4.58M
Category: medicinemedicine

Паренхиматозные дистрофии

1.

Паренхиматозные дистрофии

2.

Зернистая дистрофия
почечных канальцев
при гломерулонефрите

3.

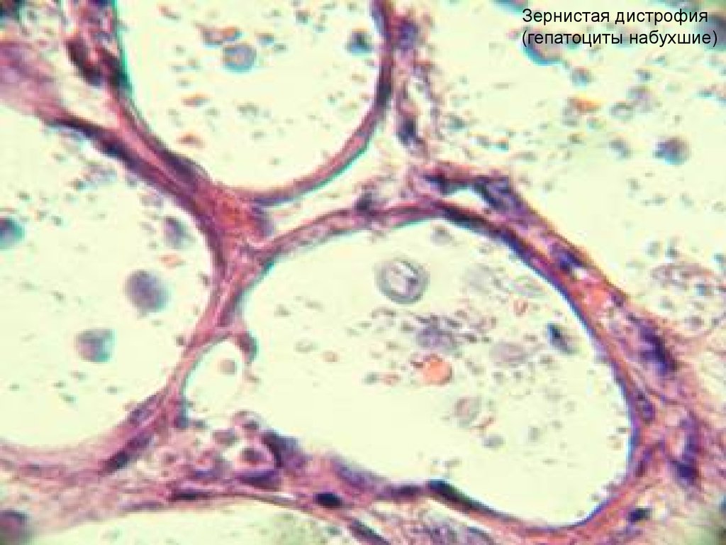
Зернистая дистрофия
(гепатоциты набухшие)

4.

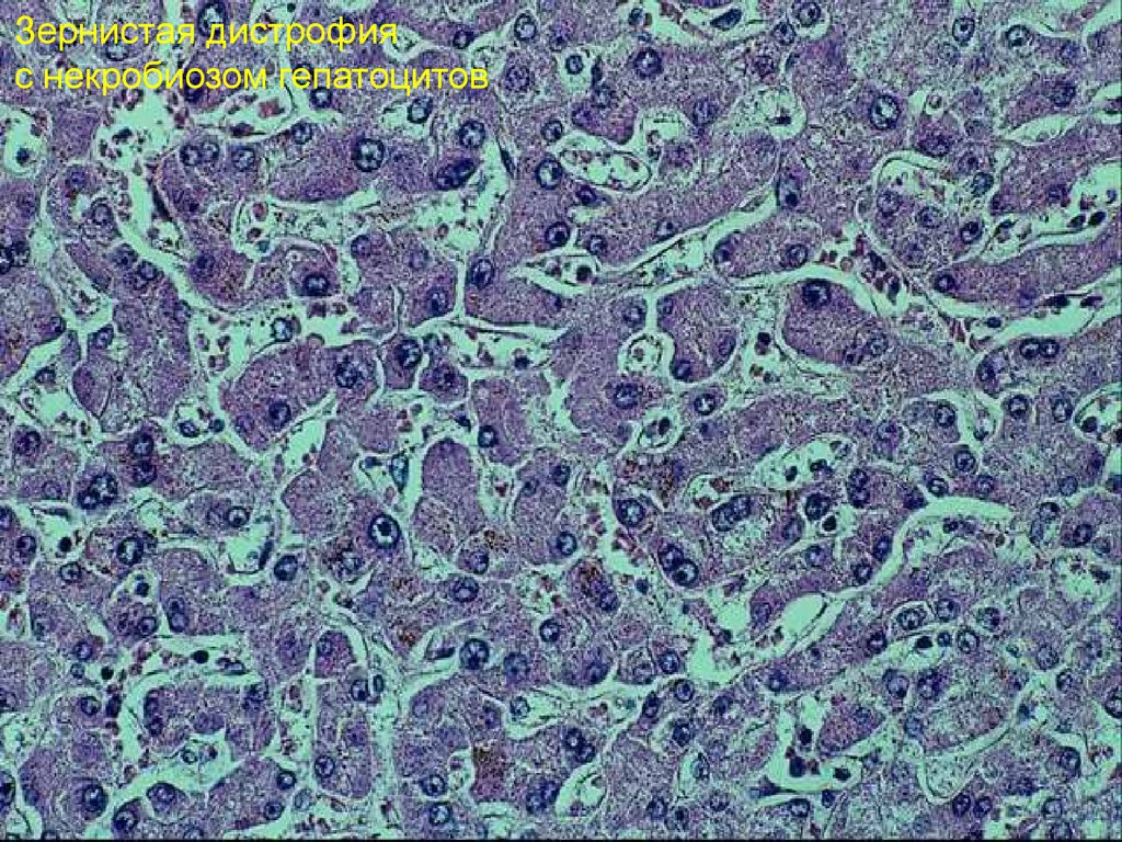
Зернистая дистрофия
с некробиозом гепатоцитов

5.

Гиалиново-капельная дистрофия в почках

6.

Гиалиново-капельная дистрофия

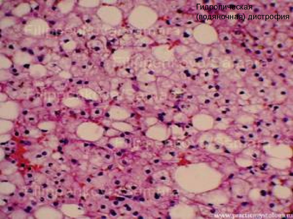
7.

Гидропическая
(водяночная) дистрофия

8.

Роговая дистрофия

9.

ихтиоз

10.

11.

ихтиоз

12.

ихтиоз

13.

гиперкератоз

14.

гиперкератоз

15.

16.

Бородавки (гиперкератоз)

17.

18.

Ногтевой гиперкератоз

19.

Остроконечная кондилома

20.

