Альвеолиты
Интерстициальные заболевания лёгких
Структура легочной ткани в норме (А), и при интерстициальных заболеваниях лёгких (Б)
Интерстициальные заболевания лёгких
Экзогенный аллергический альвеолит (ЭАА)
Экзогенный аллергический альвеолит (ЭАА)
Экзогенный аллергический альвеолит (ЭАА)
Экзогенный аллергический альвеолит (ЭАА)
Экзогенный аллергический альвеолит (ЭАА)
Экзогенный аллергический альвеолит (ЭАА)
Экзогенный аллергический альвеолит (ЭАА)
Экзогенный аллергический альвеолит (ЭАА)
Экзогенный аллергический альвеолит (ЭАА)
Экзогенный аллергический альвеолит (ЭАА)
Токсический фиброзирующий альвеолит
Токсический фиброзирующий альвеолит
Токсический фиброзирующий альвеолит
Токсический фиброзирующий альвеолит
Токсический фиброзирующий альвеолит
Токсический фиброзирующий альвеолит
Идиопатический фиброзирующий альвеолит (болезнь Хаммена-Рича)
Идиопатический фиброзирующий альвеолит (болезнь Хаммена-Рича)
Идиопатический фиброзирующий альвеолит (болезнь Хаммена-Рича)
Идиопатический фиброзирующий альвеолит (болезнь Хаммена-Рича)
Идиопатический фиброзирующий альвеолит (болезнь Хаммена-Рича)
Идиопатический фиброзирующий альвеолит (болезнь Хаммена-Рича)
832.50K
Category: medicinemedicine

Lektsia_4_-_AL_VEOLITY

1. Альвеолиты

Госпитальная педиатрия – 6-й курс
кафедра педиатрии
Черданцев А.П.

2. Интерстициальные заболевания лёгких

ИЗЛ – большая группа заболеваний различной этиологии,
условно объединяемых рядом общих характерных
морфологических, патогенетических и клинических
особенностей:
Частое вовлечение в патологический процесс
интерстициальной ткани лёгкого (наряду с поражением
других структур лёгочной паренхимы – альвеолоцитов,
эндотелия капилляров и др.)
Значительное снижение диффузии газов через
альвеолярно-капиллярную мембрану, рестрикция лёгких
Наличие прогрессирующей ДН, преимущественно по
рестриктивному типу
Рентгенологическая картина диффузной лёгочной
диссеминации
Ведущая роль иммунопатологических механизмов в
патогенезе большинства ИЗЛ.

3. Структура легочной ткани в норме (А), и при интерстициальных заболеваниях лёгких (Б)

4.

5.

6.

7.

8. Интерстициальные заболевания лёгких

Общепризнанной классификации интерстициальных
заболеваний лёгких нет.
Предлагается следующее деление (Г.Е.Ройтберг,
А.В.Струтынский, 2005г):
Фиброзирующие альвеолиты
а - экзогенный аллергический альвеолит (ЭАА)
б – идиопатический фиброзирующий альвеолит (ИФА)
в – токсический фиброзирующий альвеолит (ТФА)
г – фиброзирующие альвеолиты как синдромы других
заболеваний
Гранулематозы
Лёгочные васкулиты
Болезни накопления

9. Экзогенный аллергический альвеолит (ЭАА)

Синонимы – гиперсенситивный пульмонит, вызванный
органической пылью
ЭАА – заболевание с диффузным поражением альвеол и
интерстиция аллергической природы с последующим
формированием интерстициального фиброза.
Частота – 0,36 на 100 000 детей
Этиология – микроорганизмы (термофильные актиномицеты
из прелого сена – «лёгкое фермера»), аэрозоли
антибиотиков, ферментов и др. Заболевание может
развиваться при контакте детей с помётом птиц («лёгкое
голубеводов»), элеваторной пылью, пылью хлопка
(«бабезиоз»), сахарного тростника («багассоз»), грибов
(«лёгкое сыроваров», «лёгкое грибоводов»).
Повторная ингаляция аллергенов вызывает у 1-5% детей
образование специфических преципитинов класса IgG и
иммунных комплексов, повреждающих интерстиций
лёгкого с развитием фиброза.
Атопия не является предрасполагающим фактором.

