Ассистент кафедры патологической анатомии, врач-патологоанатом М.А. Курганская
БОЛЕЗНИ ЖЕЛЕЗ ВНУТРЕННЕЙ СЕКРЕЦИИ
Болезни эндокринной системы: этиология и патогенез
Болезни гипоталамо-гипофизарной системы
Болезни гипоталамо-гипофизарной системы: классификация
Болезни гипоталамо-гипофизарной системы: этиология и патогенез
Пангипопитуитаризм
Пангипопитуитаризм
Пангипопитуитаризм
Пангипопитуитаризм
Пангипопитуитаризм
Соматотропная недостаточность
Соматотропная недостаточность
Синдром изолированного гипофиза
Гиперпролактинемический гипогонадизм
Несахарный диабет
Несахарный диабет
Синдром неадекватной продукции антидиуретического гормона
Акромегалия и гипофизарный гигантизм
Акромегалия и гипофизарный гигантизм
Болезни эпифиза
Опухоли гипофиза и эпифиза: классификация ВОЗ (2021)
Болезни щитовидной железы
Болезни щитовидной железы: классификация
Болезни щитовидной железы: классификация
Болезни щитовидной железы: классификация
Пороки развития щитовидной железы
Зоб
Зоб: классификации
Зоб: классификации
Диффузный токсический зоб
Диффузный токсический зоб: морфология
Диффузный токсический зоб: морфология
Диффузный токсический зоб
Диффузный токсический зоб: осложнения
Узловой токсический зоб
Нетоксический коллоидный зоб
Нетоксический коллоидный зоб: морфология
Нетоксический коллоидный зоб: морфология
Нетоксический коллоидный зоб: осложнения
Тиреоидиты: классификация
Тиреоидиты: классификация
Острый тиреоидит: классификация
Острый тиреоидит: классификация
Острый тиреоидит: классификация
Подострый тиреоидит (тиреоидит де Кервена)
Хронические тиреоидиты: классификация
Тиреоидит Хашимото
Тиреоидит Хашимото
Юношеский лимфоцитарный тиреоидит
Послеродовой тиреоидит
Фибринозный тиреоидит Риделя
Опухоли щитовидных желез
Болезни паращитовидных желез
Гипопаратиреоз: классификация
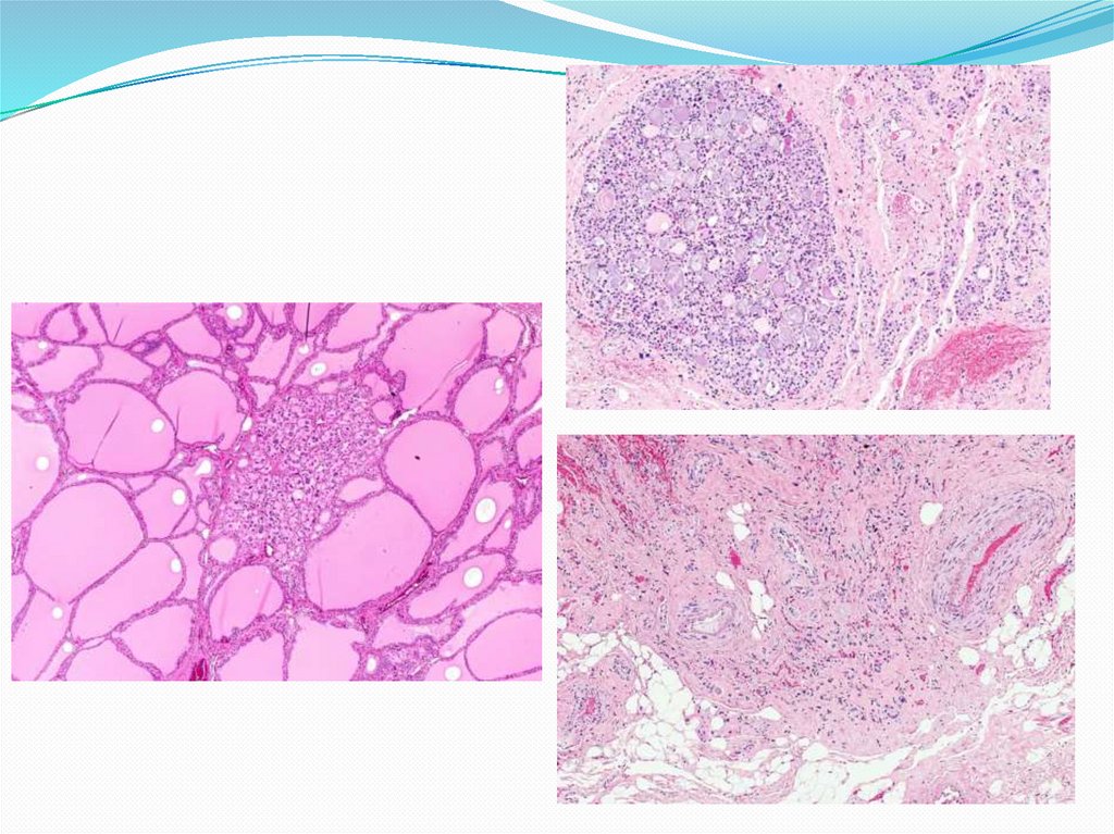
Гипопаратиреоз
Гиперпаратиреоз: классификация
Гиперпаратиреоз
Опухоли паращитовидных желез
Болезни надпочечников
Болезни надпочечников: классификация
Болезнь и синдром Иценко-Кушинга: классификация
Болезнь и синдром Иценко-Кушинга
Болезнь и синдром Иценко-Кушинга
Болезнь Иценко-Кушинга
Болезнь Иценко-Кушинга: морфология
Синдром Иценко-Кушинга
Гиперальдостеронизм
Недостаточность коры надпочечников: классификация
Острая недостаточность коры надпочечников: классификация
Острая недостаточность коры надпочечников: этиология и патогенез
Острая недостаточность коры надпочечников: морфология
Хроническая недостаточность коры надпочечников
Хроническая недостаточность коры надпочечников
Опухоли надпочечников
Сахарный диабет
Опухоли
37.94M
Category: medicinemedicine

Болезни эндокринной системы

1. Ассистент кафедры патологической анатомии, врач-патологоанатом М.А. Курганская

Федеральное государственное бюджетное образовательное учреждение высшего образования
«Волгоградский государственный медицинский университет» Министерства здравоохранения
Российской Федерации
Кафедра патологической анатомии
Лекция
«Болезни эндокринной системы»
Волгоград, 2025

2. БОЛЕЗНИ ЖЕЛЕЗ ВНУТРЕННЕЙ СЕКРЕЦИИ

В эндокринной системе существует тесная связь между входящими в нее
периферическими эндокринными железами друг с другом и гипофизом,
тропные гормоны которого координируют функции всей системы.
Гипофиз в свою очередь находится под влиянием центральной нервной
системы, прежде всего гипоталамуса, в некоторой степени - эпифиза.
Эндокринную систему с иммунной системой связывает вилочковая
железа.
Таким образом, можно говорить об нейро-эндокринно-иммунной
регуляторной системе, обеспечивающей гомеостаз.
К эндокринной системе относят также рассеянную во многих органах и
тканях диффузную эндокринную систему - APUD-систему.
Поражение какой-либо одной эндокринной железы, особенно гипофиза,
сопровождается структурной и функциональной перестройкой других
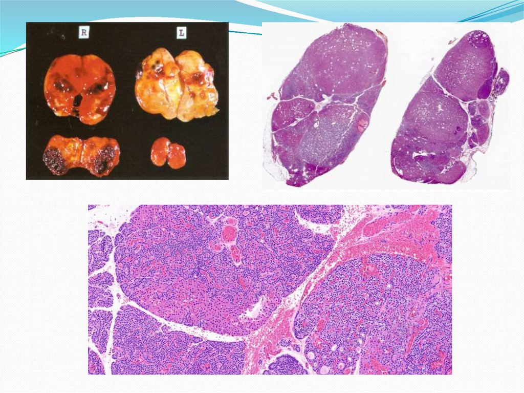
желез.
В случаях клинически выраженного одновременного поражения многих
эндокринных желез говорят о плюригландулярной эндокринопатии.

3.

4.

5. Болезни эндокринной системы: этиология и патогенез

Болезни эндокринной системы
врожденные
приобретенные
Причины:
патологические процессы в ЦНС
нарушения гипоталамо-гипофизарной регуляции
аутоиммунные процессы
опухоли
В основе этиологии и патогенеза заболеваний эндокринной системы лежат
следующие врожденные (наследственные) и приобретенные
механизмы:
недостаточное выделение гормона (гипофункция эндокринных желез);
избыточное выделение гормона (гиперфункция эндокринных желез);
секреция аномального гормона, нарушение ритма (циркадного – суточного,
сезонного и т.д) выделения гормона;
резистентность или повышенная чувствительность к действию гормона органовмишеней и клеток-мишеней;
аномалии транспорта и метаболизма гормонов
множественные аномалии (сочетания разных механизмов патогенеза)

6.

Болезни гипоталамо-гипофизарной
системы

7. Болезни гипоталамо-гипофизарной системы

Гипоталамус – отдел промежуточного мозга, расположенный под
дном III желу дочка. Содержит 32 пары ядер – скоплений нейронов
и нейросекреторных клеток.
Гипофиз – непарная эндокринная железа. Он находится
гипофизарной ямке турецкого седла клиновидной кости и состоит
из двух долей – аденогипофиза и нейрогипофиза.
Гипофиз связан с гипоталамусом гипофизарной ножкой,
включающей гипоталамо-гипофизарный тракт, и портальной
сосудистой системой.
Гипоталамус и гипофиз образуют единый нейроэндокринный
структурно-функциональный комплекс, обеспечивающий
гомеостаз и регулирующий гомеокинез

8.

9.

10.

11.

