29.62M
Category: lingvisticslingvistics

诊断学-心脏查体

1.

心脏检查
南京医科大学第一附属医院
心血管内科

2.

心脏解剖
胸骨体和第2-6肋软骨后方
第5-8胸椎前方
两侧及前面大部分被肺和胸膜遮盖
下方有膈 上方为大血管
约2/3在身体中线左侧
心的长轴与中线呈45度
右房室大部分在前
左房室大部分在后

3.

4.

5.

6.

授课内容
视诊
触诊
叩诊
听诊

7.

心脏查体的基本条件
1.可根据病情需要采取仰卧位、半卧位或坐位
2.受检者应充分袒露胸部 绝不可隔着衣服进行检查
3.身体勿左右倾斜 以免影响心脏的位置
4.环境安静 光线最好是来源于左侧 室温不低于20℃
5.检查者应全神贯注 按规范的检查手法 一丝不苟地仔细检查
6.如为重症患者 应尽量减少活动 保持安静、舒适的体位。

8.

一. 视 诊
检查方法 视诊时患者仰卧位 检查者站在患者的
右侧 视线与胸廓同高 切线位观察
视诊内容
1.心前区隆起和凹陷
2.心尖搏动
3.心前区异常搏动

9.

心前区隆起与凹陷
胸骨下段与胸骨左缘3、4、5肋间隆起
见于
法洛四联症
肺动脉瓣狭窄
风湿性二尖瓣狭窄
心包积液
胸骨右缘2肋间隆起
见于
主动脉弓动脉瘤
升主动脉扩张

10.

心前区隆起与凹陷-2
心前区扁平 见于 扁平胸
心前区凹陷 见于 漏斗胸

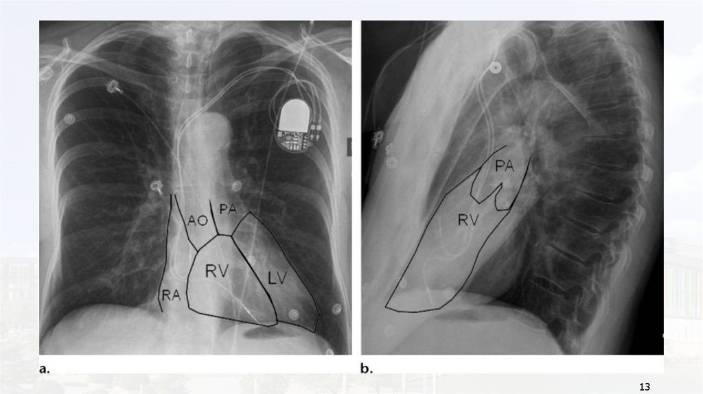
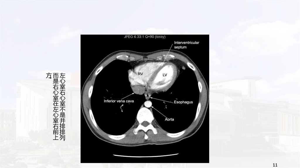
11.

方而左
。是心
右室
心右
室心
在室
左不
心是
室并
右排
前排
上列
11

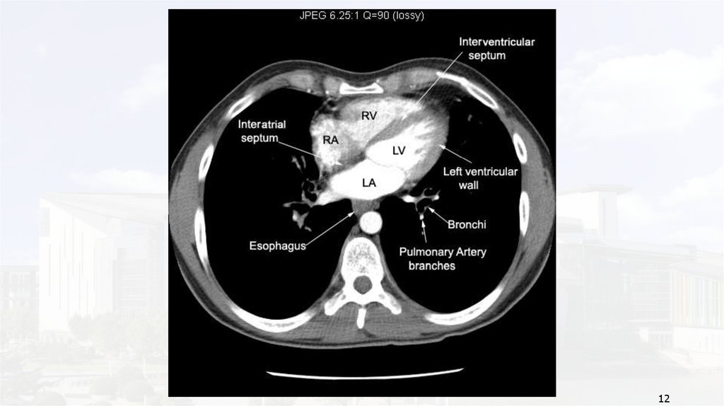
12.

12

13.

13

14.

胸骨右缘第2肋间及其附近局部隆起 见于主动脉
弓动脉瘤或升主动脉扩张 常伴有收缩期搏动。
14

15.

心尖搏动 1
概念 左室收缩时 心尖向前冲击前胸壁使肋间软
组织向外搏动
正常心尖搏动:
部位 第五肋间 左锁骨中线内0.5-1.0cm
搏动范围 2.0-2.5cm

16.

心尖搏动-2
(1)心尖搏动位置的改变
生理因素
病理因素
(2)心尖搏动强度及范围的变化

17.

(1)心尖搏动位置的改变
生理因素
①仰卧时 心尖搏动略上移
②左侧卧位 心尖搏动可左移2 3cm
③右侧卧位可向右移1.0 2.5cm
④小儿、矮胖体型、妊娠时 心脏横位 心尖搏动向上外移 可达
第4肋间
⑤瘦长型 心脏呈垂直位 心尖搏动向下移 可达第6肋间

18.

