Тема 6. Профессиональные болезни опорно-двигательного аппарата Этиопатогенез, клиника, диагностика, лечение, профилактика.
Особо неблагоприятную роль играют:
В зависимости от условий труда условно могут быть выделены 3 группы больных.
В зависимости от условий труда условно могут быть выделены 3 группы больных.
В зависимости от условий труда условно могут быть выделены 3 группы больных.
Эпикондилёз
Патогенез
Диагностика
Рентгенография
Плече-лопаточный периартроз
Миофиброз
Клиническая картина
Диагностика
Стилоидоз
Профессиональная радикулопатия
Лечение заболеваний опорно-двигательного аппарата 
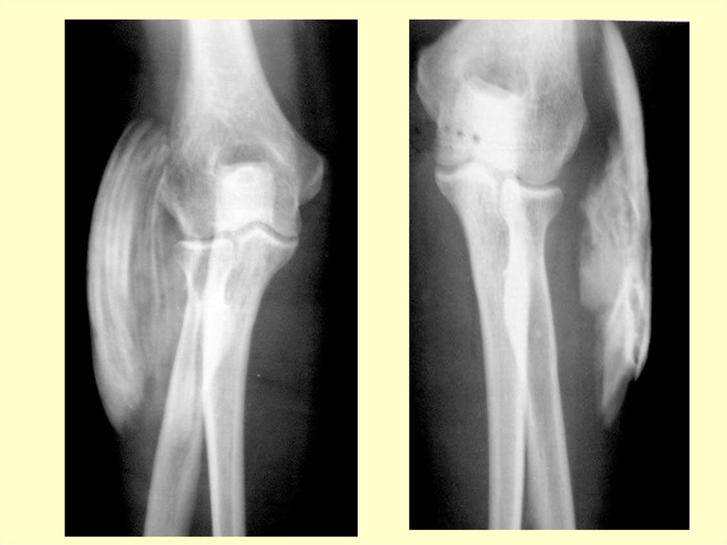
Экспертиза трудоспособности
2.30M

Профессиональные болезни опорно-двигательного аппарата. Этиопатогенез, клиника, диагностика, лечение, профилактика

1. Тема 6. Профессиональные болезни опорно-двигательного аппарата Этиопатогенез, клиника, диагностика, лечение, профилактика.

Доцент кафедры госпитальной
терапии СПб ГУ
к.м.н. Веселова Татьяна Викторовна

2.

Основные вопросы лекции:
1. Дать
понятие
профессиональной
патологии
опорно-
двигательного аппарата, рассмотреть этиологию и патогенез
заболеваний.
2. Эпикондилез
3. Плечелопаточный периартроз
4. Миофиброз
5. Радикулопатия

3.

Патология опорно-двигательного аппарата (особенно
связанная с перенапряжением и микротравматизацией) в
последнее время составляет значительную часть среди
всех профессиональных заболеваний.
Одной из причин возникновения профессиональных
заболеваний опорно-двигательного аппарата является
полуавтоматизированный и полумеханизированный труд
на штампах, станках, конвейерах и т.д.,
который требует от рабочего быстроты
движений и большого физического
напряжения.

4.

5. Особо неблагоприятную роль играют:


вынужденное положение тела во время работы;
монотонность производственного процесса;
его неравномерный ритм;
выполнение быстрых однотипных движений;
перенапряжение отдельных мышечных групп;
неправильные и нерациональные с точки зрения
физиологии приемы работы;
• давление и трение инструментов или изделий о
части тела человека.
Все вышеперечисленные факторы способствуют
физическому
перенапряжению
и
микротравматизации тканей.

6. В зависимости от условий труда условно могут быть выделены 3 группы больных.

• 1-я группа объединяет профессии с
большим количеством мелких ручных
операций (монотонные, стереотипные
движения), проводимых в условиях
гипокинезии (т.е. недостатка движения)
и вынужденной
рабочей позы.

7.

У
работников
данной
категории
преобладают
миофиброзы разгибателей запястья и пальцев, а также
трапециевидных мышц. У большинства больных
заболевание
характеризуется
медленным,
доброкачественным
течением
с
сохранением
профессиональной трудоспособности в течение многих
лет при условии систематического лечения в клинике
профессиональных заболеваний. У работающих на
клавишных машинах отмечены также координаторные
неврозы.
В
единичных
случаях
наблюдались
вегетативно-сенсорные
полинейропатии
верхних
конечностей.

8. В зависимости от условий труда условно могут быть выделены 3 группы больных.

