43.69M
Categories: medicinemedicine advertisingadvertising

ДенталЭлит

1.

Манатина Виктория
02.10.2021 Минск
кандидат медицинских наук,
руководитель стоматологической клиники
«ДенталЭлит», г.Минск

2.

3.

4.

2013

5.

2015-2020

6.

7.

8.

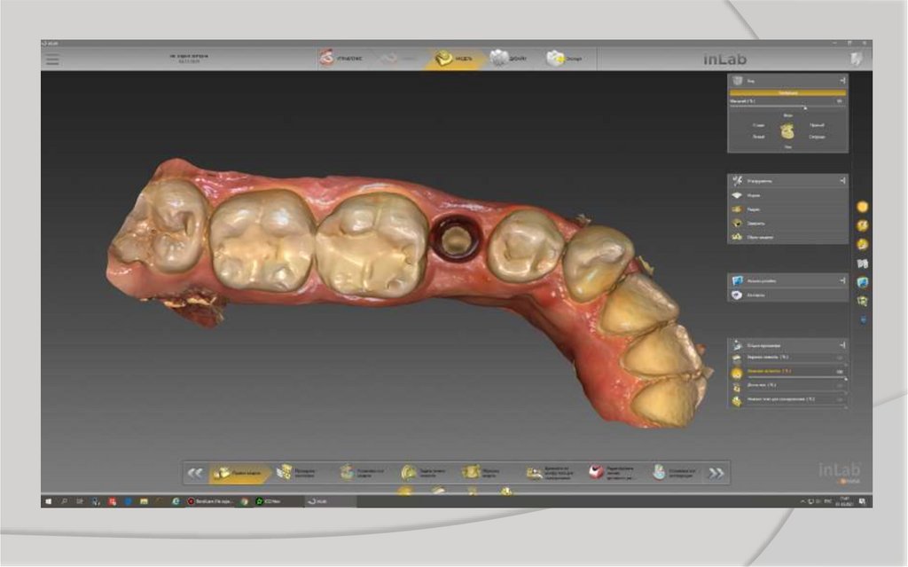
Из чего состоит система Cerec?
Сканирующее устройство
Компьютер с программным
обеспечением
Шлифовально-фрезерный
аппарат
Печь для индивидуализации
(при необходимости)

9.

СКАНЕР
• Bluecam
• Omnicam
• Primescan

10.

InEos X5

11.

Фрезерный аппарат

12.

13.

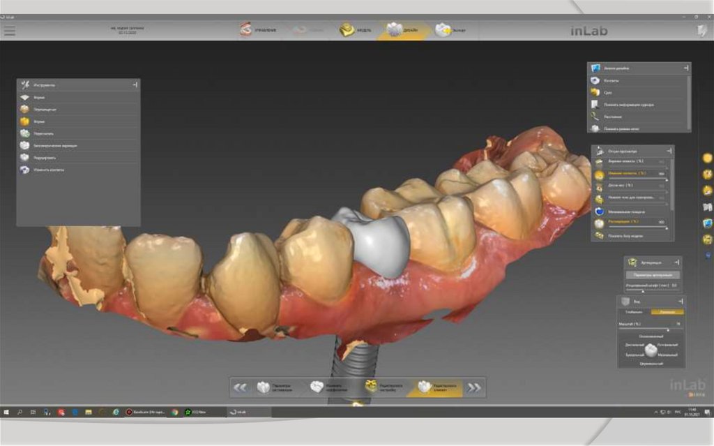
Программное обеспечение
CEREC
InLab

14.

Cerec SpeedFire

15.

Варианты комплектов оборудования для
работы в CAD/CAM
Для клиники
Для лаборатории

16.

Преимущества цифровой
стоматологии для врача и пациента:
Быстро
Точно
Комфортно
Предсказуемо

17.

Материлы для CAD/CAM
Полевошпатная керамика (vita
mark II, cerec blocks)
Дисиликат лития (e.max Cad, vita
suprinity)
Композитные материалы (tetric
CAD, Brilliant Crios)
PMMA (vita CAD-temp, Telio Cad)
Диоксид циркония

18.

Primescan
VS
Omnicam 2.0

19.

Primescan

20.

21.

22.

Omnicam

23.

24.

25.

Сканирование с имплантатов

26.

27.

28.

29.

30.

31.

32.

33.

34.

35.

inPost
Мостовидные конструкции с винтовой
фиксацией и балки на многопрофильных
абатментах

36.

37.

38.

39.

40.

Omnicam до обновления

41.

42.

43.

Omnicam с версией ПО 5.1.3

44.

45.

46.

47.

48.

49.

50.

51.

52.

53.

54.

55.

Primescan

56.

57.

58.

59.

60.

61.

62.

63.

64.

65.

66.

67.

68.

69.

70.