(1)心尖搏动位置的改变
病理因素
①心脏疾病
左室增大 心尖搏动向左下移位
右室增大 心尖搏动向左移位 甚至可稍向上 但不向下移位
左、右室增大 心尖搏动向左下移位 并可伴有心界向两侧扩大
右位心 心尖搏动在胸骨右缘第5肋间。
②纵隔及气管移位 如 一侧胸腔积液或积气 一侧肺不张或胸膜粘
连 侧卧位时 心尖搏动如无移位 提示心包纵隔胸膜粘连。
③横膈移位 大量腹水、腹腔巨大肿瘤等 肺气肿。

19.

19

20.

左心室增大
心尖搏动左下移位
右心室增大 心尖
搏动左上移位
20

21.

后前位胸片可见肺动脉段明显突出或其高度≥3mm。心尖上翘提示右心室肥大。
21

22.

Case 1
22

23.

23

24.

(2)心尖搏动强度及范围的变化
生理情况下
①胸壁增厚(如肥胖、乳房大等)或肋间变窄时。
②胸壁薄(如消瘦、儿童等)或肋间增宽时。
③在剧烈运动或情绪激动。
病理情况下
①心尖搏动增强 左心室肥大、甲状腺功能亢进、发热、贫血等。
②心尖搏动减弱 见于心包积液、肺气肿、左侧胸腔积液或气胸及
严重休克
时 心肌炎及心肌病。
③负性心尖搏动(inward impulse) 指心脏收缩时心尖区胸壁内陷 见于黏连性心
包炎、心包与周围组织粘连。

25.

二 心尖搏动
负性心尖搏动 心尖部胸壁搏动
内陷
粘连性心包炎
重度右心室肥大所致心脏顺钟转位
而使左心室向后移位。
25

26.

心前区异常搏动-1
胸骨左缘第3、4肋间搏动
右心室肥大
剑突下搏动
肺气肿、右心室肥大
腹主动脉瘤
鉴别方法 病人深吸气 如搏动增强则为右室搏动 搏动减弱则
为腹主动脉瘤 或以手指平放于剑突下 指端指向剑突 从剑突
下向上后方加压 如搏动冲击指尖且吸气时增强 则为右心室搏
动 如搏动冲击掌面且吸气时减弱 则为腹主动脉瘤或主动脉腹
部搏动。

27.

心前区异常搏动-2
心底部搏动
胸骨左缘第2肋间
肺动脉扩张、肺动脉高压
胸骨右缘第2肋间
主动脉弓动脉瘤、升主动脉扩张

28.

二. 触 诊
• 触诊应与视诊相互应证
• 触诊的手法
• 右手全手掌
• 手掌掌侧 小鱼际 —震颤
• 示指、中指的指腹—心尖搏动

29.
















30.

触诊内容
心尖与心前区搏动
心尖部抬举性搏动
左心室肥厚特征性体征
震荡 shock 一种短促的拍击感
心音亢进或奔马律、开瓣音等
震颤 thrill
心包摩擦感

31.

震 颤
是器质性心血管病的特征性体征之一
机制 与杂音相同
一般情况下 震颤的强弱与病变狭窄程度、血流速度和
压力阶差成正比

32.

心前区震颤的临床意义
时 相
收缩期


常 见 疾 病
胸骨右缘第二肋间
主动脉瓣狭窄
胸骨左缘第二肋间
肺动脉瓣狭窄
胸骨左缘第3-4肋间
室间隔缺损
舒张期
心尖区
心尖区
重度MR
二尖瓣狭窄
连续性
胸骨左缘第二肋间
动脉导管未闭

33.

心包摩擦感
心包摩擦感
部位 心前区胸骨左缘第4肋间为主
时相 收缩期、舒张期—双相
触诊 粗糙磨擦感
收缩期
坐位前倾
呼气末为甚
意义 纤维素性心包炎

34.

3. 叩 诊
叩诊目的 确定心界的大小及形状
叩诊结果 绝对浊音区与相对浊音区
相对浊音区反映了心脏的实际大小

35.

叩 诊
叩诊方法
患者坐位:
板指与肋间垂直
患者平卧位:
板指与肋间平行
顺序 从清—浊

36.

叩诊顺序
由左而右、由下而上、由外而内
左侧
右侧
由心尖搏动外2-3cm处开始逐个
肋间向上 直至第2肋间
先叩出肝上界 在其上一肋间逐
个肋间向上 直至第2肋间
测量出其与前正中线间的垂直距离

37.


心浊音界 相对和绝对
正常相对心浊音界
心浊音界各部的组成
心脏边界与肺脏重叠关系

38.

正常成人心脏相对浊音界
右 cm
肋间
左 cm
2~3

2~3
2~3

3.5~4.5
3~4

5~6

7~9
左锁骨中线距前正中线8-10cm

39.

心浊音界各部的组成
• 右界
2肋间 升主动脉、上腔静脉
3肋间 右心房
• 左界
2肋间 肺动脉段
3肋间 左心耳
4、5肋间 左心室
• 心上界、心下界
• 心底浊音界 主动脉结、肺动脉段
• 心腰

40.