12. Болезни гипоталамо-гипофизарной системы: классификация

Заболевания с установленным гипоталамическим генезом
Заболевания с предполагаемым гипоталамическим генезом
Пубертатно-юношеский диспитуитаризм
Липодистрофии и липогипертрофии
Заболевания гипоталамо-гипофизарного генеза
Опухоли (краниофарингиома и другие супраселлярные опухоли головного мозга и его оболочек,
лимфомы, мягкотканные и тератоидные новообразования, метастазы опухолей)
Генетические гипоталамические нарушения (синдромы Сото, Лоренса-Муна-Барде-Бидля, ПрадераВилли).
Гипоталамические нарушения роста и полового развития (синдром Кальмана, гипоталамический
гипогонадизм, гипоталамические формы нанизма).
Синдром «изолированного гипофиза»
Гиперпролактинемический гипогонадизм
Акромегалия и гипофизарный гигантизм
АКТГ-зависимый гипофизарный синдром Кушинга
Несахарный диабет
Синдром неадекватной секреции антидиуретического гормона (АДГ)
Заболевания с установленным гипофизарным генезом
Синдром «пустого» турецкого седла
Тотальный гипопитуитаризм, синдром Симмондса, синдром Шихена
Гипофизарный нанизм
Синдромы парциального гипопитуитаризма (изолированный дефицит АКТГ, гипогонадотропный
гипогонадизм, гипофизарный нанизм с сохраненной секрецией гонадотропинов)

13. Болезни гипоталамо-гипофизарной системы: этиология и патогенез

Нарушения секреции и/или поступления в гипофиз либеринов (рилизинг-гормонов) и статинов, а также АДГ
— вазопрессина и окситоцина гипоталамуса => вторичные нарушения продукции тропных гормонов аденогипофиза
(преимущественно парциальный или тотальный гипопитуитаризм)
Нарушения секреции или поступления кровь тропных гормонов аденогипофиза (гиперпродукция одного или
нескольких тропных гормонов, парциальный или тотальный гипопитуитаризм)
Опухоли гипоталамуса (супраселлярные опухоли): гормонально неактивны и в зависимости от их локализации
сопровождаются неврологическими и психическими нарушениями, синдромом внутричерепной гипертензии,
эндокринно-обменными синдромами (различные виды гипопитуитаризма, вплоть до пангипопитуитарной комы,
ожирение или кахексия, несахарный диабет и тд), нарушениями терморегуляции, вторичным иммунодефицитным
синдромом.
Снятие ингибирующего влияния дофамина гипоталамуса на секрецию пролактина аденогипофизом
приводит к развитию синдрома гиперпролактинемии, а утрата рефрактерности к гонадотропинам в допубертатном
периоде — к преждевременному половому созреванию.
Вовлечение в патологический процесс гипоталамуса и гипофиза возможно при черепно-мозговых травмах,
цереброваскулярных болезнях, инфекционно-воспалительных локальных (нейроинфекции) и
генерализованных заболеваниях с поражением гипоталамо-гипофизарной системы (туберкулез, сифилис, сепсис,
ВИЧ-инфекция и др.), при внутричерепной гипертензии любой этиологии, при разнообразных системных
заболеваниях различной природы (саркоидоз, лимфомы и лейкозы, гистиоцитоз из клеток Лангерганса, васкулиты и
ревматические болезни и т.д.).
Изолированное неопухолевое поражение гипофиза может быть обусловлено аутоиммунным лимфоцитарным
гипофизитом (и сопровождаться как гипер-, так и гипосекрецией тропных гормонов), ишемическим инфарктом,
кровоизлиянием при шоке, коллапсе, ДВС-синдроме (синдромы Шихена и Симмондса), атрофией от давления при
инвагинации мягкой мозговой оболочки в область турецкого седла.
Среди ятрогенных поражений гипоталамо-гипофизарной системы различают медикаментозные, травматические
(при хирургических вмешательствах на головном мозге и др.) и связанные с лучевой терапией.
При острых инфекционных поражениях гипоталамо-гипофизарной области на первый план в клинике
выступают интоксикация и нарушения деятельности ЦНС, а гипоталамические расстройства чаще ограничиваются
синдромом неадекватной секреции АДГ.

14. Пангипопитуитаризм

Пангипопитуитаризм проявляется дефицитом гормонов передней и задней
долей гипофиза гормонов:
Дефицит СТГ => задержка роста (в детстве), снижение плотности костей,
мышечная атрофия, гиперхолестеринемия.
Дефицит пролактина => нарушение лактации после родов.
Дефицит ФСГ/ЛГ => гипогонадотропный гипогонадизм или вторичный
гипогонадизм.
Дефицит ТТГ => вторичный гипотиреоз.
Дефицит АКТГ => вторичная надпочечниковая недостаточность.
Дефицит АДГ => центральный несахарный диабет.

15. Пангипопитуитаризм

Включает в себя клинические синдромы (Шихена, Симмондса и др.), связанные со снижением продукции
всех или большинства тропных гормонов аденогипофиза, а также другие тотальные и парциальные
варианты гипопитуитаризма, гипофизарный нанизм, медикаментозный гипопитуитаризм и т.д.
О парциальном (частичном) гипопитуитаризме говорят при снижении секреции одного гормона или
небольшой части из них.
Для развития тотального гипопитуитаризма необходимо поражение 90% и более объема аденогипофиза, для
парциального – 60% - 70%.
Классификация
Первичный гипопитуитаризм (90% наблюдений):
первичное поражение гипофиза
ишемический инфаркт
кровоизлияние
гормонально неактивные опухоли и метастазы опухолей
некроз при нейроинфекции, интоксикации, метаболических нарушениях
аутоиммунный гипофизит
облучение гипофиза
операции на гипофизе
травмы гипофиза
медикаментозные поражения гипофиза
варианты синдрома «пустого» турецкого седла
Вторичный гипопитуитаризм:
грубое нарушение регуляции синтеза гормонов гипофиза (поражение надгипоталамических отделов ЦНС,
гипоталамуса, ножки гипофиза).
Идиопатический гипопитуитаризм.

16. Пангипопитуитаризм

17. Пангипопитуитаризм

Синдром Шиена (Шихена) — пангипопитуитаризм, чаще
развивающийся развивающийся у женщин после родов, в
результате, тотального или субтотального ишемического
инфаркта либо кровоизлияния в гипертрофированный при
беременности аденогипофиз.
Встречается при массивной (более 1 л) кровопотере, сепсисе,
шоке, ДВС-синдроме или тромбоэмболии сосудов
аденогипофиза.
При доброкачественном, иногда многолетнем, течении
типичен так называемый синдром 7A:
аменорея
агaлактия
отеря аксиллярного оволосения
депигментация ареол
«алебастровая» бледность кожи
апатия
адинамия
Сходные синдромом Шихена изменения аденогипофиза
могут возникать как у женщин, так и у мужчин после
тяжелых кровотечений (маточных, желудочно-кишечных и
др.) при тромбоэмболическом синдроме, сепсисе, шоке,
ДВС-синдроме.
У рожениц с тяжелыми формами гестоза описано развитие
аутоиммунного лимфоцитарного гипофизита с
манифестацией синдрома Шихена.

18. Пангипопитуитаризм

Синдром Симмондса — наиболее тяжелый вид
пангипопитуитаризма, послеродовой тотальный
некроз аденогипофиза (или массивное
кровоизлияние в него) с быстро прогрессирующей
«кахексией Симмондса» и развитием гипофизарной
комы (острая аденогипофизарная недостаточность,
сочетающая острую надпочечниковую
недостаточность и гипотиреоидную кому).
В гипофизе (при первичной форме
пангипопитуитаризма) — инфаркт, кровоизлияние (в
том числе в его крупную аденому с разрушением
опухоли и окружающей ткани), токсический или
метаболический некроз, гормонально неактивные
опухоли, метастазы опухолей, воспаление,
аутоиммунный лимфоцитарный гипофизит, фиброз,
атрофия от давления при инвагинации мягкой
мозговой оболочки (при синдроме «пустого»
турецкого седла).
При вторичной форме наблюдают выраженную в
разной степени атрофию аденогипофиза, уменьшение
числа хромофильных клеток. В периферических
органах и тканях «кахексия Симмондса» (бурая
атрофия миокарда, печени, скелетных мышц),
атрофия эндокринных желез и лимфоидной ткани,
полиневриты и нейродистрофии, остеопороз.

19. Соматотропная недостаточность

Включает группу врожденных и приобретенных синдромов, объединенных дефицитом соматотропного
гормона (СТГ).
Гипофизарный нанизм — наиболее манифестная форма соматотропной недостаточности.
Нанизм (от лaт. nanos— карлик) - полиэтиологический клинический синдром, характеризующийся резким
отставанием в росте и физическом развитии (мужчины ниже 130 см, женщины ниже 120 см).
Нанизм связан с абсолютной или относительной недостаточностью СТГ.
По настоящее время до 65-75% случаев гипофизарного нанизма являются идиопатическими. У большинства
больных нарушена также продукция ФСГ, ЛГ, ТТГ, что сопровождается сочетанием эндокринных и обменных
нарушений (крайний вариант — пангипопитуитарный нанизм).
Тяжелые хронические соматические заболевания нередко приводят к приобретенной недостаточности СТГ
(гломерулонефриты с хронической почечной недостаточностью, циррозы печени и т.д).

20. Соматотропная недостаточность

Классификация
Врожденный дефицит соматотропного гормона
Наследственный
патология (делеции, мутации) гена СТГ
типы ІА и ІБ - аутосомно-рецессивный тип наследования
тип II — аутосомно-доминантный тип наследования
тип IIІ — Х-сцепленный тип наследования
патология (мутация) гена Ріt-І;
патология (мутация) гена рецептора к рилизинг-гормону СТГ
идиопатический дефицит рилизинг-гормона СТГ
Дефекты развития гипоталамо-гипофизарной системы
патология срединной трубки (анэнцефалия, голопрозэнцефалия, септоптическая дисплазия)
дисгенез гипофиза (врожденная аплазия и гипоплазия, эктопия)
Приобретенный дефицит СТГ
опухоли гипоталамуса и гипофиза
опухоли других отделов головного мозга (глиома зрительного нерва и др.)
черепно-мозговая, хирургические травмы;
инфекции;
супраселлярные арахноидальные кисты и гидроцефалия;
сосудистая патология (аневризмы сосудов гипофиза, инфаркт гипофиза);
облучение головы и шеи;
токсические последствия химиотерапии;
системные болезни (саркоидоз, гистиоцитоз из клеток Лангерганса);
транзиторный нанизм (конституциональная задержка роста и пубертата) и психоэмоциональный (депривационный) нанизм.
Периферическая резистентность к действию СТГ
патология (мутации) гена рецепторов к СТГ (синдром Ларона, карликовость пигмеев)
продукция биологически неактивного СТГ
резистентность к инсулиноподобному фактору poста-1

