Большие пищеварительные железы
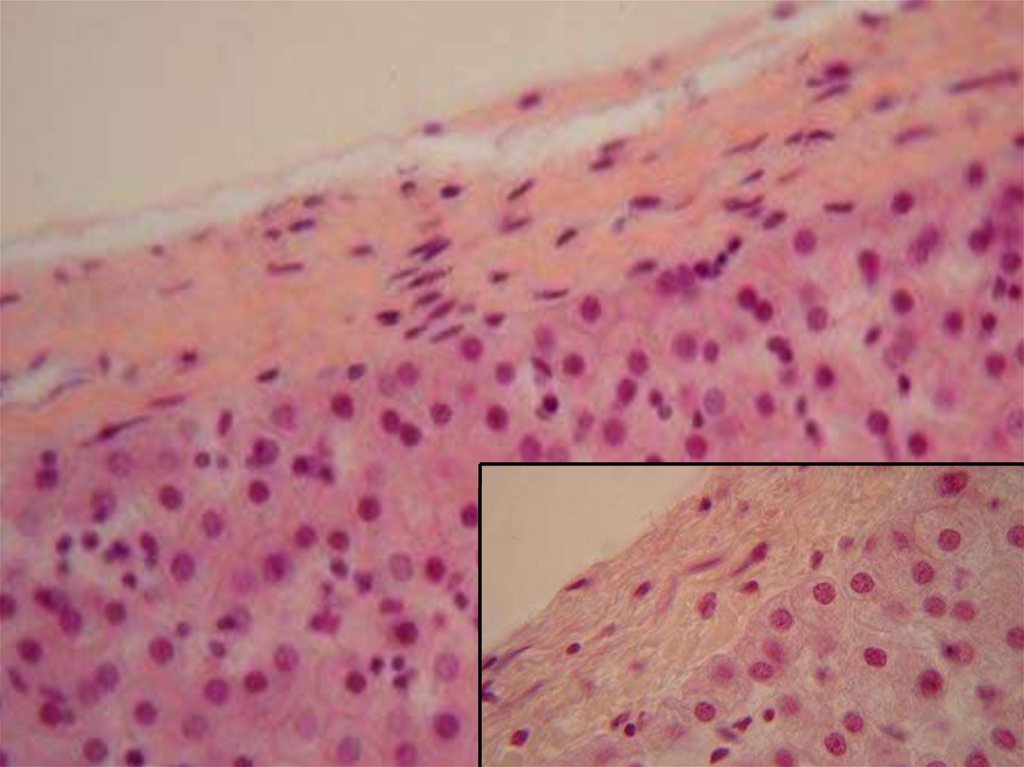
Функции печени
44.96M
Category: biologybiology

Большие пищеварительные железы. Функции печени

1. Большие пищеварительные железы

2. Функции печени


Депонирование
Участие во всех видах обмена веществ
Дезинтоксикационная
Барьерно-защитная
Синтез белков крови
Участие в регуляции свертывания крови
Секреторная (образование желчи)
Гомеостатическая
Кроветворная
Эндокринная

3.

4.

5.

6.

7.

8.

9.

10.

11.

Классическая
долька
Портальная долька
Ацинус

12.

13.

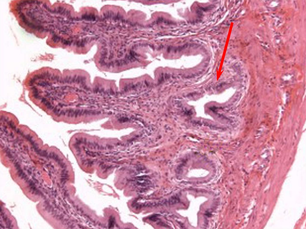
Желчный пузырь

14.

15.

16.

Поджелудочная железа

17.

18.

19.

Клетки
эндокринного
островка

20.

А- клетки

21.

В- клетки

22.

D-клетки
соматостатин
D 1-клетки
Вазоинтестинальный
полипептид

23.

РР-клетки
Панкреатический полипептид
English     Русский Rules