心浊音界改变
心脏移位
横膈位置上移 肥胖、小儿、妊娠、腹水等
一侧胸膜增厚、肺不张—心界移向患侧
一侧胸腔积液、气胸 —心界移向健侧
心脏本身因素

41.

心脏本身因素1
• 左心室增大
表现 心界向左下增大 心腰加深 靴形心
见于 主动脉瓣病变及高血压心脏病
• 右心室增大
表现 心界向两侧增大 心尖左上翘
见于 单纯二尖瓣狭窄、肺心病
• 左、右心室增大
表现 心界向两侧增大 称普大心
见于 扩张型心肌病、克山病

42.

心脏本身因素2
• 左心房及肺动脉段增大
表现 心界在胸骨左缘2、3肋间增大
心腰丰满或膨出 梨形心
见于 二尖瓣狭窄
• 心包积液
表现 坐位时呈烧瓶样
卧位时心底部浊音界增宽
• 升主动脉瘤或主动脉扩张
表现 心界在胸骨右缘1、2肋间增宽

43.

靴形心

44.

aortic regurgitation
volume overload
左心室向左下扩大 心腰加深 心浊音界呈
靴型 称为主动脉型心脏
44

45.


胸骨右缘第1.2肋间浊音界增宽
常伴收缩期搏动。见于升主动脉

心包积液
45

46.

二尖瓣型心脏-梨型心

47.

左心房增大 胸骨左缘第3肋间心界增大 心腰消失 左心房增大合并肺
动脉段扩大 第二、三肋间处扩大 心腰饱满及膨出 心浊音界呈梨型
心。常见于风湿性心脏病、二尖瓣狭窄
47

48.

心包积液

49.

(一)心脏瓣膜听诊区
定义 心脏各瓣膜开放与关闭时 所产生的声音
传导至体表最易听清的部位。与解剖部位不完全
一致。
二尖瓣区 心尖搏动最强点。
肺动脉瓣区 在胸骨左缘第2肋间
主动脉瓣区 在胸骨右缘第2肋问
主动脉瓣第二听诊区 在胸骨左缘第3肋间
三尖瓣区 在胸骨体下端左缘 及胸骨左缘第4、
5肋间
49

50.

(二)听诊顺序
• 从心尖部开始 按逆时针顺序进行
• 心尖部 → 肺动脉瓣区→主动脉瓣区→ 主动脉瓣第二听诊区 → 三
尖瓣区
50

51.

(三)听诊内容
• 1.心率
• 2.心律
• 3.心音
• 4.心音的改变及其临床意义
• 6.额外心音
• 7.杂音
• 8.心包摩檫音
51

52.

1.心率
• 正常成人60-100bpm。老年人偏慢 女性稍快 儿童较快 <3岁儿
童多在100bpm以上。
• 心动过速 成人>100bpm 婴幼儿>150bpm。
• 心动过缓 <60bpm
52

53.

2.心律
• 正常人基本规则。部分青年人可出现随呼吸改变的心律 吸气时心
率增快 呼吸时减慢 称为窦性心律不齐。
• 病理 最常见的心律失常时期前收缩和心房颤动。
• 期前收缩的听诊特点 在规则心跳基础上提前出现一次心 跳 其后
有—较长间歇。
• 心房颤动的听诊特点 心律绝对不规则 第一心音强弱不等和脉率
小于心率 脉搏短绌 。脉搏短绌产生的原因是过早的心室收缩 其内仅有少量的血液充
盈 不能将足够的血液输送到周围血管。
53

54.

(三)听诊内容
• 1.心率
• 2.心律
• 3.心音
• 4.心音的改变及其临床意义
• 6.额外心音
• 7.杂音
• 8.心包摩檫音
54

55.

3.心音
• 按心音在心动周期中出现的先后次序 分为
• S1
• S2
• S3可在部分青少年中闻及
• S4一般听不到 听到即为病理性。
55

56.

56

57.

3.心音
• 第一心音产生机制 心室开始收缩时 二尖瓣和三尖瓣关闭 瓣叶
突然紧张产生振动而发出的声音。标志着心室收缩的开始。
• 听诊特点 ①音调低钝 ②强度较响 ③历时较长(持续约0.1s)
④与心尖搏动 触诊 同时出现 心尖部最响。
57

58.

第一心音
58

59.

59

60.

3.心音
• 第二心音产生机制 血流在主动脉和肺动脉内突然减速和半月瓣突
然关闭引起瓣膜振动所致。
• 听诊特点 ①音调较高而脆 ②强度较S1弱 ③历时较短 约
0.08s ④不与心尖搏动同步 在心底部最响。
• S2有两个主要成分 即A2和P2 A2在前 P2在后。
A2、P2
60

61.

第二心音
S2.AVI
61

62.

62

63.