21. Синдром изолированного гипофиза

Клинический синдром, развивающийся в результате сдавления ножки гипофиза при любом
патологическом процессе в гипоталамо-гипофизарной области (опухоль, гематома,
воспаление, травма, хирургическое вмешательство и т.д).
У 80% больных отмечают несахарный диабет (особенно при высоком сдавлении ножки
гипофиза) вследствие прекращения поступления АДГ в кровь.
По мере прогрессирования пангипопитуитаризма прекращается продукция всех тропных
гормонов, включая АКТГ (как следствие — снижается уровень кортизола, антагониста АДГ),
что ведет к уменьшению полиурии (синдром Ханна).
Патогномоничен синдром гиперпролактинемии (результат снятия ингибирующего влияния
дофамина гипоталамуса на аденогипофиз) на фоне пангипопитуитаризма.
Синдром «пустого» турецкого седла
Подразумевает недостаточность диафрагмы турецкого седла с инвагинацией в полость седла
мягкой мозговой оболочки со сдавлением и атрофией гипофиза от давления.
первичную (при внутричерепной гипертензии)
вторичную, развившуюся при гипоталамо-гипофизарных заболеваниях
ятрогенную (после нейрохирургического вмешательства)
Клинически этот синдром может проявляться тотальным, чаще парциальным,
гипопитуитаризмом.
Термином «вторичный синдром “пустого" турецкого седла» обозначают выраженную атрофию
гипофиза после специфического медикаментозного лечения его опухолей; резидуальный
гипофиз после инфарктов и гематом (при синдроме Шихена), особенно после массивных
спонтанных некрозов его аденом.
Этот синдром может быть результатом физиологической или патологической гипертрофии
ножки гипофиза (многочисленные беременности, длительный прием оральных контрацептивов,
длительная и неадекватная заместительная терапия недостаточности периферических
эндокринных желез).
Патогенез эндокринно-обменных нарушений в большей степени связан со сдавлением ножки
гипофиза (нейроофтальмологические симптомы, гиперпролактинемия, несахарный диабет,
соматотропная недостаточность, гипотиреоз, гипогонадизм, вториный гипокортицизм).

22. Гиперпролактинемический гипогонадизм

Клинический синдром, обусловленный гиперпролактинемией
Первичный (эссенциальный): при пролактиномах аденогипофиза
Вторичный, в сочетании с другими гипоталамо-гипофизарными заболеваниями: разнообразные поражения
аденогипофиза и гипоталамуса с гиперплазией и гиперфункцией пролактиноцитов аденогипофиза.
Симптоматический: реже сочетается с гипогонадизмом, развивается при поражении периферических
эндокринных желез:
поли- и склерокистозе яичников;
гипотиреозе;
эстрогенпродуцирующих опухолях;
при врожденной дисфункции коры надпочечников;
при приеме лекарственных препаратов с антидофаминомиметической активностью;
при наркомании;
при использовании внутриматочных контрацептивов;
при печеночной или почечной недостаточности;
внегипофизарной эктопической продукции пролактина опухолями легких и других органов;
при нейрогенных нарушениях и т.д.
У женщин развиваются гиперплазия и гипертрофия железистых структур молочных желез с апокринной секрецией, но
в финале болезни — их липоматоз; незрелые или кистозно-измененные фолликулы и склероз стромы яичников
(клинически — бесплодие), гирсутизм, умеренное ожирение (ранее, напротив, на фоне обильной галактореи обычно
наблюдают кахексию — «молочную сухотку»). У заболевших в допубертатный период развивается гипоплазия
внутренних наружных половых органов. При гипериролактинемии, обусловленной первичным гипотиреозом
допубертатном периоде, преждевременное половое созревание, галакторея, менометроррагии (синдром Ван- Вика
Хеннеса Pocca).
У мужчин — гинекомастия (редко — с апокринной секрецией и галактореей), в яичках - различные варианты блокады
сперматогенеза, дистрофические и атрофические изменения клеток Лейдига (бесплодие).
У пациентов обоего пола — остеопороз и другие проявления, зависящие от вида гиперпролактинемии.

23.

Пролактинома

24. Несахарный диабет

Клинический синдром, обусловленный снижением способности почек концентрировать
мочу, связанный с абсолютной или относительной недостаточностью АДГ
Несахарный диабет может входить в состав врожденного (аутосомно-рецессивного)
синдрома Вольфрама, включающего СД, атрофию зрительных нервов, глухоту и атонию
мочевого пузыря.
Классификация
Центральный (первичный, нейрогенный, гипоталамо-гипофизарный) - абсолютная
недостаточность секреции АДГ:
врожденный, семейный и несемейный (генные дефекты синтеза, секреции или
рецепции АДГ, а также мутации аквапоринов);
приобретенный (травматический, послеоперационный, неопластический,
постинфекционный, сосудистый, аутоиммунный)
Нефрогенный (врожденный и приобретенный): относительная недостаточность АДГ
из-за нарушения рецепции АДГ в почках при обменных нарушениях (например,
гиперкальциемия, гипокалиемия), гипоксии вследствие анемии, заболеваниях почек
(пиелонефрит, гломерулонефрит, амилоидоз), обструкции мочевыводящих путей,
интоксикации.
Дипсогенный (первичная, нервная полидипсия): снижение порога активации центра
жажды при органических поражениях центров жажды ЦНС, психических расстройствах.
Идиопатический: диагноз ставят методом исключения, сюда относят 30% наблюдений
несахарного диабета.

25. Несахарный диабет

Абсолютная или относительная недостаточность АДГ (кроме дипсогенной формы, когда уровень АДГ
снижен) вызывает нарушение концентрации мочи.
Дефицит АДГ или патология V2-рецепторов эпителия дистальных извитых канальцев нефрона
приводит к выделению мочи с низкой осмолярностью (полиурия), уменьшению объема внеклеточной
жидкости, повышению осмолярности сыворотки крови, стимуляции центра жажды (полидипсия).
Ограничение жидкости быстро приводит к обезвоживанию и шоку.
Для центрального несахарного диабета характерны снижение уровня АДГ в крови,
гиперосмолярность мочи и плазмы крови.
Для нефрогенного — симптомы заболевания почек, повышенный или нормальный уровень АДГ в
крови, гиперосмолярность мочи и плазмы крови, отсутствие эффекта от лечения препаратами АДГ.
Для дипсогенного диабета характерны симптомы психических заболеваний, снижение уровня АДГ
крови, гипоосмолярность мочи и плазмы крови.
Морфологическая картина:
при центральной форме
дистрофия нейронов гипоталамуса с повреждением мембранных осмо- и барорецепторов
центра жажды
опухоли
сосудистые и воспалительные изменения гипоталамуса
дистрофия, некроз, атрофия нейронов и их аксонов супраоптического и паравентрикулярного
ядер гипоталамуса, ножки гипофиза и нейрогипофиза
в почках — белковая и жировая дистрофия эпителия извитых канальцев, воспалительная
инфильтрация, атрофия эпителия канальцев и собирательных трубочек

26.

27. Синдром неадекватной продукции антидиуретического гормона

Клинический синдром, возникающий при абсолютной или относительной
гиперпродукции АДГ (синдром Швартца-Бартера) с развитием
гипонатриемической (гипоосмолярной) гипергидратации
Классификация
Центральный
первичный — идиопатический, или синдром Пархона;
вторичный, симптоматический — проявление или осложнение различных
поражений ЦНС, эндокринных заболеваний, а также ятрогенное
происхождение, лекарственное и т.д.
Периферический (эктопический): эктопическая продукция АДГ опухолями
легких, поджелудочной железы, желудочно-кишечного тракта, тимуса и других
органов.
Морфологическая картина:
при центральной форме синдрома неадекватной продукции АДГ — гипертрофия
перикарионов нейросекреторных клеток супраоптического и паравентрикулярного
ядер гипоталамуса, гипертрофия аксонов нейросекреторных нейронов
нейрогипофиза
в почках - гидропическая дистрофия эпителия извитых канальцев
в миокарде — жировая дистрофия и метаболические некрозы кардиомиоцитов
в подкожной клетчатке — отек, гипертрофическое ожирение

28.

29. Акромегалия и гипофизарный гигантизм

Это варианты нейроэндокринного синдрома, возникающего вследствие
избыточной продукции и/или повышенной биологической активности СТГ.
Проявления синдрома зависят от степени завершенности остеогенеза:
у взрослых наблюдают увеличение конечных участков тела (акромегалия),
у детей и подростков (до обызвествления эпифизов) — значительное
увеличение роста (гигантизм)
Классификация
Центральная и гипоталамическая формы: нарушение регуляции на уровне
гипоталамуса или вышележащих отделов ЦНС с избыточной продукцией
соматолиберина или дефицитом секреции соматостатина. Характерна
гиперплазия и гипертрофия соматотрофов аденогипофиза
Гипофизарная форма (99% наблюдений): соматотропинома или
пролактосоматотропинома аденогипофиза
Эктопическая форма: соматолиберин или СТГ-продуцирующая опухоль
легкого, молочной железы, поджелудочной железы, кишечника, яичников,
тимуса.
Периферическая форма акромегалии и гипофизарного гигантизма: повышение
продукции и активности соматомединов, влияющих на рост костно-суставного
аппарата и внутренних органов.

30. Акромегалия и гипофизарный гигантизм

Различают доброкачественное, медленно прогрессирующее и злокачественное течение
болезни, а также дезертирующую форму (со спонтанными ремиссиями)
Морфологическая картина:
у детей и подростков — чрезмерно высокий рост
у взрослых - непропорциональное увеличение кистей, стоп, носа, нижней челюсти,
надбровных дуг, губ, ушей, языка (макроглоссия), себорея
перестройка, дистрофия (остеохондроз) и воспаление (остеохондрит) костной и
хрящевой ткани
разрастания остеоидной ткани, спланхномегалия с прогрессирующим склерозом
стромы, ишемией паренхимы и развитием недостаточности — сердечной, легочной
(гипертрофическая и дилатационная кардиомиопатия), склероз стенок сосудов,
узловой или диффузный зоб, аденоматозная гиперплазия коры надпочечников,
фиброзно-кистозная мастопатия, поликистоз яичников, полипоз кишечника и тд.
В исходе — вторичный СД, нарушения фосфорно-кальциевого и жирового обмена,
вторичные гипотиреоз, гипокортицизм, гипогонадизм, синдром репродуктивных
расстройств, мочекаменная болезнь
Значительно возрастает риск развития новообразований разных органов.

