974.49K
Category: medicinemedicine

Травматические повреждения нижней челюсти: классификация, клиническая картина, диагностика

1.

Травматические
повреждения нижней
челюсти:
классификация,
клиническая картина,
диагностика.
Первая
z
помощь
Выполнил студент 3 курса 7 группы ЛФ Сёмуха Никита

2.

Классификация травматических повреждений нижней
челюсти:
z
По локализации.
1)Переломы тела челюсти:
- с наличием зуба в щели перелома;
- с отсутствием зуба в щели перелома.
2)Переломы ветви челюсти:
- собственно ветви;
- венечного отростка;
- мыщелкового отростка: основания, шейки, головки.
По характеру перелома.
- без смещения отломков; - со смещением отломков; линейные;
- оскольчатые.

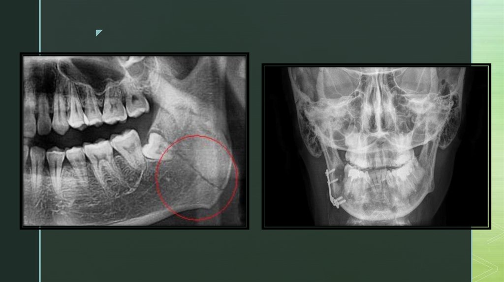
3.

z
Наиболее частая локализация
переломов нижней челюсти
срединная линия
лунка клыка и область малых
коренных зубов
угол нижней челюсти (лунка зуба
мудрости)
шейка суставного отростка

4.

z
Клиническая картина. Основные жалобы
Припухлость в околочелюстных тканях,
боль в нижней челюсти, усиливающаяся при открывании и закрывании рта,
неправильное смыкание зубов.
Резко болезненное откусывание и пережёвывание пищи
Онемение кожи в области подбородка и нижней губы.
При наличии сотрясения головного мозга может быть головокружение, головная
боль, тошнота и рвота.

5.

z
Клиническая картина
При обследовании определяется нарушение конфигурации лица за счёт
посттравматического отёка мягких тканей, гематомы, смещения подбородка в
сторону от средней линии. На коже лица могут быть ссадины, кровоподтеки,
раны.

6.

z
Диагностика
При пальпации нижней челюсти выявляется костный выступ, дефект кости или
болезненная точка, чаще в области наиболее выраженной припухлости мягких
тканей или гематомы.
Важный диагностический критерий - положительный симптом нагрузки (болевой
симптом): при надавливании на заведомо неповреждённый участок нижней челюсти
в области перелома появляется резкая боль за счёт смещения отломков и
раздражения повреждённой надкостницы.

7.

z
Первая помощь при переломе нижей
челюсти
Зафиксировать нижнюю челюсть с помощью пращевидной повязки.
2.При наличии кровотечения по возможности остановить его с
помощью стерильной повязки и тампонов.
3.При сильном (артериальном) кровотечении, которое может
возникнуть при открытых переломах, постараться пережать
поврежденный сосуд.
4 Позаботиться о том, чтобы пациент мог дышать. Для этого нужно по
возможности очистить рот от сгустков крови или рвотной массы, если
они есть, прижать язык, если он западает и затрудняет дыхание
• 5 При отсутствии открытых ран к области перелома следует
приложить холодный компресс, чтобы избежать сильного отека.

8.

z

9.

z
Спасибо за
внимание!
English     Русский Rules