3.心音
• S1和S2的鉴别
• ①S1音调较S2低 时限长 在心尖区最响 S2时限较短 在心底部较响
• ②S1S2的距离较S2至下一个心搏S1 S2S1 的距离短
• 复杂心律失常时的鉴别
• ③听诊的同时利用左手拇指触诊颈动脉搏动 此搏动与S1几乎同步。
• ④心底部较心尖部 S1和S2易于区别。
63

64.

3.心音
• 第三心音产生机制 心室舒张末期、快速充盈期末 由于心室快速
充盈的血流自心房冲击心室壁 使心室壁、腱索和乳头肌突然紧张、
振动所致。
• 听诊特点
• ①音调轻而低
• ②持续时间短约0.04s
• ③局限于心尖部或其内上方
• ④仰卧位、呼气时较清楚。
64

65.

第三心音
S3.AVI
65

66.

3.心音
• 第四心音产生机制 出现在心室舒张末期、收缩期前。心房收缩使
二、三尖瓣及瓣膜、瓣环、腱索和乳头肌突然紧张、振动有关。
• 听诊特点
• ①低调、沉浊而弱
• ②心尖部及其内侧较明显。
66

67.

(三)听诊内容
• 1.心率
• 2.心律
• 3.心音
• 4.心音的改变及其临床意义
• 6.额外心音
• 7.杂音
• 8.心包摩檫音
67

68.

4.心音的改变及其临床意义
• 1 心音强度改变
• 2 心音性质改变
• 3 心音分裂
68

69.

4.心音的改变及其临床意义
• 1 心音强度改变
• 1 第一心音强度的改变
• ①第一心音增强
• 二尖瓣狭窄 心室充盈减少使左室内压上升加速 瓣膜关闭振动幅度大。但是 瓣叶严重病变时 瓣膜
活动受限 S1减弱。
• ②第一心音减弱
• 二尖瓣关闭不全 心室过度充盈 二尖瓣关闭时振幅小 振动弱。
• ③第一心音强弱不等 心房颤动和完全性AVB。
• Af时 两次心搏相近时 S1增强 相距较远时 S1减弱。
• 完全性AVB时 房室几乎同时收缩时 S1增强。此时二尖瓣位置低 关闭有力。
69

70.

4.心音的改变及其临床意义
• 1 心音强度改变
• 2 第二心音强度的改变
• S2有两个主要成分 即A2和P2 青少年 P2 > A2 成年人P2 = A2 老年人 P2 < A2
• ①第二心音增强
• 高血压时 主动脉压增高 主动脉瓣关闭有力 振动大 A2亢进。
• 肺动脉压力增高 P2亢进。
• ②第二心音减弱
• 低血压、主瓣、肺瓣狭窄时 循环阻力降低 瓣膜关闭无力。
70

71.

4.心音的改变及其临床意义
• 1 心音强度改变
• 2 心音性质改变
• 3 心音分裂
71

72.

4.心音的改变及其临床意义
• 2 心音性质改变
• 单音律 心肌严重病变时 S1失去原有性质且明显减弱 S2 也减弱 二者
及其相似。
• 钟摆律 大面积心肌梗死时 此时心率增快 收缩期和舒张期时限几乎相
等 听诊类似钟摆声。
72

73.

4.心音的改变及其临床意义
• 1 心音强度改变
• 2 心音性质改变
• 3 心音分裂
73

74.

4.心音的改变及其临床意义
• 3 心音分裂
• 定义 二尖瓣关闭早于三尖瓣关闭0.02-0.03s 主动脉瓣早于肺动脉瓣
0.03s 人耳不能分辨。当S1和S2的两个主要成分之间的间距延长时 听
诊可闻及心音分裂的2个音。
• 1 第一心音分裂
• CRBBB时电活动延迟、肺动脉高压时机械活动延迟 使得RV开始收缩的时间晚于LV
三尖瓣延迟关闭 S1的两个成分相距0.03s以上。
74

75.

4.心音的改变及其临床意义
• 3 心音分裂
• 2 第二心音分裂
• ①生理分裂 吸气末时 由于右心回心血量增加 RV排血时间延迟 肺动脉瓣关闭明显迟于主
动脉瓣。
• ②通常分裂 最常见 受呼吸影响
• RV排血时间延长 MS伴肺动脉高压
• LV射血时间缩短 使主动脉瓣关闭时间提前 如MR
75

76.

第二心音分裂
S2_split.avi (命令行)
76

77.

4.心音的改变及其临床意义
• 3 心音分裂
• 2 第二心音分裂
• ③固定分裂 S2分裂不受呼吸影响 见于ASD 缺损的存在抵消了呼吸对血流的影响。
• ④反常分裂 主瓣关闭迟于肺瓣关闭 吸气时分裂变窄 呼吸时变宽。见于CLBBB。
77

78.

78

79.

(三)听诊内容
• 1.心率
• 2.心律
• 3.心音
• 4.心音的改变及其临床意义
• 5.额外心音
• 6.杂音
• 7.心包摩檫音
79

80.