31.

Соматотропинома

32. Болезни эпифиза

Эпифиз (шишковидная железа)
расположен над пластинкой крыши
среднего мозга за задней комиссурой
головного мозга. Паренхима
представлена светлыми пинеалоцитами
(продуцирующими на свету серотонин) и
темными пинеалоцитами (продуцируют в
темноте мелатонин), а также глиальными
клетками.
В настоящее время изучены в основном
заболевания, обусловленные опухолями
эпифиза: пинеалоцитомой и
пинеалобластомой (последняя
синтезирует серотонин и мелатонин);
глиальными новообразованиями,
тератомами и т.д.
Важнейшие проявления болезней
эпифиза — нарушения полового
созревания, гипогонадизм, синдромы
поражения ЦНС, отклонения циркадных
(суточных) ритмов функционирования
нейроэндокринно-иммунной системы
Питуицитома
Норма

33. Опухоли гипофиза и эпифиза: классификация ВОЗ (2021)

Опухоли гипофиза
Краниофарингиома
Адамантиномная
Папиллярная
Питуицитома
Аденома гипофиза/нейроэндокринная опухоль гипофиза
Бластоматоз гипофиза
Опухоли эпифиза
Пинеоцитома
Опухоль паренхимы эпифиза промежуточной дифференцировки
Пинеобластома
Папиллярная опухоль эпифиза
Десмопластическая миксоидная опухоль пинеальной области

34.

Пинеоцитома
Краниофарингиома
Пинеобластома
Папиллярная опухоль эпифиза
Аденома гипофиза

35.

Болезни щитовидной железы

36. Болезни щитовидной железы

Щитовидная железа — непарный эндокринный орган, состоящий из
двух долей и перешейка (в 30% наблюдений имеется еще пирамидная
доля).
Функциональная единица щитовидной железы — тиреоидный
фолликул. Он представляет собой полость, заполненную коллоидом и
выстланную одним слоем эпителия, состоящего из А-тиреоцитов
(фолликулярные клетки) и В-тиреоцитов (клетки Ашкенази-Портле),
лежащих на базальной мембране. К тиреоидному фолликулу прилежит
строма с сосудами, нервами и расположенными в ней
экстрафолликулярными А- и В-тиреоцитами, а также С-клетками
(кальцитониноциты, парафолликулярные клетки).
Болезни щитовидной железы подразделяют на три группы:
синдром тиреотоксикоза
синдром гипотиреоза
заболевания щитовидной железы без нарушения ее функции
(эутиреоз).

37.

38. Болезни щитовидной железы: классификация

Синдром тиреотоксикоза
Тиреотоксикоз, обусловленный повышенной продукцией гормонов щитовиднои железы
Диффузный токсический зоб (болезнь Грейвса, болезнь Базедова)
Функциональная автономия щитовидной железы:
унифокальная (в т.ч. тиреотоксическая аденома)
мультифокальная (в т.ч. многоузловой токсический зоб)
диссеминированная функциональная автономия
Йодиндуцированный тиреотоксикоз
Аутоиммунный тиреоидит в тиреотоксической фазе
ТТГ-индуцированный тиреотоксикоз:
Трофобластический тиреотоксикоз
Гестационный транзиторный тиреотоксикоз
Тиреотоксикоз, обусловленный повышенной продукцией тиреоидных гормонов вне щитовидной
железы.
Струма яичников
Метастазы рака щитовидной железы, продуцирующие тиреоидные гормоны
Тиреотоксикоз, не связанный с гиперпродукцией гормонов щитовидной железы
Ятрогенный и артифициальный тиреотоксикоз
Тиреотоксическая фаза подострого тиреоидита де Кервена
ТГГ-продуцирующая аденома гипофиза;
синдром неадекватной секреции ТТГ (резистентность тиреотрофов к тиреоидным гормонам)

39. Болезни щитовидной железы: классификация

Синдром гипотиреоза
Первичный гипотиреоз
Гипотиреоз, обусловленный уменьшением количества функционирующей ткани щитовидной железы:
гипотиреоз, обусловленный нарушением эмбрионального развития щитовидной железы
(врожденный гипотиреоз)
послеоперационный гипотиреоз
гипотиреоз, обусловленный аутоиммунным поражением щитовидной железы (атрофическая
форма аутоиммунного тиреоидита)
пострадиационный гипотиреоз
гипотиреоз, обусловленный вирусным поражением щитовидной железы
гипотиреоз на фоне новообразований в щитовидной железе
Гипотиреоз, обусловленный нарушением синтеза тиреоидных гормонов:
эндемический зоб с гипотиреозом
спорадический зоб с гипотиреозом (дефекты биосинтеза гормонов)
медикаментозный гипотиреоз (прием тиреостатических средств и ряда других препаратов)
зоб и гипотиреоз, развившиеся в результате употребления пищи, содержащей зобогенные
вещества
Гипотиреоз центрального генеза
Гипотиреоз гипофизарного генеза
Гипотиреоз гипоталамического генеза

40. Болезни щитовидной железы: классификация

Заболевания щитовидной железы без нарушения ее функции (эутиреоз)
Эутиреоидный зоб
Зоб, обусловленный нарушением синтеза тиреоидных гормонов:
эндемический зоб (диффузный, узловой)
спорадический зоб (диффузный, узловой)
Ятрогенный (медикаментозный) зоб
Зоб, обусловленный зобогенными веществами, содержащимися в пище
Тиреоидная неоплазия
Доброкачественные опухоли: аденома, тератома
Злокачественные опухоли: папиллярный, фолликулярный, медуллярный
недифференцированный, плоскоклеточный рак, другие злокачественные опухоли
(мягкотканные, лимфомы и др.).
Тиреоидиты
Острый: гнойный, негнойный
Подострый (вирусный, де Кервена)
Хронический: аутоиммунный, инвазивный фиброзный, безболевой и послеродовой

41. Пороки развития щитовидной железы

Добавочная пирамидная доля
(вариант нормы у 30% населения)
=>
Кольцевидная щитовидная железа
(охватывает трахею)
Эктопированная щитовидная железа
или добавочные щитовидные железы (их
обнаруживают по пути миграции зачатка
щитовидной железы в процессе
эмбрионального развития — от корня
языка до диафрагмы) =>
Аплазия (агенезия) щитовидной
железы — ее полное отсутствие (вариант
врожденного гипотиреоза — синдром
спорадического незобного кретинизма)
Гипоплазия щитовидной железы
(вариант врожденного гипотиреоза,
тяжесть которого зависит от степени
гипоплазии)
Истинные кисты щитовидной железы
=>

42. Зоб

Зоб (струма) — патологическое увеличение щитовидной железы,
связанное с диффузной или очаговой (узловой) гипертрофией и/или
гиперплазией ее паренхимы.
Клиническое понятие «узел» (образование диаметром 1 см и более)
не соответствует морфологическому. Клиническими терминами
«узловой» или многоузловой зоб» обозначают наличие в
щитовидной железе узла (узлов) даже без увеличения ее объема
(последний может быть и уменьшен).

43. Зоб: классификации

По локализации:
односторонний
двусторонний
на шее
загрудинный
зоб эктопированной щитовидной железы (в корне языка, в средостении и т.д.)
По объему (зобом следует считать увеличение объема щитовидной железы (по данным
УЗИ) у женщин — более 18 мл (см3), у мужчин — 25 мл (см3)):
0 степень (зоба нет);
І степень (размеры доли больше величины дистальной фаланги большого пальца) —
зоб пальпируется, но не виден;
II степень — зоб пальпируется и виден на глаз
По макроскопическим особенностям:
узловой
многоузловой
диффузный
смешанный

44. Зоб: классификации

По микроскопическим особенностям:
коллоидный (макрофолликулярный, микрофолликулярный, смешанный)
паренхиматозный
смешанный
По характеру пролиферации тиреоцитов (для коллоидного зоба):
интерфолликулярная форма
экстрафолликулярная форма
смешанная форма
По степени пролиферации тиреоцитов (для коллоидного зоба):
без пролиферации
частично пролиферирующий
активно пролиферирующий
аденоматозный (образование очагов, напоминающих по строению аденому, без
инкапсуляции).
По состоянию функции щитовидной железы:
гипертиреоидный (токсический)
эутиреоидный
гипотиреоидный

45. Диффузный токсический зоб

Болезнь Грейвса, болезнь Базедова
Это аутоиммунное органоспецифическое заболевание, характеризующееся стойким
патологическим повышением продукции тиреоидных гормонов (тиреотоксикозом,
гипертиреозом, нередко в сочетании с офтальмопатией, дерматопатией), как
правило, диффузным увеличением щитовидной железы с последующим развитием
патологических изменений в различных органах и системах, прежде всего сердечнососудистой, ЦНС и печени.
По степени тяжести тиреотоксикоза различают формы:
легкую (субклинический тиреотоксикоз);
средней тяжести (манифестный тиреотоксикоз);
тяжелую (осложненный тиреотоксикоз)
Выделяют пять степеней (I-V) увеличения щитовидной железы.
В основе гиперпродукции тиреоидных гормонов и стимуляции пролиферации
тиреоцитов лежит образование аутоантител к ТТГ-рецепторам тиреоцитов
тиреотропин-рецептор-стимулирующие антитела или тиреостимулирующие
иммуноглобулины).
Предполагаются генетический дефект Т-лимфоцитов-супрессоров или
приобретенные нарушения иммунологического контроля над системой Влимфоцитов. Выявлена семейная предрасположенность, связанная с наличием генов
НLА-В8 и DR3 (слабая ассоциация)

46. Диффузный токсический зоб: морфология

Морфология щитовидной железы:
фолликулы разных размеров, выстланные крупными тиреоцитами
кубической или цилиндрической формы
интрафолликулярная пролиферация тиреоцитов с формированием
сосочков, фолликулярных «подушек» Сандерсона (классический вариант)
экстрафолликулярная пролиферация тиреоцитов с образованием
фолликулоподобных, тубулярных, ацинарных структур (паренхиматозный
вариант)
признаки активной резорбции коллоида (ослабление окраски,
вакуолизация)
в строме — лимфоцитарная инфильтрация, формирование лимфоидных
фолликулов с активными светлыми центрами, на поздних стадиях - склероз
стромы
иногда - в мягких тканях шеи вокруг щитовидной железы гиперплазия ее
эктопических очагов

47.

