой перитонита.
Может начаться в любой день периода новорождённости.
Рвотные массы содержат желчь, спустя 12-24 часа имеют характер «каловой».
Стул в первые часы после начала заболевания возможен (опорожняются отделы
кишечника, расположенные ниже места препятствия - в этом случае стул не имеет
патологических примесей). В дальнейшем стул может носить характер геморрагического:
«малиновое желе», окраска в вишнёвый цвет, сгустки крови.
Болевая субъективная реакция в виде крика, беспокойства проявляется с самого
начала заболевания.
Объективно: с начала заболевания живот не увеличен в объёме, но напряжён и
болезненен. В отличие от низкой обтурационной непроходимости, перитонеальные
явления нарастают быстро: уже через несколько часов живот увеличивается в объёме,
нарастают напряжение передней брюшной стенки и негативная реакция при пальпации.
Типичные визуальные признаки перитонита у новорождённых (см. выше), обычно
появляются (при отсутствии лечения) уже на вторые сутки от начала заболевания.
В первые часы, а иногда и в первые сутки от начала заболевания типичных
рентгенологических признаков низкой кишечной непроходимости в виде
множественных газовых уровней может и не быть. Чаще всего они появляются спустя 6-8
часов от начала заболевания. Следует помнить о необходимости выполнять
рентгенологическое обследование в прямой проэкции в вертикальном положении
ребёнка.

18. Лечение врождённой кишечной непроходимости

Предоперационная подготовка
При ургентной патологии:
2 часа (регидратация: объём – половина дефицита веса).
В остальных случаях: регидратация+восполнение
нормальной суточной потребности в жидкости
+восполнение патологических потерь.
Соотношение солевые/бессолевые р-ры:
гипотоническая дегидратация – 1/3
изотоническая дегидратация – 1/4
гипертоническая дегидратация – 1/5
V за час = V общий / кол-во часов переливания
Кол-во капель в минуту = V за час / 3

19. Классификация аноректальных атрезий:

1. а) Атрезия анального отверстия
б) Атрезия прямой кишки.
в) Атрезия анального отверстия и прямой кишки.
2. а) Низкая атрезия.
б) Высокая атрезия.
3. а) Атрезия без свищей.
б) Атрезия со свищами (в мочевую систему, в
половую систему, на промежность).

20. МЕТОДЫ ДОПОЛНИТЕЛЬНОГО ОБСЛЕДОВАНИЯ ПРИ АНОРЕКТАЛЬНЫХ АТРЕЗИЯХ И СТЕНОЗАХ:

1. УЗИ (выполняется в первые 10
часов жизни).
2. Инвертограмма по Вангенстину
(выпоняется через 24 часа после
рождения).
3. Ирригография (при стенозах или
промежностных свищевых формах
атрезии).

21.

22.

23. Семиотика и диагностика приобретенной кишечной непроходимости

24.

Кише́чная непроходи́мость
(лат. ileus) — синдром,
характеризующийся частичным или
полным нарушением продвижения
содержимого по пищеварительному
каналу и обусловленный
механическим препятствием или
нарушением двигательной функции
кишечника.

25.

У детей, как и у взрослых,
приобретенную кишечную
непроходимость разделяют на два
основных вида — механическую и
динамическую. В группе механической
непроходимости выделяют
обтурационную, странгуляционную,
инвагинацию кишечника,
узлообразование и заворот.
В группе динамической : паретическую
и спастическую

26.

В свою очередь причиной
обтурационной непроходимости
нередко является копростаз при
врожденном стенозе прямой кишки,
болезни Гиршпрунга, мегаколоне или
свищевой форме атрезии прямой
кишки. Странгуляционная
непроходимость иногда вызывается
нарушением обратного развития
желточного протока или следствием
других пороков развития.

27.

В практике детской хирургии
чаще всего приходится
сталкиваться со спаечной
кишечной непроходимостью,
инвагинацией кишечника,
динамической
непроходимостью.

28. Спаечная кишечная непроходимость

Наиболее часто спаечная кишечная
непроходимость возникает после
операции по поводу острого
аппендицита (около 80 % ),
значительно реже — после
лапаротомии при пороках развития
кишечника, кишечной инвагинации и
травматических повреждениях органов
брюшной полости.

29.

