30.48M
Category:
medicine
Similar presentations:
Заболевания опорнодвигательного аппарата
Воспалительные заболевания глаз и вспомогательного аппарата
Заболевания придаточного аппарата глаза. Воспалительные заболевания конъюнктивы
Воспалительные заболевания придаточного аппарата глаза
Особенности обследования больных с повреждениями и заболеваниями опорнодвигательного аппарата
Воспалительные заболевания верхних отделов полового аппарата
Профессиональные заболевания, обусловленные функциональным перенапряжением опорнодвигательного аппарата
Сестринский уход при заболеваниях опорнодвигательного аппарата
Воспалительные заболевания
Воспалительные заболевания век, слезного аппарата, орбиты
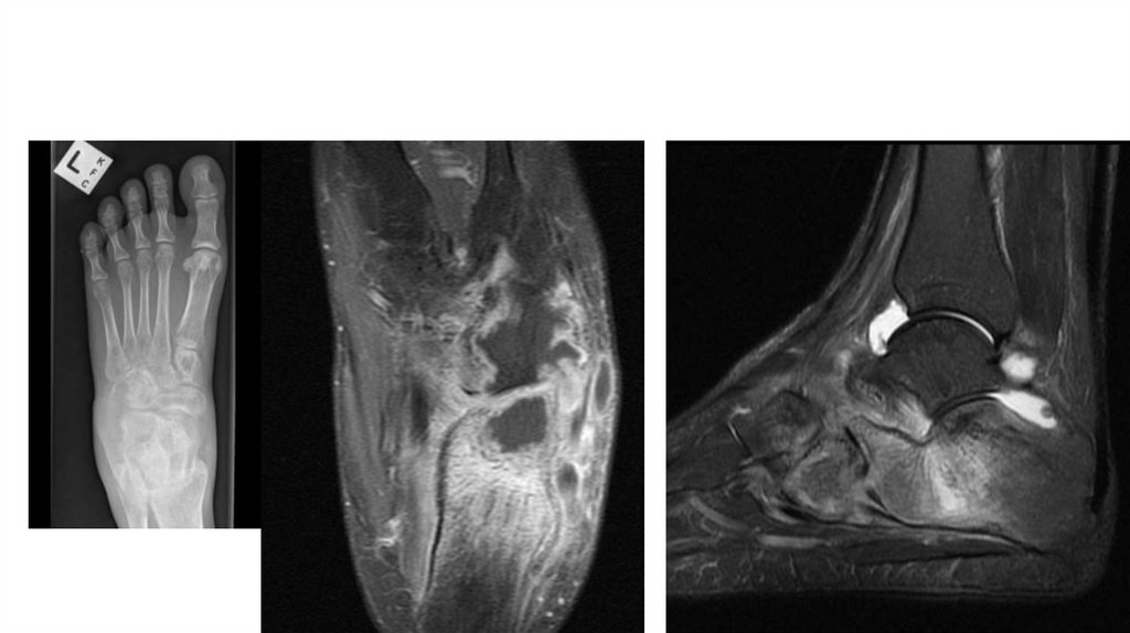
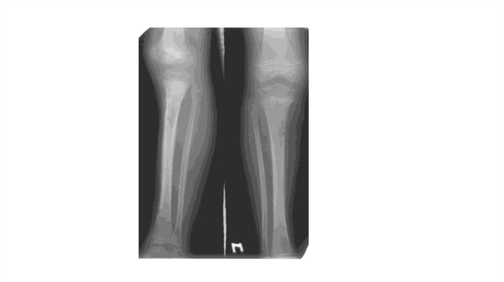
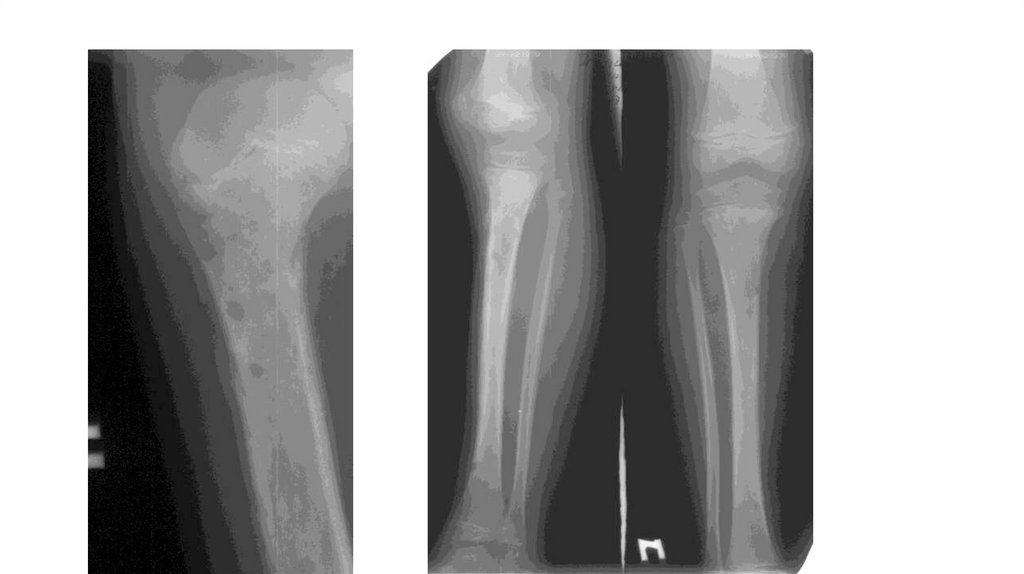
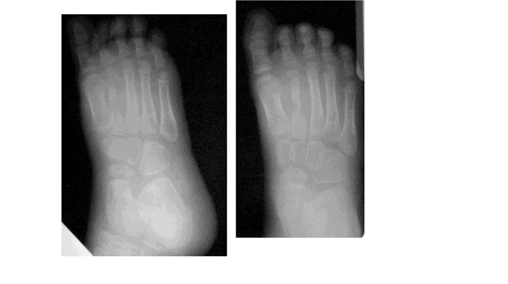
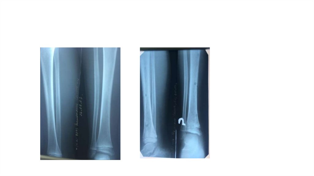
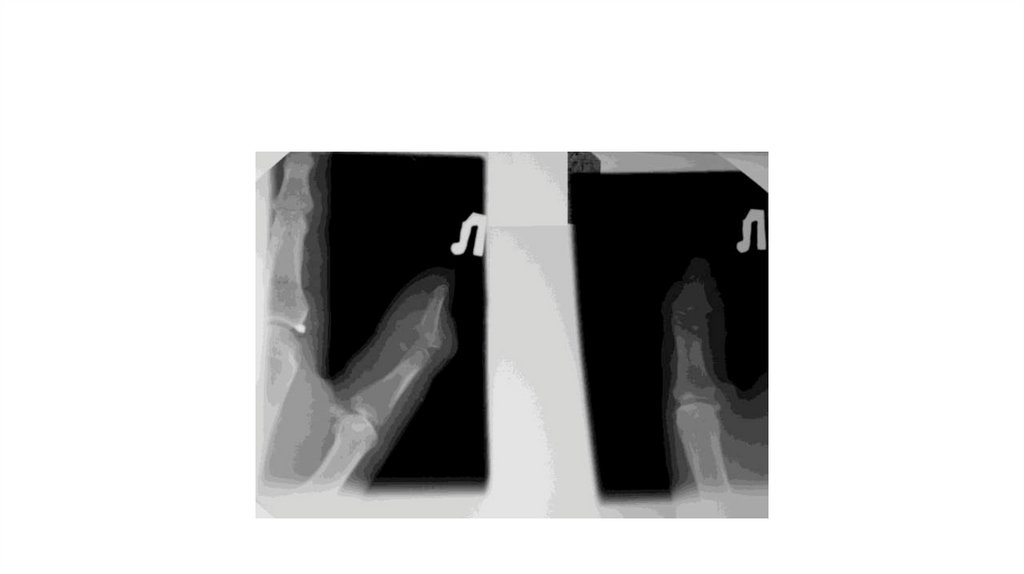
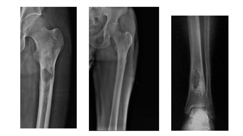
Воспалительные заболевания опорнодвигательного аппарата
1.
Практическое занятие
«Воспалительные
заболевания опорнодвигательного аппарата»
English
Русский
Rules