5.额外心音extra cardiac sound
• 是指在第一、第二心音之外听到的附加心音 不同于心脏杂音。
• 多数为病理性。
• 大部分出现在第二心音之后 即舒张期 与原有的第一、第二心音
构成三音律 triple rhythm 如奔马律、开瓣音、心包叩击音。
• 也可出现在第一心音之后即收缩期 如收缩期喷射音。
• 少数可出现2个附加音 构成四音律 quadruple rhythm
80

81.

5.额外心音 舒张期4、收缩期2、人工2
• 1 舒张期额外心音
• 1 奔马律
• 2 开瓣音
• 3 心包叩击音
• 4 肿瘤扑落音
• 2 收缩期额外心音
• 1 收缩早期喷射音 收缩早期额外心音
• 2 收缩中晚期喀喇音 收缩中晚期额外心音
• 3 医源性额外心音 人工瓣膜音 人工起搏音
81

82.

1 奔马律
• 概念 由出现在S2之后的病理性S3或S4 与原有的S1、S2组成的
节律 在心率增快时 极似马奔跑时的蹄声故称奔马律。
• 临床意义 奔马律是心肌严重损害的体征。
• 种类 按出现时间的早晚 可分为早期、晚期和重叠奔马律。
82

83.

1 奔马律
• ①舒张早期奔马律 心室振动
• 是病理性第三心音
• 常伴心率增快 S2S3与S1S2间距相仿
• 听诊特点 音调较低、强度较弱。
• 与生理性第三心音的区别 后者见于健康人 心率不快时易听到 S2S3短于S1S2。
• 机制 由于心肌张力减低及顺应性减低 舒张时 血液充盈引起室壁振动。
• 见于 急性心肌梗死
83

84.

1 奔马律
• ②舒张晚期奔马律 心房加强收缩的振动音
• 发生于第四心音出现的时间 是增强的第四心音。
• 听诊特点 音调较低 强度较弱 距S2较远 比较接近S1 心尖区稍内侧
最响。
• 机制 LVEDP增高 心房为克服LVEDP而加强收缩所产生的异常心房音。
• 见于高心病、肥厚性心肌病。
84

85.

第四心音
S4.AVI
85

86.

1 奔马律
• ③重叠型奔马律 中期奔马律
• 舒张早期和晚期奔马律在快速性心率时 在舒张中期重叠。
• 当心率较慢时 二者可无重叠 则听到4个心音 称为舒张期四音律。
• 临床意义 常见于心肌病心衰竭
86

87.

2 开瓣音
• 机制 在MS而瓣膜尚柔软时 舒张早期血液自高压力的左房迅速
流入左室 导致弹性尚好的二尖瓣迅速开放后又突然停止 使瓣叶
振动引起的拍击样声音。
• 听诊特点 音调高、历时短促而响亮、清脆 呈拍击样 在心尖内
侧较清楚。
OS_M.AVI
87

88.

3 心包叩击音
• 见于缩窄性心包炎 心包增厚 心室在舒张过程中 被迫停止 导
致室壁振动。
• 在S2后约0.1s 较响的短促的额外心音 在胸骨左缘最易闻及。
pericardial knock.avi
88

89.

4 肿瘤扑落音
• 产生机制 粘液瘤在舒张期随血流进入左室 撞碰室壁和瓣膜 以
及瘤蒂柄突然紧张产生振动。
• 听诊特点 在心尖部及胸骨左缘3、4肋间最响 在S2后 较开瓣音
出现晚 与开瓣音相似 但音调较低 不及开瓣音响 常随体位改
变而变化。
89

90.

90

91.

2 收缩期额外心音
• 1 收缩早期喷射音 收缩早期额外心音 收缩早期喀喇音
• 听诊特点 高调而清脆 紧接于S1后0.05-0.07s 在心底部最清楚。肺动
脉喷射音在肺动脉瓣区最响 见于肺动脉高压 主动脉喷射音在主动脉瓣
区最响 见于高血压。
• 机制 动脉壁振动、半月瓣用力开启、瓣叶开启时突然受限产生的振动。
91

92.

2 收缩期额外心音
• 2 收缩中晚期喀喇音 收缩中晚期额外心音
• 听诊特点 高调、短促、清脆 如关门落锁之Ka Ta声。出现在S1后
• 机制 多由二尖瓣在收缩中晚期脱入左房 瓣叶及其腱索的振动引起。
• 分期 S1后0.08s为收缩中期喀喇音 0.08s以上为收缩晚期喀喇音。
92

93.

3 医源性额外心音
• 1 人工瓣膜音
• 金属瓣
• 生物瓣
• 2 人工起搏音
93

94.

6.心脏杂音
• 定义 除心音、额外心音外 在心脏收缩或舒张过程中的异常声音。
• 1 杂音产生的机制
• 2 杂音的特性与听诊要点
• 3 杂音的临床意义
94

95.