• 2-я группа — профессии, где
статодинамические нагрузки позволяли
отнести физический труд к категории средней
тяжести; наряду с этим имелись и другие
неблагоприятные
факторы трудового
процесса, такие как
однотипные движения,
вынужденное положение
тела, контакт с охлаждающими жидкостями.

9.

Изолированные формы заболеваний мышц
верхних конечностей преобладают у маляров
и
намотчиков.
Сочетанные
формы
нейромышечной
патологии,
а
также
патология вегетативной нервной системы
(вегетативно-сенсорная полинейропатия рук)
чаще встречались у станочников и у доярок.
Последнее
можно
объяснить
комбинированным
действием
неблагоприятных факторов труда (таких как
физическая нагрузка и контакт со смазочноохлаждающими жидкостями у станочников;
статодинамическая нагрузка и охлаждение
рук у доярок).

10. В зависимости от условий труда условно могут быть выделены 3 группы больных.

• 3-я группа — профессии со
значительными физическими
нагрузками, связанные с
перемещением больших
грузов за смену,
либо с большими
статическими усилиями.

11.

В данной группе обращает на себя внимание
преобладание сочетанных форм нейромышечной
патологии. Наряду с миофиброзами и вегетативносенсорными полинейропатиями рук (их сочетанием)
часто
отмечались
эпикондилиты
плеча,
тендовагиниты, плечелопаточный периартроз и
пояснично-крестцовый радикулит. В отдельных
случаях имелось сочетание 2—3 нозологических
форм
профессиональных
заболеваний
от
функционального перенапряжения. У больных этой
группы в большинстве случаев отмечалось снижение
трудоспособности (ставилась инвалидность III
группы
вследствие
профессионального
заболевания).

12.

Среди профессиональных заболеваний опорнодвигательного аппарата, которые вызываются
перенапряжением
и
микротравматизацией,
преобладают поражения верхних конечностей. Это
объясняется
анатомическими
особенностями
строения плечевого пояса и руки, а также
многообразием
функций
верхней
конечности,
которая способна к выполнению как очень тонких,
точных, так и значительных силовых движений
(причем и те и другие совершаются в большом
объеме). Большинство описываемых болезненных
форм отличаются большой стойкостью и резко
снижают трудоспособность больных.

13. Эпикондилёз

• (от лат. “эпикондюлюс”, что значит
“надмыщелок”, и окончания “-оз”,
обозначающего заболевание) — это
одно из наиболее распространенных
профессиональных заболеваний
рабочей руки.

14. Патогенез

В основе заболевания лежит микротравматизация
надкостницы
надмыщелка
в
результате
перенапряженной работы мышц, отходящих от
наружного и (реже) внутреннего надмыщелка
плечевой
кости.
Как
результат
развивается
асептическое
немикробное
воспаление
с
последующими изменениями как в надкостнице
самого надмыщелка, так и в прилегающих к нему
мышцах, связках и фасциях. Определенное значение
в развитии заболевания играют и местные
нарушения кровоснабжения в зоне надмыщелка в
результате травматизации.

15. Диагностика


Динамометрия
Термография
Электронейромиография
Рентгенография

16. Рентгенография

• При длительно текущем заболевании
на рентгенограммах удается
обнаружить очаги уплотнения
различной формы и размеров у контура
наружного надмыщелка.
• Реже обнаруживаются участки
резорбции (т.е. рассасывания) края
надмыщелка.

17.

18. Плече-лопаточный периартроз

• Заболевание возникает как результат длительного
перенапряжения мышц плечевого пояса, вследствие
резких, усиленных движений в плечевом суставе, что
сопровождается постоянной травматизацией тканей
вокруг сустава.
• Наиболее часто данное заболевание наблюдается у
тех рабочих, чья работа связана с длительным
отведением и подниманием работающей руки,
совершением поворотов плеча в большом объеме,
причем чаще всего у женщин. Обращает на себя
внимание односторонность проявления, в частности
преобладание поражения правой верхней
конечности, что является дополнительным
доказательством влияния профессионального
фактора на возникновение и развитие заболевания.

19.

20.

• При выполнении работы, сопровождающейся частыми
боковыми отведениями и вращениями плеча в большом
объеме, возникают условия для длительной травматизации
связочного и сухожильного участков плечевого сустава и
суставной сумки. При этом возникают их дегенерация и
дистрофия, т.е. “перерождение” клеток и тканей с нарушением
их функциональной активности.
• Процесс сопровождается развитием асептического
немикробного воспаления околосуставных тканей с возможным
последующим обезызвествлением тканей и сдавлением
капсулы плечевого сустава.
• Термин “периартрит плечевого сустава” представляет собой
собирательное понятие, так как объединяет целую группу
заболеваний в области плечевого сустава. Каждая патология
различается по топографии и особенностям клинической
картины, но в целом они дают настолько сходную клинику, что
объединяются под общим названием.