48.

49. Диффузный токсический зоб: морфология

Морфология - экстратиреоидные органы:
В сердце («тиреотоксическое сердце» — тиреотоксическая кардиомиопатия) -
серозно-лимфоцитарный миокардит, жировая дистрофия и очаговые некрозы
кардиомиоцитов
В печени («тиреотоксическая печень») — жировая дистрофия гепатоцитов,
очаговый или диффузный гепатит (лимфогистиоцитарная инфильтрация стромы и
слабый перипортальный фиброз).
Лимфоидные органы - генерализованная гиперплазия лимфоидной ткани (Т- и Взависимых зон). В периваскулярных пространствах тимуса - крупные лимфоидные
фолликулы со светлыми центрами.
ЦНС — дистрофия нейронов промежуточного и продолговатого мозга,
микроциркуляторные нарушения и отек головного мозга.
Кости — остеопороз.
Эндокринная офтальмопатия (экзофтальм) — самостоятельное аутоиммунное
заболевание, в 95% случаев сочетающееся с аутоиммунными болезнями щитовидной
железы, в его основе — аутоантитела к ТТГ-подобным рецепторам фибробластов
ретро- и периорбитальных тканей, стимулирующие синтез коллагена и
пролиферацию клеток. Развиваются лимфоцитарная инфильтрация, отек,
разрастание жировой и соединительной ткани, мукоидные и фибриноидные
изменения с прогрессирующим склерозом увеличенной в объеме ретро- и
периорбитальной ткани.

50. Диффузный токсический зоб

51. Диффузный токсический зоб: осложнения

Развитие тиреотоксического криза (утяжеление симптомов тиреотоксикоза,
присоединение признаков надпочечниковой, печеночной, сердечной
недостаточности) и тиреотоксической комы, сердечно-сосудистой
недостаточности, недостаточности надпочечников.
В основе тиреотоксического криза лежит повышение чувствительности к
катехоламинам под влиянием триггерного механизма (инфекции, другие
острые заболевания, стресс, хирургические операции), причем уровень
тиреоидных гормонов в крови может не повышаться.
Тиреотоксический криз связан со смертностью в 20% даже при лечении.
Прогрессирование офтальмопатии может привести к ухудшению зрения и
слепоте.
Длительный тиреотоксикоз приводит к сильной потере веса, остеопорозу и
разрушению мышечного белка.

52. Узловой токсический зоб

Развивается при гипертиреозе вследствие:
одной, реже — нескольких токсических аденом щитовидной железы (болезнь
Пламмера)
автономно функционирующих неопухолевых узлов в моно- или мультинодулярном
зобе (моно-, мульти- или диссеминированной, т.е. без четких узлов,
функциональной автономии щитовидной железы)
Сочетается с фибрилляцией предсердий, тахикардией, слабостью и атрофией
мышц, лишь в редких случаях – с заболеваниями глаз.
Морфология:
гиперпластические узелки с четко выраженной фиброзной капсулой, состоящие из
фолликулов с папиллярной гиперплазией и высокими
столбчатыми клетками, фокусы фиброза,
кальцификации и кровоизлияний.

53. Нетоксический коллоидный зоб

Варианты диффузно-узлового зоба:
Нетоксический диффузный зоб
Нетоксический одноузловой зоб
Нетоксический многоузловой зоб
По характеру нарушения функции щитовидной железы:
эутиреодный зоб
гипотиреоидный зоб
По этиологии:
спорадический
эндемический,
обусловленный абсолютной или относительной йодной недостаточностью,
обусловленный зобогенными веществами: тиоцианатами,
тиооксизолидонами, солями кальция, фтором, амиодароном, радиацией,
аутоиммунными факторами

54.

55. Нетоксический коллоидный зоб: морфология

В щитовидной железе:
гипертрофия фолликулов
кистозные изменения части фолликулов с плотным эозинофильным
коллоидом
тиреоциты кубические или уплощенные
очаги склероза
очаговая лимфоцитарная
инфильтрация (лимфоидные фолликулы встречаются редко)
Разной величины узлы, многие — инкапсулированы
могут встретиться фокусы пролиферации тиреоцитов в виде папиллярных
разрастаний или сандерсоновских подушек, особенно в стенках кистозноизмененных фолликулов
фолликулы из клеток Ашкенази-Гюртле
очаги обызвествления, кровоизлияний
единичные гистиоцитарно-гигантоклеточные гранулемы в местах
повреждения фолликулов и выхода коллоида в строму

56.

57. Нетоксический коллоидный зоб: морфология

В экстратиреоидных органах (изменения при гипотиреоидном зобе):
при первичным дефиците тиреоидных гормонов - гипертрофия ТТГ-
продуцирующих клеток аденогипофиза (чаще хромофобных)
в периферических тканях и органах — гиперкератоз и атрофия
эпидермиса, микседематозные отеки, полисерозиты, ожирение
в скелетных мышцах — лизис миофибрилл, лимфогистиоцитарная
инфильтрация (миозит)
в миокарде — отек стромы, жировая дистрофия и слабо выраженная
лимфогистиоцитарная инфильтрация.
атрофия коры надпочечников
демиелинизация нервных волокон
атрофия и воспалительные изменения слизистой оболочки ЖКТ
кисты яичников.

58. Нетоксический коллоидный зоб: осложнения

Для гипотиреоза у взрослых характерно быстрое прогрессирование и тяжелое
течение атеросклероза с развитием инфаркта миокарда, ишемического
инфаркта головного мозга и т.д.
Гипотиреоидная кома
Типичные клинические «маски» гипотиреоза:
терапевтические (миокардит, ИБС, ГБ, пиелонефрит, гепатит и т.д.)
гематологические (железодефицитные анемии)
хирургические (желчнокаменная болезнь)
дерматологические (алопеция)
эндокринные (ожирение, задержка полового созревания и т.д.)
неврологические (миопатия)
гинекологические (аменорея, менометроррагия, галакторея, поликистоз
яичников)
психиатрические (депрессия, микседематозный делирий и т.д.)

59. Тиреоидиты: классификация

По этиологии:
инфекционный (бактериальный, вирусный, микотический и т.д.)
неинфекционный (аутоиммунный и т.д.)
неустановленной этиологии
По патогенезу:
неиммунный
иммунный
По локализации:
односторонний
двусторонний
По распространенности:
очаговый
диффузный
смешанный
По преобладающей фазе воспалительной реакции:
экссудативный
пролиферативный (продуктивный)
смешанный

60. Тиреоидиты: классификация

По составу экссудата:
серозный
серозно-лейкоцитарный
гнойный
геморрагический
смешанный
По преобладающему клеточному составу воспалительного инфильтрата:
лимфоцитарный
лимфонейтрофильный
лимфоплазмоцитарный
гигантоклеточный
лимфоматозный (с формированием лимфоидных фолликулов)
смешанноклеточный
По активности (выраженность проникновения клеток воспалительного инфильтрата
из стромы в паренхиму щитовидной железы):
неактивный
активный разной степени (слабой, умеренной, выраженной)
По особенностям клинического течения:
острый
подострый
хронический

61. Острый тиреоидит: классификация

По этиологии:
инфекционный
неинфекционный (асептический)
По локализации:
односторонний
двусторонний
По распространенности:
очаговый
диффузный
смешанный
По составу экссудата:
серозный
серозно-лейкоцитарный
гнойный
геморрагический
смешанный

62. Острый тиреоидит: классификация

Инфекционный острый тиреоидит могут вызывать стафилококки,
стрептококки, сальмонеллы, энтеробактерии, пневмококки, грибы
Путь распространения преимущественно лимфогенный (при тонзиллите
и т.д.), реже гематогенный (при воспалительных заболеваниях легких).
При ВИЧ-инфекции описаны пневмоцистные, цитомегаловирусные
острые тиреоидиты.
Основные клинические проявления: боль (обычно сильная) в области
щитовидной железы, лихорадка, общее недомогание.
Морфология:
Нейтрофильная инфильтрация, микроабсцессы и некроз тканей
Грибы - некроз, гранулематозное и гнойное воспаление
Длительность инфекционного тиреоидита — от 4 нед до 4 мес.
Опасные осложнения инфекционного тиреоидита — свищи в трахею, в
пищевод, медиастинит

63.

Аспергиллезные септические очаги

64. Острый тиреоидит: классификация

Этиология неинфекционного тиреоидита: травма щитовидной
железы, кровоизлияние в щитовидную железу, радиация, при этом
воспаление (асептическое) присоединяется вторично.
Длительность неинфекционного тиреоидита составляет несколько
суток.
Проявления неинфекционного тиреоидита: чувство давления в области
щитовидной железы, умеренная болезненность щитовидной железы,
иногда умеренные симптомы тиреотоксикоза
Морфология:
узловая гиперплазия щитовидной железы
очаговый геморрагический некроз
инфильтрация нейтрофилами
образование крупных причудливых клеток с гиперхроматическими ядрами и
выраженными ядрышками, клетки располагаются скоплениями и пластами
в сопровождении лимфоцитов, гистиоцитов и клеток Гюртле
гиперклеточность, лимфоцитарная инфильтрацию, онкоцитарная
метаплазия, фиброз

65.

66. Подострый тиреоидит (тиреоидит де Кервена)

Классификация по стадии болезни:
І — острая (тиреотоксикоз)
IІ — нарушение синтеза тиреоидных гормонов (гипотиреоз)
III — восстановительная
Через 5-6 нед после перенесенной вирусной инфекции (вирусы гриппа, кори,
эпидемического паротита, Коксаки-вирусной инфекции и т.д.) - повреждение
паренхимы щитовидной железы с развитием гранулематозного воспаления.
Клинически - боль в области щитовидной железы, высокая СОЭ при отсутствии
лейкоцитоза, лимфоцитоз, умеренный тиреотоксикоз в стадии I, умеренный
гипотиреоз в стадии II, волнообразный характер течения воспаления
Заболевание обычно длится 2-3 мес и завершается полным выздоровлением.
Морфология:
щитовидная железа асимметрично увеличена
разрушение (дистрофия и некроз) и новообразование фолликулов щитовидной железы,
гранулемы (макрофагальные, гигантоклеточные, смешанно-клеточные) вокруг
разрушающихся фолликулов и излившегося коллоида
полиморфизм состава воспалительного инфильтрата: гистиоциты, гигантские
многоядерные клетки, лимфоциты, плазмоциты, полиморфноядерные лейкоциты
микроабсцесы на месте разрушенных фолликулов
в исходе продуктивной воспалительной реакции - диффузно-очаговый склероз

67.