Классификации острой
спаечной кишечной
непроходимости (ранняя и
поздняя с разграничением
обеих на острую и подострую
формы) целесообразно в
поздней спаечной
непроходимости выделить
еще и сверхострую форму
заболевания.

30. Клиника и диагностика

Сверхострая форма СКН проявляется
клинической картиной, подобной шоковому
состоянию. В ранние сроки отмечаются
токсикоз, быстрое нарастание явлений
эксикоза, возникает резкая,
схваткообразная боль в животе, во время
которой больной временами не находит
себе места, появляются неукротимая рвота,
выраженное усиление перистальтики. При
позднем поступлении резко выражена
интоксикация, отмечаются обильная,
застойного характера рвота (каловая рвота),
«перитонеальный» живот, перистальтика
кишечника резко ослаблена или
отсутствует. Такая картина наиболее
характерна для странгуляционной
непроходимости.

31.

При острой и подострой формах симптомы
заболевания менее выражены, но дети
также жалуются на приступообразную боль
в животе; возникает рвота, усиливается
перистальтика кишечника. Клинические
проявления зависят от длительности
заболевания. В поздние сроки клиническая
картина характеризуется явлениями
эксикоза, многократной рвотой застойного
характера, умеренным вздутием и
асимметрией живота, более редкими, но
усиленными перистальтическими
сокращениями.

32.

Рентгенологически выявляются
множественные горизонтальные
уровни и газовые пузыри в умеренно
растянутых петлях кишечника.
Спаечная кишечная непроходимость. Обзорная рентгенограмма

33.

Послеоперационная ранняя спаечная
непроходимость

34.

Послеоперационная ранняя спаечная
непроходимость (боковая проекция)

35.

Рентгенологический метод диагностики
острой спаечной кишечной
непроходимости в среднем требует не
менее 8—9 часов и позволяет лишь
подтвердить или исключить факт
механической непроходимости
кишечника. Диагностические ошибки в
этих случаях приводят к
несвоевременным или напрасным
оперативным вмешательствам. В этом
плане перспективным и
высокоинформативным методом
диагностики является лапароскопия.

36. Лечение

Больных со сверхострой формой заболевания
оперируют в экстренном порядке после
кратковременной дооперационной подготовки.
При подострой или острой формах лечение
необходимо начинать с комплекса
консервативных мероприятий:
1) опорожнение желудка (постоянный зонд) с
периодическим его промыванием через 2—3 ч;
2) ганглионарную блокаду;
3) внутривенную стимуляцию кишечника :
а) 10% р - р хлорида натрия по 2 мл на 1 год
жизни;
б) 0,05% раствор прозерина по 0,1 мл на 1 год
жизни;
4) сифонную клизму через 30—40 минут после
стимуляции.

37.

Одновременно рентгенологически
контролируют пассаж взвеси сульфата
бария по кишечнику. Эти мероприятия
проводят на фоне коррекции
нарушений гомеостаза, стабилизации
гемодинамики, восстановления
микроциркуляции. Применение
указанной тактики в подострой и
острой формах позволяет купировать
спаечную кишечную непроходимость

38.

Хирургическое лечение при безуспешности
консервативных мероприятий заключается в
устранении препятствия (рассечение спаек).
При этом принимают во внимание такие
факторы, как распространенность спаечного
процесса, выраженность пареза кишечника
и частота рецидивов.
При тотальном спаечном процессе даже в
остром периоде возможно выполнение
полного висцеролиза и горизонтальной
интестинопликации (операция Нобля ) с
помощью медицинского клея без наложения
шов.

39.

В последние годы в диагностике и лечении
острой спаечной кишечной непроходимости
во многих клиниках с успехом применяется
лапароскопическое исследование.
Выполнение лапароскопических операций с
использованием эндовидеосистемы дает
возможность купировать кишечную
обструкцию и избегать лапаротомии более
чем у 90% больных с острой спаечной
кишечной непроходимостью, что
свидетельствует о высоких лечебных
возможностях метода.

40. Обтурационная непроходимость

Причинами обтурационной
непроходимости у детей чаще
всего являются копростаз, реже —
опухоль, аскариды.
Копростаз — закупорка кишечника
плотными каловыми массами.
Встречается у детей в любом
возрасте.

41.

