2.03M
Category: medicinemedicine

Воспаление - защитная реакция организма

1.

2.

3.

4.

5.

Воспаление- реакция организма, направленная на
ликвидацию или отграничение от здоровой ткани
очага повреждения и вызвавших его патогенных
факторов с последующим максимальным
восстановлением ткани с минимальными
функциональными нарушениями.

6.

Фазы воспаления
1. Альтерация - повреждение ткани, пусковой механизм воспаления
2.Экссудация - образование экссудата и воспалительного клеточного
пролиферата из составных частей плазмы крови, мигрирующих клеток
крови, фагоцитов.Эта фаза играет важную роль в развертывании
всего комплекса тканевых изменений
3. Пролиферация - размножение клеток. В этот период формируется
клеточный состав воспалительного инфильтрата.

7.

8.

9.

10.

11.

Основные клеточные элементы воспаления

12.

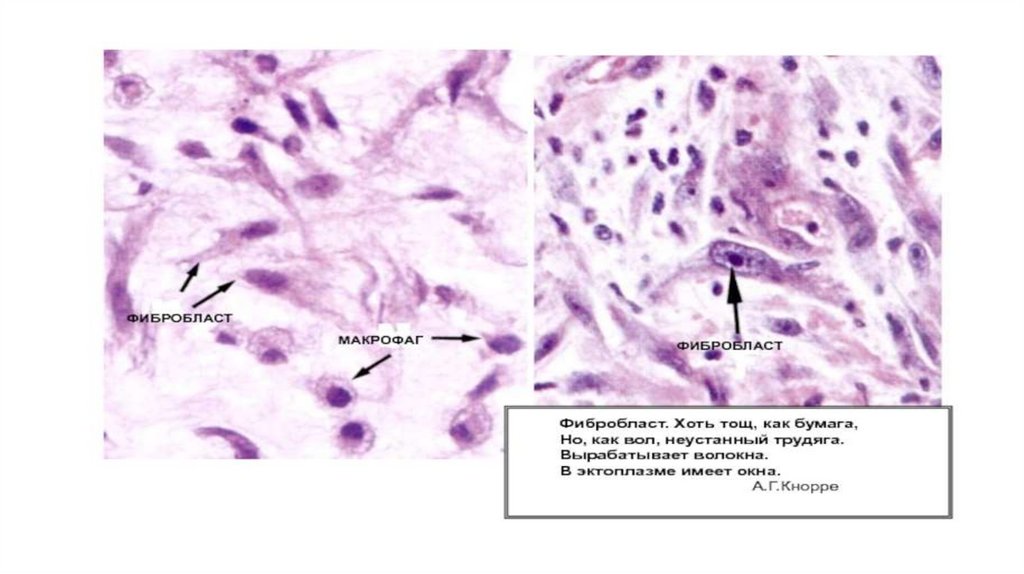
Фибробласты - наиболее распространенные клетки
соединительной ткани.
Форма клеток - отросчатая, границы отчетливые.
Цитоплазма неравномерноокрашенная, встречаются
вакуоли. Ядра бледно окрашены, хроматин пылевидный
Превращаются в фиброциты

13.

14.

15.

Гистиоциты - клетки обычно имеют округлую форму, однако
могут встречаться клеточные элементы неправильных очертаний.
Ядро округлой или овальной формы, часто располагается
эксцентрично, светлоокрашенное.Среди малых гистиоцитов много
клеток с бобовидными или почковидными ядрами.
Цитоплазма светлая, иногда нежно вакуолизирована и может
содержать фагированные частицы.
Гистиоциты=макрофаги.

16.

17.

18.

Гистиоциты

19.

Гигантские многоядерные гистиоциты - « клетки
инородных тел», в 2-10раз больше обычных малых
гистиоцитов. Ядра округлые, с нежной сетью хроматина,
распределены в цитоплазме равномерно, но иногда могут
быть сосредоточены в центре. Чаще имеет 20-40 ядер,
иногда до 100. Цитоплазма обильная, эозинофильная.
Границы клеток четкие.

20.

21.

22.

23.

24.

25.

Тучные клетки- тканевые базофилы

26.

27.

Виды воспаления

28.

1. Острое воспаление- преобладают нейтрофильные
лейкоциты, эозинофилы, макрофаги.
Острое воспаление может продолжаться от
нескольких часов до нескольких суток.

29.

2. Хроническое воспаление - преобладают лимфоидные
элементы и клетки плазматиченского ряда, гистиоциты.
Острое воспаление переходит в хроническое в том случае,
когда не удается устранить повреждающий агент

30.

3. Продуктивное воспаление - ( пролиферативное)образуются очаговые и диффузные инфильтраты,
которые могут быть:
полиморфно-клеточные ( лимфоцитарномоноцитарные)
-макрофагальные
- эпителиоидно-клеточные
- гигантоклеточные
-плазмоклеточные.
English     Русский Rules