Жировые дистрофии
(липидозы
парехиматозные)

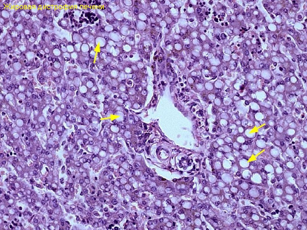
21.

Жировая дистрофия печени

22.

23.

24.

Тигровое сердце

25.

26.

диспротеинозы мезенхимальные

27.

гиалиноз

28.

Гиалиноз в рубцах

29.

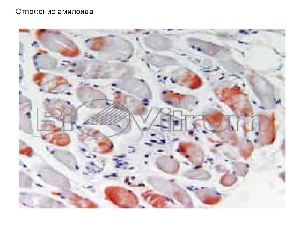
амилоидоз

30.

Отложение амилоида

31.

Жировые дистрофии
(липидозы
мезенхимальные)

32.

33.

34.

Алиментарное ожирение

35.

36.

37.

Мезенхимальные жировые дистрофии

38.

39.

40.

41.

42.

Атеросклеротическая
бляшка

43.

Облитерирующий
атеросклероз

44.

Облитерирующий атеросклероз

45.

Мезенхимальные углеводные
дистрофии

46.

47.

Смешанные дистрофии

48.

49.

50.

51.

52.

53.

54.

55.

56.

57.

58.

Нарушение водного обмена

59.

60.

61.

62.

Асцит
Симптом «Голова
медузы и пупочная
грыжа

63.

64.

65.

Нарушение минерального обмена

66.

67.

Желчные камни

68.

69.

70.

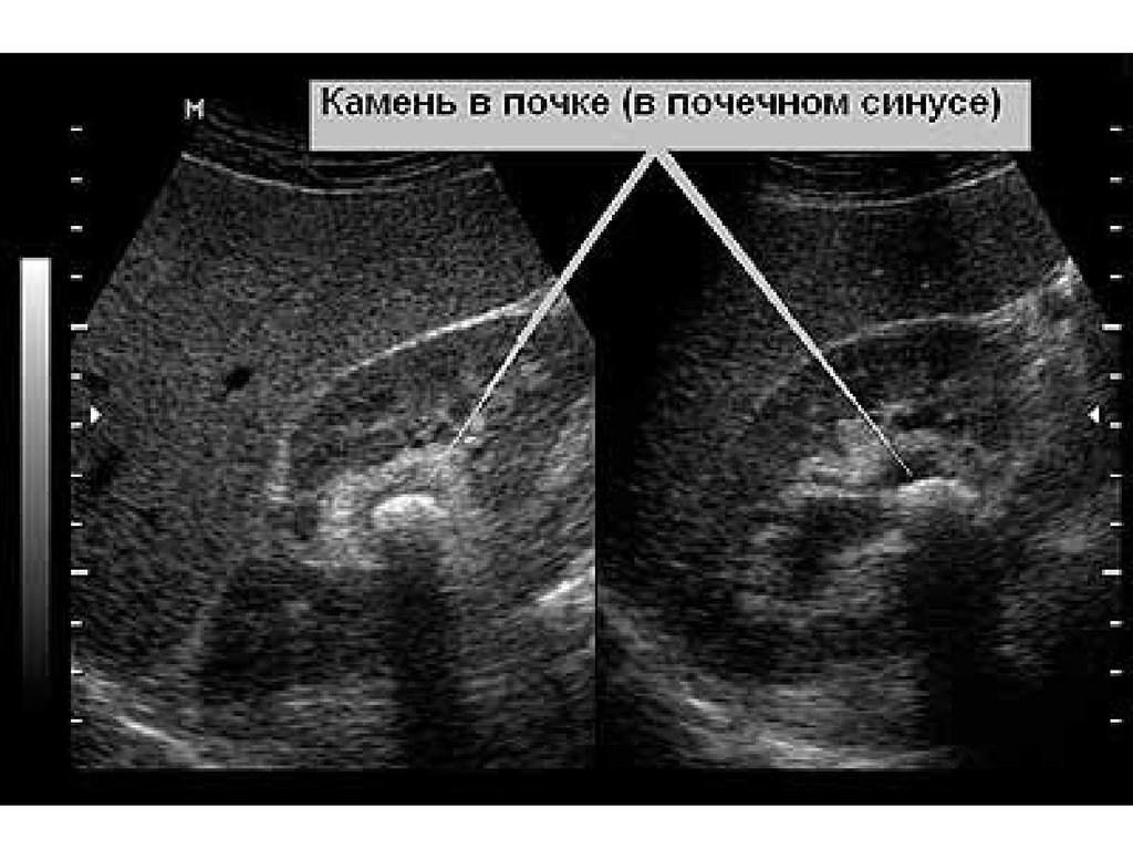
Камни почек

71.

72.

73.

74.

75.

Камни мочевого пузыря

76.

77.

Холестериновые камни

78.

Нарушение обмена нуклепротеидов

79.

80.

81.

голодание

82.

Кахексия

83.

84.

85.

86.

Симптомы обезвоживания
■ Слабость, усталость, значительный
упадок сил.
■ Жажда.
■ Сухость кожи.
■ Липкость и сухость слизистых
оболочек рта.
■ Сокращение или прекращение
мочеотделения.
■ Моча темно-желтого цвета.
■ Запавшие глаза.
■ Головная боль.
■ Тошнота.
■ При тяжелой степени обезвоживания
судороги.
Если ущипнуть пострадавшего за кожу
и она останется приподнятой (это
явление называется тургором), его
следует немедленно доставить в
больницу — это признак сильного
обезвоживания.
English     Русский Rules