Причиной ее могут быть вялая
функция кишечника у ослабленных
детей, а также порок развития мышц
передней брюшной стенки,
сопровождающийся атонией органов
брюшной полости. Часто развитию
копростаза способствуют аномалии и
пороки развития толстой кишки
(мегадолихоколон, болезнь
Гирширунга, врожденное и рубцовое
сужение прямой кишки).

42. Клиника и диагностика

В анамнезе всегда имеются указания
на ранний запор. Стул, как правило,
удается получить только после
очистительной клизмы. Неправильный
режим питания и недостаточный уход
за ребенком приводят к каловым
завалам, образованию каловых
камней, которые в ряде случаев
принимают за опухоль брюшной
полости

43.

При полной обтурации кишечного просвета
состояние ребенка ухудшается, нарастает
вздутие живота, появляется рвота,
развиваются явления интоксикации.
Провести дифференциальную диагностику
между копростазом и опухолью кишечника
помогает консистенция опухолевидного
образования, которая при копростазе имеет
тестоватый характер. Отмечается
положительный симптом «ямки»,
остающейся при надавливании. В
сомнительных случаях применяют
контрастное рентгенологическое
исследование(в том числе РКТ), во время
которого контрастная смесь обтекает
каловый камень со всех сторон и тень его
ясно контурируется.

44. Лечение

Необходимо настойчивое применение
повторных клизм с 1 %(2-5%)
раствором натрия хлорида комнатной
температуры. Если обычные клизмы
не помогают, делают повторно
сифонные клизмы до полного
размывания каловых масс и
восстановления проходимости
кишечника.

45.

Помимо сифонных клизм, назначают
диету, богатую клетчаткой,
растительное или вазелиновое масло
внутрь, легкие послабляющие
средства, курс электростимуляции
кишечника аппаратом «Амплипульс»,
всего 15—20 сеансов.
После ликвидации копростаза
производят рентгеноконтрастное
исследование кишечного тракта.

46.

Глистная непроходимость в последние
годы практически не встречается.
Причиной закупорки в описанных
наблюдениях являлся клубок аскарид,
остановившихся у илеоцекального
клапана. Если консервативными
мероприятиями (сифонные клизмы)
устранить непроходимость не удается,
осуществляют оперативное
вмешательство. После операции
назначают противоглистное лечение.

47. Кишечная инвагинация

КИШЕЧНАЯ ИНВАГИНАЦИЯ – ЭТО
МЕХАНИЧЕСКАЯ НИЗКАЯ
СТРАНГУЛЯЦИОННАЯ КИШЕЧНАЯ
НЕПРОХОДИМОСТЬ, ОПАСНАЯ
РАЗВИТИЕМ НЕКРОЗА
ВОВЛЕЧЁННЫХ В
ИНВАГИНАЦИОННЫЙ ПРОЦЕСС
УЧАСТКОВ КИШЕЧНИКА.

48. КИШЕЧНАЯ ИНВАГИНАЦИЯ

Самай частый вариант приобретенной
механической кишечной непроходимости у детей
Частота: Германия 60,4 на 100 тыс детей до года
Япония 180-190 на 100 тыс детей до года
Летальность
(США 1979-2007)

49. ЭПИДЕМИОЛОГИЯ

У мальчиков в 2 раза чаще
Возраст: от 4 до 9 мес.
старше 5 лет
- 60-70%
- 10%
Идиопатическая
Органические причины
- 93-95%
(Мек.диверт, опухоли, др.)
- 5-7%

50. АНАТОМИЧЕСКИЕ КОМПОНЕНТЫ ИНВАГИНАЦИОННОГО ПРОЦЕССА:

Инвагинат (с головкой инвагината).
Влагалище инвагината.

51. Классификация кишечной инвагинации:

1. Тонко-тонкокишечная.
2. Тонко-толстокишечная
(чаще всего подвздошнослепоободочная).
3. Толсто-толстокишечная.

52. АНАТОМИЧЕСКИЕ ВАРИАНТЫ

Слепо-ободочная 69,7%
Тонкокишечная 3,4%
Подвздошно-ободочная 24%

53. Тонко-толсто- кишечная инваги- нация.

Тонкотолстокишечная
инвагинация.

54. Толсто-толсто и тонко-тонкокишеч-ная инвагинация

Толстотолсто и
тонкотонкокишечная
инвагинация

55. Кишечная инвагинация чаще всего встречается в возрастной группе детей 4 – 9 месяцев жизни.