10. Экзогенный аллергический альвеолит (ЭАА)

Антигены (АГ) органического и неорганического
происхождения вызывают повреждение лёгочной ткани
только при соблюдении некоторых условий:
1.
Размеры пылевых частиц, содержащих антигены, должны
быть меньше 5 мкм
2.
Пылевые АГ проникают в респираторные отделы лёгких
только ингаляционным путём
3.
Для повреждения лёгочной ткани требуется достаточно
высокая концентрация АГ и продолжительная его
экспозиция
4.
АГ должен быть нерастворимым в воде и иметь
корпускулярный вид
5.
АГ должен обладать способностью активировать систему
комплемента по альтернативному пути
6.
АГ должен обладать свойством вызывать реакцию ГЗТ (IV
тип)

11. Экзогенный аллергический альвеолит (ЭАА)

Клиника:
Различают острую, подострую и хроническую формы ЭАА
Острая форма развивается при кратковременном
воздействии на сенсибилизированный организм АГ
органической или неорганической пыли в высокой
концентрации. Симптомы заболевания появляются через 48 часа после контакта ребёнка с аллергеном. Первичные
симптомы напоминают грипп (высокая температура, озноб,
головная боль, миалгии).Продолжительность не >1 мес.
Сухой кашель с одышкой
Рассеянные мелко- и среднепузырчатые хрипы без
признаков обструкции, иногда - крепитация
У детей с атопией может сочетаться с картиной
бронхиальной астмы
При прекращении контакта все явления постепенно
стихают (через дни или недели). Если сохраняется
этиологический фактор – заболевание прогрессирует с
переходом в подострую форму.

12. Экзогенный аллергический альвеолит (ЭАА)

Подострая форма (от нескольких недель до 4 мес):
Постепенное усиление кашля и одышки
Нарушение самочувствия, рецидивирование
субфебрилитета
При нераспознанной причине прогрессивно нарастают
симптомы лёгочного фиброза (слабость, утомляемость,
снижение аппетита и потеря веса, одышка и кашель со
слизистой мокротой, крепитирующие хрипы)
Обычно симптомы уменьшаются на короткое время при
временном разобщении с этиофактором (во время каникул,
отпуска, в выходные дни), и вновь обостряются при
возобновлении контакта («феномен понедельника»)
Регрессия симптомов происходит при изоляции человека и
адекватной терапии в течение 1-2 мес. Если этого не
происходит, болезнь прогрессирует с нарастанием ДН.
Острая и подострая формы при элиминации аллергена
заканчиваются полным выздоровлением

13. Экзогенный аллергический альвеолит (ЭАА)

Хроническая форма развивается при длительном
контакте с аллергеном в относительно низкой
концентрации. Длительность течения >4 мес.
Постепенное прогрессирование одышки
Снижение толерантности к физической нагрузке
Выраженное похудание, потливость
Кашель со скудной слизистой мокротой
Деформация фаланг пальцев - «Барабанные
пальцы», часовые стёкла
В лёгких – двусторонняя крепитация
Тахикардия, глухость сердечных тонов, акцент II
тона над лёгочной артерией, расширение границ
сердца

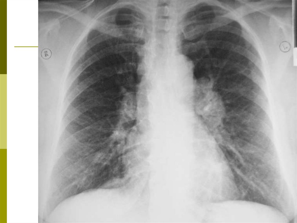
14. Экзогенный аллергический альвеолит (ЭАА)

Рентгенография
В острой фазе – изменений можно и не заметить.
При подостром течении - мелкие (милиарные)
очаговые тени, преимущественно в средних полях
на фоне понижения прозрачности лёгочной ткани
– симптом «матового стекла». Реже –
множественные инфильтративные облаковидные
или более плотные тени с обратным развитием в
течение недель и месяцев.
В хронической стадии выявляются признаки
диффузного фиброза – крупная ячеестость
лёгочного рисунка («сотовое лёгкое»)
Компьютерная томография высокого
разрешения (КТВР)