68. Хронические тиреоидиты: классификация

Группа хронических заболеваний щитовидной железы, характеризующихся
нарушением иммунологической толерантности в отношении ее антигенов и развитием
иммунного воспаления на фоне генетической предрасположенности (кроме
тиреоидита Риделя).
По распространенности:
очаговый
диффузный
смешанный
По особенностям клеточного инфильтрата:
лимфоцитарный
лимфоматозный (с формированием лимфоидных фолликулов)
смешанный
По клинико-морфологическим особенностям:
тиреоидит Хасимото (аутоиммунный тиреоидит)
идиопатическая микседема (атрофический тиреоидит, атрофическая стадия
тиреоидита Хасимото)
юношеский лимфоцитарный тиреоидит
послеродовой тиреоидит
фиброзный тиреоидит
специфические тиреоидиты

69. Тиреоидит Хашимото

Классификация
Гипертрофическая форма (зоб Хасимото, 90% случаев):
диффузная
диффузно-узловая
узловая
Атрофическая форма (10% случаев):
атрофическая бессимптомная форма или стадия аутоиммунного
тиреоидита с гипотиреозом — идиопатическая микседема.

70. Тиреоидит Хашимото

Морфология:
тотальная или субтотальная диффузо-очаговая лимфоцитарная
инфильтрация (с примесью плазмоцитов, макрофагов) паренхимы
щитовидной железы с очаговым проникновением инфильтрата в
фолликулы и разрушением тиреоцитов (некроз и апоптоз)
выраженный лимфоматоз - образование лимфоидных фолликулов с
крупными активными светлыми центрами
гипертрофия и гиперплазия фолликулов с резорбцией коллоида —
начальная стадия (тиреоидит Хасимото с зобом, гипертрофический
вариант).
атрофия фолликулов характерна для финальной стадии или атрофического
варианта тиреоидита Хасимото, протекающего с самого начала с
преобладанием атрофии и фиброза, слабой лимфоцитарной
инфильтрацией, часто без лимфоматоза
трансформация А-клеток в В-клеток (Ашкинази-Гюртле) с полиморфизмом
ядер
очаги плоскоклеточной метаплазии
при длительном течении процесса - склероз стромы, который не
распространяются на капсулу и за пределы железы

71.

72.

73. Юношеский лимфоцитарный тиреоидит

Лимфоцитарный тиреоидит, безболевой («молчащий») тиреоидит
Выявляют преимущественно у детей и подростков, но такой диагноз может быть
установлен в любом возрасте
Фазы слабовыраженного гипертиреоза, гипотиреоза и восстановления эутиреоза
(изменения щитовидной железы обратимы)
Морфология:
умеренная лимфоцитарная инфильтрация
незначительное повреждение фолликулов
минимальная пролиферация клеток Ашкенази-Гюртле
слабо выраженный склероз, единичные лимфоидные фолликулы

74. Послеродовой тиреоидит

Аналогичен безболевому лимфоцитарному тиреоидиту, но развивается через 1-3
месяца после родов (у 3-5% женщин).
Выявляют антитела к тиреоглобулину и микросомальному антигену
Морфология:
диффузная лимфоцитарная инфильтрация, реже - очаговая
начальная фаза (тиреотоксикоз) - гипертрофия и гиперплазия фолликулов с
резорбцией коллоида
фаза разгара болезни (гипотиреоз) - умеренная атрофия фолликулов
Обратимый характер изменений (через 6-8 мес восстанавливается эутиреоидное
состояние)

75. Фибринозный тиреоидит Риделя

Крайне редкая патология (менее 0,5% числа всех заболеваний щитовидной
железы)
Этиология и патогенез заболевания неизвестны.
Клинически - трахеообструктивный синдром
Может сочетаться со склерозом слюнных желез, фиброзом средостения и
ретроперитонеального пространства, склерозирующим холангитом
(можно рассматривать как компонент системного фиброзирующего
синдрома (синдром Ормонда))
Морфология:
щитовидная железа «деревянистой плотности», спаяна с окружающими
тканями
выраженный склероз и гиалиноз стромы с небольшой ее инфильтрацией
лимфоцитами и плазмоцитами (реже с примесью полиморфноядерных
лейкоцитов, эозинофилов), с вовлечением капсулы железы и разрастанием
фиброзной ткани за ее пределы в жировую клетчатку и мышцы.
воспалительные изменения стенок вен среднего калибра среди
гиалинизированной соединительной ткани

76.

77.

Болезни паращитовидных желез

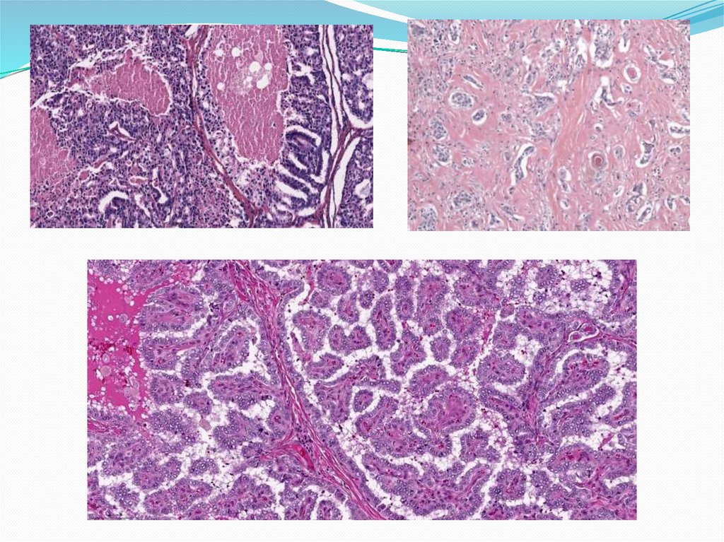
78. Опухоли щитовидных желез

Фолликулярная аденома
Гиалинизирующая трабекулярная опухоль
Фолликулярные опухоли с неопределенным злокачественным потенциалом
Папиллярная карцинома
Фолликулярная карцинома
Опухоли из клеток Гюртле (онкоцитарные)
Анапластическая карцинома
Медуллярная карцинома
Смешанная карцинома
Плоскоклеточный рак
Мукоэпидермоидная карцинома
Муцинозная карцинома
Эктопическая тимома
Параганглиома
Гематолимфоидные опухоли
Опухоли из зародышевых клеток (тератома)

79.

80.

81. Болезни паращитовидных желез

Обычно у человека — 4 околощитовидных железы, по две с каждой
стороны, но их может быть до 12 (общая масса 0,05-0,5 г).
Они расположены по задней поверхности щитовидной железы,
однако, иногда оказываются погружены в ее ткань.
Паренхима представлена главными паратиреоцитами: светлыми и
темными. Светлые паратиреоциты гормонально активны и
синтезируют паратгормон. Темные паратиреоциты — обычно
покоящиеся, с возрастом они образуют мелкие фолликулы. В
паренхиме еще есть оксифильные паратиреоциты.
Паратгормон - один из основных регуляторов обмена кальция:
стимулирует резорбцию костной ткани и освобождение из нее
кальция за счет активации остеокластов, в почках усиливает
реабсорбцию кальция и подавляет реабсорбцию фосфатов, в
кишечнике увеличивает всасывание кальция

82.

83.

84. Гипопаратиреоз: классификация

Врожденный гипопаратиреоз: аплазия или гипоплазия
паращитовидных желез — синдром ДиДжорджа и др.
Идиопатический гипопаратиреоз — аутоиммунное
изолированное заболевание или поражение паращитовидных
желез в рамках синдрома полигландулярной недостаточности.
Послеоперационный, ятрогенный гипопаратиреоз развивается при удалении паращитовидных желез или в результате
нарушения их кровоснабжения и иннервации при оперативном
вмешательстве.
Лекарственный гипопаратиреоз.
Радиационный гипопаратиреоз.
Сосудистый гипопаратиреоз (кровоизлияния в околощитовидные
железы и инфаркты).
Инфекционный гипопаратиреоз
Псевдогипопаратиреоз — нечувствительность органов-мишеней
к ПТГ (паратгормону).

85.

86. Гипопаратиреоз

Наиболее частые причины развития синдрома гипопаратиреоза:
удаление паращитовидных желез во время операций на щитовидной железе (0,2-
5.8% случаев)
лучевое повреждение паращитовидных желез (в том числе терапевтическое)
воспалительные (инфекционные) процессы в области шеи (тиреоидиты,
абсцессы и флегмоны шеи)
врожденная гипоплазия паращитовидных желез
аутоиммунное поражение
Морфология:
в паращитовидных железах - аплазия и гипоплазия, воспаление (в том числе
аутоиммунное), дистрофия, некроз, кровоизлияния, атрофия.
в других органах:
эрозии и острые язвы слизистой оболочки желудка
жировая дистрофия печени
диапедезные кровоизлияния на слизистых и серозных оболочках
гиалиново-капельная и гидропическая дистрофия эпителия извитых
канальцев почек
петрификаты в почках, хрящах, сосудах
трофические нарушения (катаракта, поражение зубов. ногтей, волос)
в финале – паратиреопривная кахексия

87.

88. Гиперпаратиреоз: классификация

Первичный гиперпаратиреоз:
паратиреоидная остеодистрофия
фиброзная генерализованная остеодистрофия
болезнь Реклингхаузена — первичная гиперплазия или аденомы (либо
рак) паращитовидных желез (изолированные формы и в составе
множественных эндокринных неоплазий)
Вторичный гиперпаратиреоз - компенсаторная гиперплазия
паращитовидных желез в ответ на длительную гипокальциемию и
гиперфосфатемию.
Третичный гиперпаратиреоз - аденома паращитовидных желез при
длительно существующем вторичном синдроме гиперпаратиреоза.
Псевдогиперпаратиреоз - обусловлен эктопической продукцией ПТГ (или
ПТГ-подобных веществ) опухолями непаратиреоидного происхождения
(гормонально-активные опухоли легких, желудочно-кишечного тракта и
т.д.).