56. 1.Функциональные. 2.Функционально- анатомические.

ПРИЧИНЫ ИНВАГИНАЦИИ У
ДЕТЕЙ:
1.Функциональные.
2.Функциональноанатомические.

57. ФУНКЦИОНАЛЬНЫЕ ПРИЧИНЫ:

1. Неправильное введение прикорма и
докорма (по количеству и качеству).
2. Резкое изменение регулярности и
кратности питания.
3. Резкое изменение характера
питания.
Данные причины приводят к дискоординации
сокращения продольных и циркулярных
мышечных волокон кишечной стенки и
возникновению волн антиперистальтики.

58. ФУНКЦИОНАЛЬНО- АНАТОМИЧЕСКИЕ ПРИЧИНЫ (ниже указаны только анатомические предпосылки)

ФУНКЦИОНАЛЬНОАНАТОМИЧЕСКИЕ
ПРИЧИНЫ (ниже указаны
только анатомические
предпосылки)
Дивертикул Меккеля.
Эмбриональные патологические связки и
спайки в брюшной полости.
Полипы кишечника.
Новообразования брюшной полости.
Мезаденит.
Недостаточность баугиниевой заслонки.

59. Субъективная клиника кишечной инвагинации:

Боли в животе, проявляющиеся в виде
приступообразного крика, беспокойства ребёнка.
Рвота - вначале рефлекторная (неизменённым
содержимым желудка), затем, как следствие
низкой кишечной непроходимости, с примесью
желчи.
В первые часы возможно наличие нормального
стула (опорожнение отделов кишечника ниже
места инвагинации), затем (через 4-6 часов) –
выделение из анального отверстия крови
вишнёвого цвета, смешанной со слизью.

60. ОБЪЕКТИВНАЯ КЛИНИЧЕСКАЯ КАРТИНА ПРИ КИШЕЧНОЙ ИНВАГИНАЦИИ

Пальпируемое объёмное образование
в брюшной полости, обычно в правом
мезогастрии и подреберье.
Болезненность при пальпации
брюшной стенки, проявляющее себя
криком ребёнка.
Защитное мышечное напряжение
передней брюшной стенки.

61. Дополнительные методы исследования, применяемые для диагностики кишечной инвагинации: 1. Рентгенологические: а) обзорная

рентгенография органов
брюшной полости (вертикально, в
прямой проэкции);
б) ирригография с бариевой взвесью
или воздухом.
2. УЗИ органов брюшной полости.

62.

«Стоячая» петля кишки

63. Множе-ствен-ные газовые уровни

Множественные
газовые
уровни

64.

Ирригография с воздухом
Симптом «серпа»

65. Симптом «серпа» при ирригогра- фии

Симптом
«серпа» при
ирригографии

66.

Симптом «серпа» при
ирригографии с барием

67.

Симптом
«какарды» при
ирригографии с барием

68. Динамическая непроходимость:

Динамическая непроходимость —
одна из самых частых форм
кишечной непроходимости в
детском возрасте. Различают
паралитическую и спастическую
формы. Преобладает первая.

69.

У новорожденных и грудных детей
динамическая непроходимость
возникает как результат
функциональной неполноценности
пищеварительной системы на фоне
родовой черепно-мозговой травмы,
ОРВИ,пневмонии, кишечных
заболеваний и сепсиса, а также после
операций на брюшной и грудной
полостях. У старших детей
динамическая непроходимость чаще
развивается в послеоперационном
периоде.

70.

Явления паралитической
непроходимости поддерживаются
гипокалиемией, обусловленной
большой потерей солей и
жидкости с рвотными массами, а
также недостаточным
поступлением в организм калия
при парентеральном питании.

71. Клиника и диагностика

Для динамической
непроходимости характерны
повторная рвота с примесью
зелени, нарастающее вздутие
живота, задержка стула и газов и
выраженная интоксикация. В
результате высокого стояния
диафрагмы затрудняется
дыхание. Живот мягкий,
перистальтика не
прослушивается.

72.

При рентгенологическом
исследовании выявляют
множественные чаши Клойбера,
однако диаметр их невелик и
расширение равномерно, в то
время как при механической
непроходимости особенно резко
расширены кишечные петли над
препятствием.

73.

Парез кишечника при верхнедолевой
правосторонней пневмонии

74.

Парез кишечника при вирусной
инфекции.
English     Русский Rules