1 杂音产生的机制
• 正常血流呈层流。
• 异常 各种原因 如血流加速、异常通道、管径异常 使层流转变
为湍流或漩涡而冲击 心壁、瓣膜、腱索或大血管壁使之振动而在相
应部位产生杂音。
95

96.

附 名词解释
• 层流 laminar flow 是流体的一种流动状态 它作层状的流动。流体在管内
低速流动时呈现为层流 其质点沿着与管轴平行的方向作平滑直线运动。流体
的流速在管中心处最大 其近壁处最小。
• 湍流是流体的一种流动状态。当流速很小时 流体分层流动 互不混合 称为
层流 也称为稳流或片流 逐渐增加流速 流体的流线开始出现波浪状的摆动
摆动的频率及振幅随流速的增加而增加 此种流况称为过渡流 当流速增加到
很大时 流线不再清楚可辨 流场中有许多小漩涡 层流被破坏 相邻流层间
不但有滑动 还有混合。这时的流体作不规则运动 有垂直于流管轴线方向的
分速度产生 这种运动称为湍流。
96

97.

湍流
97

98.

2 杂音的特性与听诊要点
• 1 最响部位和传导方向
• 2) 心动周期中的时期
• 3 性质
• 4 强度与形态
• 5 体位、呼吸和运动对杂音的影响
98

99.

2 杂音的特性与听诊要点
• 1 最响部位和传导方向
• 最响部位 一般说来 杂音在某瓣膜听诊区最响 提示病变在该区相应的
瓣膜。如心尖区最响提示二尖瓣病变。如在胸骨左缘第3、4肋间闻及响亮
而粗糙的收缩期杂音 考虑VSD。
99

100.

2 杂音的特性与听诊要点
• 1 最响部位和传导方向
• 传导方向有一定规律
• MR的杂音多向左腋下传导
• AS的杂音向颈部传导
• MS的隆隆样杂音则局限于心尖部。
• 如何判断杂音的传导来源
• 原理 杂音传导得越远 则其声音将变得越弱 但性质保持不变。
• 可将听诊器从听诊1区逐渐移向2区 若杂音逐渐减弱 只在1区最响 则说明1区有病变
2区的杂音为传导而来的 若杂音先逐渐减弱 而移近2区时 杂音有增强且性质不同 应
考虑2个部位具有病变。
100

101.

2 杂音的特性与听诊要点
• 2) 心动周期中的时期
• 不同的时期
• 收缩期杂音(SM) 在收缩期出现
• 舒张期杂音(DM) 在舒张期出现
• 连续性杂音(CM) 从收缩持续到舒张期
• 同一时期 收缩期、舒张期 不同时间
• 早期、中期、晚期、全期杂音
• 不同时期杂音的临床意义
• 舒张期杂音、连续性杂音均为器质性杂音
• 收缩期杂音可能器质性或功能性
101

102.

102

103.

2 杂音的特性与听诊要点
• 3 性质
• 形容音调用柔和、粗糙 形容音色用 吹风样、隆隆样等。
• 心尖区隆隆样杂音 MS
• 心尖区粗糙的吹风样杂音 MR
• 心尖区柔和的吹风样杂音 功能性杂音
• 主动脉瓣第二听诊区舒张期叹气样杂音 AR.
103

104.

2 杂音的特性与听诊要点
• 4 强度与形态
• SM的强度用Levine 6级分级法。
• DM的强度也参照Levine 6级分级法 也有人分为轻、中、重度三级
的。
• 记录方法 6为分母 级别为分子。如响度为5级的记录为5/6级杂
音。
104

105.

2 杂音的特性与听诊要点
• 4 强度与形态
105

106.

2 杂音的特性与听诊要点
• 4 强度与形态
• 杂音形态 是指在心动周期中杂音强度的变化规律 用心音图记录
构成一定的形态。
106

107.

107

108.

2 杂音的特性与听诊要点
• 5 体位、呼吸和运动对杂音的影响
• ①体 位
• 左侧卧位 可使MS的舒张期杂音更明显
• 坐位前倾 可使AR的舒张期杂音更明显
• 仰卧位 可使MR、TR和PR的杂音更明显
• 从卧位或下蹲位迅速站立 使瞬间回心血量减少 可使MR、TR以及PS和
PR的杂音减轻 但HOCM的杂音增强。
108

109.

2 杂音的特性与听诊要点
• 5 体位、呼吸和运动对杂音的影响
• ②呼吸
• 深呼气时 回心血量增加和RV排血量增加 从而使与右心相关的杂
音增强 如TR、TS、PR、PS。
• Valsalva动作时 回心血量减少 杂音一般都减轻 但HOCM增强。
109

110.

Valsalva动作
• 深吸气后紧闭声门 再用力
做呼气动作。
• 呼气时对抗紧闭的会厌 通过增加胸
内压来影响血液循环和自主神经功能
状态 进而达到诊疗目的的一种临床
生理试验。因其由意大利解剖学家
Antonio Maria Valsalva于1704年提出
而命名。
Valsalva Maneuver
Definition
The Valsalva maneuver is performed by
attempting to forcibly exhale while keeping
the mouth and nose closed. It is used as a
diagnostic tool to evaluate the condition of
the heart and is sometimes done as a
treatment to correct abnormal heart rhythms
or relieve chest pain.
110

111.