89. Гиперпаратиреоз

Причины гиперпаратиреоза:
хроническая почечная недостаточность различного генеза
хронический гемодиализ
тубулопатии (синдром Фанкони)
канальцевый ацидоз
синдром мальабсорбции
резецированный желудок
билиарный цирроз печени
остеомаляция (сенильная, идиопатическая, при миеломной болезни, при метастазах различных
карцином в кости)
недостаточность витамина D
Осложнения: гиперпаратиреоидный криз
Морфология:
паращитовидные железы — гиперплазия (обычно во всех железах, диффузная, узловая или
смешанная), аденома (обычно в одной железе, имеет четкую капсулу, обычно из главных клеток и
солидное, трабекулярное, альвеолярное, железистое, перицитарное строение), рак (клеточный
полиморфизм, инфильтрирующий рост, метастазы редки и возникают поздно).
Кости и другие органы:
деминерализация, деформации скелета, патологические переломы, лакунарный остеолиз,
разрастание остеоидной ткани, кисты
метастатическое обызвествление, прогрессирующий артериокальциноз и склероз,
мочекаменная болезнь (оксалатные и фосфатные камни)

90.

91.

92. Опухоли паращитовидных желез

Паращитовидная аденома
Онкоцитарная (оксифильная) паратиреоидная аденома
Аденопа паращитовидной железы из прозрачных клеток
Липоаденома паращитовидной железы
Атипичная опухоль паращитовидной железы
Рак паращитовидной железы

93.

Болезни надпочечников

94. Болезни надпочечников

Надпочечники — парные эндокринные железы, массой около 4 г,
расположенные в забрюшинной клетчатке над верхними полюсами
почек.
Паренхима состоит из коркового и мозгового вещества. Корковое
вещество подразделяют на 3 зоны — клубочковую, пучковую и
сетчатую.
Клетки клубочковой зоны секретируют минералокортикоиды
(альдостерон), в почках увеличивает реабсорбцию Na и выделение к
иН).
Клетки пучковой зоны - глюкокортикоиды (кортизол и
кортикостерон)
Кклетки сетчатой зоны — половые стероиды (тестостерон и
эстрадиол)
Клетки мозгового вещества продуцируют катехоламины и
некоторые другие биологически активные вещества

95.

96.

97. Болезни надпочечников: классификация

Тотальный гиперкортицизм
Парциальный гиперкортицизм
Андростерома (злокачественная андростерома) — опухоль коры надпочечников
Первичный гиперальдостеронизм
Кортикоэстрома (злокачественная кортикоэстрома) – феминизирующая опухоль коры надпочечника
Смешанные опухоли коры надпочечника
Дисфункция коры надпочечников
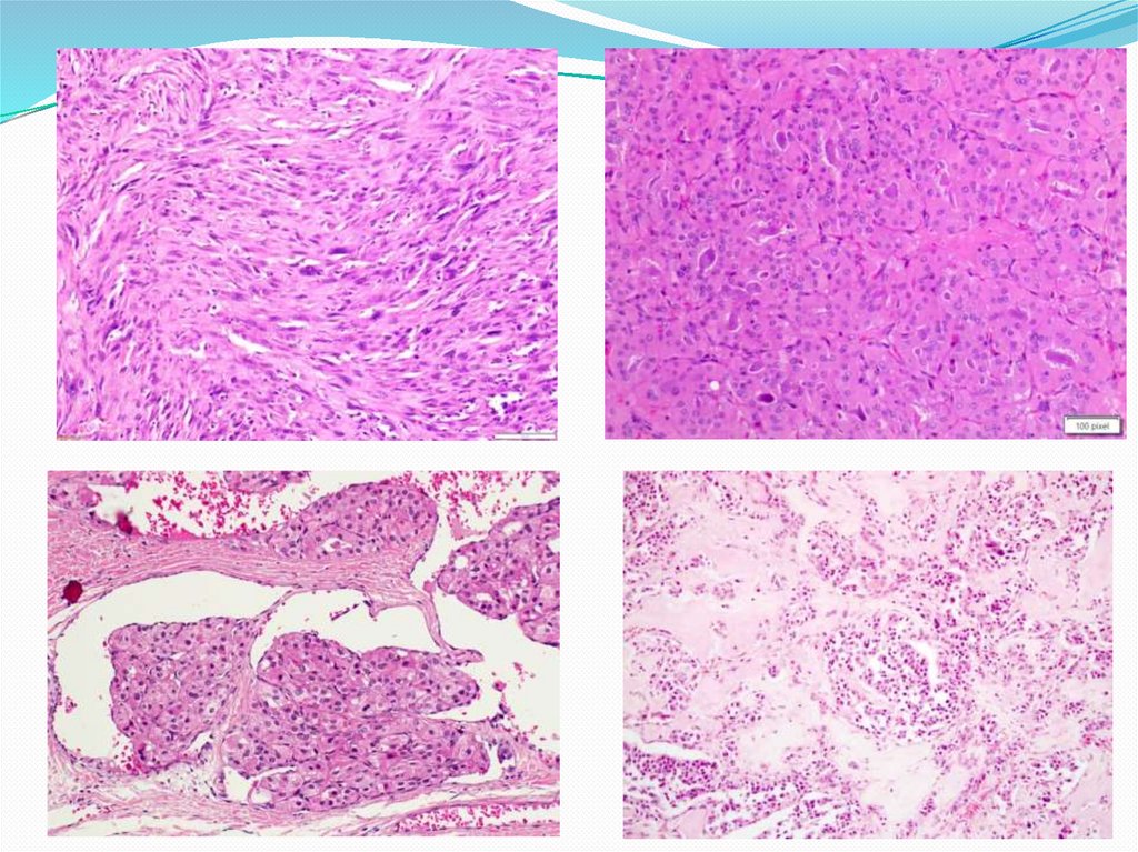
Болезнь Иценко-Кушинга (центральная, АКТГ-зависимая форма синдрома Кушинга)
Синдром Иценко-Кушинга, вызванный кортикостеромой (злокачественной кортикостеромой) надпочечника
(АКТГ-независимый синдром Кушинга)
Синдром Иценко- Кушинга вызванный опухолью, продуцирующий АКТГА-подобные вещества или кортиколиберин
(АКТГ-зависимый эктопированный синдром Кушинга)
Автономная макронодулярная гиперплазия коры надпочечников
Дефицит StAR-протеина (липоидная гиперплазия коры надпочечников - синдром Прадера)
Дефицит ЗВ-гидроксистероиддегидрогеназы
Дефицит 17а-гидроксилазы/С17-20-лиазы, синдром Биглиери
Дефицит 21-гидроксилазы (Р450с21): сольтеряющая, простая вирильная и неклассическая (постпубертатная) формы.
Дефицит 110-гидроксилазы (Р450c11)
Гипокортицизм.
Первичная надпочечниковая недостаточность
Центральные формы надпочечниковой недостаточности (вторичный и третичный гипокортицизм).
Изолированный гипоальдостеронизм.
Гормонально-неактивные опухоли надпочечников (инсиденталомы).

98. Болезнь и синдром Иценко-Кушинга: классификация

Болезнь Иценко-Кушинга —
нейроэндокринное заболевание,
патогенетической основой которого
является формирование
кортикотропиномы или гиперплазии
кортикотрофов гипофиза,
сочетающееся с повышением порога
чувствительности гипоталамогипофизарной системы к
ингибирующему влиянию
глюкокортикоидов, что приводит к
нарушению суточной динамики
секреции АКТГ с развитием вторичной
двусторонней гиперплазии коры
надпочечников.
Клинически проявляется синдромом
тотального гиперкортицизма.

99. Болезнь и синдром Иценко-Кушинга

Синдром Иценко-Кушинга
Опухоль:
надпочечника (кортикостерома, злокачественная
кортикостерома, аденомиаденокарцинома),
эктопическая (АКТГ- или кортиколиберин-продуцируюшая
опухоль)
опухоль гонад (липидно-клеточные опухоли)
Двусторонняя (реже — односторонняя) АКТГ-
независимая нодулярная гиперплазия коры
надпочечников
Прием с лечебной целью глюкокортикоидов или
препаратов АКТГ (ятрогенный или экзогенный
синдром Иценко-Кушинга).

100. Болезнь и синдром Иценко-Кушинга

Классификация, использующая только термин «синдром Кушинга»
АКТГ-зависимый синдром Кушинга
Кортикотропинома гипофиза.
Эктопированный АКТГ-синдром, или синдром эктопической
(внегипофизарной) продукции АКТГ (или АКТГ-подобных
субстанций), а также кортиколиберина опухолями (рак легкого,
нейроэндокринные опухоли тимуса, опухоли поджелудочной
железы)
Экзогенное введение АКТГ
АКТГ-независимый синдром Кушинга
Экзогенное введение глюкокортикоидов
Аденома (аденокарцинома) коры надпочечников
Нодулярная билатеральная гиперплазия коры надпочечников

101. Болезнь Иценко-Кушинга

по течению заболевания:
торпидного течения (годы),
активного течения (месяцы)
по степени тяжести
заболевания:
легкого течения
средней тяжести
тяжелого течения

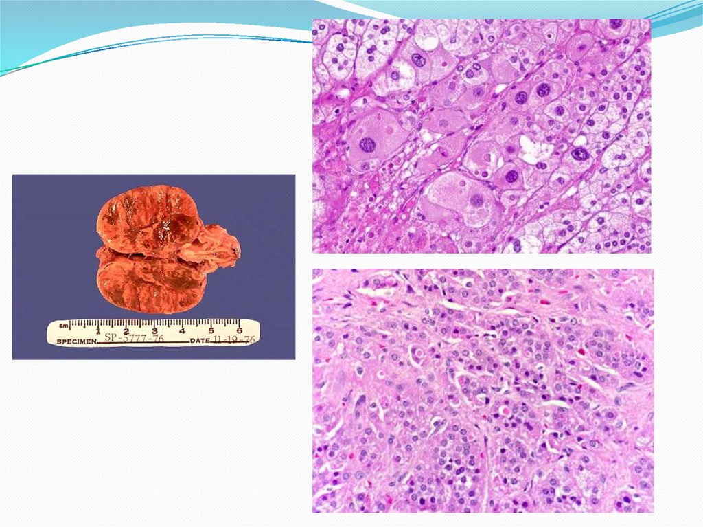
102. Болезнь Иценко-Кушинга: морфология

в гипоталамусе — гипертрофия нейронов паравентрикулярного, аркуатного и
вентромедиального ядер
в гипофизе — базофильноклеточная гиперплазия или аденома из базофильных
клеток (кортикотропинома), злокачественная кортикотропинома
в надпочечниках — двусторонняя гиперплазия коры (диффузная, узелковая,
смешанная)
в периферических органах и тканях развиваются изменения, обусловленные
гиперпродукцией АКТГ и гормонов коры надпочечников (в основном, кортизола):
кушингоидный тип ожирения (верхний или верхнесредний тип, лунообразное
гиперемированное лицо — матронизм — в сочетании с атрофией мягких тканей
конечностей)
АГ с гипертрофией миокарда, электролитно-стероидная кардиомиопатия
атрофия и липоматоз щитовидной железы
стероидный СД (20% больных)
гиперплазия островков поджелудочной железы
атрофия половых желез и лимфоидной ткани (вторичный иммунодефицитный синдром)
жировая дистрофия печени
тяжелое течение атеросклероза
остеопороз и патологические переломы
атрофия мышц
стрии на коже, гиперпигментация

103.