21.


Заболевание начинается постепенно с появления болей в плечевом суставе. Боль сначала
носит непостоянный характер, усиливается при подъеме руки выше горизонтального
уровня или при поворотах плеча. В покое и при ограничении движений боли отсутствуют
или выражены столь незначительно, что больные не придают им никакого значения и за
медицинской помощью не обращаются.
При дальнейшем развитии заболевания боли усиливаются и становятся отчетливыми не
только во время работы, но и после нее в покое, приобретают постоянный характер,
беспокоят больных даже во сне. Характер болей чаще ноющий, иногда сверлящий или
грызущий.
Болевые ощущения начинают мешать больному не только выполнять профессиональные
обязанности, но и отдыхать, заниматься домашними делами. Возможна иррадиация (т.е.
распространение) болей в лопатку или шею.
При осмотре больного удается обнаружить небольшую припухлость и умеренную
болезненность в области плечевого сустава. Отведение плеча и подъем руки выше линии
плеча значительно ограничены. Затруднено закладывание руки за спину (даже при
незначительно выраженном периартрите).
Однако, несмотря на это, маятникообразные движение руки вдоль туловища вперед и
назад сохранены в полном объеме. Этот факт учитывается при подборе больному
соответствующей работы. Движения в плечевом суставе, как правило, сопровождаются
хрустом различной громкости и длительности. В далеко зашедших случаях периартрита
может возникнуть тугоподвижность плечевого сустава, т.е. значительное ограничение
объема активных движений в нем. Длительное нарушение функции сустава приводит к
гипотрофии и атрофии дельтовидной мышцы (за счет резкого снижения функциональной
нагрузки на эту мышцу) и к остеопорозу головки плечевой кости, что видно на
рентгенограммах.
Заболевание протекает в хронической форме и сопровождается чередованием периодов
обострения и ремиссии.

22. Миофиброз

– стадия миалгии (миопатоза) – стадия
функциональных изменений, не
отражающаяся на структуре и
консистенции мышечной ткани;
– миофасцит – начальные, часто
обратимые структурные изменения
дистрофического характера;
– миофиброз (фибромиозит) –
необратимые изменения мышц.

23. Клиническая картина

– повышенная утомляемость;
– снижение выносливости;
– нарушение упругости и
сократительной функции мышц;
– нарушение ритма движений;
– дистрофические изменения;
– изменения сухожильных рефлексов;
– некоторые нарушения
электровозбудимости и биотоков мышц
и некоторых обменных процессов.

24. Диагностика

• Общеклиническое исследование (в т.ч.
КФК)
• Динамометрия
• ЭНМГ
• УЗИ
• Рентгеноконтрастная миография

25.

26. Стилоидоз

Стенозирующий лигаментит тыльной
связки запястья по ходу l-гo канала
(болезнь де Кервена)

27.

При постановке диагноза, помимо выяснения характера
работы, необходимо обратить внимание на начало
заболевания, отсутствие в анамнезе травмы этой руки, на
односторонность
и
определенную
локализацию
поражения. Стойкая припухлость в области шиловидного
отростка и прогрессирующее ограничение функции I
пальца в совокупности с рано обнаруживаемыми на
снимках изменениями мягких тканей в виде их утолщения
позволяют полностью исключить артрит лучезапястного
сустава,
его
ревматическое
или
подагрическое
поражение.

28. Профессиональная радикулопатия

29.

30. Лечение заболеваний опорно-двигательного аппарата 

Лечение заболеваний
опорно-двигательного аппарата
В начальной стадии - лечение преимущественно
проводится в условиях профилакториев, поликлиник,
при хронических рецидивирующих формах показано
стационарное лечение, обязательное последующее
рациональное трудоустройство заболевших.
1. НПВС
2. ГКС
3. Улучшение микроциркуляции
4. ЛФК, физиотерапия
5. Оперативное лечение

31. Экспертиза трудоспособности

Противопоказана работа в условиях
физических
неблагоприятного
воздействия
превышающей ПДУ
перегрузок,
микроклимата,
вибрации,

32.

Основные вопросы лекции:
1. Дать
понятие
профессиональной
патологии
опорно-
двигательного аппарата, рассмотреть этиологию и патогенез
заболеваний.
2. Эпикондилез
3. Плечелопаточный периартроз
4. Миофиброз
5. Радикулопатия

33.

Благодарю
за внимание!
English     Русский Rules