Тема
Общие сведения о возбудителе
Особенности клиники гонореи в настоящее время
Пути передачи инфекции
Пути распространения возбудителя по организму
Классификация гонореи
Клинические проявления гонорейного процесса
Клинические проявления гонорейного процесса
Экстрагенитальные формы
Диагностика гонореи
Принципы лечения гонореи
Критерии излеченности гонореи
Виды провокаций
31.62M
Category: medicinemedicine

Гонорея и негонококковые заболевания мочеполовых органов

1. Тема

Гонорея и негонококковые
заболевания мочеполовых органов

2. Общие сведения о возбудителе

2
Гонококк (Neiser, 1879)
Диплококк
Располагается внутри лейкоцитов
Грам (-)
Поражает цилиндрический эпителий
Может образовывать L-формы
Может продуцировать β- лактамазу

3. Особенности клиники гонореи в настоящее время

Увеличение средней
продолжительности инкубационного
периода
Увеличение торпидно протекающих и
асимптомных форм
Смягчение воспалительной реакции
3

4. Пути передачи инфекции

4
Половой
Неполовой
● контактно-бытовой
(у девочек)
● при прохождении через
родовые пути
матери

5. Пути распространения возбудителя по организму

5
Континуитатный (по протяжению)
Антиперистальтический
Лимфогенный
Гематогенный

6. Классификация гонореи

6
Свежая (до 2-х месяцев)
● острая
● подострая
● торпидная
Хроническая (свыше 2-х месяцев)
Латентная
Экстрагенит. Проявления: конъюктивит, стоматит,
глоссит, гингивит, проктит
Диссиминир: миокардиты,

7. Клинические проявления гонорейного процесса

7
У мужчин
Уретрит (остр, подостр, хрон)
Простатит
Эпидидимит
Везикулит
Поражение бульбоуретральных
желез (куперит, морганьит, литтреит)

8.

8

9.

9

10.

11.

11

12.

13.

14.

15.

16.

17. Клинические проявления гонорейного процесса

17
У женщин
У девочек
Эндоцервицит
Вульвовагинит
Уретрит
Уретрит
Проктит
Проктит
Бартолинит
Эндометрит
Метроэндометрит
Сальпингит
Оофорит
Пельвиоперитонит

18.

19. Экстрагенитальные формы

Гонококковый
стоматит
Гонококковый
гингивит
Гонококковый
тонзиллит
19

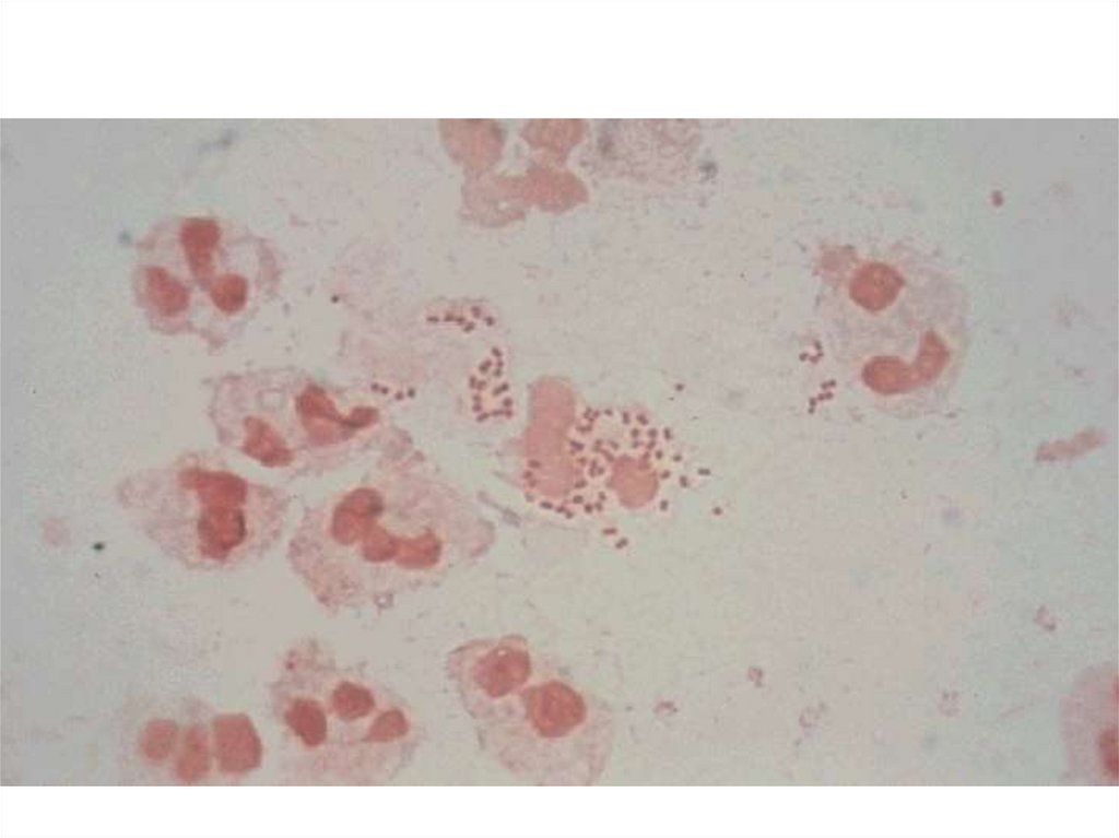
20. Диагностика гонореи

3
Диагностика гонореи
20
Микроскопический метод
(окраска по Граму)
Бактериологический метод (среды с
добавлением белка)
Реакция иммунофлюоресценции (РПИФ,
РНИФ)
ДНК-диагностика (ПЦР)
Серологический метод (реакция Борде-Жангу)

21.

22.

23.

24.

25.

26. Принципы лечения гонореи

Этиотропное
(цефалоспорины,
фторхинолоны,
макролиды,
тетрациклины,
аминогликозиды,
пенициллины,
сульфаниламиды)
26
Иммунотерапия
● специфическая
● неспецифическая
Местное

27. Критерии излеченности гонореи

Клиническое исследование
Бактериоскопическое исследование
Бактериологическое исследование
Проведение провокации
27

28. Виды провокаций

Иммунологическая
Алиментарная
Химическая
Механическая
Термическая
Физиологическая
28
English     Русский Rules