111

112.

2 杂音的特性与听诊要点
• 5 体位、呼吸和运动对杂音的影响
• ②运动 使心率加快 心搏增强 也使杂音增强 。
112

113.

3 杂音的临床意义
• 有杂音不一定有心脏病 有心脏病也可无杂音。
• 分类
• 根据有无器质性病变
• 器质性杂音、功能性杂音
• 根据临床意义
• 病理性杂音、生理性杂音
113

114.

114

115.

3 杂音的临床意义
• 1 收缩期杂音
• 二尖瓣区
• 功能性
• ①常见于发热、轻中度贫血、甲亢等。性质柔和、吹风样、强度1-2/6级、时
限短、较局限。
• ②具有心脏病理意义的功能性杂音见于LV增大引起的二尖瓣相对关闭不全。
• 器质性
• 见于二尖瓣关闭不全 性质粗糙、吹风样、高调、强度≥3/6级、持续时间长、
可占全收缩期、并向左腋下传导。
115

116.

3 杂音的临床意义
• 1 收缩期杂音
• 主动脉瓣区
• ①功能性 见于升主动脉扩张。杂音性质柔和 常有A2亢进
• ②器质性 见于主动脉瓣狭窄。杂音呈典型的喷射样收缩中期杂
音 响亮而粗糙、递增递减型 向颈部传导 常伴有震颤 且A2减
弱。
116

117.

3 杂音的临床意义
• 1 收缩期杂音
• 肺动脉瓣区
• ①功能性
• 生理性杂音多见于青少年及儿童 特点 柔和、吹风样、强度1-2/6级 时限

• 病理下的功能性杂音 如肺动脉扩张产生的肺动脉瓣相对性狭窄 听诊特点与
生理性类似 但较响 见于MS。
• ②器质性 见于PS 杂音呈典型的收缩中期杂音 喷射性、粗糙、强度≥3/6
级 常伴有震颤及P2减弱。
117

118.

3 杂音的临床意义
• 1 收缩期杂音
• 三尖瓣区
• ①功能性 多见于右室扩大引起三尖瓣相对关闭不全。特点 吹风
样、柔和、吸气时增强 3/6级以下 心腔缩小时减弱。
• ②器质性 极少见
118

119.

3 杂音的临床意义
• 1 收缩期杂音
• 其他部位
• 3 6级以上 伴有震颤者 见于室间隔缺损、室间隔穿孔
119

120.

3 杂音的临床意义
• 2 舒张期杂音
• 二尖瓣区
• ①功能性 主要见于中重度AR 导致LV舒张期容量负荷过高 使二
尖瓣处于半关闭状态 呈现相对狭窄而产生的杂音 称为Austin
Flint杂音。
• ②器质性 风湿性MS。特点 心尖部S1亢进 局限于心尖区的舒张
中晚期低调、隆隆样、递增性杂音 平卧或左侧卧位易闻及 常伴
有震颤。
120

121.

121

122.

3 杂音的临床意义
• 2 舒张期杂音
• 主动脉瓣区
• ①功能性 无
• ②器质性 见于AR。特点 舒张早期开始的递减型柔和叹气样 常
向胸骨左缘及心尖传导 于第二听诊区、前倾坐位、深呼气后暂停
呼吸最清楚。
122

123.

3 杂音的临床意义
• 2 舒张期杂音
• 肺动脉区
• ①功能性 多由于肺动脉扩张所导致相对性关闭不全所致的功能性
杂音。特点 柔和、较局限、呈舒张期递减型、吹风样 于吸气末
增强 常合并P2亢进 称为Graham Steell杂音。常见于MS伴明显
肺动脉高压。
• ②器质性 器质性病变引起的极少。
123

124.

3 杂音的临床意义
• 2 舒张期杂音
• 三尖瓣区
• 局限于胸骨左缘第4/5肋间 低调隆隆样 深吸气末杂音增强 见
于TS 极少见。
124

125.

3 杂音的临床意义
• 2 连续性杂音
• 常见于PDA。在胸骨左缘第2肋间稍外侧闻及 特点 粗糙、响亮
类似机器转动样 持续整个收缩期和舒张期 不中断 掩盖S2 伴
有震颤。
125

126.

血管检查
• 脉搏
• 血压
• 血管杂音
• 周围血管征

127.

脉搏检查
• 脉率 年龄、性别、运动、情

• 脉律 反映心脏节律
• 紧张度 取决于动脉的收缩压
• 强弱 心输出量、脉压差、外
周血管阻力
• 动脉壁状态
• 脉波
• 方法
触诊浅表动脉 如桡动脉 颈
动脉、股动脉、足背动脉
等 以食指、中指和环指指
腹平放桡动脉搏动处 两侧对
比。

128.

