7.70M
Category: medicinemedicine

Fast(efast)-протокол УЗИ в неотложной медицине

1.

FAST(EFAST)-ПРОТОКОЛ УЗИ
В НЕОТЛОЖНОЙ МЕДИЦИНЕ
Подготовил: Фирсанов Илья Алексеевич 303 группа

2.

УЗИ- неинвазивное исследование
организма человека с помощью
ультразвуковых волн.

3.

ИМПЕДАНС

4.

Эхогенность ткани
Анэхогенное
образование
Эхогенное
образование

5.

FAST-протокол УЗИ
Это ограниченное ультразвуковое исследование,
направленное исключительно на поиск свободной
жидкости в брюшной, в перикардиальной и
плевральных полостях, а также для определения
пневмоторакса, применяемое исключительно для
пациентов с политравмой.

6.

7.

Преимущества EFAST

8.

Правый верхний карман

9.

10.

11.

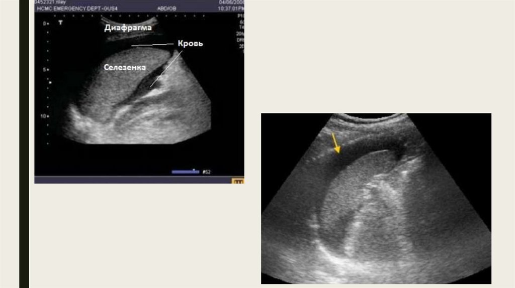
Левый верхний квадрант

12.

13.

Точка в малом тазу

14.

Субкостальное окно

15.

Точка оценки пневмоторакса

16.

Тактика действий на основе данных
FAST

17.

СПАСИБО ЗА
ВНИМАНИЕ!
English     Русский Rules