1.44M
Category: medicinemedicine

ЖКТ

1.

ЖЕЛУДОЧНОКИШЕЧНЫЙ ТРАКТ

2.

АНАТОМИЯ
НА УЗИ МОЖЕМ УВИДЕТЬ:
желудок
Пилорический сфинктер
Двенадцатиперстную кишку
Петли тощей кишки
Подвздошную кишку
Илеоцекальный клапан
Ободочную кишку
2

3.

▪ 4 слоя и просвет
1. Гиперэхогенный – поверхность слизистой оболочки на границе с полостью –
просвет
2. Гипоэхогенный – слизистый слой
3. Гиперэхогенный – подслизистый
4. Гипоэхогенный – мышечный слой
5. Гиперэхогенный - серозный

4.

ЖЕЛУДОК
- Контактирует с печенью и телом ПЖЖ, у
собак с головой селезенки

5.

ЧТО ВИДИМ НА УЗИ
Толщина стенки зависит от степени растяжения, различается в области складок и между ними.
- Замер стенки нельзя проводить на складке, только между
- Слизистый, подслизистый и мышечные слой одинаковой толщины

6.

У СОБАК
- Подслизистый слой желудка тонкий, как у тонких отделов кишечника

7.

У КОШЕК
- Складки фундальной части желудка имеют гиперэхогенный подслизистый
слой (отложение жира)
- Газ в ЖКТ намного реже

8.

ЧТО ОЦЕНИВАЕМ. ПРОТОКОЛ
1. Степень наполнения (пустой/слабо/умеренно/значительно)
2. Содержимое (анэхогенное/гиперэхогенное/гипоэхогенное)
3. Толщина стенки (утолщена/не утолщена)
4. Дифференциация слоев (сохранена/частичная потеря слоистости/полная
потеря слоистости)
5. Эвакуация содержимого, перистальтка сохранена/снижена/усилена

9.

НОРМЫ

10.

Желудочно-кишечный тракт:
Желудок: перистальтика сохранена. Толщина стенки см. Дифференциация слоев стенки сохранена.
Соотношение слоев стенки желудка не изменено. Содержимое:
Двенадцатиперстная кишка: перистальтика сохранена. Толщина стенки см. Дифференциация слоев
стенки сохранена. Соотношение слоев стенки кишки не изменено. Просвет не расширен.
Тощая кишка: перистальтика сохранена. Толщина стенки см. Дифференциация слоев стенки сохранена.
Соотношение слоев стенки кишки не изменено. Просвет не расширен. ИЦК без видимых изменений.
Ободочная кишка: перистальтика не визуализируется. Толщина стенки см. Дифференциация слоев
стенки сохранена. Соотношение слоев стенки кишки не изменено. Просвет расширен однородным
гиперэхогенным содержимым.

11.

?

12.

ДПК
Слизистый слой самый толстый, мышечный и
подслизистый тонкие
У КОШЕК – никак не отличается от тощей кишки, только
расположением
У СОБАК имеет наиболее толстую стенку, в ней в норме
мб маятникообразная перистальтика

13.

ДПК
Восходящий отдел – на печени,
затем – S образный изгиб.
Справа – над правой почкой –
нисходящий отел.

14.

ДПК

15.

ТОЩАЯ
Самая длинная часть тощего кишечника
Мышечный и подслизистый должны быть 1:1,
слизистый самый толстый

16.

ТОЩАЯ
«зерна кофе»

17.

ТОЩАЯ
Собака
Кошка – подслизистый более выражен

18.

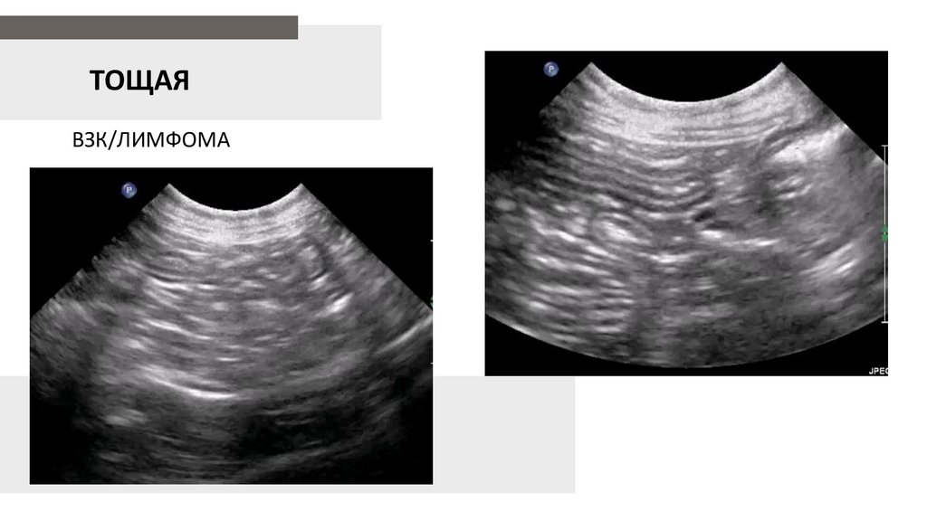
ТОЩАЯ
ВЗК/ЛИМФОМА

19.

ТОЩАЯ
ЛИМФАНГИЭКТАЗИЯ

20.

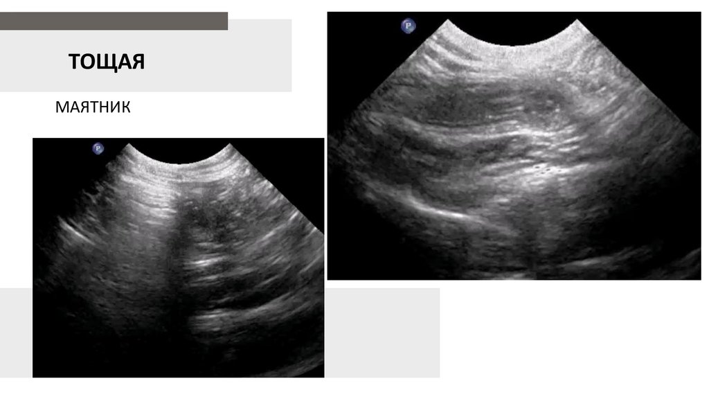
ТОЩАЯ
МАЯТНИК

21.

ТОЩАЯ
МАЯТНИК

22.

ИЦК
СОЕДИНЯЕТ ПОДВЗДОШНУЮ И ОБОДОЧНУЮ КИШКУ
- Ищем ниже правой почки
- Либо против хода ободочной кишки
- Вокруг чуть гиперэхогеннее сальник в норме

23.

ИЦК

24.

ОБОДОЧНАЯ КИШКА
Самая тонкая из всех кишок. В норме – плотное
содержимое – фекалии и/или газ, дающее тень.
Перистальтки в норме быть не должно.
От ИЦК – восходящий, поперечный, нисходящий
отделы.

25.

ОБОДОЧНАЯ КИШКА

26.

ОБОДОЧНАЯ КИШКА
Что-то будет…

27.

?

28.

?

29.

Спасибо за внимание!
English     Русский Rules