25.17M
Category: medicinemedicine

Клин пример ИБС+СКВ 2

1.

Клинический пример

2.

Пациентка А., 40 лет.
Даты пребывания в стационаре НМИЦ кардиологии им. ак.
Е. И. Чазова 20.11.2025 - 27.11.2025.
Анамнез заболевания.
При проведении МСКТ
коронарных артерий коронарный кальциевый
индекс (ККИ) составил - 732.
При ККИ > 400 - высока
вероятность тяжелого
многососудистого поражения,
в связи с чем необходимо
проведение
коронароангиографии.
2025 год
Госпитализация в НМИЦ
кардиологии им. ак. Е. И.
Чазова в 8
кардиологическое
отделение.
Жалобы при поступлении:
- одышка при умеренной
физической нагрузке.
20.11.2025

3.

Пациентка А., 40 лет.
Даты пребывания в стационаре НМИЦ кардиологии им. ак. Е. И.
Чазова 20.11.2025 - 27.11.2025.
Анамнез заболевания.
Наследственность: дедушка - инфаркт миокарда в 60 лет
При осмотре: при аускультации легких – дыхание везикулярное, хрипов нет. При
аускультации сердца: тоны сердца ясные, патологических шумов нет.
Ритм: правильный, ЧСС: 70 уд/мин. АД (мм.рт.ст.): 124 /82 мм рт.ст.
Рост: 164 см; Вес: 77 кг; Индекс массы тела: 28,63.
Лекарственная терапия на момент поступления:
- Метилпреднизолон 4 мг
- Небиволол 1,25 мг
- Клопидогрел 75 мг
- Гидроксихлорохин 200 мг

4.

Пациентка А., 40 лет.
Даты пребывания в стационаре НМИЦ кардиологии им. ак. Е. И. Чазова 20.11.2025 - 27.11.2025.
Данные лабораторных исследований.
Общий анализ крови
Биохимический анализ крови
Название
Общий белок
Результат
70,0
Нормы
64,0-83,0
Единицы
измерения
г/л
Название
Результат
Нормы
Единицы
измерения
Гематокрит
47,3
37,0-47,0
%
Гемоглобин
15,40
12,0-16,0
г/дл.
Эритроциты
5,2
4,2-5,4
10*12/л
Лейкоциты
7,0
4,8-10,8
10*9/л
Триглицериды
2,01
0,50-1,75
ммоль/л
ЛПНП-холестерин прямой
4,48
0,08-3,40
ммоль/л
ЛПВП-холестерин
0,96
0,90-1,89
ммоль/л
Тромбоциты
211
130-400
10*9/л
Холестерин не-ЛПВП
4,86
0,00-3,80
ммоль/л
Скорость оседания
эритроцитов
6
0-20
мм/час
Индекс атерогенности
5,1
1,0-3,0
Холестерин
5,82
3,50-5,20
ммоль/л
Натрий
141,0
135,0-148,0
ммоль/л
Калий
4,4
3,5-5,3
ммоль/л
Хлор
109,0
98.0-108,0
ммоль/л
Креатинин
91,2
44,2-106,1
мкмоль/л
С-реактивный белок
10,80
0,00-5,00
мг/л
АЛТ
АСТ
17,0
18,0
3,0-34,0
11,0-34,0
Ед/л
Ед/л
Неконтролируемый уровень
СКФ по CKD-EPI: 70,4 мл/мин/1,73м^2
Повышение С-реактивного белка
обусловлено активностью СКВ по шкале
SLEDAI-2K = 6 баллов
Лекарственная терапия: гидроксихлорохин
200 мг, метилпреднизолон 4 мг

5.

Пациентка А., 40 лет.
Даты пребывания в стационаре НМИЦ кардиологии им. ак. Е. И. Чазова 20.11.2025 27.11.2025.
Данные инструментальных исследований.
ЭКГ от 20.11.2025
Синусовый ритм, 71 уд/мин, признаки
диффузного изменения миокарда.
Фокусированного УЗИ атеросклероза
периферических артерий от 24.11.2025:
Атеросклеротических бляшек СА не выявлено.
Атеросклеротических бляшек БА не выявлено.
Эхокардиография от 21.11.2025
Размеры камер сердца не увеличены. Зон
нарушенной сократимости миокарда ЛЖ не
выявлено. Общая сократимость миокарда
ЛЖ удовлетворительная. ФВ – 60%.
Холтеровское мониторирование ЭКГ от
24.11.2025:
Синусовый ритм со средней ЧСС 67 уд/мин,
зарегистрировано 12 одиночных
наджелудочковых экстрасистол, 2 пробежки
наджелудочковой тахикардии (4-12
комплексов) с максимальной ЧСС 113
уд/мин.
В связи с перенесенным тромбозом глубоких вен, в
плане предопераицонной подготовки, а также
предупреждения возможных осложнений в раннем
постоперационном периоде
Дуплексное сканирование вен нижних конечностей
от 24.11.2025:
Данных за тромбоз не выявлено, слева по
медиальной поверхности в проекции подколенной
ямки лоцируется киста Бейкера

6.