Кортикотропинома гипофиза
гиперплазия коры надпочечников диффузная

104. Синдром Иценко-Кушинга

по течению заболевания:
торпидного течения (годы),
активного течения (месяцы);
по степени тяжести заболевания:
легкого течения
средней тяжести
тяжелого течения.
Морфология:
в гипофизе — атрофия базофильных клеток
в надпочечниках - аденома пучковой зоны коры (из светлых, темных
или разных клеток); аденокарцинома пучковой зоны коры;
гиперплазия пучковой зоны коры — двусторонняя или (редко)
односторонняя диффузная, узловая либо смешанная
В других органах и тканях изменения сходны с наблюдаемыми при
болезни Иценко-Кушинга

105.

106. Гиперальдостеронизм

Состояние, возникающее вследствие гиперсекреции альдостерона или нарушений его метаболизма.
Различают первичный и вторичный гиперальдостеронизм, а также псевдогиперальдостеронизм.
Первичный гиперальдостеронизм (Синдром Конна)
клинический синдром, развивающийся в результате избыточной продукции альдостерона корой
надпочечников и проявляющийся АГ, гипернатриемией, гипокалиемией и гипокалиемическим
алкалозом
Морфология:
в надпочечниках - альдостеронпродуцирующая аденома (редко аденокарцинома) из клеток клубочковой зоны
коры; двусторонняя или односторонняя гиперплазия коры (первичный гиперальдостеронизм); двусторонняя
гиперплазия клеток клубочковой зоны коры (вторичныи гиперальлостеронизм).
АГ с гипертрофией миокарда, очаговые некрозы кардиомиоцитов
белковая дистрофия эпителия извитых канальцев почек, артериоло- и гломерулосклероз и гиалиноз почек,
пиелонефрит
Псевдогиперальдостеронизм
группа заболеваний (часто – врожденные), характеризующаяся АГ с гипокалиемическим алкалозом
и низкими уровнями альдостерона, ангиотензинов и ренина
развивается в ответ на нарушение катаболизма кортизола
Вторичный гиперальдостеронизм
связан с повышением уровня альдостерона в крови в результате первичной активации ренинангиотензин-альдостероновой системы при различных нарушениях водно-электролитного обмена
или метаболизма альдостерона, в основе патогенеза – ишемия юкстагломерулярного аппарата почек
с гиперпродукцией ренина, увеличивающего продукцию ангиотензинов и альдостерона.

107.

108. Недостаточность коры надпочечников: классификация

Гипокортицизм — группа острых и хронических клинических синдромов,
обусловленных врожденной или приобретенной недостаточностью продукции
гормонов коры надпочечников из-за нарушения функционирования одного или
нескольких звеньев гипоталамо-гипофизарно-надпочечниковой системы.
По механизму развития
Первичная (первичный гипокортицизм) — первичное двустороннее поражение
надпочечников.
Вторичная (вторичный, центральный гипокортицизм) – вторичное поражение
надпочечников при нарушениях в гипоталамо-гипофизарной системе.
Третичная — относительный дефицит гормонов коры при нарушении их
метаболизма и рецепции.
По объему недостаточности
Изолированная — недостаточность одного из жизненно важных гормонов коры
(например, гипокортизолизм, гипоальдостеронизм)
Сочетанная — дефицит нескольких или всех кортикостероидов
По клиническому течению:
Острая
Хроническая
Адреналовый, аддисонов криз при хроническом гипокортицизме

109. Острая недостаточность коры надпочечников: классификация

Декомпенсация различных форм хронического гипокортицизма —
адреналовый криз, адренокортикальный криз
Синдром отмены глюкокортикоидов — ятрогенный гипокортицизм
Первичный острый гипокортицизм:
Двустороннее кровоизлияние в надпочечники - синдром
надпочечников Уотерхауса-Фридериксена
Адреналэктомия: двусторонняя или односторонняя; при аплазии,
гипоплазии или атрофии — поражения разной этиологии второго
надпочечника
Острая гипофизарная недостаточность (синдром Симмондса, синдром
Шихена
и т.д.).
Декомпенсация врожденной дисфункции коры надпочечников

110. Острая недостаточность коры надпочечников: этиология и патогенез

родовая травма, шок (инфекционный, септический и др.)
ДВС-синдром, коагулопатии
васкулиты, СКВ
ожоговая болезнь с двусторонним кровоизлиянием в надпочечники
(геморрагический инфаркт — синдром Уотерхауса-Фридериксена)
двусторонняя адреналэктомия или удаление одного из надпочечников при атрофии,
гипоплазии и аплазии другого (ятрогенный острый первичный гипокортицизм)
острые интоксикации (алкогольная и т.п.)
резкая отмена стероидной терапии (ятрогенный синдром отмены
глюкокортикоидов)
острая гипоталамо-гипофизарная недостаточность или декомпенсация хронической;
стресс (тяжелые операции и т.д.)
Декомпенсация первичной врожденной или приобретенной хронической
недостаточности коры надпочечников (аддисонов криз)
Клинические симптомы подразделяют на три группы:
сердечно-сосудистые (гипотония, вплоть до коллапса, анурия)
желудочно-кишечные (рвота, понос, резкие боли в животе, имитирующие «острый
живот»);
нервно-психические (возбуждение, судороги, бред, галлюцинации, адинамия, кома)

111. Острая недостаточность коры надпочечников: морфология

в надпочечниках двусторонний тотальный
(субтогальный) некроз или
кровоизлияния
(геморрагический инфаркт);
атрофия
при аддисоновом кризе
развиваются двусторонние
изменения, соответствующие
причине заболевания
(опухоль, туберкулез, ВИЧинфекция и т.д.).
Другие органы и ткани:
морфологическая картина
шока (при аддисоновом кризе
— на фоне поражений,
характерных для
хронического
гипокортицизма)

112. Хроническая недостаточность коры надпочечников

Первичный хронический гипокортицизм — болезнь Аддисона
Вторичный и третичный (центральный) хронический гипокортицизм — поражение
надпочечников вследствие нарушений нарушении в в гипоталамо-гипофизарной системе и
снижения секреции АКТГ и/или кортиколиберина; близка к центральному гипокортицизму
ятрогенная медикаментозная недостаточность коры надпочечников, обусловленная
бесконтрольным приемом глюкокортикоидов
Этиология и патогенез.
Первичный хронический гипокортицизм может развиваться вследствие аутоиммунного
поражения надпочечников, туберкулеза и других инфекционных заболеваний (микозы, сифилис,
ВИЧ-ассоциированный комплекс, обычно на фоне множественной оппортунистической
инфекции и т.д.), первичных опухолей надпочечников, метастазов рака в надпочечники.
Поражение должно быть двусторонним и субтотальным или тотальным.
Вследствие избыточной продукции АКТГ характерна гиперпигментация кожи.
Врожденная форма первичного гипокортицизма — синдром адреномиелонейропатии, или
синдром Аддисона-Шильдера - Х-сцепленное рецессивно наследуемое заболевание с
поражением белого вещества головного и спинного мозга и коры надпочечников.
Вторичный хронический гипокортицизм возникает вследствие дефицита АКТГ при опухолях
гипофиза и гипоталамуса, кровоизлияниях в гипофиз и его некрозе, из-за нейроинфекций,
операций на гипофизе, облучения и травм гипофиза. В отличие от первичного гипокортицизма,
гиперпродукция АКТГ и меланодермия не развиваются. Кроме того, сохраняется
функционирование клубочковой зоны коры надпочечников и продукция альдостерона.

113.

114. Хроническая недостаточность коры надпочечников

Морфология:
При первичном хроническом гипокортицизме в надпочечниках выявляют
аутоиммунный адреналит, двустороннюю атрофию и различные изменения,
соответствующие причине заболевания (опухоль. туберкулез, ВИЧ-инфекция,
последствия адреналэктомии и т.д.).
Другие органы и ткани:
меланодермия
кахексия (бурая атрофия миокарда, печени, скелетных мышц)
сужение просвета аорты и крупных артерий,
уменьшение размеров сердца
аутоиммунный тиреоидит
остеопороз
генерализованная гиперплазия лимфоидной ткани (с лимфофолликулярной или
истинной гиперплазией тимуса)
При вторичном хроническом гипокортицизме — атрофия надпочечников. В других
органах и тканях изменения соответствуют описанным при первичном
гипокортицизме и недостаточности гипоталамо-гипофизарной системы

115.

аутоиммунный адреналит

116. Опухоли надпочечников

Опухоли коры надпочечников:
Аденома коры надпочечника
Карцинома коры надпочечников
Опухоли стромы половых желез
Меланома надпочечников
Опухоли мозгового вещества надпочечников и вненадпочечниковых
параганглиев
Нейробластома
Ганглионеврома
Феохромоцитома
Симпатическая параганглиома
Парасимпатическая параганглиома

117.

Феохромацитома

118.

Сахарный диабет

119. Сахарный диабет

хроническое заболевание, обусловленное абсолютной или
относительной инсулиновой недостаточностью, приводящей к
нарушению всех видов метаболизма (прежде всего, углеводного гипергликемия), поражению сосудов (ангиопатии), нервной
системы (невропатии) и патологическим изменениям в различных
органах и тканях.
Вызвано дефицитом выработки инсулина, нарушением функции
инсулина или и тем, и другим.
Является самым распространенным эндокринным заболеванием, во
всем мире им страдают свыше 200 млн человек.

120.

121.

122.

123.

124.

125.

126.

127. Опухоли

English     Русский Rules