Злокачественные новообразования костной системы
Рентгенологические признаки остеогенной саркомы:
Виды остеогенной саркомы:
Благодарю за внимание!
837.44K
Category: medicinemedicine

Злокачественные новообразования костной системы

1. Злокачественные новообразования костной системы

2.

Сарко́ма
это группа злокачественных
опухолей, производные активно
делящейся, так называемой
«незрелой» соединительной ткани —
костной (остеосаркома), хрящевой,
мышечной, жировой,
стенок кровеносных и лимфатических с
осудов.

3.

Остеогенная
саркома — саркома,
злокачественные клетки которой
происходят из костной ткани и
продуцируют эту ткань. В некоторых из
этих опухолей доминируют
хондробластические или
фибробластические компоненты.

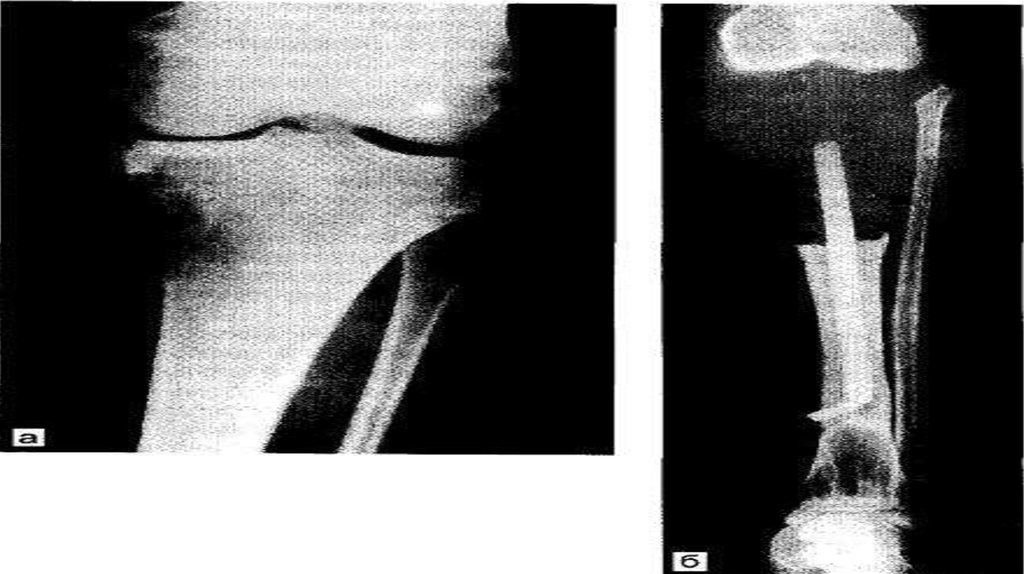
4. Рентгенологические признаки остеогенной саркомы:

— локализация в метафизе и прилежащей части
диафиза трубчатых костей;
— реакция надкостницы (периостит) в виде козырька
и спикул; — выявление опухоли в мягких тканях в виде
полусферической или веретенообразной тени на
уровне костных изменений;
— ранние метастазы в лёгкие, поэтому
обнаружение опухоли в костях служит показанием к
рентгенографии органов грудной полости;

5.

Изменения
в костях зависят от вида
остеогенной саркомы, который
определяет рентгенологическую
картину.

6. Виды остеогенной саркомы:

Остелитическая
Остеобластическая
Смешанные
формы

7.

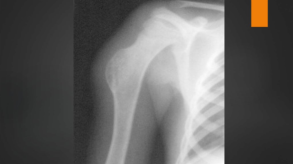
Остеолитическая
остеогенная
саркома проявляется деструктивным
очагом в кости в виде просветления
неправильной формы с нечёткими
контурами.

8.

9.

10.

Остеобластическая остеогенная саркома
выглядит в виде интенсивного затемнения,
заслоняющего область деструкции за счёт
повышенной способности клеток опухоли
продуцировать костное вещество, в мягких
тканях нередко выявляют первичную
обызвествлённую опухоль, а также идущие
цепочкой вдоль кости обызвествлённые
лимфатические узлы.

11.

12.

13.

14. Благодарю за внимание!

English     Русский Rules