Пациентка А., 40 лет.
Даты пребывания в стационаре НМИЦ кардиологии им. ак. Е. И. Чазова 20.11.2025 27.11.2025.
Данные инструментальных исследований. Коронароангиография.
-
-
-
-
Коронароангиография от
24.11.2025:
Правая коронарная артерия
(ПКА): значимый стеноз в
проксимальном сегменте.
ФРК ПКА: iFR - 0,70, FFR - 0,65
(значения iFR < 0,89 и FFR <0,80
- гемодинамический значимый
стеноз)
Передняя нисходящая артерия
(ПНА): в среднем сегменте
стенозирована на 60-70%, далее
с неровными контурами.
Остальные КА с неровными
контурами - начальные
атеросклеротические изменения.
ПКА
ПНА

7.

ПКА
ПНА

8.

Пациентка А., 40 лет.
Даты пребывания в стационаре НМИЦ кардиологии им. ак. Е. И. Чазова 20.11.2025 27.11.2025.
Данные инструментальных исследований. Транслюминальная балконная коронарная
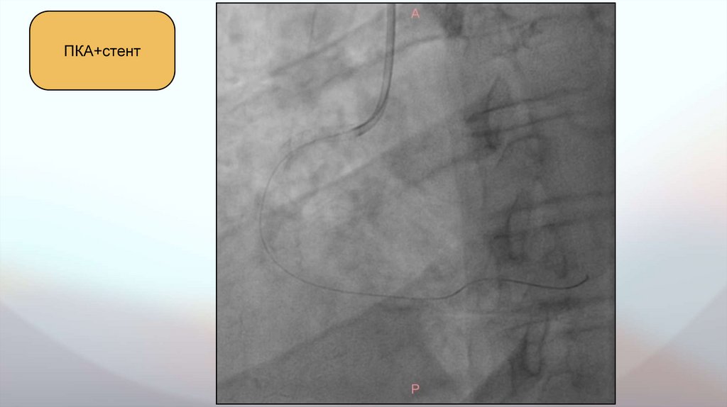
ангиопластика.
Транслюминальная балконная коронарная ангиопластика правой
коронарной артерии:
- выполнен ряд предилатаций в проксимальном сегменте ПКА и
установлен стент Resolute 3,50х18 мм.
ПКА
ПКА+стент

9.

ПКА+стент

10.

Пациентка А., 40 лет.
Даты пребывания в стационаре НМИЦ кардиологии им. ак. Е. И. Чазова 20.11.2025 27.11.2025.
Ранний послеоперационный период.
При осмотре: состояние пациентки стабильное,
жалоб не предъявляет.
Общий анализ крови
Название
Результат
Нормы
Единицы
измерения
Гематокрит
45,8
37,0-47,0
%
Гемоглобин
15,70
12,0-16,0
г/дл.
Эритроциты
5,0
4,2-5,4
10*12/л
Лейкоциты
8,5
4,8-10,8
10*9/л
Тромбоциты
269
130-400
10*9/л
ЭКГ от 25.11.2025: синусовый ритм, ЧСС - 70
уд/мин, без значимых изменений по сравнению с
ЭКГ от 20.11.2025.
Биохимический анализ крови
Название
Результат
Нормы
Единицы
измерения
Общий белок
70,0
64,0-83,0
г/л
Натрий
141,0
135,0-148,0
ммоль/л
Калий
4,4
3,5-5,3
ммоль/л
Хлор
108,0
98.0-108,0
ммоль/л
Креатинин
89,9
44,2-106,1
мкмоль/л
АЛТ
25,0
3,0-34,0
Ед/л
АСТ
21,0
11,0-34,0
Ед/л
Дуплексное сканирование лучевых артерий
после эндоваскулярного вмешательства от
25.11.2025: данных за пульсирующую гематому
не выявлено, однако имеется окклюзия правой
лучевой артерии (место оперативного
доступа)

11.