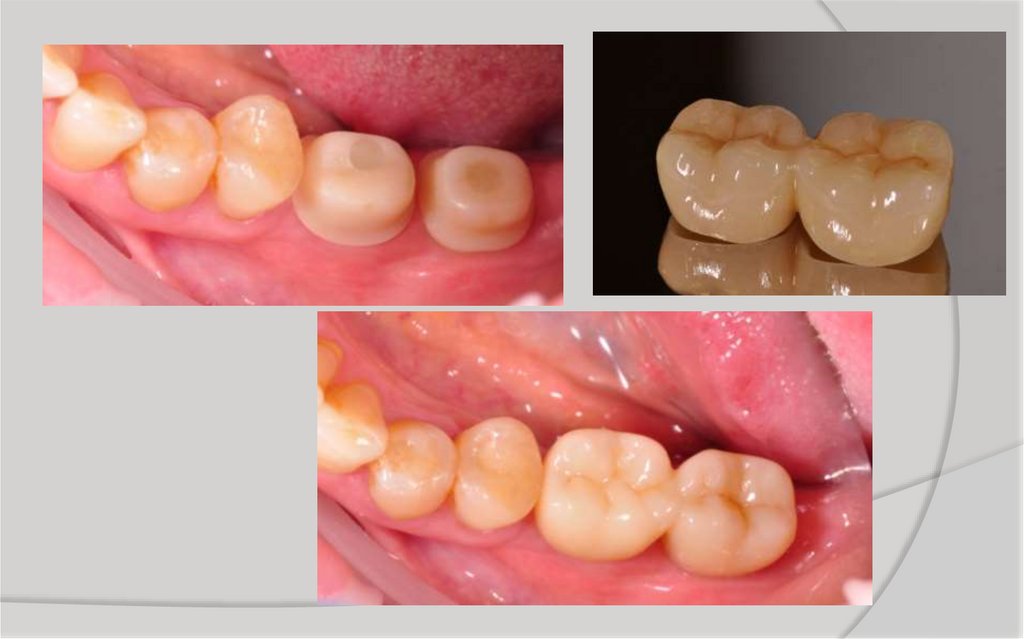
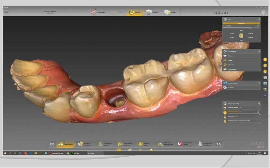
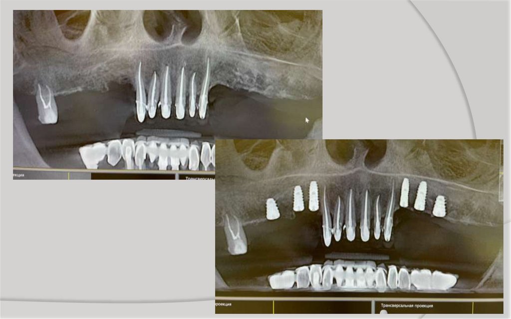
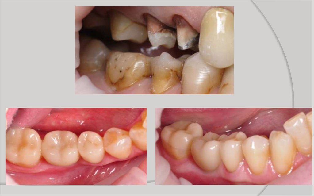
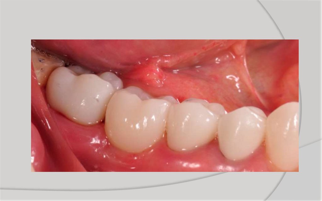
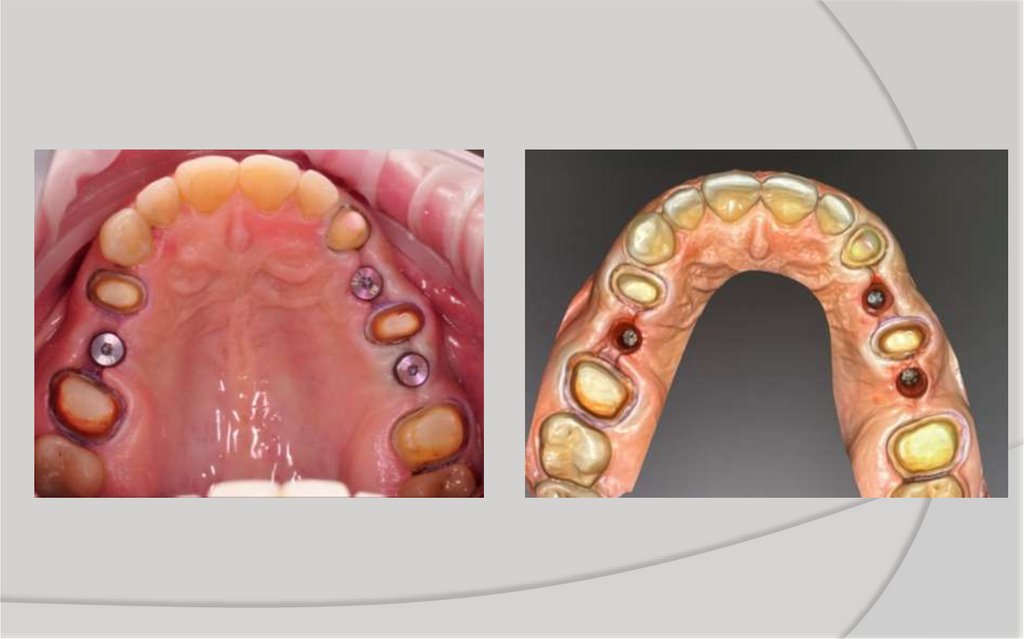
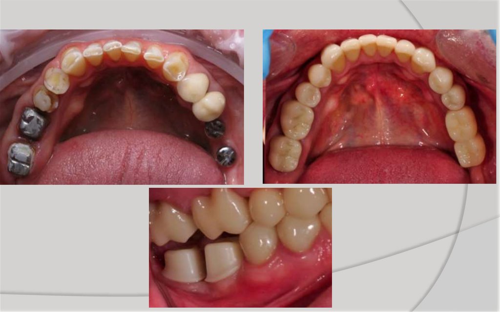
