FAST - Focussed Assessment with Sonography for Trauma
история
история
FAST - Focussed Assessment with Sonography for Trauma
При FAST протоколе исследуются 8 стандартных точек:
FAST - Focussed Assessment with Sonography for Trauma
Клинико-анатомические аспекты при интраабдоминальных повреждениях
FAST - Focussed Assessment with Sonography for Trauma
FAST - Focussed Assessment with Sonography for Trauma
Движение свободной жидкости внутри абдоминальной полости (черные пространства)
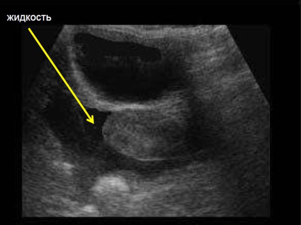
карман Морисона
FAST - Focussed Assessment with Sonography for Trauma
FAST - Focussed Assessment with Sonography for Trauma
FAST - Focussed Assessment with Sonography for Trauma
Разрыв печени
Гемоперитонеум
Гемоперитонеум
Гемоперитонеум
Правосторонний гемоторакс
FAST - Focussed Assessment with Sonography for Trauma
Разрыв селезенки
Разрыв селезенки
FAST - Focussed Assessment with Sonography for Trauma
Шкала гемоперитонеума
FAST - Focussed Assessment with Sonography for Trauma
FAST - Focussed Assessment with Sonography for Trauma
Субкостальный доступ
информация о FAST протоколе за период с 2000 по 2009 г:
FAST - Focussed Assessment with Sonography for Trauma
8.69M
Category: medicinemedicine

FAST протокол

1.

English     Русский Rules