15. Экзогенный аллергический альвеолит (ЭАА)

Спирометрия - снижение ЖЕЛ (до 25-30%
должной нормы) с хорошей динамикой после
разобщения с причинным фактором и на фоне
лечения.
Диагностически ценно снижение диффузионной
способности лёгких (ДСЛ) – как вследствие
утолщения альвеолярно-капиллярной мембраны,
так и неравномерности вентиляционноперфузионных отношений.
Обнаружение в крови специфических IgGантител (преципитинов)
УЗИ-сердца – формирование лёгочного сердца

16. Экзогенный аллергический альвеолит (ЭАА)

Диагностика:
ЭАА вероятен, если ОРЗ сопровождаются
необъяснимой необструктивной одышкой (нет
крупа, инородного тела, пневмонии)
Заболеванию предшествовал контакт с
птицей, пребывание на сеновале, в
курятнике
При сочетании ЭАА с БА возможно
сохранение одышки после снятия
обструкции.
В дифференциальном диагнозе помогает
рентгенография/КТВР, спирометрия,
иммуносерология

17. Экзогенный аллергический альвеолит (ЭАА)

ЭАА вероятен у ребенка с повторной пневмонией,
особенно с затяжным обратным развитием или
рецидивами после выписки, при отсутствии эффекта
от антибиотиков.
Лечение
Терапия первой линии
Прекращение контакта с аллергеном (иногда
является достаточным для острого течения)
ГКС (1,0-1,5 мг/кг/сут преднизолона, максимальная
доза 40 мг/сут), внутрь – 4-8 недели. Снижение дозы
начинают после уменьшения одышки и кашля и
начала увеличения ЖЕЛ. Поддерживающую дозу (1015 мг/сут) дают в течение 3-6 месяцев. Пульстерапия (метилпреднизолон 10-30 мг/кг, в/в 1-3 дня)
1 раз в месяц в течение 3-4 мес.

18. Экзогенный аллергический альвеолит (ЭАА)

ИГКС: Будесонид – 500-1500 мкг/сут (детям <2 лет),
и Флутиказон – 250-1000 мкг/сут (детям >2 лет)
В хронической фазе поддерживающую дозу ГКС дают
более 6 месяцев.
Терапия второй линии:
Циклофосфамид 2 мг/кг/сут, внутривенно 2 раза в
неделю, 3-6 месяцев
Симптоматическая терапия:
Использование увлажнённого кислорода или
кислородоконцентратора
Бронхолитики

19. Токсический фиброзирующий альвеолит

ТФА - диффузное интерстициальное заболевание,
связанное с воздействием на паренхиму лёгких
некоторых лекарств, обладающих цитотоксическими
свойствами, и характеризующееся поражением
капиллярного русла, воспалением и фиброзом
интерстициальной лёгочной ткани, спадением альвеол и
нарушением диффузии газов с прогрессирующей ДН.
Такими свойствами обладают некоторые цитостатики,
иммуносупрессанты, нитрофураны, сульфаниламиды и
др. Наиболее опасным считаются пиковые концентрации
некоторых препаратов в пульс-терапии цитостатиками.
Причиной также может являться производственный
контакт (промышленные газы, гербициды, пары
металлов) и токсикомания.

20. Токсический фиброзирующий альвеолит

Патогенез до конца не раскрыт. Предполагают, что в основе
лежат не чисто иммунные нарушения, а непосредственное
воздействие химического соединения на внутриклеточный
метаболизм (гиперпродукция свободных радикалов,
активация ПОЛ, прямое повреждение эндотелия
капилляров и т.д.)
Схема патогенеза ТФА (по М.М.Илькович, 2000 г.)
действие
повреждающего
фактора
Поражение
лёгочных
капилляров
Некроз
эпителия
Возникновение
микротромбов
Активация
макрофагов
и развитие
воспаления
Отёк
стенки альвеол
Нарушение
сосудистой
проницаемости
Запустевание
капилляров

21. Токсический фиброзирующий альвеолит

Токсическое повреждение и некроз
альвеолоцитов I-II типов ведёт к
нарушению дыхательной функции альвеол
и снижению выработки сурфактанта, в
результате чего они спадаются.
Активированные тканевые протеазы в
условиях гипоксии начинают разрушение
коллагена и активируют фибробласты, с
последующим развитием фиброза
интерстициальной ткани.
Фиброзная ткань распространяется на
бронхиолы, сдавливает их и приводит к
формированию картины облитерирующего
бронхиолита.

