4.93M
Category: medicinemedicine

Лучевое исследование мочевыделительной системы

1.

Лучевое исследование
мочевыделительной системы

2.

Методики УЗИ
Задний доступ
Передне-боковой доступ

3.

4.

Режим цветового допплеровского
картирования

5.

Режим энергетического
картирования

6.

Гидронефротическая трансформация
Расширение чашечно-лоханочной системы почки

7.

Мочекаменная болезнь

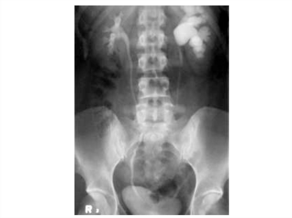
8.

Обзорная рентгенограмма органов
брюшной полости
Рентгеноконтрастные
конкременты в
проекции правой
почки

9.

Урография
• Введение водорастворимого контрастного препарата
• Серия урограмм
• Оценка расположения, размеров, формы, контуров
почки
• Оценка чашечно-лоханочной системы, мочеточников,
мочевого пузыря

10.

• Сужение
правого
мочеточника
• Удвоение левой
почки

11.

• 3Д КТ
• Неполное
удвоение
правой почки

12.

КТ с контрастом. Подковообразная почка

13.

Аномалии сращения

14.

Дистопия – аномалия
положения.
Гомолатеральная
Гетеролатеральная
Поясничная
Подвздошная
Тазовая
Субдиафрагмальная
Торакальная

15.

Гидронефротическая трансформация

16.

Пиелэктазия

17.

18.

Уретерогидронефроз

19.

20.

Цистография
Контрастное исследование
мочевого пузыря.
• Пузырно-мочеточниковый
рефлюкс?
• Форма
• Контуры
• Дефекты контрастирования
• Грыжа, дивертикул

21.

22.

Пузырно-мочеточниковый
рефлюкс (ПМР)

23.

24.

Разрыв мочевого пузыря

25.

Дивертикулы мочевого пузыря

26.

Опухоль мочевого пузыря

27.

МРТ. Поликистозная болезнь почек

28.

29.

30.

Реносцинтиграфия
English     Русский Rules