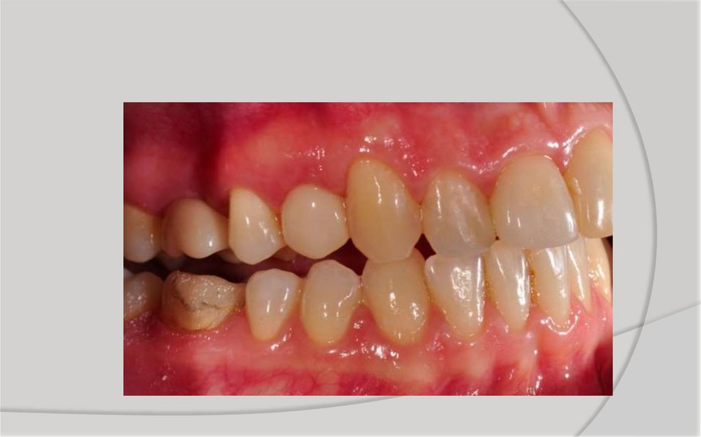
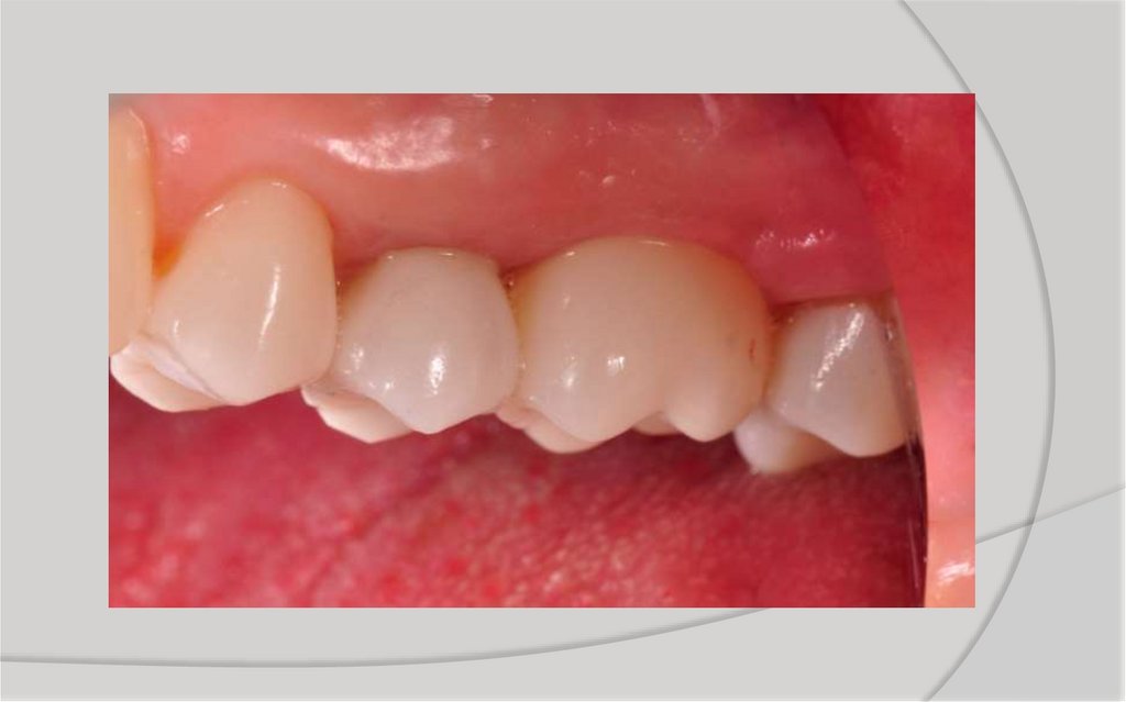
Клинические случаи

71.

72.

73.

74.

75.

76.

77.

78.

79.

80.

81.

82.

83.

84.

85.

86.

87.

Благодарю за внимание!
vikadent@gmail.com
vika_manatina
Вика Манатина
English     Русский Rules