22. Токсический фиброзирующий альвеолит

Клиника напоминает ЭАА. Различают острую, подострую и
хроническую формы ТФА.
Острая и подострая формы:
Начало заболевания в течение 1-2 дней после контакта с дымом
или аэрозолем, или в течение 3-4 недель от начала
использования лекарственных препаратов. Редко – через 2-3 дня
от начала лечения, при условии предшествующей
сенсибилизации данным препаратом.
Лихорадка (до 38-39 С)
Внезапная одышка и сухой кашель
Слабость, утомляемость
Реже – похудание, боли в грудной клетке, артралгии
При приёме нитрофуранов – плевральные выпоты, токсикоаллергическая сыпь на коже.
Диагностический критерий – двусторонняя крепитация,
преимущественно в задне-нижних отделах лёгких или в
межлопаточном пространстве

23. Токсический фиброзирующий альвеолит

Хроническая форма
- чаще развивается при длительном приёме
химиопрепаратов
- Постепенно нарастает одышка, появляется сухой
непродуктивный кашель, субфебрильная температура,
нарастает слабость, похудание
- Признаки ДН (цианоз, тахипноэ, инспираторная одышка,
участие вспомогательной мускулатуры в акте дыхания)
- Крепитация на фоне ослабленного дыхания
- Лабораторно: изменения в ОАК не специфичны. Иногда –
лейкоцитоз и увеличение СОЭ, гиперэозинофилия
- Спирометрически: снижение дыхательных объёмов и
ёмкостей при высоком уровне индекса Тиффно. Снижение
ДСЛ и гипоксемия
- Изменения на КТ и рентгенограмме возникают лишь на
стадии фиброза лёгких

24. Токсический фиброзирующий альвеолит

Лечение
- Немедленное прекращение контакта с
токсическим веществом
- В острой и подострой стадии – ГКС
(1,5-2 мг/кг/сут)
- В хронической стадии при
выраженности фиброзирования
лёгких ГКС не эффективны.

25. Идиопатический фиброзирующий альвеолит (болезнь Хаммена-Рича)

ИФА - диссеминированное заболевание лёгких неизвестной
этиологии, характеризующееся воспалением и фиброзом
интерстиция, дезорганизацией структурно-функциональных
единиц паренхимы лёгких, ведущих к рестриктивным
расстройствам, нарушению газообмена и прогрессированию ДН
(Turners-Warwick, 1980).
Синонимы: болезнь Хаммена-Рича, болезнь Ослера,
склерозирующий альвеолит, фиброзная дисплазия, острый
фиброзирующий пульмонит.
Частота заболевания: от 2,4 до 7,1 случаев на 100000 населения.
Около 2/3 случаев приходится на людей в возрасте старше 60
лет. У детей – довольно редкое заболевание.
Этиология неизвестна. Предполагают:
Вирусная инфекция (длительная вирусная персистенция с
развитием аутоиммунной реакции к альвеолоцитам) – не
доказано
Генетическая предрасположенность (описаны семейные случаи
ИФА; заболевание чаще встречается у людей с HLA A2, B8, B12;
имеется связь ИФА с наследственным дефицитом 1-АТ)
Экологические и профессиональные факторы (до конца не
доказаны)

26. Идиопатический фиброзирующий альвеолит (болезнь Хаммена-Рича)