周围血管征
• 水冲脉(water hammer pulse) 脉搏骤起骤落。脉压差增大所致 见于主动
脉瓣关闭不全、甲亢、先心动脉导管未闭、严重贫血。
• 交替脉(pulse alternans) 节律规则而强弱交替。左室收缩力强弱交替所
致 为左室衰竭的重要体征。
• 奇脉(paradoxical pulae) 吸气时脉搏减弱或不能扪及。见于心脏压塞、心
包缩窄。
• 脉搏消失 见于严重休克、多发性大动脉炎。

129.

周围血管征 自主学习
• 迟脉 脉波升支上升 降支下降缓慢 波幅低 波顶平宽。见于主动脉瓣狭窄。
• 重搏脉 重搏脉增大 使一次心搏似有2个脉波。见于梗阻性肥厚型心肌病。

130.

血压(blood pressure)
• 测量方法
• 直接测量法
• 间接测量法 袖带加压法 以血
压计测量。
• 操作规程
• 被检者半小时禁烟、安静休息510分钟
• 坐位或仰卧位右上肢肘部于心脏
同一水平
• 气袖松紧适宜
• 听诊器胸件置于肱动脉搏动处
• 充气后缓慢放气
• 柯氏第一相音为收缩压 第五相
音为舒张压
• 测量2次

131.

血压标准 自主学习
分类
收缩压 mmHg
舒张压 mmHg
正常血压
<120

<80
正常高值血压
120-139
和 或
80-89
高血压
≥140
和 或
≥90
轻度高血压
140-159
和 或
90-99
中度高血压
160-179
和 或
100-109
重度高血压
≥180
和 或
≥110
单纯收缩期高血压
≥140

<90

132.

血压达标的目标值
普通高血压患者降压目标
<140/90mmHg
糖尿病/肾脏病/冠心病患者降压目标
<130/80mmHg
脑卒中后高血压患者降压目标
<140/90 mmHg
老年高血压患者降压目标
<150/90 mmHg

133.

原发性高血压
90%以上的高血压原因尚不明确 为原发性高血压
需要进行正规抗高血压治疗才能恢复
继发性高血压
由于某些疾病 如肾脏病、原发性醛固酮增多症等
引起的高血压为继发性高血压 去除病因后血压能
有效降低甚至恢复正常。

134.

血压变动临床意义 自主学习
• 高血压 采用标准测量法 至少三次非同日血压值达到或超过140/90mmHg。
• 低血压 血压低于90/60-50 mmHg。见于休克、心肌梗死等
• 多发大动脉炎、先天动脉畸形双侧上肢血压差别大于10 mmHg。
• 主动脉缩窄、胸腹主动脉炎下肢血压低于上肢血压达40-20 mmHg。
• 脉压增大>40mmHg 甲亢、主动脉瓣关闭不全等 脉压缩小<40mmHg 主动脉瓣狭窄、心包
积液、严重心衰。

135.

眼底出血
视力下降
甚至失明

动脉硬化

高血压
冠心病
心力衰竭

慢性肾病
尿毒症
脑卒中

136.

高血压患病率 %
2019年中国高血压患病率达24%
高血压患者 2.7
亿
估算2019 年我国有高血压患者2.7 亿 但治疗率和控制率分别低于40% 、10%

137.

高血压
危险因素

138.

动态血压监测
可提供24小时白昼与夜间各时段血压的平均值和离散度 能敏感、客观地反映
实际的血压水平 能观察到血压变异性和昼夜变化的节律性 估计靶器官的损
害和预后。

139.

血管杂音及周围血管征
• 静脉杂音 右侧颈静脉、肝硬化腹壁静脉曲张
• 动脉杂音 甲亢、多发性大动脉炎狭窄部、肾动脉狭窄、动静
脉瘘
• 周围血管征 脉压增大
• 枪击音(pistol shot) 股动脉
• Duroziez杂音 股动脉
• 毛细血管搏动征(capillary pulsation) 指甲末端、口唇
• 颈动脉搏动

140.

循环系统常见疾病体征
疾病
视诊
触诊
叩诊
听诊
二狭
心尖搏动左移

舒张期震颤
梨形心
S1↑舒张中晚期隆隆样
杂音
二闭
心尖搏动左下
移位
抬举样心尖搏动收缩期震

心界左下扩

S1↓收缩期吹风样杂音
左腋下传导
主狭
心搏增强稍向
左下
抬举样心尖搏动2区收缩
期震颤
心界稍向左
下扩大
2区收缩期喷射性杂音
颈部放射
主闭
心尖搏动左下
移位
抬举样心尖搏动、水冲脉、 靴形心
毛细血管搏动
舒张期叹气样杂音、 枪
击音、杜氏音
心包积

心尖搏动减弱
心尖搏动减弱
S1 S2 ↓心包磨檫音
心界向两侧
扩大

141.

THE END
141
English     Русский Rules