Методы инструментальной диагностики
Обследование (диагностика)
Проникновение в организм
Получаемая информация
Способ получения информации
Нарушения
Выбор метода диагностики
Рентгенорадиологическая группа
ЯМР-резонансная группа
Нейровизуализация
Ультразвуковая группа
Электрофизиологическая группа
Электрофизиологическая группа
Список литературы
1.28M
Category: medicinemedicine

Методы инструментальной диагностики в неврологической клинике

1. Методы инструментальной диагностики

в неврологической клинике
Кондрашова М.А. I курс 2 группа

2. Обследование (диагностика)

Клиническое
Лабораторное
Инструментальное

3.

Классификации
инструментальных методов

4. Проникновение в организм

• Инвазивные
• Неинвазивные

5. Получаемая информация

• Визуальная информация о структурных
изменениях в НС
• Информация о функциональных
нарушениях НС
• Комплексная информация (структура +
функции)

6. Способ получения информации

• Электрофизиологические
• Биофизические
• Ультразвуковые
• Рентгенорадиологические
• ЯМР-резонансные

7. Нарушения

Структурные нарушения
Функциональные нарушения
• Рентгенорадиологические
• Электрофизиологические
• ЯМР-резонансные
• Ультразвуковые
• Ультразвуковые
• Биофизические

8. Выбор метода диагностики

• Личный опыт врача
• Анамнез
• Предполагаемая патология
• Желаемая информация
БЕЗВРЕДНОСТЬ!!!

9. Рентгенорадиологическая группа

• Рентгенограмма простая
• Рентгенограмма с контрастным веществом
(вентрикулография, ангиография,
миелография)
• Простая и компьютерная
рентген-томография

10.

11.

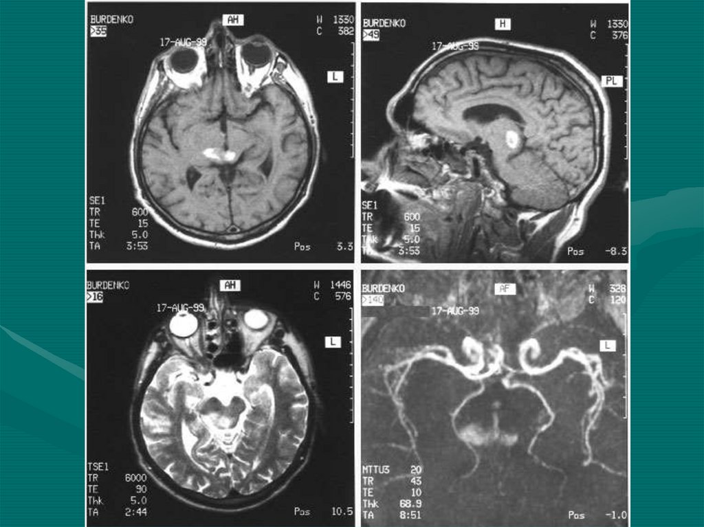
12. ЯМР-резонансная группа

• МРТ (Магнитно-резонансная томография)
• МРС (Магнитно-резонансная спектроскопия)
• Позитронно-эмиссионная томография
• Энцефалосцинтиграфия
• Энцефалоангиосцинтиграфия

13.

14.

15.

16. Нейровизуализация

Совокупность
функциональных явлений и
технологических методов,
создающая прижизненное
изображение ЦНС.

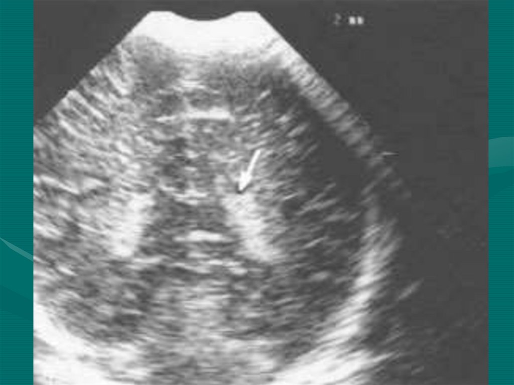
17. Ультразвуковая группа

• Эхоэнцефалография (ЭхоЭГ)
• Ультразвуковая допплерография (УЗДГ)
• Двойная ультразвуковая допплерография
• Транскраниальная допплерография
• Нейросонография

18.

19.

20.

21. Электрофизиологическая группа

• Простая электроэнцефалография (ЭЭГ)
• Видео-ЭЭГ-мониторинг
• Холтеровский мониторинг
• Полисомнография
• Реоэнцефалография (РЭГ)
• Кортикография и субкортикография

22.

23.

24. Электрофизиологическая группа

• Метод вызванных потенциалов ВП
• Электромиография (глобальная и локальная)
• Стимуляционная миография
• Транскраниальная магнитная стимуляция
(ТМС)

25. Список литературы

• Л.О. Бадалян, Невропатология, М., Академия,
2009
• Журнал «Лiкування та Дiагностика», 1997, 1,
стр.8
English     Русский Rules