Патогенез
Стадия
интерстициального
отёка
Стадия
интерстициального
воспаления
Стадия
интерстициального
фиброза
Повышается
проницаемость
капилляров с отёком
межальвеолярных
прегородок
и появлением
серознофибринозного
экссудата
Развёрнутая
морфологическая
картина воспаления.
Десквамация
альвеолярного
эпителия с
образованием
альвеолярных
язв
Значительное
разрастание
коллагеновых
волокон, утолщение
межальвеолярных
перегородок,
облитерация
лёгочных сосудов
и альвеол

27. Идиопатический фиброзирующий альвеолит (болезнь Хаммена-Рича)

Клиника:
У большинства больных начало постепенное с медленно
прогрессирующей одышкой, сухим кашлем, общей слабостью,
утомляемостью.
У 1/3 больных – острое начало, с высокой температурой (38-39
град.), быстро нарастающей одышкой и слабостью
Наиболее частые симптомы:
Одышка (с укорочением вдоха и выдоха, или инспираторного
характера)
Сухой кашель (при попытке сделать глубокий вдох)
Боли в грудной клетке (в нижнебоковых или задненижних
отделах грудной клетки, тупого, ноющего характера,
усиливающиеся при глубоком вдохе)
Общая слабость (нежелание вставать с постели)
Резкое похудание
Диффузный серый цианоз с усилением при физической нагрузке
Деформация концевых фаланг пальцев
Крепитация с обеих сторон, преимущественно ниже углов лопаток
и в межлопаточной области
При длительном течении заболевания выслушивается «писк»
Артериальная гипертензия и хроническое лёгочное сердце

28. Идиопатический фиброзирующий альвеолит (болезнь Хаммена-Рича)

Течение (А.Е.Коган, 1995):
- Острый вариант течения – молниеносное
развитие симптомов, быстрое развитие ДН,
лёгочной артериальной гипертензии. Летальный
исход – через 2-3 месяца от начала болезни.
Редкий вариант.
- Хронический агрессивный вариант течения –
быстро прогрессирующая симптоматика,
истощение больного, тяжёлая ДН. Смерть
наступает в течение года от начала заболевания
- Хронический персистирующий вариант –
более медленное развитие симптомов.
Продолжительность жизни – 4-5 лет
- Хронический медленно прогрессирующий
вариант – медленное нарастание симптомов и
продолжительность жизни больного до 10 лет.

29. Идиопатический фиброзирующий альвеолит (болезнь Хаммена-Рича)

Диагностика:
ОАК – компенсаторный эритроцитоз или нормохромная анемия,
может быть сдвиг лейкоформулы влево, ускорение СОЭ до 20-25
мм/час. При хроническом течении ОАК не изменяется
Б/х – диспротеинемия (гипергаммаглобулинемия), повышение уровня
ЛДГ, сиаловых к-т
В иммунограмме – увеличение уровня ЦИК, повышение значений
IgА, М, G, комплемента, РФ, появление АНА, АуАТ к лёгочной ткани и
гладкой мускулатуре.
КТВР – снижение прозрачности лёгочной ткани («матовое стекло»)
нижних долей и повышение – верхних долей, сетчато-тяжистый
рисунок, ячеистые просветления («сотовое лёгкое»), сужение
лёгочных полей, высокое стояние диафрагмы
Спирометрически – резкое уменьшение статических объёмов и
ёмкостей лёгких, увеличение ригидности лёгких, снижение
диффузионной способности лёгких, отсутствие нарушений
бронхиальной проводимости.
Пульсоксиметрия
Подтверждение диагноза – биопсией лёгкого (!)

30. Идиопатический фиброзирующий альвеолит (болезнь Хаммена-Рича)

Лечение:
ГКС (1 - 1,5 мг/кг/сут преднизолона внутрь) – 6-12
недель, снижая со скоростью 2,5-5 мг в неделю до
дозы 2,5-5 мг, которую оставляют до 9-12 месяцев
Гидроксихинолин (Плаквенил)
N-ацетилцистеин, в/в или перорально в течение 6
месяцев
Перспективные препараты:
Ингибитор тирозинкиназы – Нинтеданиб (тормозит
пролиферацию фибробластов)
Антифиброзные препараты – Пирфенидон (Esbriet)
English     Русский Rules