Хроники конца Человечества…
SARS coV
MERS CoV
2019-nCoV
Щюточка
Что происходит в организме?
Анатомия
СВЕТ
ПОЧКИ
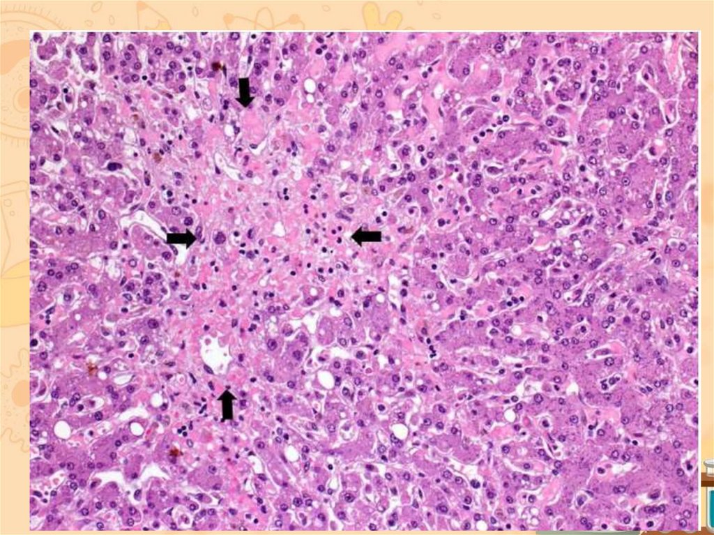
ПЕЧЕНЬ
Поперечно-полосатая мускулатура
ЭЛЕКТРОНЩИНА
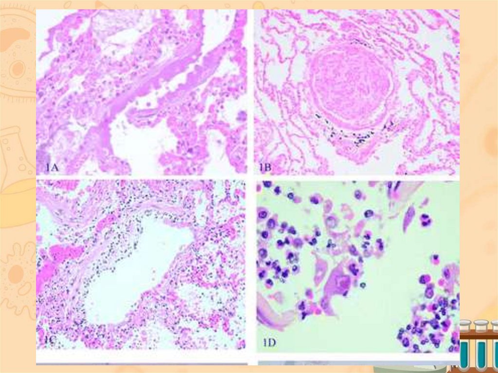
ЛЕГКИЕ
ПОЧКИ
Макрофаг инфильтрирующие гладкую мускулатуру
А на сегодня все До новых встреч
КЛИНИцИСТЫ И ПОМНИТЕ!!!!
Теперь, готов ответить на вопросы
14.73M
Category: medicinemedicine

Коронавирус 2019-nCoV. Хроники конца человечества

1. Хроники конца Человечества…

By Dr. Altruist

2. SARS coV

3. MERS CoV

4. 2019-nCoV

5.

6. Щюточка

7. Что происходит в организме?

Внелегочная
репликация
И
Полиорганное
поражение
Генерализация
Репликация
вируса в
альвеолах
Образование
синцитиев
Рабдомиолиз
Дегидратация
клеток
Интерстициальный
отек
Иммунный ответ
Разрушение
сурфактанта
Диффузное
Альвеолярное
Повреждение
Лихорадка
Коллапс
альвеол
Отек Мозга
Гипоксия
Опосредованное
И
Прямое
Поражение почек
Мио
Кардит

8.

9. Анатомия

10.

11. СВЕТ

12.

13.

14.

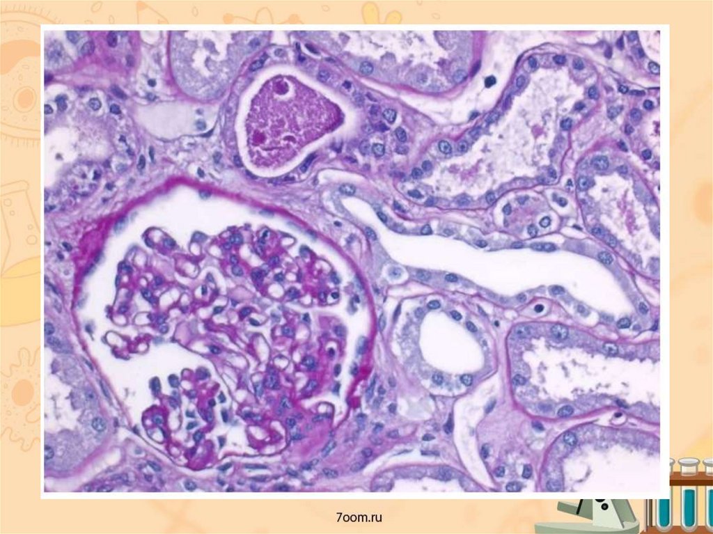
15. ПОЧКИ

16.

17. ПЕЧЕНЬ

18.

19. Поперечно-полосатая мускулатура

20. ЭЛЕКТРОНЩИНА

21.

22.

23.

24.

25. ЛЕГКИЕ

26. ПОЧКИ

27.

28. Макрофаг инфильтрирующие гладкую мускулатуру

29. А на сегодня все До новых встреч

30. КЛИНИцИСТЫ И ПОМНИТЕ!!!!

31.

32. Теперь, готов ответить на вопросы

English     Русский Rules