Пациентка А., 40 лет.
Даты пребывания в стационаре НМИЦ кардиологии им. ак. Е. И. Чазова 20.11.2025 27.11.2025.
Медикаментозная терапия в пределах стационара.
Название
20.11.2025 21.11.2025 22.11.2025 23.11.2025 24.11.2025 25.11.2025 26.11.2025 27.11.2025
Метилпреднизолон 4
мг/сут
и+
и+
и+
и+
и+
и+
и+
и+
Гидроксихлорохин 200
мг/сут
и+
и+
и+
и+
и+
и+
и+
и+
Небиволол 1,25 мг
и+
и+
и+
и+
и+
и+
и+
и+
Клопидогрел 75 мг
и+
и+
и+
и+
и+
и+
и+
и+
и+
и+
и+
и+
и+
и+
Ацетилсалициловая
кислота 200 мг
и+
Ацетилсалициловая
кислота 100 мг
Аторвастатин 20 мг
и+
и+
и+
и+

12.

Пациентка А., 40 лет.
Даты пребывания в стационаре НМИЦ кардиологии им. ак. Е. И. Чазова 20.11.2025 27.11.2025.
Диагноз.
Клинический заключительный диагноз от 27.11.2025:
I20.8 Ишемическая болезнь сердца. Стенокардия 2 функциональный класс. Атеросклероз
коронарных артерий. Транслюминальная баллонная коронарная ангиопластика со
стентированием правой коронарной артерии стентом Resolute 3,50х18 мм от 24.11.2025.
Осложнения основного заболевания: Окклюзия правой лучевой артерии.
Фоновые заболевания: Гипертоническая болезнь III стадии, контролируемая,целевой
уровень АД достигнут, риск сердечно-сосудистых осложнений - 4 ( очень высокий).
Гиперлипидемия.
Сопутствующие заболевания: Системная красная волчанка, острого (по началу) течения,
активность 2 степени (SLEDAI 2K - 6 баллов; ИП SLICC/ACR - 2 балла). Генетическая
тромбофилия: гомозиготная мутация в гене ангиотензинпревращающего фермента,
гетерозиготные мутации в генах фибриногена, метилентетрагидрофола-тредуктазы,
гликопротеина 1 и эпоксидредуктахзы витамина К.

13.

Пациентка А., 40 лет.
Даты пребывания в стационаре НМИЦ кардиологии им. ак. Е. И. Чазова 20.11.2025 27.11.2025.
Рекомендации.
1. Наблюдение кардиологом по месту жительства. Контроль ЭКГ, суточного ЭКГ-мониторирования, ЭхоКГ, УЗИ сонных
артерий и бедренных артерий в плановом порядке не реже 1 раза в 12 месяцев.
2. Соблюдение режима двигательной активности и отдыха. Умеренные физические нагрузки (прогулки, плавание,
гимнастика) не реже 4-5 раз в неделю, не менее 30 мин. Сон не менее 7-8 часов.
3. Соблюдение диеты с ограничением поваренной соли до 4-6 г/сут (использовать йодированную соль), продуктов с
повышенным содержанием холестерина, животных жиров, углеводов, включить в рацион морепродукты.
4. Ежедневный самоконтроль АД, ЧСС, веса.
5. Постоянный прием лекарственных препаратов (МНН):
- Липидснижающая терапия: - аторвастатин 20 мг по 1т вечер. Контроль уровней: общего холестерина, ЛПНП (целевой
уровень менее <1,4 ммоль/л), триглицеридов, АЛТ (N: 3,0- 55,0 Ед/л), АСТ (N: 3,0-55,0 Ед/л) . Контроль через 4-6 недель,
далее не реже 1 раза в 6 месяцев. В случае появления немотивированных болей в мышцах - контроль КФК. При повышении
КФК более 5 норм - срочная консультация врача. Превышение уровня КФК более 5 верхних пределов нормы, АСТ и/или АЛТ
более 3 верхних пределов нормы требует решения вопроса о коррекции дозы препарата или о его отмене, после
консультации с врачом.
- Клопидогрел 75 мг утром в течении 6 месяцев до 27.05.2026 г.
- Ацетилсалициловая кислота 100 мг вечер
- Гидроксихлорохин 200 мг утро
- Небиволол 1,25 мг утро
- Метипреднизолон 4 мг утро
6. Наблюдение ревматолога. В связи с инициацией гиполипидемической, началом приема двойной антиагрегантной терапии
(ацетилсалициловая кислота и клопидогрел) - повторная консультация ревматолога в НИИР им В.А. Насоновой.
English     Русский Rules