27.30M
Category: medicinemedicine

Брюшной тиф. Стадии мозговидного набухания и некроза

1.

Брюшной тиф.
Стадии мозговидного набухания и
некроза

2.

Брюшной тиф.
Стадия чистых язв с перфорацией

3.

Пейерова бляшка в стадии
мозговидного набухания

4.

Пейерова бляшка в стадии
мозговидного набухания

5.

Макрофагальная гранулема при
брюшном тифе в лимфоузле

6.

Некроз мезентериального
лимфоузла при брюшном тифе

7.

Некроз селезенки при брюшном
тифе

8.

Фибринозный колит при
дизентерии

9.

Фибринозный колит при
дизентерии

10.

Фолликулярно- язвенный колит

11.

Фибринозный ларинготрахеит при
дифтерии

12.

Гортань при дифтерии

13.

Альтеративно - продуктивный
миокардит при дифтерии

14.

Менингококкцемия.
Геморрагическая сыпь и
кровоизлияния в надпочечники

15.

Некротическая ангина при скарлатине

16.

Менингококковый гнойный
менингит

17.

Менингококковый гнойный
менингит

18.

Спинной мозг при полиомиелите

19.

Определение
Сепсис

заболевание,
полиэтиологичное
нециклического
типа, возникающее в условиях
нарушенной
реактивности
организма при постоянном или
периодическом проникновении
из местного очага инфекции в
кровеносное русло различных
микроорганизмов и их токсинов

20.

Местные изменения при
сепсисе
• Входные ворота – септический
очаг имеет характер гнойного,
гнойно-некротического
воспаления или некроза
Общие изменения
ССВО
синдром
•Гиперплазия/гипоплазия костного
мозга, селезенки, лимфатических
узлов;
•Воспалительные изменения носят
интерстициальный характер;
•Васкулит в сосудах
микроциркуляторного русла;
•Геморрагический синдром;
•Метаболические клеточные
повреждения паренхиматозных
органов (синдром полиорганной
недостаточности)
{

21.

Легкие с множественными
некрозами

22.

Очаговая инфильтрация
интерстиция миокарда при
сепсисе
CD68

23.

Септический эмбол в сосуде миокарда

24.

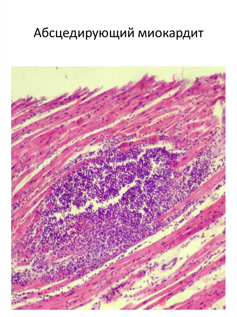
Абсцедирующий миокардит

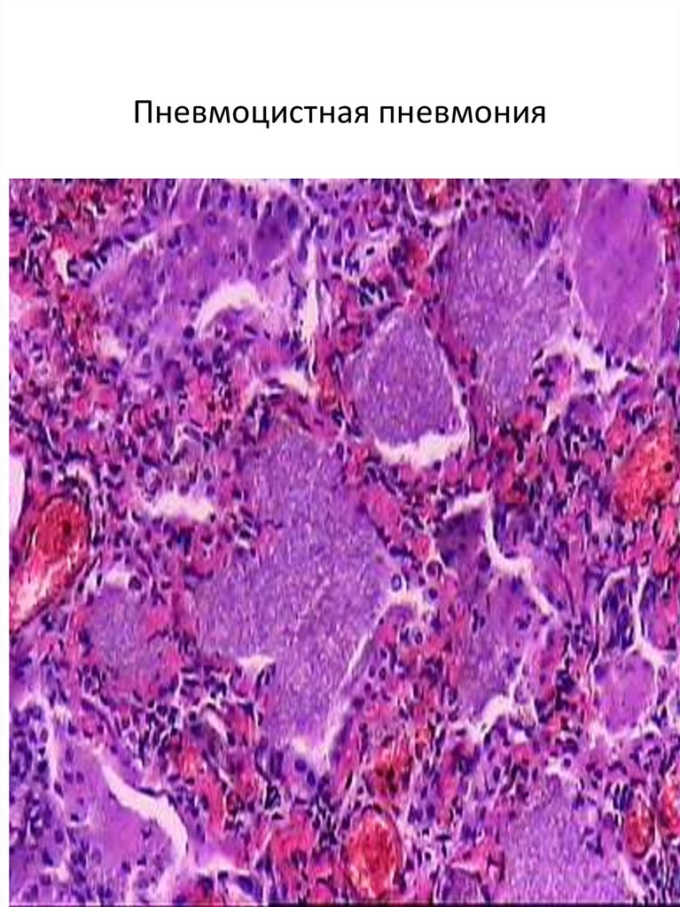
25.

Пневмоцистная пневмония

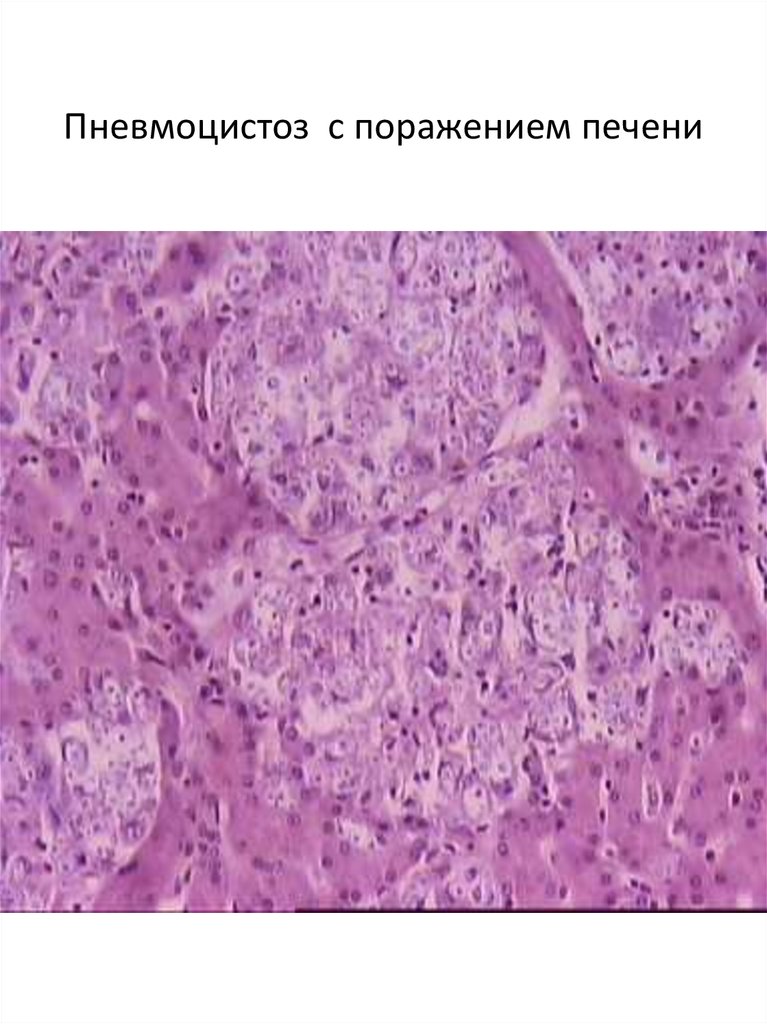
26.

Пневмоцистоз с поражением печени

27.

Генерализованный пневмоцистоз с
пораженим почек

28.

Пневмоцистоз легких

29.

Пневмоцистоз лимфоузла при СПИДе
English     Русский Rules